Introducción
La patología del manguito rotador es la lesión más frecuente en el hombro. En 1944, McLaughlin describió inicialmente las roturas del manguito rotador como roturas transversas, verticales o roturas retraídas del mismo(1). Desde entonces, se han descrito muchas clasificaciones que estudian las características de la rotura tendinosa; sin embargo, no existe ninguna que englobe todos los criterios que permiten determinar el diagnóstico y el tratamiento óptimos de las mismas. En los últimos años los avances en el diagnóstico por imagen, así como el desarrollo de la técnica artroscópica, nos han permitido un mayor conocimiento de este tipo de lesiones, pudiendo describir de forma más precisa su extensión, localización, calidad tendinosa, forma e incluso el comportamiento a largo plazo de las roturas del manguito rotador que tratamos en el día a día.
Las diversas clasificaciones del manguito rotador deben estar basadas en varios criterios. En primer lugar, la clasificación debe describir la localización y la forma de la rotura que permita entender de forma precisa sus características para realizar una buena reparación. En segundo lugar, el sistema de clasificación debe estar ya en uso y, si es posible, ser reproducible y validada, facilitando así la comunicación entre médicos e investigadores. En tercer lugar, la clasificación debe permitir la indicación de un tratamiento específico para cada uno de los casos con un valor predictivo que permita obtener expectativas realistas en el seguimiento postoperatorio. Finalmente, debe ser sencilla de recordar.
Clasificación ISAKOS de las roturas del manguito rotador
Tras la revisión de la literatura, el comité de hombro de la International Society of Arthroscopy, Knee and Orthopaedic Surgery (ISAKOS) ha desarrollado una clasificación de las roturas del manguito rotador. El objetivo de este estudio es mostrar la nueva clasificación ISAKOS como un sistema de diagnóstico eficaz y reproducible que permite realizar un tratamiento óptimo de esta patología para poder ser utilizado en estudios multicéntricos.
Se trata de un método completo y directo para describir todas las roturas del manguito rotador basándose en el hecho de que un buen sistema debería proporcionar los datos fundamentales para planificar la cirugía y predecir el pronóstico de la lesión. Es un sistema fácil de usar e incluye las 5 características esenciales de las roturas: patrón (P), extensión (E), atrofia grasa (A), retracción (R) y localización (L), conformando el acrónimo “PEARL”, que ayuda a recordar la clasificación (Tabla 1).
Tabla 1. Clasificación del Comité de Hombro de la ISAKOS de las roturas del manguito rotador

Patrón (P)
- Rotura parcial del manguito posterosuperior:
- Afectación de menos del 50% del grosor del tendón.
- Afectación de más del 50% del grosor del tendón.
- Rotura completa del manguito posterosuperior:
- Forma creciente.
- Forma de U.
- Forma de L.
- Forma de L invertida.
Extensión (E)
- Si la rotura es parcial:
- Articular.
- Bursal.
- Si la rotura es completa:
- C1: pequeña rotura completa menor de 1 cm.
- C2: moderada rotura menor de 2 cm con afectación de un solo tendón sin presencia de retracción.
- C3: rotura completa de gran tamaño con una mínima retracción, entre 2 y 4 cm.
- C4: rotura masiva del manguito rotador mayor de 4 cm que afecta a 2 o más tendones del manguito rotador asociada con importante retracción y cicatrización del tendón remanente.
- Si la rotura es anterior (afectación del subescapular):
- Tipo 1: erosiones simples del tercio superior sin avulsión ósea.
- Tipo 2: desinserción limitada al tercio superior.
- Tipo 3: desinserción del espesor completo del tercio inferior con retracción limitada.
- Tipo 4: desinserción completa del subescapular del troquín, aunque la cabeza humeral se mantiene bien centrada.
- Tipo 5: rotura completa con migración anterosuperior de la cabeza humeral.
Atrofia muscular y degeneración grasas (A)
Existen 5 subtipos según la atrofia muscular y la degeneración grasa visualizada en cada uno de los tendones afectados:
- Supraespinoso (SSO, SS1, SS2, SS3, SS4).
- Infraespinoso (IS0, IS1, IS2, IS3, IS4).
- Subescapular (SC0, SC1, SC2, SC3, SC4).
Retracción (R)
- Grado 1.
- Grado 2.
- Grado 3.
Localización (L)
- Posterosuperior: rotura parcial.
- Posterosuperior: rotura completa.
- Anterior: subescapular.
Estudio piloto
Con este planteamiento, el Comité de Hombro de la ISAKOS inició un proyecto científico partiendo de la hipótesis de que la clasificación ISAKOS de las roturas del manguito rotador constituye un sistema de diagnóstico eficaz y reproducible que permite realizar un tratamiento óptimo de esta patología y puede servir de lenguaje universal para una comunicación eficaz entre los diferentes profesionales implicados. El objetivo del estudio era evaluar si la clasificación ISAKOS de las roturas del manguito rotador es fiable y reproducible estudiando la concordancia intra- e interobservador. Previamente a la realización del estudio definitivo, se diseñó y ejecutó un estudio piloto preliminar que nos permitió poner a punto la metodología y cuyos resultados se presentan en este artículo.
Figura 1. Rotura en forma creciente. A: acromion; B: rotura en forma de semiluna del tendón supraespinoso.

En este estudio piloto se realizó un análisis observacional retrospectivo en el que participaron 2 cirujanos expertos en cirugía artroscópica del manguito rotador (EC, DM). Durante el estudio se valoraron 54 vídeos con una duración máxima de 3 minutos grabados en cirugías de reparación del manguito rotador que incluyeron toda la variedad de roturas tendinosas. Los vídeos mostraban imágenes artroscópicas de lesiones del manguito rotador tras bursectomía y antes de realizar la liberación tendinosa.
Figura 2. Rotura del manguito rotador en forma de U. A: tendón infraespinoso; B: tendón supraespinoso; C: cabeza humeral.

Tras el análisis de las imágenes artroscópicas de lesiones del manguito rotador, cada uno de los observadores describió la rotura según los siguientes parámetros.
Figura 3. Rotura del manguito rotador en forma de L. A: tendón infraespinoso; B: tendón supraespinoso; C: glena; D: cabeza humeral.

Patrón
Conocer el patrón de la rotura es fundamental para la reparación artroscópica de la misma. Las clasificaciones tradicionales estaban basadas exclusivamente en la extensión de la rotura y en el número de tendones afectados, pero no diferenciaban entre los distintos patrones de la rotura o los distintos métodos de reparación.
Figura 4. Rotura de supra- e infraespinoso en forma de L invertida con presencia de 2 capas. A: tendón supraespinoso; B: tendón infraespinoso; C: cabeza humeral.

Las roturas parciales del manguito rotador no son consideradas en la mayoría de las clasificaciones existentes. Ellman dividió las roturas parciales en 3 tipos según la localización de la rotura: rotura parcial del lado bursal, rotura parcial del lado articular y rotura intersticial. Cada uno de los tipos se divide en 3 subtipos en función de la profundidad: grado I, rotura menor de 3 mm; grado II, roturas entre 3 y 6 mm; y grado III, roturas mayores del 50% del espesor del tendón(2). Estudios clínicos y experimentales han demostrado que las roturas que afectan más del 50% del espesor del tendón tienen un mejor pronóstico si se tratan quirúrgicamente(3).
Figura 5. Rotura de tipo C1. A: rotura pequeña de espesor completo del supraespinoso; B: cabeza humeral.

DeOrio y Cofield utilizan la longitud y el mayor diámetro de la rotura para clasificarla en 4 categorías: pequeña, mediana, grande o masiva(4). Davidson y Burkhart describieron una clasificación geométrica tridimensional obtenida de la resonancia magnética (RM) preoperatoria y de la visión artroscópica. La ventaja de este sistema es que puede ser utilizado pre- e intraoperatoriamente, ofreciendo una guía esencial en el tratamiento y el pronóstico de cada uno de los tipos de roturas posterosuperiores del manguito rotador. Esta clasificación geométrica define 4 patrones diferentes: rotura en forma de semiluna (Figura 1), en forma de U (Figura 2), en L (Figura 3) y en L invertida (Figura 4)(5). El conocimiento de estos patrones es muy útil a la hora de la reparación anatómica de la rotura. Las roturas en forma de semiluna presentan una buena movilidad mediolateral y son susceptibles de reparación con doble hilera. Las roturas longitudinales (U, L o L invertida) tienen mayor movilidad en un plano y suelen necesitar puntos de convergencia para su reparación. Finalmente, se han descrito las roturas masivas, cuya movilidad está limitada tanto en el plano anteroposterior como en el lateromedial y habitualmente se necesitan técnicas avanzadas de movilización para conseguir su reparación(5,6).
Extensión
La información acerca de la extensión de la rotura, así como del número de tendones afectados, es esencial para la establecer una indicación y para planificar la cirugía. Además, conocer el tamaño de la rotura permite predecir el pronóstico clínico de la reparación.
Figura 6. Rotura de tipo C2. A: rotura del supraespinoso de escasa retracción; B: suturas que provienen de los anclajes; C: cabeza humeral.

Sin embargo, las clasificaciones basadas en el tamaño de la rotura deben ser bidimensionales, ya que la visión unidimensional puede ser engañosa, al mostrar el tamaño de la rotura solo desde el plano anteroposterior(4). Por esta razón, proponemos el sistema de clasificación del manguito posterosuperior sugerida por Snyder, que aporta información no solo del tamaño, sino del número de tendones afectados y la presencia de tejido cicatricial(7). En las lesiones de tipo C1 la lesión atraviesa todo el espesor del tendón y en el eje transversal es pequeña y punzante (Figura 5). Las de tipo C2 son roturas de espesor completo pero la distancia entre los extremos de la rotura es menor de 2 cm con escasa retracción (Figura 6). En las de tipo C3 la rotura afecta en sentido transversal entre 3 y 4 cm con mayor retracción implicando 2 tendones (Figura 7). Y las de tipo C4 son la rotura masiva del manguito de los rotadores con una afectación de espesor completo de toda la anchura de 2 o más tendones asociando importante retracción (Figura 8).
Figura 7. Rotura de tipo C3. A: rotura de mayor retracción que afecta al supra- y al infraespinoso; B: cabeza humeral.

Aunque inicialmente se creía que las roturas del subescapular eran poco frecuentes, ahora se ha observado que la afectación del subscapular es muy común. La etiología, el patrón de rotura, así como el abordaje quirúrgico, son diferentes respecto a las roturas posterosuperiores del manguito. Lafosse et al. crearon una clasificación para las roturas anteriores del manguito rotador dividida en 5 tipos según el patrón y el tamaño analizados artroscópicamente(8). Las roturas de tipo I representan aquellas erosiones simples del tercio superior del subescapular sin avulsión ósea. Las de tipo II consisten en la desinserción del tercio superior del subescapular; en las de tipo III está afectada la inserción completa del tendón, aunque sin desinserción muscular del tercio inferior con retracción limitada del tendón. El tipo IV presenta desinserción completa del subescapular del troquín, pero la cabeza humeral se mantiene centrada, a diferencia del tipo V, en el que existe una rotura completa del subescapular con migración de la cabeza humeral que contacta con la coracoides con infiltración grasa asociada(8).
Atrofia e infiltración grasa
Uno de los factores pronósticos más importantes es la presencia de infiltración y atrofia grasa en los vientres musculares del manguito rotador(6). Debido a la forma fusiforme de los músculos, la retracción muscular tras la rotura del tendón provoca un aspecto más estrecho en el plano parasagital que hace que la atrofia muscular a menudo se sobrestime. La masa muscular observada en la RM secundaria a la retracción tendinosa hace que la parte vacía de la fosa escapular se vea como si estuviera repleta de grasa y tejido conectivo, dando una apariencia de infiltración grasa. Sin embargo, lo que realmente se denomina atrofia es el aumento de la cantidad de grasa en el vientre muscular, visualizándose como estrías(9).
Figura 8. Rotura de tipo C4. A: rotura masiva del tendón supraespinoso con presencia de degeneración grasa; B: glena; C: rotura masiva del tendón infraespinoso; D: cabeza humeral.

La calidad tendinosa se evalúa de acuerdo con la clasificación de Goutallier, que propone 5 estadios de infiltración grasa estudiando imágenes de tomografía computarizada (TC)(10). Posteriormente, Fuchs et al. validaron este sistema basándose en imágenes de RM(11). Esta clasificación permite obtener información acerca del estado preoperatorio del músculo. Goutallier et al. describieron la infiltración grasa del supraespinoso basándose en la degeneración grasa estimada en los cortes coronales y sagitales de la tomografía computarizada, estudiando el porcentaje de grasa encontrado respecto al tejido muscular observado en el subescapular, el supraespinoso, el infraespinoso y el redondo menor. Además, demostraron que múltiples músculos pueden desarrollar infiltración grasa aunque no se encuentren afectados inicialmente por la lesión(10).
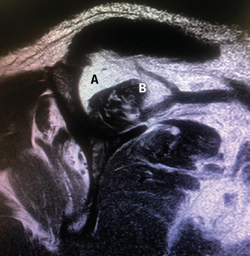
Figura 9. Imagen de resonancia magnética que refleja el grado de atrofia grasa del manguito rotador. A: fosa del supraespinoso; B: atrofia muscular y degeneración grasa del supraespinoso.

La clasificación de Goutallier define 5 grados de infiltración grasa (grado 0: músculo normal; grado 1: estrías grasas; grado 2: menos del 50% de atrofia muscular; grado 3: 50% de atrofia muscular; y grado 4: más del 50% de atrofia muscular observando más grasa que músculo en el vientre muscular)(10).
Melis et al. demostraron que el tiempo medio de aparición de infiltración grasa de grado 2 en una rotura de manguito es 3 años y la aparición de una infiltración grasa severa se produce tras un promedio de 5 años después de la rotura del tendón(12). Para el infraespinoso y el subescapular son 2 años y medio(12). El tiempo medio para observar unos grados 3 y 4 de infiltración grasa es 5, 4 y 3 años para el supraespinoso, el infraespinoso y el subescapular, respectivamente(13).
Es tal la importancia de la atrofia grasa para la reparación del manguito rotador que numerosos autores han buscado distintas maneras de poder valorarla. Zanetti, Gerber y Hodler describieron el “signo de la tangente” en la RM para estudiar la presencia o ausencia de atrofia del supraespinoso(14), y Thomazeau et al. propusieron calcular la ratio de ocupación de la masa muscular del supraespinoso en la RM comparando el volumen total de la fosa del supraespinoso con el volumen del músculo supraespinoso y observando que esta ratio es significativamente menor en los pacientes con roturas de manguito irreparables(15)(Figura 9).
Retracción
La retracción musculotendinosa es la consecuencia de la cronicidad de la rotura del manguito rotador(16). A mayor tiempo transcurrido desde la rotura del tendón, existe mayor retracción, atrofia e infiltración grasa de la unidad miotendinosa, disminuyendo su elasticidad, siendo factores muy importantes que determinan una buena reparación tendinosa(16,17).
Figura 10. Grado 2 de la clasificación de Patte. A: rotura retraída del tendón supraespinoso; B: glena; C: cabeza humeral.

La clasificación más utilizada para describir la retracción tendinosa es la realizada por Patte, que utiliza la distancia entre el tendón retraído y su inserción original en el troquiter en el plano coronal. El grado 1 describe una rotura con retracción mínima, en el grado 2 el tendón está retraído medial a la huella de inserción, pero no llega a la glena, y el grado 3 representa una rotura retraída a nivel de la glena (Figura 10). Tanto los estudios de imagen como la evaluación intraoperatoria permiten definir una buena estrategia quirúrgica para realizar una buena liberación de las partes blandas y predecir el pronóstico de la reparación(18,19).
Localización
La localización de la rotura es fundamental para determinar el tratamiento del paciente. La mayoría de las clasificaciones describen las roturas posterosuperiores del manguito rotador que afectan al supraespinoso, infraespinoso y redondo menor. Sin embargo, en los últimos años se ha incrementado el papel del subescapular, siendo fundamental el estado del mismo para el pronóstico de la lesión. En el proceso de caracterización de una rotura del manguito rotador la localización de la rotura debe ser definida en primer lugar, ya que las características y el abordaje terapéutico de las roturas anteriores y posteriores son diferentes. La extensión, el patrón, el grado de infiltración grasa y atrofia muscular, junto con la retracción de la rotura, aportan la información necesaria para planificar la reparación de la rotura.
Resultados
Tras el análisis de las imágenes artroscópicas de roturas del manguito rotador, finalmente 51 fueron analizadas tras haber descartado 3 de ellas. La evaluación se hizo a doble ciego, visualizando los vídeos en orden aleatorio en 2 ocasiones separadas por un periodo de 7 días. Tras la obtención de datos, se realizó un análisis estadístico mediante el coeficiente kappa para la valoración de la concordancia intra- e interobservador. (Tabla 2).
Tabla 2. Resultado del estudio piloto del Comité de Hombro de la ISAKOS

En la Tabla 2 se puede observar una concordancia interobservador muy buena en todos los parámetros, aunque en la extensión observamos un valor kappa menor, posiblemente por la dificultad de evaluación de este parámetro.
Es interesante destacar que la concordancia esperada intraobservador es significativamente más baja que la obtenida, lo que indica que el sistema de evaluación es más fiable y predictivo de lo esperado inicialmente.
Conclusión
El Comité de Hombro de la ISAKOS presenta un sistema de clasificación para el manguito rotador que combina factores cruciales de clasificaciones previas para crear una nueva, sencilla de recordar y que cubra las necesidades de los cirujanos para clasificar mejor las roturas del manguito rotador.
Este nuevo sistema ha demostrado tener una elevada concordancia interobservador y es válido tanto para roturas anteriores como posterosuperiores, incluye roturas parciales y totales, ofrece detalles del tamaño y del patrón geográfico de la rotura, útiles para establecer el tratamiento apropiado, y proporciona información relevante del pronóstico de la reparación basada no solo en el tamaño, sino en la retracción tendinosa y la atrofia grasa.
