Introducción
La artroscopia de rodilla es el procedimiento quirúrgico más realizado en cirugía ortopédica y traumatología(1,2). La gran mayoría de estos procedimientos se realizan utilizando exclusivamente los portales estándar anteromedial (AM) y anterolateral (AL), que no permiten observar la totalidad de la articulación, definiéndose así una serie de “puntos ciegos”. Esto va a dar lugar a una exploración incompleta de la rodilla con un riesgo evidente de diagnósticos erróneos.
Incluso en las ocasiones donde se realiza una liberación percutánea del LCM(3,4) para aumentar la visión posteromedial (PM) hay zonas de la periferia del menisco interno que siguen sin ser accesibles desde los portales anteriores(5). Utilizando una óptica de 70° desde un portal transrotuliano, la “zona ciega” PM llega hasta el 39% de la unión menisco-capsular(6). Añadiendo el paso a través de la escotadura, hasta un 21,5% de la periferia menisco-capsular medial queda oculta a la visión incluso combinando ópticas de 30° y 70°(7). Este porcentaje se ve reducido a un 8,4% añadiendo la visión desde el portal PM con una óptica de 30°(6). Estudios más recientes demuestran una visión del 100% de articulación mediante la creación del portal transeptal(8).
El interés actual por patrones específicos de roturas meniscales periféricas hace que sea esencial tener un buen acceso posterior. La sensibilidad de la resonancia magnética (RM) para diagnosticar las lesiones de la rampa posterior del menisco interno es del 23%(9). Su diagnóstico debe ser, por tanto, artroscópico, con visión directa de la parte más posterior del menisco interno(10). Si bien Sonnery-Cottet y cols. recomiendan la realización sistemática de un portal PM para la correcta valoración de las lesiones de la rampa posterior del menisco interno, encontrando un 17% de lesiones ocultas(11), para Malatray y cols. el 100% de estas lesiones se diagnosticaron desde una visión transescotadura(12).
No solo la visualización de los meniscos está comprometida con el uso aislado de portales anteriores; un 80% de la superficie condral de los cóndilos posteriores no es adecuadamente observada en rangos de flexión de 90° a 120°(13).
Es difícil conocer la frecuencia con la que se utilizan portales posteriores, pero algunos trabajos encuentran una necesidad de utilizar estos portales en el 18,5% de las artroscopias de rodilla y en el 22% de las roturas de ligamento cruzado anterior (LCA)(5).
Las indicaciones en las que puede ser necesario emplear portales posteriores son muchas. En ocasiones, puede evitar la realización de un abordaje posterior abierto que, además de la mayor agresión quirúrgica, puede ofrecer una visión más limitada que la artroscopia. Así, el abordaje artroscópico de los compartimentos posteriores ha sido utilizado para la sinovectomía(14), meniscectomía(15), reparación de raíces posteriores de los meniscos(16), reparaciones de la rampa posterior del menisco interno(17), reconstrucción del ligamento cruzado posterior (LCP)(18), fijación de una fractura-avulsión tibial del LCP,(19), capsulotomía posterior en casos de artrofibrosis(20), extracción de cuerpos libres intraarticulares(21), sinovitis villonodular(22), reconstrucción del LCA(23), condromatosis sinovial(24) y resección de quistes y gangliones posteriores(25). Además de estas indicaciones publicadas, recomendamos la realización sistemática de portales posteriores en el tratamiento artroscópico de las artritis sépticas de rodilla para un adecuado desbridamiento y lavado de los compartimentos posteriores (Figura 1).
Figura 1. Imagen del compartimento posteromedial desde una visión transescotadura desde el portal anterolateral, rodilla derecha. Se evidencia la presencia de un cuerpo libre “oculto”. CFI: cóndilo femoral interno; CL: cuerpo libre; RPMI: rampa posterior de menisco interno.

Técnica quirúrgica
Pese a algunas descripciones anecdóticas de portales posteriores directos, fundamentalmente para el tratamiento de quistes y gangliones posteriores, el abordaje artroscópico de los compartimentos posteriores puede realizarse mediante portales posteromediales, posterolaterales y transeptal.
La colocación del paciente en la mesa dependerá de las preferencias del cirujano, pudiendo realizarse utilizando una garra de rodilla o dejando la rodilla libre sobre la mesa de quirófano con un tope de bloqueo lateral. Sí es importante tener en cuenta la colocación del manguito de isquemia y la garra de rodilla, que deberá ser algo más proximal para no limitar el acceso posterior. El uso de una bomba de presión dependerá de nuevo de las preferencias del cirujano, sin que se haya confirmado un mayor riesgo de síndrome compartimental por su uso(26).
La correcta localización de los portales posteriores exige, en primer lugar, la adecuada ejecución de los portales AL y AM habituales. En este caso, conviene que dichos portales se sitúen lo más próximos posible al tendón rotuliano (sin dañar su envoltura) y de forma discretamente proximal a la unión meniscocapsular de ambos meniscos (aproximadamente 1 cm por encima de la misma). La realización de portales alejados del tendón, principalmente el portal AM, comprometerá o hará imposible el acceso posterior.
Abordaje transescotadura
Siguiendo la técnica descrita por Gillquist y Hagberg en 1979(27), una óptica de visión con angulación de 30° es progresada desde del portal AL hacia el espacio intercondíleo mientras se aplica valgo sobre la rodilla flexionada a 90°, penetrando en el compartimento PM por el espacio delimitado entre el cóndilo medial interno (margen medial) y las fibras más inferiores del LCP (margen lateral). Puede ser necesario realizar movimientos suaves de flexión y extensión de la rodilla. Si bien en la descripción inicial utilizaban un portal transrotuliano, el acceso es posible por los portales anteriores estándar adecuadamente realizados.
Este paso resulta complicado en ocasiones (sinovitis, artrofibrosis, presencia de osteofitos…), pero existen varias maniobras que sirven de ayuda para lograr esta visión transescotadura, entre las que se encuentran dirigir la visión de la óptica hacia la zona inferior de la imagen mientras la lente progresa, retirar la óptica de la cánula de artroscopia y sustituirla por el obturador romo mientras la cánula avanza a través de la zona estrecha (recolocando la óptica una vez dentro del compartimento PM), facilitar el acceso mediante el desbridamiento de las partes blandas que obstaculicen el avance de la cánula (incluyendo las fibras más inferiores del LCP) y extender dicho desbridamiento a las partes óseas (fresado de la espina tibial medial). En la mayoría de las ocasiones, la imposibilidad de progresar el artroscopio va a ser debida a una colocación errónea de los portales anteriores, lejos del tendón rotuliano.
En casos de pacientes con una tuberosidad tibial anterior muy lateralizada y un ángulo Q aumentado, puede ser difícil entrar a PM desde AL, siendo en estos casos más probable entrar desde AM a PM.
El abordaje transescotadura del compartimento posterolateral (PL) es muy similar al del PM. El primer paso consiste en acceder con la óptica a la región posterior de la rodilla, en este caso al compartimento PL desde el portal AM, realizándose esta entrada bajo las fibras del LCA, medial al cóndilo femoral externo. De existir dificultades, pueden utilizarse las mismas medidas recomendadas para el acceso al compartimento PM, salvo la liberación del ligamento colateral externo, que no se recomienda. En cambio, puede resultar útil intentar la introducción de la óptica desde un portal transpatelar, realizado de forma longitudinal en el centro del tendón rotuliano.
Una peculiaridad de la visión transescotadura del compartimento PL es que, junto a la visión obtenida desde los portales anteriores y la adecuada exploración del hiato poplíteo desde la gotiera lateral, permite observar casi siempre la totalidad de la superficie del menisco externo, a diferencia de lo que sucede en la región medial de la rodilla. El abordaje transescotadura del compartimento PL es más sencillo de realizar que el PM(28).
La exploración transescotadura de los compartimentos posteriores puede cambiar el diagnóstico en el 18% de los casos de artroscopia de rodilla y alterar el plan terapéutico en el 11%; en casos de cirugía del LCA puede ser incluso mayor(29). Puede ayudar a diagnosticar un 45% de roturas meniscales ocultas, y un 33-36% de cuerpos libres ocultos(28,29).
Portal posteromedial
La realización del portal PM se basa en referencias anatómicas externas, al mismo tiempo que es controlada mediante la visión directa transescotadura del compartimento PM. El portal se localiza por palpación en una “zona blanda” cuyos márgenes son el tendón del semitendinoso por posterior, el cóndilo femoral interno por distal y el tendón del gastrocnemio medial por proximal. Esta zona se sitúa aproximadamente 1 cm proximal a la interlínea articular y 5 mm posterior al margen posterior del cóndilo femoral medial (Figura 2). Haciendo presión digital desde el exterior podremos ver en el monitor de artroscopia cómo la cápsula se abomba, confirmando así la correcta ubicación del portal. A continuación, penetramos la piel con una aguja de calibre 16 G, dirigiéndola en dirección posteroanterior, hacia la línea media articular. La realización de un portal demasiado anterior orientará los instrumentos quirúrgicos de anterior a posterior, poniendo en riesgo las estructuras neurovasculares.
Figura 2. Referencias externas para la creación de un portal posteromedial. Rodilla derecha.

Durante este paso es importante identificar por transiluminación cutánea la vena safena interna (lo que se facilita reduciendo la intensidad de la luz ambiente en quirófano). De esta forma se establece también el trayecto del nervio safeno interno (que se localiza en posición posterior a la vena), realizándose el portal a una distancia aproximada de 1 cm por encima de dichas estructuras, evitando de esta forma dañarlas. Existe la posibilidad de variar discretamente la altura del punto de entrada en función de la intervención a practicar, situándose en una posición más proximal cuando se planea la reinserción con anclajes óseos de una rotura de la raíz posterior del menisco interno o, más distalmente, para la reparación de lesiones de la rampa meniscal mediante pasadores de suturas (Figura 3).
Figura 3. Reparación de una lesión de la rampa posterior del menisco interno, rodilla derecha. Uso de un portal posteromedial con una cánula de trabajo. Visión transescotadura. CFI: cóndilo femoral interno; CP: cápsula posterior; MM: muro meniscal.

Con la punta de la aguja dentro de la articulación, se avanza una hoja de bisturí del número 11 apoyada sobre la misma. Posteriormente se pasa una varilla de Wissinger, sobre la cual se introduce una cánula de trabajo que mantendrá el acceso permeable y permitirá el intercambio de instrumentos de forma segura y controlada.
En algunos casos puede ser útil realizar un segundo portal PM accesorio, como, por ejemplo, para la resección de tabicaciones en la pared interna de un quiste de Baker, o extracción de cuerpos libres allí alojados. Dicho portal se realiza de forma análoga, en una posición 1 cm proximal al portal PM estándar.
La localización del nervio safeno interno es posteroinferior respecto al portal y varía durante la flexoextensión de rodilla. Así, en flexión, el nervio safeno interno y la vena safena interna se desplazan en dirección posterior, aumentando su distancia desde el punto de entrada para el portal PM, que a 90° de flexión es de 22-26 mm(30). La creación de un portal PM con la rodilla en extensión pone en riesgo las estructuras safenas(31).
Portal posterolateral
La creación del portal PL se realizará de forma análoga al PM. En primer lugar, tendremos un acceso transescotadura para el control directo del compartimento PL. La “zona blanda” en la que se realiza el portal PL está delimitada posteriormente por el tendón del bíceps femoral, anteriormente por la cintilla iliotibial, proximalmente por el tendón del gemelo externo y distalmente por el cóndilo femoral externo (Figura 4). Es esencial mantener la rodilla a 90° de flexión al realizar estos portales para minimizar el riesgo de lesión de la arteria poplítea, teniendo la precaución de dirigir la punta de la aguja en dirección anterior mientras se avanza hacia la articulación.
Figura 4. Referencias externas para la creación de un portal posterolateral, rodilla derecha.

Una aguja de calibre 16 G es introducida bajo visión directa en esta zona, con una dirección oblicua en sentido posteroanterior. De igual manera que en la región medial de la rodilla, una hoja de bisturí del número 11 puede deslizarse sobre la aguja para crear el portal por el que pueden igualmente introducirse una varilla de Wissinger y una cánula de trabajo.
En cuanto al portal PL, la distancia al nervio ciático poplíteo externo (CPE) es de 41,3 mm, también localizándose posteroinferior respecto al portal(32). Al igual que ocurre en el portal PM, realizar un portal PL con la rodilla en extensión pone en riesgo el CPE, aproximándolo a la incisión cutánea(31).
Abordaje transeptal
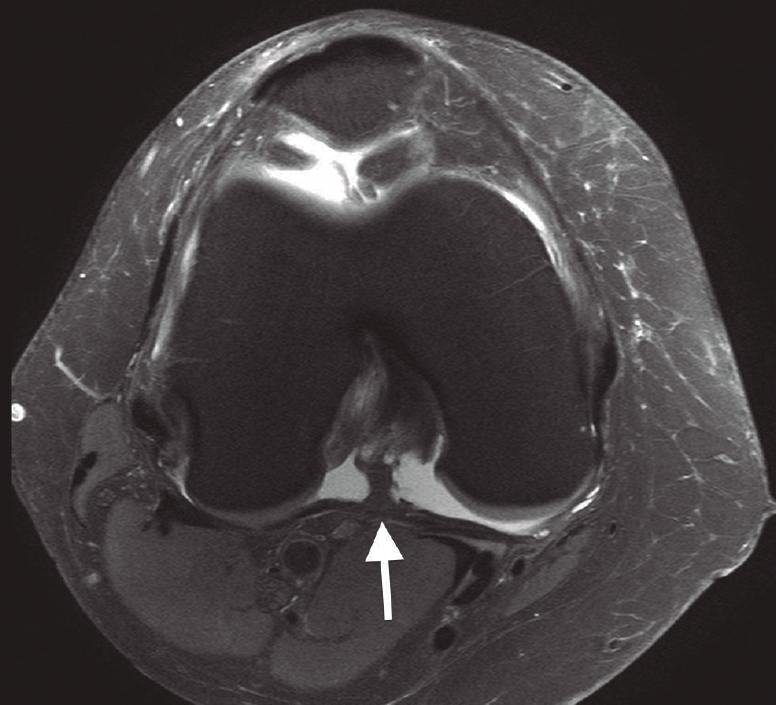
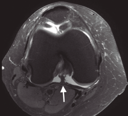
Figura 5. Corte axial de resonancia magnética de una rodilla derecha, donde se evidencia la presencia del septo o tabique posterior dividiendo la región posterior de la rodilla en dos compartimentos independientes. Flecha: septo posterior.

Los compartimentos PM y PL de la rodilla se encuentran independizados entre sí por un tabique o septo de forma triangular que se extiende entre la porción posterior del ligamento cruzado posterior y la cápsula articular posterior(33)(Figura 5). La creación de un portal “transeptal” consiste en la apertura parcial de este septo, permitiendo el libre paso de óptica e instrumental entre ambos compartimentos posteriores desde los portales PM y PL (Figura 6).
Figura 6. La creación de un acceso transeptal permite el libre paso de óptica e instrumental entre ambos compartimentos posteriores sin restricciones. Los instrumentos están levemente orientados hacia anterior, rodilla derecha.

Figura 7. Resección de sinovitis villonodular pigmentada en la región posteromedial de la rodilla derecha. Visión transescotadura, uso de sinoviotomo por portal posteromedial.

Esta técnica no forma parte de los gestos habituales durante una artroscopia rutinaria de rodilla, pero resulta muy útil en cirugías como la resección de ciertos tumores (destacando por su frecuencia la sinovitis villonodular pigmentada) (Figura 7), el abordaje a la fabela (Figura 8), la extracción de cuerpos libres o el reanclaje de avulsiones óseas de la inserción tibial del LCP. Además, la creación de este portal permite una buena visualización de la porción posterosuperior de ambos cóndilos femorales y de la cara posterior del LCP, del ligamento de Wrisberg, del tendón poplíteo y de la unión meniscocapsular de ambos meniscos(24)(Figuras 9 y 10).
Figura 8. Visión transescotadura, compartimento posterolateral, rodilla izquierda. Imagen de la carilla articular de la fabela, hueso sesamoideo articular incluido en el tendón del gastrocnemio externo. CFE: cóndilo femoral externo; F: fabela.

En la literatura se han descrito diversas técnicas para la realización del acceso transeptal, teniendo cada una de ellas distintas ventajas e inconvenientes. La primera descripción de la apertura del tabique posterior de la rodilla fue publicada por Kim en 1997. Su técnica comienza con el artroscopio introducido en el portal PM. Tras asegurar la posición intraarticular del mismo, la óptica se retira y se traslada al portal PL, mientras que a través de la cánula PM se introduce un obturador. Bajo visión directa, el “laxo tejido aerolar” situado tras el LCP es atravesado con dicho obturador, para lo que recomienda mantener la rodilla flexionada a 90° y evitar el desplazamiento a posterior del mismo, para proteger las estructuras neurovasculares de la región posteroexterna(34).
Figura 9. Abordaje transeptal, rodilla izquierda. Visión desde el portal posterolateral tras la resección del septo posterior. Visión sin limitaciones de los compartimentos posteriores. Se aprecia la parte posterior del cóndilo femoral interno, la inserción tibial y el margen craneal del LCP y la cánula de trabajo en el portal posteromedial. LCP: ligamento cruzado posterior; CFI: cóndilo femoral interno; PPM: portal posteromedial.

Tres años después, en el año 2000, Ahn y Ha acuñan el término “portal transeptal”, describiendo una nueva técnica para la apertura del tabique posterior, que a diferencia de la descrita por Kim perfora el tabique de PL a PM, siendo esta manera más segura(8).
Una vez perforado el septo se puede introducir un terminal de sinoviotomo y, bajo visión directa, realizar la resección del mismo. Es importante evitar la zona superior del septo, que es atravesada por los vasos geniculares medios, ramas directas de la arteria poplítea. Es importante, además, reducir la intensidad de succión del sinoviotomo para no dañar el LCP o la cápsula.
Figura 10. Visión del hiato poplíteo en el compartimento posterolateral, rodilla izquierda, desde una visión transescotadura desde el portal anteromedial y realizando una apertura en varo. Se aprecia el tendón del poplíteo cubierto por el ligamento menisco-poplíteo superior. CFE: cóndilo femoral externo; TP: tendón del poplíteo, ME: menisco externo; LMPS: ligamento menisco-poplíteo superior.

La variante descrita por Louisia y cols. en el 2003(14) se conoce también como la técnica de “ida y vuelta” (back and forth) y, en ella, el portal transeptal se realiza previamente al PL. Una vez establecido el portal PM, se avanza un obturador o varilla de Wissinger a través del septo al compartimento PL, sobre la que se introduce el artroscopio. Con una visión transeptal directa se realiza el portal PL (Figura 11). Esta técnica se puede realizar en sentido inverso desde PL a PM. Su indicación principal son aquellos casos en los que, por la presencia de osteofitos en la escotadura intercondílea, no es posible el acceso transescotadura al compartimento posterior donde debemos trabajar. Es más seguro abordar el septo desde lateral a medial, como describen Ninomiya y Dean(35), que desde medial a lateral(34), dada la localización lateral a la línea media de la arteria poplítea. Ohishi y cols. describen una técnica similar mediante una dilatación progresiva del orificio en el tabique utilizando agujas de Kirschner progresivamente más gruesas(36).
Figura 11. Técnica de Louisia para la creación de un acceso transeptal posterior de rodilla. Paso de un tallo de Wissinger desde el portal posterolateral al posteromedial atravesando el septo posterior. Rodilla derecha.
Figura 11. Técnica de Louisia para la creación de un acceso transeptal posterior de rodilla. Paso de un tallo de Wissinger desde el portal posterolateral al posteromedial atravesando el septo posterior. Rodilla derecha.

Complicaciones
La incidencia de complicaciones vasculares en artroscopia de rodilla en general es muy baja en todas las series, la mayoría de ellas relacionadas con meniscectomías externas desde los portales anteriores estándar(37). En una revisión en 375.000 artroscopias de rodilla, solo en 12 (0,003%) encontraron lesiones de vasos poplíteos(38). En publicaciones más recientes se han descrito casos aislados de lesiones durante la realización de meniscectomías, reparaciones meniscales, sinovectomías o plastias de LCP(39).
Aunque el riesgo de lesión de estructuras neurovasculares durante la realización de los portales posteriores y transeptal es muy baja en artroscopistas experimentados(32), la posibilidad de lesiones iatrogénicas sigue generando desconfianza. La estructura más anterior del paquete neurovascular es la arteria poplítea, situada lateral a la línea media, a 1,01 cm del cuerno posterior del menisco externo(10).
La distancia del LCP a la arteria poplítea puede aumentar en flexión, pasando de 5,4 mm en extensión completa a 7,8 mm a 90° de flexión y a 9,3 mm a 100°(40). Tras la realización de una capsulotomía posterior, el efecto del fluido artroscópico desplaza las estructuras hacia posterior, y la distancia puede aumentar hasta 19 mm(32). Cosgarea y cols. encuentran una distancia de 29,1 mm a 90°de flexión(41). Se ha descrito una rama aberrante de la arteria poplítea que cursa anterior el vientre muscular del poplíteo, presente en el 2,1% de la población(42), que debe ser tenida en cuenta y descartada con el estudio de la RM.
El riesgo de lesión del nervio CPE es igualmente bajo, y se reduce siempre que el portal PL se realice por encima del tendón del bíceps femoral. No obstante, es importante tener en cuenta que existen variaciones anatómicas del mismo, como su división en ramas superficial y profunda de manera proximal a la interlínea articular, o que se origine una rama cutánea en la vecindad del portal PL. La distancia desde el punto de entrada del portal PL al CPE a 90° de flexión es de entre 25 y 40 mm(32,43). Aumentar la flexión a 120° disminuye esta distancia, poniéndolo en riesgo(30). Por otro lado, se recomienda mucha prudencia en la realización de este portal en presencia de lesiones de la esquina PL de la rodilla, ya que avulsiones de la inserción peronea de dicho tendón y/o fenómenos cicatriciales locales pueden alterar la normal anatomía de la región.
En la serie de Gold y cols.(5), de los 61 pacientes a los que se les realizó un portal posterior, tan solo uno tuvo una afectación del nervio safeno interno. Oglivie-Harris y cols.(31) describen 5 complicaciones de 179 portales PM, con 3 casos de afectación del nervio y 2 de la vena safena interna. En la serie de Ohishi y cols.(36) encontraron un 2,5% de complicaciones asociadas al uso de un abordaje transeptal, incluyendo casos de hematomas e infecciones superficiales y profundas, pero no complicaciones neurovasculares.
Conclusiones
La cirugía artroscópica de rodilla no debería limitarse a la visión facilitada exclusivamente por los portales artroscópicos anteriores estándar. Es esencial poder realizar un correcto diagnóstico de las patologías intrarticulares, obteniendo un adecuado acceso a la totalidad de la articulación mediante el uso sistemático de la visión transescotadura para la exploración de los compartimentos posteriores y la creación de portales posteriores en casos necesarios. El abordaje transeptal ofrece una visión completa de la parte posterior de la rodilla. Las complicaciones asociadas a los accesos artroscópicos posteriores a la rodilla son bajas.
Material adicional
Se puede consultar la videotécnica que acompaña a este artículo en: https://www.youtube.com/watch?v=zO8CfhIktcQ&feature=youtu.be
