Introducción
Las lesiones degenerativas del manguito rotador se encuentran entre las patologías más frecuentes del hombro(1) y, aunque existe controversia en cuanto a su patogenia, las variaciones en la morfología escapular han sido asociadas con su desarrollo(2). Diversas teorías recientes sugieren que existe una predisposición morfológica que alteraría la biomecánica del hombro y favorecería el desarrollo de estas roturas.
Varios estudios han demostrado que una mayor oblicuidad de la cavidad glenoidea se asocia con un incremento del componente de cizallamiento de las fuerzas generadas por el músculo deltoides(3,4,5) y, por tanto, con una mayor elevación de la cabeza humeral.
Además, una marcada extensión lateral del acromion aumenta el componente vertical de las fuerzas del deltoides(6,7,8). Estas fuerzas verticales podrían incrementar la elevación de la cabeza humeral y con ello favorecer la lesión del manguito rotador por sobrecarga del mismo y por el desarrollo de impingement subacromial, sobre todo en aquellos ángulos mayores de 38°(9,10,11).
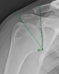
Para evaluar estas fuerzas, Moor(6) describió el ángulo crítico del hombro (Figura 1), que es una medida radiológica que está formada por una línea que conecta el margen inferior y el margen superior de la cavidad glenoidea y otra línea que une el margen inferior de la glenoides con el borde lateral del acromion, cuya ventaja es que combina la extensión lateral del acromion con la inclinación de la fosa glenoidea en una única medida cuantificable. De manera que las cifras > 35° se relacionaron con el aumento del riesgo de lesión no traumática del manguito rotador y valores < 30° con artrosis glenohumeral.
Figura 1. Radiografía con proyección anteroposterior verdadera de hombro derecho. Medición del ángulo crítico del hombro (32,7°).

Se trata del predictor anatómico más potente de roturas degenerativas del manguito, de entre los parámetros radiológicos más estudiados (índice acromial, ángulo lateral del acromion, pendiente acromial, morfología acromial de Bigliani, etc.)(12,13). Este ángulo presenta una concordancia interobservador excelente(13) y es un predictor potente y sensible de roturas degenerativas tanto parciales como totales debido a que toma en cuenta ambos parámetros y a que son fácilmente medibles con exactitud en la radiografía(14,15) y tomografía computarizada(16), siendo más fiable que la medida obtenida mediante resonancia magnética (RM)(17). Sin embargo, es importante realizar una proyección anteroposterior (AP) verdadera de hombro, ya que se ha demostrado que desviaciones mayores de 5° en la anteversión pueden resultar en más de 2° de diferencia en el valor del ángulo crítico(15).
En el estudio radiográfico y sobre tomografía computarizada de Daggett(18), también se concluyó que la inclinación glenoidea está íntimamente relacionada con el ángulo crítico del hombro y se encuentra significativamente incrementada en pacientes con roturas masivas del manguito rotador.
El objetivo de nuestro estudio fue investigar la relación existente entre el ángulo crítico del hombro y los resultados funcionales tras la reparación artroscópica de las roturas completas degenerativas del manguito rotador, con la hipótesis de que en aquellos pacientes con un ángulo crítico menor se obtendrían mejores valores funcionales postoperatorios, pudiendo ser útil como factor pronóstico.
En el momento actual, solo hemos encontrado en la bibliografía un artículo de García et al.(19) y otro de Kirsch et al.(20) en los que se comparan ambos parámetros.
Métodos
Se realizó un estudio retrospectivo revisando a 100 pacientes intervenidos por roturas degenerativas completas del manguito rotador, mediante reparación artroscópica y acromioplastia durante los años 2013 y 2014, tras aceptar el consentimiento informado, con un periodo mínimo de seguimiento de 6 meses.
Los criterios de inclusión fueron los siguientes: rotura del manguito rotador confirmada por RM, proyección AP verdadera de hombro preoperatoria con solapamiento de borde anterior y posterior de la glenoides < 5 mm y ausencia de traumatismo ni cirugía previa del hombro. Todos los pacientes comenzaron rehabilitación progresiva controlada según la tolerancia desde el día después de la intervención.
Las variables estudiadas fueron: el ángulo crítico del hombro preoperatorio con radiografía simple, la edad, la lateralidad, el tipo de rotura, el tipo de reparación, el test de Constant preoperatorio, al mes, 3 y 6 meses postoperatorio. De igual modo, se valoraron las complicaciones.
Las cirugías fueron realizadas por un único cirujano experto de hombro y las medidas radiológicas y clínicas fueron recogidas por 3 médicos internos residentes de manera ciega.
Se realizó el análisis estadístico mediante el programa SPSS 15.0 (SPSS, Chicago, IL, USA) por un estadístico independiente, empleándose la prueba de Kolmogorov-Smirnov para evaluar la normalidad de las variables, el test de Pearson, la prueba T y la prueba de Mann-Withney, estableciéndose la significación estadística en p < 0,05.
Resultados
Cumplieron los criterios de inclusión 83 pacientes, valorándose finalmente 88 hombros y apreciándose los resultados que se detallan a continuación.
Mediante la prueba de Kolmogorov-Smirnov se obtuvo una media del ángulo crítico de 37,1 ± 3,1°(32-46°). El test de Constant preoperatorio obtuvo una media de 52,18 ± 11, al mes de 54,20 ± 9,50 (25-80), a los 3 meses de 65,86 ± 8,96 (30-85) y a los 6 meses de 79,58 ± 8,86 (40-95) (Tabla 1).
Tabla 1. Prueba de Kolmogorov-Smirnov para calcular las medias y desviaciones estándar del ángulo crítico y de las puntuaciones en el test de Constant

Con la prueba de Mann-Whitney y la prueba T se encontró una relación estadísticamente significativa entre el tamaño de la rotura y el Constant preoperatorio (p = 0) y al mes (p = 0,013), y prácticamente también a los 3 meses (p = 0,056).
Con el test de Pearson se observó, en valores de ángulo crítico menores, una tendencia a puntuaciones mayores en la escala de Constant en el preoperatorio (p = 0,658), al primer mes (p = 0,699), al tercero (p = 0,764) y al sexto (p = 0,654), sin ser la diferencia estadísticamente significativa.
En cuanto a los resultados demográficos, la edad media fue de 55,1 años, encontrándose 30 hombres (36,1%) y 53 mujeres (63,9%), con afectación del lado derecho en 62 casos (70,5%) y del lado izquierdo en 26 pacientes (29,5%). En cuanto a la etiología, el 4,55% fue deportiva, laboral en el 48,86% y sin claro origen en el 46,59%. El tipo de rotura se dividió según el tamaño, siendo pequeñas aquellas menores de 3 cm en el 70% y grandes mayores de 3 cm en el 30%. Existió un porcentaje de incidencias postoperatorias del 14,7% (rerrotura en el 9,09% de los pacientes, rigidez en un 3,41%, dolor en la porción larga del bíceps que requirió tenotomía en el 1,14% e inestabilidad en el 1,14% de los pacientes). La tasa de seguimiento final fue del 100%.
Discusión
El manguito rotador del hombro tiene la función de centralizar la cabeza humeral sobre la glenoides, neutralizando las fuerzas ascendentes del músculo deltoides. Con el incremento de la edad, así como con otros factores intrínsecos y extrínsecos, se produce una degeneración progresiva del mismo que va a provocar su debilidad para contrarrestar al deltoides, resultando en un ascenso de la cabeza humeral con un pinzamiento subacromial secundario y con mayor desgaste tendinoso. Además, cuanto mayor sea el valor del ángulo crítico del hombro, mayor será la carga de trabajo del manguito rotador para contrarrestar al músculo deltoides, acelerándose el proceso degenerativo y favoreciéndose la rotura del mismo. De manera similar, un traumatismo o múltiples microtraumatismos exacerbarían el proceso(13).
Por ello, los pacientes que han sido sometidos a una reparación artroscópica y que tienen un ángulo crítico elevado teóricamente sufrirán mayores cargas que podrían conducir a un compromiso en la integridad de la reparación, obteniéndose peores resultados funcionales.
La media preoperatoria del ángulo crítico del hombro obtenido (37,1°) es un valor elevado que viene a corroborar lo que ya había sido referido en la bibliografía, desde los estudios iniciales de Moor(6) en los que se describe el mayor riesgo de lesión de manguito rotador en valores altos de este ángulo, hasta los actuales como el de Blonna(21), en el cual se establece que, mientras que en pacientes control la media era de 34°, en aquellos con roturas del manguito rotador la media era de 36° en roturas del músculo supraespinoso y de 40° en roturas de músculos supraespinoso e infraespinoso.
García(19) en su trabajo evaluó la relación entre el ángulo crítico y la rerrotura tras la reparación quirúrgica, sugiriendo la influencia del ángulo crítico en la curación postoperatoria y en la transmisión de cargas, concluyendo que en aquellos pacientes con un ángulo elevado se aumentaba el riesgo de rerrotura completa del manguito y además obtenían peores puntuaciones postoperatorias en la escala americana de cirujanos de hombro y codo. En este aspecto hay que destacar que no siempre las tasas mayores de rerrotura se relacionan con peores resultados en las escalas funcionales.
Por el contrario, Kirsch concluyó que el ángulo crítico no parece ser un predictor significativo en los resultados funcionales y en la puntuación en la escala del dolor tras la reparación quirúrgica de estas lesiones.
En nuestro estudio estadístico existe una asociación significativa entre el tamaño de la rotura y el test de Constant preoperatorio y al primer mes. Por lo tanto, las roturas < 3 cm se relacionan con mejores resultados funcionales preoperatorios y al primer mes.
Sin embargo, no hemos obtenido resultados estadísticamente significativos en la relación entre valores de ángulo crítico menores asociados a mejores resultados funcionales posquirúrgicos, por lo que se refuta la hipótesis inicial.
En cuanto a las limitaciones del estudio, existe un posible factor de confusión en la asociación entre el ángulo crítico y los resultados funcionales, debido a la modificación de la anatomía tras la acromioplastia que podría alterar el curso natural. En los pacientes del estudio se realizó esta técnica de manera protocolizada. Esta modificación en el ángulo fue descrita por Katthagen(22) en cadáveres, de manera que tras la acromioplastia anterolateral se reducía el ángulo crítico una media de 1,4° y, si se asociaba con la resección lateral de 5 mm de acromion, se reducía hasta 2,8°. Sin embargo, concluyen que se necesitan más estudios para discernir si esta reducción es clínicamente significativa. En otro estudio similar de Altintas(23), se obtienen aún mejores resultados mediante la resección lateral artroscópica de 1 cm del acromion, disminuyendo una media de 6,5° el ángulo crítico sin discontinuidad macroscópica de la inserción del deltoides, por lo que se necesita estudiar si los pacientes con valores desfavorables del ángulo crítico se beneficiarían de esta técnica.
Además, con un mayor tamaño muestral y un seguimiento más largo, es posible que hubiéramos obtenido un aumento de la significación en los resultados.
La importancia del estudio del ángulo crítico radica en que con la corrección quirúrgica del mismo podríamos prevenir las lesiones degenerativas del manguito o reducir la tasa de rerrotura tras su reparación. Además, podría ayudar a predecir qué pacientes tendrán más riesgo de fracaso tras una artroplastia de hombro por deficiencia del manguito y, por lo tanto, seleccionar a aquellos pacientes candidatos a una artroplastia invertida de hombro.
Conclusiones
Este estudio coincide con otras publicaciones en las que se confirma la relación existente entre los valores elevados del ángulo crítico en pacientes que han sufrido rotura del manguito rotador.
Existe una asociación significativa entre el tamaño de la rotura y el test de Constant preoperatorio y al primer mes posquirúrgico. Sin embargo, no podemos confirmar que en aquellos pacientes con valores inferiores de ángulo crítico se obtengan mejores resultados funcionales medidos en la escala Constant tras la reparación artroscópica del manguito.
