Introducción
La condromatosis sinovial es una patología poco frecuente, con una incidencia estimada de un caso por cada 100.000 habitantes(1). Se caracteriza por la proliferación de nódulos cartilaginosos en la membrana sinovial(2,3), que pueden desprenderse, formando cuerpos libres intraarticulares(4). Su curso clínico se ha dividido clásicamente en 3 fases(5): una fase inicial con afectación sinovial sin cuerpos libres; una fase transicional con proliferación sinovial activa y cuerpos libres; y una fase tardía, con múltiples cuerpos libres sin enfermedad sinovial. Aunque puede aparecer en cualquier articulación, es más frecuente en la rodilla, seguida de la cadera y del codo(4,5). Puede ser primaria (de etiología desconocida) o secundaria a algún trastorno articular, como la artrosis, lo que puede condicionar su tratamiento(2). Normalmente, se presenta de forma intraarticular, siendo menos frecuente su desarrollo en una localización extraarticular(1).
El quiste poplíteo, también conocido como quiste de Baker, se define como una acumulación extraarticular de líquido sinovial en la bursa gastrocnemio-semimembranosa, localizada en el aspecto medial de la fosa poplítea(3). La comunicación unidireccional de esta bursa con la cavidad articular a través de una apertura valvular en la cápsula posteromedial facilita la formación del quiste en presencia de patologías que incrementan la producción de líquido sinovial(6). La coexistencia de condromatosis sinovial dentro de un quiste de Baker es una condición inusual, con pocos casos documentados en la literatura(3). Esta coexistencia podría explicarse por la comunicación anatómica que existe entre el quiste poplíteo y la cápsula posteromedial, aunque esta relación no ha sido demostrada(6).
El objetivo del artículo es ilustrar la singularidad de un caso infrecuente de condromatosis sinovial localizada dentro de un quiste de Baker, una presentación inusual. Además, se describe su resolución mediante de un abordaje endoscópico innovador, como es el portal transgastrocnemio, que permitió la exéresis segura de los cuerpos libres sin comprometer la articulación.
Presentación del caso
Se presenta un caso clínico de un paciente de 64 años sin antecedentes médicos relevantes, que acude por dolor y tumoración en la región posterior de la rodilla derecha, de meses de evolución. El paciente no presentó ningún episodio de bloqueo ni derrame articular, y no tenía antecedentes de traumatismo previo.

A la exploración física, presentaba un balance articular completo, con dolor en la cara posterior de la rodilla (región poplítea) a la hiperflexión. Presentaba una tumoración de consistencia blanda en dicha región de 3 × 5 cm aproximadamente. La rodilla presentaba un eje mecánico normal, sin laxitud ni dolor femoropatelar.

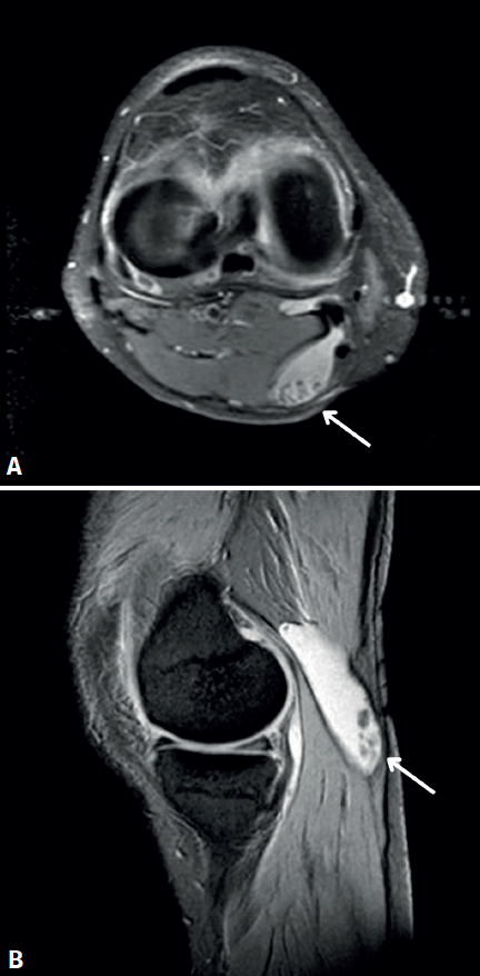
La radiografía no mostró hallazgos significativos. La resonancia magnética (RM) reveló una rotura degenerativa del menisco medial y un quiste de Baker posteromedial, con pequeñas tumoraciones redondeadas de densidad cartilaginosa dentro de este (Figura 1).

Inicialmente, se indicó como tratamiento la evacuación del quiste mediante una punción guiada por ecografía, con la posterior infiltración de 40 mg de triamcinolona acetónido. Tras este procedimiento, el paciente notó un alivio significativo del dolor. Sin embargo, 2 meses más tarde, el paciente volvió a consultar por recurrencia del dolor y de la tumoración, por lo que, en este momento, se indicó el tratamiento quirúrgico. Por motivos laborales del paciente, la cirugía se pospuso 10 meses. En el momento de la indicación quirúrgica, el paciente presentaba una puntuación de 68 en el test de Lysholm y una puntuación de 3 en el test de Tegner.

Inicialmente, se realizó una artroscopia diagnóstica a través de los portales anterolateral y anteromedial estándares, en la que se identificó una rotura degenerativa del menisco medial, que se regularizó con instrumental motorizado y vaporizador de radiofrecuencia. A continuación, se realizó un portal posteromedial bajo visión directa intraarticular, para explorar el compartimento posterior de la rodilla. Durante la exploración, se localizó el orificio de entrada del quiste poplíteo, cerrado por una capa de tejido sinovial, que fue desbridado con instrumental motorizado a través del portal posteromedial. Esto permitió acceder al interior del quiste de Baker, donde se hallaron múltiples cuerpos libres de aspecto y consistencia cartilaginosa (Figura 2). Dada la dificultad de acceso a dichos cuerpos libres, se decidió la realización de un portal transgastrocnemio (Figura 3): bajo visión directa, con la óptica en el portal posteromedial habitual, se marcó el punto de entrada al quiste con una aguja Abbocath® a través del gastrocnemio medial. El portal se situó en la región proximal del gastrocnemio, a la altura aproximada de la localización del quiste –determinada por la combinación de palpación y visualización directa con el artroscopio–, desde el lado medial para evitar las estructuras neurovasculares poplíteas. Una vez colocado el Abbocath® como guía en la posición deseada, se procedió a la realización del portal mediante una incisión longitudinal de 0,5 cm con bisturí del n.º 11. Este abordaje facilitó el acceso al interior del quiste, pudiéndose realizar la exéresis de los cuerpos libres previamente identificados de forma extraarticular directa, evitando así la diseminación dentro de la articulación (Figura 4). Finalmente, se realizó un desbridamiento de las paredes del quiste a través del mismo portal transgastrocnemio (Figura 5). El material resecado se envió para su estudio anatomopatológico.

El resultado anatomopatológico fue de nódulos cartilaginosos libres intraarticulares, parcialmente hialinizados, con focos de calcificación distrófica, con diagnóstico compatible con condromatosis sinovial, por lo que no se precisó ningún gesto terapéutico adicional para su tratamiento.
Durante el postoperatorio inmediato, se enseñaron ejercicios domiciliarios de potenciación del cuádriceps y movilización de la rodilla, y se indicó el uso de bastones para una marcha protegida. A los 10 días de la cirugía, el paciente presentaba un balance articular de 110-0° y una fuerza de cuádriceps de 4 sobre 5. Se autorizó la marcha sin bastones de forma progresiva; asimismo, se prescribió fisioterapia consistente en cinesiterapia y potenciación del cuádriceps.
A las 6 semanas de la cirugía, el dolor había desaparecido por completo. Además, el paciente presentaba un balance articular completo y una recuperación muscular completa. El paciente consiguió un retorno progresivo a su actividad física habitual, consiguiendo una recuperación completa a los 3 meses de la cirugía.
Un año después de la cirugía, el paciente presentaba un resultado en el test de Lysholm de 94 puntos y un resultado en el test de Tegner de 6 puntos, que eran iguales a los prelesionales. En este momento, se realizó RM de control, donde se observó que no existía recidiva del quiste de Baker ni de la condromatosis sinovial.
El paciente otorgó su consentimiento informado por escrito para la publicación de su caso, incluyendo datos clínicos e imágenes, garantizando el respeto a su privacidad y anonimato.
Discusión
La condromatosis sinovial es una enfermedad benigna de la membrana sinovial que afecta principalmente a las grandes articulaciones, en la que se produce un crecimiento de nódulos cartilaginosos(4), que puede dar lugar a cuerpos libres que se distribuyan por la articulación, provocando degeneración articular(7).
La mayor peculiaridad del caso que se presenta radica en la presencia de un foco de condromatosis sinovial en un quiste de Baker, una localización extraarticular poco frecuente(3). Esta ubicación puede suponer una causa de retraso en el diagnóstico y contribuir a la persistencia y recidiva en los síntomas tras el drenaje del quiste poplíteo.
El tratamiento de la condromatosis sinovial es controvertido, pero generalmente incluye la extracción de los cuerpos libres para prevenir la degeneración articular(6,8). En el caso presentado, se realizó un primer intento de eliminación del quiste por vía percutánea, pero, tras el fracaso del manejo conservador, se optó por una resección quirúrgica.
Aunque se han propuesto distintas técnicas quirúrgicas abiertas para el manejo del quiste poplíteo(6), la tendencia actual es su abordaje artroscópico, ya que se trata de una técnica menos invasiva y con menor riesgo de lesión neurovascular(9,10). En este caso, se empleó una técnica artroscópica, sin complicaciones asociadas, lo que condicionó una rápida recuperación del paciente.
Durante la intervención, se realizó una sinovectomía en bloque del quiste. Algunos autores recomiendan la exéresis de la membrana sinovial junto a la extracción de cuerpos libres, con la finalidad de disminuir el riesgo de recidiva de la condromatosis(11); sin embargo, actualmente no existe un consenso sobre si su realización es necesaria en todos los casos(12).
La literatura sugiere que el uso de dos portales posteromediales disminuye el riesgo de recidiva en comparación con el uso de un solo acceso posteromedial(13), lo cual está en consonancia con el tratamiento recibido por parte del paciente presentado, en el que se realizaron dos portales posteromediales para la exéresis de los cuerpos libres. Sin embargo, en el presente caso, uno de los portales posteromediales se realizó a través del gastrocnemio medial, a diferencia de los descritos por otros autores, que suelen situar el portal varios centímetros más proximal o distal al portal posteromedial principal(8,14). Este abordaje a través del gastrocnemio medial, no descrito previamente, permitió un acceso más directo a la lesión y la extracción de los cuerpos libres, aprovechando la propia cavidad del quiste como zona de retención, evitando la diseminación de los nódulos por la articulación.
La tasa de recidiva de la condromatosis sinovial publicada varía del 3 al 23%(15). La falta de seguimiento a largo plazo en el caso que se presenta podría impedir la detección de una recurrencia de la enfermedad tardía; sin embargo, el paciente no mostró recidiva de la enfermedad durante el seguimiento, siendo dado de alta a los 2 años de la cirugía.
Conclusiones
La condromatosis sinovial extraarticular alojada en un quiste de Baker es una entidad poco frecuente. La extirpación por vía artroscópica ha mostrado ser una técnica eficaz, ya que permite el tratamiento de las lesiones concomitantes en el mismo tiempo, reduciendo el número de complicaciones. La realización de un portal transgastrocnemio puede ayudar a evitar la diseminación de los nódulos a través de la articulación.
