Introducción
Las fracturas de la región del codo son un reto para el traumatólogo por diversos factores, como son:
- Dificultad en el diagnóstico inicial.
- Compleja anatomía de esta articulación.
- Las importantes estructuras neurovasculares que discurren.
- El alto índice de complicaciones, tales como rigidez articular, osificaciones heterotópicas y pseudoartrosis(1).
El uso del artroscopio como complemento para el tratamiento de las fracturas articulares –rodilla y muñeca especialmente– es una práctica generalizada en muchos servicios de traumatología, pero en la actualidad su uso sigue siendo infrecuente para las fracturas del área del codo (Figura 1).
Figura 1. Fractura de codo asistida por artroscopia.

Entendemos que para realizar esta técnica es esencial una adecuada formación y entrenamiento, dada su compleja curva de aprendizaje. En nuestro caso, realizamos una rotación médica en la Clínica Mayo con el Dr. Shawn O'Driscoll y, posteriormente, con el Dr. Hausman (Mount Sinai, New York). Ambos son probablemente de los cirujanos que más experiencia tienen en esta área a nivel mundial.
Nuestro objetivo es presentar las indicaciones de la artroscopia en el tratamiento de la lesiones articulares agudas del codo, así como sus complicaciones potenciales, argumentando que esta debe ser una ayuda complementaria (asistencia), no dudando en abrir el foco de fractura en casos de imposibilidad de reducción anatómica o fijación inestable. Igualmente, mostramos las posibles complicaciones y hacemos una puesta al día sobre la bibliografía que hay al respecto sobre este tema.
Planificación preoperatoria
Para cualquier cirugía es esencial realizar una adecuada planificación preoperatoria, pero en estos casos tiene más peso aún el hecho de que todo el equipo sepa qué tiene que hacer en cada momento, el cirujano tiene que asegurarse de cada paso destacando la colocación del paciente, la adecuada isquemia del brazo, los portales a realizar, planificar una posible conversión a cirugía abierta, mantener un ambiente estable, tener siempre un plan B si algo falla y otras cuestiones de interés.
Colocación del paciente
Fundamentalmente, colocamos al paciente en decúbito lateral (posición de O'Driscoll) con soporte e isquemia preventiva para las fracturas de coronoides, cabeza radial, capitellum y olécranon. De forma más infrecuente, hemos adoptado el decúbito supino para las fracturas de columna de la paleta humeral.
Portales
Los portales más seguros son el mediolateral (portal de punto blando), el anteromedial proximal y el anterolateral proximal (Figura 2). Aunque las circunstancias pueden variar de acuerdo con el patrón de lesión, generalmente se establece primero un portal anteromedial proximal (precaución con el nervio cubital).
Figura 2. Portales anteriores de codo.

La artroscopia permite una exposición quirúrgica menos invasiva que facilita la visualización de los fragmentos de fractura en escenarios seleccionados.
Instrumental
Fundamentalmente, usaremos una óptica de 4 mm (le de rodilla), un sinoviotomo de 4 o 5 mm (Shaver), una varilla de Wissinger (por un portal accesorio) para separar la cápsula y las estructuras neurovasculares, periostotomos o disectores de pequeño tamaño para reducir la fractura, así como agujas de Kirschner (AK) de distintos tamaños para movilizar algún fragmento previo a su reducción anatómica.
La síntesis de la fractura se realiza con AK, minitornillos –a ser posible canulados–, algún implante o lazada. En ocasiones nos asistiremos de un fluoroscopio para comprobar la reducción y fijación estable de la fractura.
Como tal, las casas comerciales no han fabricado una caja o set con instrumental específico para las distintas fracturas que permitan una fijación estable y una movilización precoz de la articulación lesionada.
Quizás tendremos que mejorar los sistemas instrumentales, pasahilos y de osteosíntesis que nos permitan una fijación estable y una movilización precoz de la articulación lesionada.
Indicaciones de fracturas de codo asistidas por artroscopia
La artroscopia puede ayudar de manera eficaz en el tratamiento de lesiones traumáticas del codo, incluyendo algunas fracturas intraarticulares.
La selección adecuada de los pacientes es importante para garantizar la efectividad del tratamiento. Cuando se usa de forma adecuada, el desbridamiento asistido artroscópicamente y la fijación interna de la fractura suelen dar un resultado satisfactorio.
Es obligatorio realizar una anamnesis y un examen físico minuciosos (especialmente neurológico) en cualquier paciente que sufra un traumatismo significativo en el codo.
La evaluación radiológica también es extremadamente importante, aunque puede ser difícil de interpretar, especialmente cuando se han producido lesiones condrales sin afectación ósea asociada; es por ello que consideramos imprescindible un estudio de tomografía axial computarizada (TAC) en 3 dimensiones.
Las contraindicaciones para el uso de la artroscopia incluyen transposición previa del nervio cubital, hinchazón severa de los tejidos blandos y fracturas intraarticulares severamente desplazadas en las que los puntos de referencia anatómicos y la orientación son difíciles de establecer.
Nuestra experiencia durante el periodo 2007-2017 es de 110 artroscopias de codo, realizadas en distintos centros sanitarios (sanidad pública y privada). Si bien algunas indicaciones han sido las clásicas (extracción de cuerpos libres, epicondilalgias, artrolisis, valoración de osteocondritis disecante, biopsia sinovial y sinovectomía, así como el diagnóstico de condromatosis sinovial), desde hace años valoramos la inestimable ayuda del artroscopio para las fracturas articulares de esta compleja articulación (Figura 1).
En la actualidad hemos tratado 16 casos de fracturas en esta región. Describiremos algunas de las indicaciones, los portales, la técnica quirúrgica empleada con ayuda de imágenes, las complicaciones y los resultados finales (Tabla 1).
Tabla 1. Indicaciones de fracturas de codo asistidas por artroscopia

Otras afecciones postraumáticas pueden tratarse artroscópicamente, como la artrofibrosis o la escisión diferida de la cabeza radial.
Fractura del capitellum
Las fracturas del capitellum representan menos del 1% de todas las fracturas de codo(2). Hay poca o ninguna adhesión de tejidos blandos al fragmento, lo que crea un fragmento articular libre en muchos casos(3).
Las fracturas del capitellum se dividen en 3 tipos:
- Tipo I (Hahn-Steinthal): una gran porción ósea del capitel y el cartílago articular superpuesto (Vídeo).
- Tipo II (Kocher-Lorenz): un borde del cartílago articular sin mucho hueso subyacente.
- Tipo III: están marcadamente conminutas.
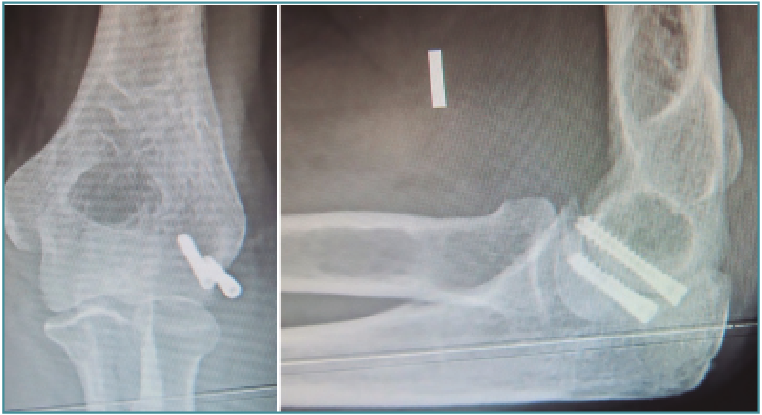
Las fracturas I y II pueden tratarse con una técnica asistida por artroscopia mediante una reducción cerrada, fijación inicial con 1 AK y fijación retrógrada con el uso de 1-2 tornillos canulados (Figuras 3 a 6).
Figura 3. Fractura de capitellum: reducción cerrada, colocación y portales.

Figura 4. Fractura de capitellum: colocación de 2 tornillos canulados.

Figura 5. Control radiográfico de fractura de capitellum asistida por artroscopia.

Figura 6. Resultado a los 2 meses de fractura de capitellum asistida por artroscopia.

El fragmento de Kocher-Lorenz puede ser susceptible a la fijación bioabsorbible de la punta del portal anterolateral. El objetivo de todas las fracturas articulares es la reducción anatómica y la fijación rígida.
Fractura de coronoides
Las fracturas coronoides ocurren raramente en forma aislada y a menudo se asocian con luxaciones posteriores del codo. Regan y Morrey han clasificado estas fracturas en 3 tipos según el tamaño del fragmento(2).
La reducción abierta y la fijación interna es el tratamiento recomendado para las fracturas de tipo III debido a la alta incidencia de inestabilidad asociada con estos grandes fragmentos de fractura. La intervención quirúrgica también se recomienda para cualquier fractura del proceso coronoide que interfiera con el movimiento articular(4). Si hay un alto grado de conminución de la fractura coronoide y no es posible la fijación interna, se indica la colocación de fijación externa para mantener la congruencia de la articulación del codo durante la cicatrización del tejido blando y óseo. Cuando hay presente un gran fragmento de fractura de un proceso coroideo, sin embargo, puede visualizarse y asegurarse de forma efectiva utilizando técnicas artroscópicas. Se puede fijar con AK o bien insertar una guía de ligamento cruzado anterior tibial a través del portal medial anterior y se usa para manipular y reducir anatómicamente el fragmento de la fractura. A continuación, taladramos el olécranon desde fuera hacia la articulación controlado con visión directa hasta atravesar la fractura de la coronoides. Luego, se puede usar distintas técnicas, desde una lazada con sutura de alta resistencia (Figura 7) hasta un pequeño tornillo canulado para asegurar el fragmento de fractura del proceso coronoide y ayudar a restablecer la estabilidad de la articulación(5).
Figura 7. Fractura de coronoides asistida por artroscopia con sistema de lazada.
Figura 7. Fractura de coronoides asistida por artroscopia con sistema de lazada.

Fractura de la cabeza radial
Algunas fracturas de la cabeza radial ofrecen una excelente oportunidad para la evaluación y el manejo artroscópico. Las fracturas de la cabeza radial son comunes, representando aproximadamente el 20% de todos los traumatismos del codo.
El tratamiento depende del desplazamiento y la conminución de la fractura de la cabeza radial, y se ha escrito mucho sobre las fracturas de cabeza radial desplazadas.
Se ha prestado mucha menos atención a las fracturas de cabeza radial no desplazadas. Las fracturas de cabeza radial mínimamente desplazadas no están exentas de complicaciones. Holdsworth et al. mostraron una incidencia del 44% de contractura de flexión en pacientes con tales fracturas después de la inmovilización durante 3 semanas, en comparación con una incidencia del 15% de contractura entre los pacientes en quienes se inició el movimiento inmediato(6).
La artroscopia de codo permite la evaluación precisa del cartílago articular con una morbilidad mínima e identificar colgajos osteocondrales o cuerpos libres. Estas irregularidades del cartílago articular y los cuerpos sueltos se pueden eliminar fácilmente con los instrumentos artroscópicos sin una artrotomía extensa. Asimismo, es un valioso complemento para pacientes con dolor continuo después de fracturas de cabeza radial mínimamente desplazadas.
Las fracturas de cabeza radial desplazadas en 2 partes a menudo son susceptibles de evaluación y tratamiento artroscópico. La mayoría de los autores creen que, si el fragmento desplazado bloquea la rotación del antebrazo, está indicada la intervención quirúrgica. La visualización a través del portal medial anterior proximal permite evaluar no solo la incongruencia articular, sino también la estabilidad del fragmento de fractura a través de un rango de rotación del antebrazo(7). Cualquier bloqueo óseo a la rotación también se identifica fácilmente. Tras lavar la articulación del codo con suero y desbridar los coágulos, se aprecia de forma clara el tipo de fractura y el número de fragmentos óseos. A continuación, se puede utilizar una AK de 1,8-2,2 mm a modo de joystick para permitir la manipulación y reducción de algunas fracturas de cabeza radial de 2 partes. Después de la reducción se puede utilizar un tornillo canulado de tipo Herbert o similar para asegurar la fijación (Figura 8). Para este procedimiento, es obligatorio conocer a fondo la anatomía neurovascular y la ubicación del portal. Los tornillos pueden colocarse percutáneamente a través de los portales establecidos o nuevas incisiones exclusivas para introducirlos en la dirección óptima. Cada fractura es diferente y puede requerir diferentes ángulos de inserción del tornillo. Este tornillo autocomprimible proporciona buena estabilidad y permite un movimiento temprano. Este implante también se puede enterrar completamente debajo del borde articular del cartílago de la cabeza radial, evitando así la obstrucción del dispositivo en la articulación radiocubital proximal.
Figura 8. Fractura de la cabeza radial asistida por artroscopia.
Figura 8. Fractura de la cabeza radial asistida por artroscopia.

Fractura unicondílea del húmero
Las fracturas del húmero unicondilar distal a veces son susceptibles de una evaluación y fijación asistida artroscópicamente. Esto es particularmente cierto cuando no hay conminución presente.
Milch clasificó las fracturas unicondilares en 2 tipos(8).
En las fracturas de tipo II, el reborde troclear lateral se incluye en el fragmento de fractura desplazado, lo que hace que el codo sea inestable. Las fracturas de tipo II generalmente requieren una placa de neutralización además de la fijación interfragmentaria del tornillo, lo que hace que las técnicas artroscópicas sean inapropiadas.
Las fracturas del cóndilo humeral de tipo I, sin embargo, son más pequeñas y afectan mucho menos la estabilidad de la articulación del codo. Algunos investigadores recomiendan el manejo no quirúrgico de estas fracturas, pero las desventajas del tratamiento no quirúrgico incluyen la incongruencia de la articulación residual, la inmovilización prolongada y la posibilidad de desplazamiento tardío de los fragmentos de fractura(9).
También se ha recomendado la reducción abierta y la fijación interna para las fracturas desplazadas de Milch de tipo I(10).
Fractura supraintercondílea del húmero
Las fracturas supracondíleas también requieren una reconstrucción con tornillos y placas, y una artrotomía en la mayoría de los casos. Las fracturas supracondíleas se dividen en 2 tipos: en extensión (la mayoría) y en flexión.
Las fracturas que se presentan con una mínima inflamación son susceptibles de fijación artroscópica asistida. El hematoma y los restos articulares se eliminarán y usaremos una o varias AK para reducir la fractura percutáneamente (Figuras 9 a 12) colocando a continuación tornillos canulados en la columnas medial o lateral del húmero. Se debe usar el fluoroscopio para evitar introducirlo dentro de la fosa olecraniana(11).
Figura 9. Radiografías y tomografía axial computarizada de fractura supraintercondílea.

Figura 10. Colocación del paciente, visión articular de la fractura y reducción artroscópica.

Figura 11. Fijación interna con 3 tornillos canulados, control por escopia y artroscópica.

Figura 12. Resultado final.

En el postoperatorio, los pacientes pueden comenzar ejercicios de rango de movimiento protegidos de manera inmediata y así reducir las posibilidades de rigidez postoperatoria asociadas con el tratamiento cerrado de estas fracturas(12).
Fractura del olécranon
El uso de la artroscopia para las fracturas del olécranon es mucho menor (Figura 13), siendo indicada para valorar su reducción articular en aquellas poco desplazadas y que precisen movilización precoz.
Figura 13. Fijación interna de fractura de olécranon asistida por artroscopia.
Figura 13. Fijación interna de fractura de olécranon asistida por artroscopia.

Complicaciones
La articulación del codo no está exenta de complicaciones a la hora de realizar una cirugía artroscópica, siendo las lesiones nerviosas las más comunes dada la cercanía de estructuras neurovasculares (radial, mediano y cubital) y, si estamos tratando fracturas, se añade el riesgo de un posible síndrome compartimental (Tabla 2).
Tabla 2. Complicaciones más frecuentes de la artroscopia de codo

En nuestro caso, en toda nuestra serie de artroscopias de codo (110) hemos tenido 3 lesiones del nervio radial (2 neuromnesis y 1 neuroapraxia) y 1 del mediano (neuroapraxia) en el postoperatorio inmediato, que se resolvieron posteriormente de forma espontánea.
De todas estas, solo 1 fue en una secuela de una fractura (pseudoartrosis), pero ninguna en una fractura aguda del codo. Tampoco hemos tenido ninguna infección.
Discusión
En la actualidad son muy pocos los casos publicados en la literatura sobre fracturas del codo asistidas artroscópicamente, no existiendo series ni metaanálisis al respecto.
Los motivos de esta baja casuística son varios, destacando la complejidad anatómica de esta articulación y la morbilidad que tiene la realización de una artroscopia de codo.
Carson y Myers hicieron referencia a las ventajas potenciales de la cirugía artroscópica en las fracturas de la cabeza y capitellum radiales, y O'Driscoll y Morrey describieron la evaluación de la congruencia articular en pacientes con fracturas de cabeza radial(4,13).
Por nuestra parte, en el año 2009 realizamos una búsqueda bibliográfica en PubMed con los términos “elbow fracture arthroscopically-assisted”, obteniendo tan solo 3 resultados. Ocho años mas tarde, en septiembre de 2017, este número aumentó tan solo a 9, es decir, que no ha habido grandes cambios.
El primer artículo publicado sobre fracturas del capitellum asistidas por artroscopia se remonta al año 2002, donde Hardy P et al.(4) escriben que “recientemente, las fracturas del codo se han tratado artroscópicamente, incluidas las fracturas de cabeza radial, el capitellum y las fracturas coronoides”.
Cuatro años más tarde, Rolla et al.(7) lo describen para las fracturas de cabeza radial “con un solo fragmento grande de la cabeza radial” e igualmente Akesson et al.(14) para las fracturas no desplazadas: “la capacidad de reparar estas simples fracturas radiales de cabeza de forma artroscópica podría ser un triunfo de la tecnología”.
Ese mismo año, Graveleau et al.(15) publicaron su experiencia sobre las fracturas agudas del codo tratadas por vía artroscópica: “El tratamiento artroscópico de las fracturas de codo (capitellum, coronoides, olécranon y radial) proporciona una excelente visión intraarticular con pocos daños en los tejidos blandos. El daño del cartílago, los cuerpos libres intraarticulares y las lesiones capsulolabrales están bien sistematizadas. Usamos rutinariamente abordaje lateral, tratando de evitar el abordaje medial”.
En 2007, en un artículo de revisión, el Dr. Steinman(16) de la Mayo Clinic habla sobre el significativo avance que la artroscopia de codo ha tenido en esta última década, a nivel de tecnología y técnica quirúrgica, por lo que las indicaciones habían aumentado notablemente.
Tras describir las indicaciones clásicas, incorpora el apartado de fracturas mencionando 2 indicaciones, las fracturas de cúpula radial: “En la actualidad, he aceptado de 2 a 3 mm de desplazamiento en fracturas simples de cabeza radial y he estado satisfecho con los resultados del tratamiento no quirúrgico. Las fracturas más complejas de la cabeza radial con 2 a 3 fragmentos continuarán requiriendo una fijación interna de reducción abierta. Y las fracturas coronoides son candidatas para la fijación artroscópica”.
Pero quizás el artículo más completo sobre el manejo artroscópico de las fracturas del codo y con más iconografía es el publicado en la revista Hand Clinic (2004) por los Dres. Holt, Savoie y Ramsey de Minnesota(17).
En el mismo hacen un recorrido mostrando su experiencia en el tratamiento de las fracturas del codo, donde utilizan la visión directa artroscópica como coadyuvante de la cirugía, así como el equipo del Dr. Hausman(1) publicando en 2015 su experiencia con distintos tipos de fracturas del área del codo.
Dentro de las complicaciones, destacan las lesiones nerviosas. En caso de mala visualización de estructuras anatómicas o dificultad en el procedimiento, deberíamos convertirlo en cirugía abierta(12). Pero nuestra opinión es que, una vez superada una curva de aprendizaje, que estimamos en 40 casos (siempre que se domine la triangulación básica de la artroscopia), las complicaciones descienden de forma vertiginosa llegando a pasar a ser un procedimiento seguro (como las de rodilla). El uso de varillas o separadores capsulares nos permite alejar las estructuras neurovasculares del instrumental quirúrgico e implantes de osteosíntesis.
Conclusiones
En nuestra experiencia, la artroscopia es una herramienta muy valiosa en el diagnóstico y tratamiento de las fracturas intraarticulares agudas del codo en las indicaciones anteriormente descritas, así como en el tratamiento de algunas secuelas.
Permite un tratamiento eficaz de la fractura sin tener que realizar un extenso abordaje sobre unos tejidos ya de por sí afectados. Igualmente, nos aporta una excelente visión de la fractura así como de su reducción anatómica final (Figura 14). Es preceptivo un adecuado estudio de imagen, así como planificación pre- y postoperatoria.
Figura 14. Colocación en el quirófano. El autor realizando una fractura del codo asistida por artroscopia.

Quizás tendremos que mejorar los sistemas instrumentales, pasahilos y de osteosíntesis, que nos permitan una fijación estable y una movilización precoz de la articulación lesionada.
Con este trabajo no pretendemos decir que todas las fracturas del área del codo tengan indicación de tratamiento por vía artroscópica, pero sí que, en determinadas circunstancias, no solo puede ayudar, sino también mejorar el tratamiento de estas –a menudo complejas– lesiones.
La artroscopia también es útil en la identificación de inestabilidades en varo, valgo, posterolateral giratoria, en particular cuando estas son menos evidentes en el examen clínico.
Como conclusión final, afirmamos que la tasa de satisfacción es alta y estamos convencidos de que finalmente la artroscopia del codo, actualmente realizada por pocos cirujanos, se extenderá y será una técnica más en la cartera de muchos servicios a pesar de no ser una técnica sencilla.
Para ello, se deben aumentar la docencia (Plan de Formación Nacional en Artroscopia), el número de cursos de instrucción, prácticas en cadáveres, distribución de videotécnicas, así como una mayor apuesta por las casas comerciales.
Vídeo anexo
https://s3-eu-west-1.amazonaws.com/fondoscience/REACA-FS1712-064_video…
