Introducción
La popularidad de la artroscopia de cadera ha crecido en las últimas décadas, ya que se trata de una técnica mínimamente invasiva utilizada para el diagnóstico y el tratamiento de un gran número de patologías en esta articulación(1).
La patología más frecuentemente tratada mediante artroscopia de cadera es el choque femoroacetabular, aunque también se utiliza para la patología traumática de cadera, como pueden ser fracturas-luxaciones de cadera con fragmentos óseos intraarticulares (Thompson-Epstein I y II) y la extracción de cuerpos extraños procedentes del exterior como proyectiles(2,3).
Las luxaciones de cadera son debidas, en la mayoría de las ocasiones, a traumatismos de alto impacto como son los accidentes automovilísticos, siendo la población afecta pacientes jóvenes(4). La mayoría de las luxaciones de cadera son tratadas mediante reducción cerrada, pero en gran parte de los pacientes existen fragmentos óseos intraarticulares que pueden comprometer el regreso del paciente a su nivel previo de actividad(5). Por ello, es necesario realizar una radiografía de control posterior a la reducción de la cadera, junto a una prueba de mayor eficacia y validez diagnóstica como una tomografía computarizada (TC) o una resonancia magnética nuclear (RMN). No obstante, en algunas ocasiones es posible que las pruebas de imagen de TC o RMN sean negativas pese a la existencia de fragmentos óseos intraarticulares(6). En estos casos, la artroscopia podría ser una técnica a utilizar para el diagnóstico de estas lesiones y poder aplicar el tratamiento oportuno de las mismas.
El objetivo de nuestro estudio es valorar la utilidad de la artroscopia en el manejo de las fracturas-luxaciones de cadera con cuerpos libres intraarticulares.
Material y métodos
Se presenta el manejo de 4 pacientes intervenidos de artroscopia de cadera postraumática con extracción de fragmentos óseos libres intraarticulares.
Se recogen las variables demográficas como son la edad, el sexo y la lateralidad. Se registra el tiempo entre la luxación de cadera y la reducción de la misma.
En todos los pacientes se realizó de manera urgente reducción cerrada bajo anestesia general.
Se solicita TC para la comprobación de la reducción, en la que se observa reducción concéntrica de la cabeza femoral y la presencia de cuerpos libres intraarticulares. Se realiza artroscopia de cadera a las 2 semanas de evolución.
Se registra el tiempo de seguimiento.
La técnica quirúrgica se realiza bajo anestesia general. Se coloca al paciente en decúbito supino sobre una mesa de tracción, que se utiliza para acceder al compartimento central de la articulación. Se dibujan estructuras de referencia para la realización de los portales paratrocantérico anterior (visión) y el medio anterior (trabajo). Otros portales fueron realizados si fue necesario. El fluoroscopio fue utilizado para ayudar a la realización de estos portales. Se realiza un abordaje dentro-fuera de la articulación.
Con ayuda del motor o Shaver se libera el fragmento y, finalmente, se extrae con unas pinzas de tipo grasping.
Casos
Caso 1
Se trata de un varón de 29 años que sufre una luxación posterior de cadera izquierda tras la caída de una lancha acuática de 1.600 kg sobre su miembro inferior. Se trata mediante reducción cerrada de cadera dentro de las 6 primeras horas posteriores a la luxación. La reducción fue satisfactoria, pero la TC muestra la presencia de fragmentos intraarticulares (Figura 1). Se le realizó tratamiento artroscópico de cadera con extracción de fragmentos (Figura 2).
Figura 1. Tomografía computarizada postoperatoria donde se aprecia la presencia de fragmentos óseos intraarticulares.

Figura 2. Fragmento óseo intraarticular extraído mediante artroscopia.

Caso 2
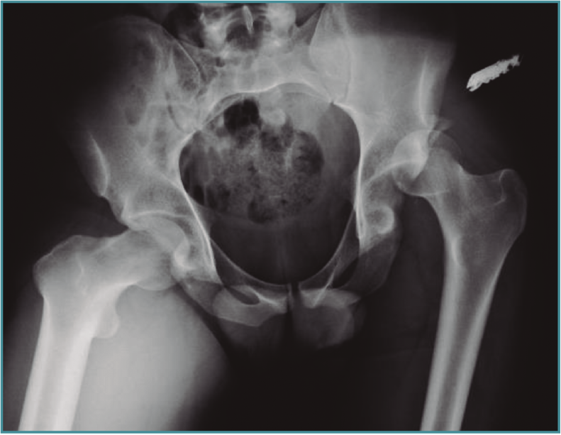
Se trata de un varón de 57 años que sufre luxación posterior de cadera izquierda con fractura conminuta de la ceja posterior del acetábulo tras un accidente de tráfico (Figura 3). Se trata mediante reducción cerrada de cadera dentro de las 6 primeras horas posteriores a la luxación. La reducción fue satisfactoria pero la TC muestra la presencia de fragmentos intraarticulares. Se le realizó tratamiento artroscópico de cadera con extracción de fragmentos.
Figura 3. Radiografía anteroposterior de pelvis donde se muestra la luxación posterior de la cadera izquierda.

Caso 3
Se trata de un varón de 33 años que sufre luxación posterior de cadera derecha tras sufrir un accidente de tráfico. Se trata mediante reducción cerrada de cadera dentro de las 6 primeras horas posteriores a la luxación. La reducción fue satisfactoria pero la TC muestra la presencia de fragmentos intraarticulares. Se le realizó tratamiento artroscópico de cadera con extracción de fragmentos.
Caso 4
Se trata de un vVarón de 22 años que sufre luxación posterior de cadera izquierda y fractura conminuta de rótula izquierda tras sufrir un accidente de tráfico. Se trata mediante reducción cerrada de la cadera en las 6 primeras horas posteriores a la luxación y cerclaje de rótula, apreciándose una fractura de la ceja posterior no desplazada del acetábulo de la cadera luxada. La reducción fue satisfactoria, pero la TC muestra la presencia de fragmentos intraarticulares. Se le realizó tratamiento artroscópico de cadera con extracción de fragmentos (Figura 4).
Figura 4. Extracción del fragmento óseo intraarticular mediante técnica artroscópica.

Resultados
La media de edad de los pacientes fue de 35,25 (rango: 22-57). En los 4 casos que se presentan se obtuvo una mejoría significativa del dolor y la movilidad articular con fuerza muscular normal a los 4 meses de evolución.
Discusión
Existe consenso sobre el tratamiento inicial mediante reducción cerrada precoz de la luxación de cadera con el fin de disminuir las posibles complicaciones tanto precoces como remotas en la cadera afecta(7).
En todos nuestros casos se llevó a cabo una reducción cerrada de las luxaciones en las primeras 6 horas desde la lesión. En relación con estas eventualidades, es necesario señalar la alta frecuencia de fracturas de otras estructuras asociadas que en muchos casos pasan desapercibidas tanto en la exploración física como en la radiología simple(6).
La valoración clínica exhaustiva junto a estudios de imagen oportunos (TC) se hacen por tanto imprescindibles para la evaluación de los resultados tras la reducción cerrada inicial.
Por otra parte, se ha comprobado que la artrotomía de cadera es efectiva en la extracción de fragmentos óseos intraarticulares; sin embargo, no está exenta de complicaciones(8). Por ello, cada vez hay una utilización mayor de la artroscopia (reducción no concéntrica, fractura-luxación estable que no requiere reducción abierta y fijación interna y/o para evaluación de cuerpos libres intraarticulares o una lesión labral residual)(9).
Existen estudios que apuntan la necesidad de realizar una artroscopia posreducción en todos los casos(10).
Es muy común que se generen cuerpos libres y lesiones condrales que aceleren la aparición de osteoartrosis de la articulación(11).
A pesar de las ventajas del tratamiento artroscópico con respecto al procedimiento abierto, este no está exento de complicaciones, tales como: edema escrotal, lesión del nervio femorocutáneo lateral, lesiones nerviosas transitorias de los nervios pudendo, peroneo, ciático y femoral, lesiones del cartílago articular por el uso de instrumentos e incluso arresto cardiaco o síndrome compartimental abdominal(12).
El momento para la cirugía tras un evento traumático con luxación de la cadera depende de la reducción y el tamaño del fragmento intraarticular. En caso de una luxación simple, si la articulación no es completamente concéntrica en las pruebas de imagen tras la reducción, podría estar indicada una artroscopia en las primeras 72 horas, evitando la carga de la articulación hasta que esta se realice. En el caso de que sea completamente concéntrica, no hay consenso acerca del momento de realizarla a pesar de los datos citados anteriormente sobre la presencia de fragmentos libres. Cuando se presenta una luxación asociada a fractura, en el caso de realizar un procedimiento artroscópico, no se recomienda realizarlo antes de los 10 días desde el evento traumático, dado el riesgo de extravasación del líquido hacia la cavidad abdominal; se puede producir un síndrome compartimental intraabdominal por compresión directa de las vísceras y los vasos por el líquido, lo que provoca una disminución de la vascularización de los mismos. Si el líquido es muy abundante, puede pasar al tórax y producir un taponamiento cardiaco por compresión directa(13).
Conclusión
Nuestros resultados han mostrado diferencias clínicas entre el preoperatorio y el postoperatorio a favor de la artroscopia en pacientes con luxación posterior de cadera que presentan fragmentos óseos intraarticulares.
La artroscopia parece ser un buen elemento diagnóstico y terapéutico en el manejo de las fracturas-luxaciones de cadera con cuerpos libres intraarticulares.
