Más información: +34 629 829 605

Revista Española de Artroscopia y Cirugía Articular

Asociación Española de Artroscopia (AEA)

Inicio

Luxación glenohumeral posterior aguda con gran inestabilidad. Tratamiento mediante cirugía artroscópica

Instability following posterior shoulder dislocation acute. Arthroscopic management

Comparte

Resumen

Presentamos el caso de un paciente de 50 años de edad que, tras un traumatismo anterior directo, sufre una luxación posterior de hombro. Tras un intento de reducción cerrada bajo sedación, se objetiva una gran inestabilidad posterior, con dificultad para mantener la reducción. En la tomografía computarizada (TC) realizada se objetiva una lesión de Hill-Sachs y una lesión de Bankart invertidas con mantenimiento de la luxación glenohumeral posterior. Se decide tratamiento quirúrgico mediante técnica artroscópica, realizándose una reparación capsulolabral de labrum anterior y posterior. Cuatro meses tras la cirugía el paciente se encuentra asintomático, con leve pérdida de fuerza en dicho hombro.

La luxación posterior de hombro es una patología poco frecuente y de difícil diagnóstico. El tratamiento habitual de este tipo de luxaciones es la reducción cerrada, no siendo en la mayoría de los casos recidivante. Por tanto, el tratamiento quirúrgico solo es necesario cuando existe una inestabilidad concomitante, normalmente secundaria a lesiones asociadas.

Abstract

We report a case of a 50 year old man who suffered a posterior gleno-humeral dislocation after a direct blow on the anterior aspect of the shoulder. Posterior instability was noted after an attempt at closed reduction. The CT scan showed the presence of inverted Hill-Sachs and Bankart lesions. Shoulder arthroscopy was performed to reinsert the anterior and posterior labrum. Four months postoperatively, the patient is asymptomatic with minimal loss of strength of the shoulder.

Posterior shoulder dislocation is quite uncommon and the diagnosis can be difficult. Most cases can be managed with closed reduction alone. Surgery is only necessary in cases of secondary instability usually due to bone lesions.

Artículo

Introducción

La luxación posterior de hombro es una entidad poco frecuente y de diagnóstico complejo. En términos generales, las luxaciones posteriores tienen una incidencia del 1 al 4% de todas las luxaciones glenohumerales(1), aunque su frecuencia exacta es difícil de precisar. Normalmente no asocia deformidad, a diferencia de la luxación anterior, por lo que puede pasar desapercibida si no se sospecha; aun así, 1 de cada 2 luxaciones posteriores son diagnosticadas ya en fase de luxación inveterada. El paciente suele tener la rotación externa del hombro muy limitada, junto con la elevación del mismo; además, puede presentar una prominencia posterior y aplanamiento de la cara anterior del hombro(2). Las situaciones más frecuentes en las que se pueden producir son: sobrecarga axial con el bazo en aducción y rotación interna, traumatismo directo en la parte anterior del hombro que empuja la cabeza humeral hacia atrás y fuerza indirecta hacia atrás que llega a través del brazo con la extremidad en flexión, aducción y rotación interna. Su tratamiento es controvertido. La decisión terapéutica se basa en la inestabilidad residual, el tiempo transcurrido, los defectos óseos asociados y la actividad previa del paciente. En luxaciones agudas, defectos < 20% no condicionan inestabilidad, pero en las crónicas sí pueden(3). En casos crónicos, el tamaño del defecto nos marca la actitud a seguir y la técnica a realizar. Presentamos el caso de una luxación posterior de hombro asociada a defectos óseos y una gran inestabilidad.

Caso clínico

Se trata de un paciente de 50 años de edad que, sin antecedentes de interés para el cuadro actual, sufre un traumatismo directo en la cara anterior del hombro derecho.

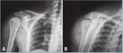
A la exploración física presenta dolor intenso a la palpación e impotencia funcional en el hombro, sin deformidad evidente y con bloqueo de los movimientos rotacionales. Tras realizar radiografías simples en proyecciones anteroposterior e “Y” de escápula (Figura 1), se diagnostica de luxación posterior de hombro.

Figura 1. Radiografía anteroposterior (AP) (A) y proyección en “Y” de escápula (B) donde se objetiva una luxación glenohumeral posterior. En la proyección AP podemos apreciar el clásico signo de la bombilla (light-bulb sign) debido a la rotación interna del brazo.

Se realiza reducción cerrada bajo sedación, mediante tracción en abducción de unos 60° del húmero, con el codo en semiflexión, y se incrementa la rotación externa al mismo tiempo que se hace presión sobre la cabeza del húmero hacia delante. Cuando se consigue la reducción, la articulación glenohumeral presenta una gran inestabilidad posterior, reproduciéndose espontáneamente la luxación.

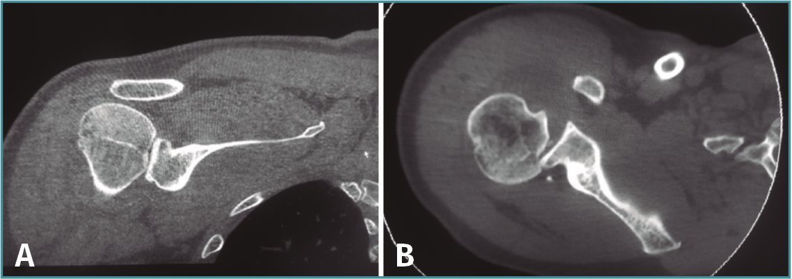
Ante esta situación, se solicita una tomografía computarizada (TC) para comprobar las lesiones asociadas. En esta se muestra una persistencia de la luxación posterior, asociada a una lesión de Hill-Sachs y de Bankart invertidas (Figura 2).

Figura 2. Cortes coronal (A) y axial (B) de la tomografía computarizada en los que se observan las lesiones de Hill-Sachs y Bankart invertidas.

Con estos hallazgos y la inestabilidad clínica ya referida, se decide tratamiento quirúrgico, el cual se realiza a la semana de haberse producido el traumatismo inicial. En primer lugar, se realiza una nueva reducción cerrada y, con el paciente en decúbito lateral, mediante visión artroscópica, se observa una amplia desinserción del labrum anterior que se reinserta mediante 3 implantes de tipo SutureTak® (Arthrex). Asocia una extensa desinserción posterior, con lesión capsulolabral compleja, así como del reborde óseo glenoideo posterior, realizándose una reparación capsulolabral mediante 5 implantes del mismo tipo.

El postoperatorio transcurre sin incidencias, comprobándose la correcta congruencia articular en la resonancia magnética (RM) a las 4 semanas de la cirugía y en la artro-TC de control a los 2 meses de la misma (Figura 3). Tras la cirugía se mantiene inmovilización con cabestrillo durante 4 semanas, iniciándose el tratamiento físico rehabilitador mediante ejercicios pasivos y asistidos a la tercera semana, ejercicios activos a las 6 semanas y fortalecimiento muscular a los 3 meses.

Figura 3. Corte coronal de resonancia magnética (A) y corte axial de artrotomografía computarizada (B) postoperatorios en los que se observa la reducción de la cabeza humeral en la glena sin otras lesiones asociadas.

Cuatro meses después de la cirugía el paciente está asintomático, con una articulación glenohumeral estable y un arco móvil funcional restablecido (abducción de 130°, antepulsión de 120°, rotación interna de 70° y rotación externa de 70°), con una puntuación de 32 en la escala UCLA. Presenta una leve pérdida de fuerza respecto al hombro contralateral, que no le limita para la realización de sus tareas diarias.

Discusión

La luxación posterior de hombro es una patología muy poco frecuente, suponiendo el 2,7% del total de las luxaciones de hombro(4) y siendo 20 veces menos frecuente que las luxaciones anteriores(5). Normalmente no asocia deformidad evidente como las luxaciones anteriores y puede pasar desapercibida en los estudios radiográficos habituales si no se sospecha, siendo necesario pedir proyecciones radiológicas especiales. Es por ello que suelen tratarse de forma tardía al no ser diagnosticadas en el cuadro agudo y, como consecuencia de ello, el pronóstico es mucho más desfavorable que en las luxaciones anteriores.

Su aparición suele estar asociada a alteraciones del nivel de conciencia, como pueden ser las convulsiones o las descargas eléctricas, en las que se produce una contracción muscular extrema, aunque también se pueden producir por un traumatismo directo o indirecto sobre un brazo en flexión, aducción y rotación interna(6).

La sospecha clínica es vital en esta entidad, dado que puede pasar desapercibida y ser confundida con una contusión, una periartritis postraumática o una lesión del manguito rotador, lo que puede llevar a un retraso diagnóstico y graves complicaciones a largo plazo. Unas buenas proyecciones radiológicas anteroposterior y axial son obligatorias a la hora de confirmar el diagnóstico; si debido al dolor no se puede realizar una proyección axial, se recomienda una “Y” de escápula(7). La TC también aporta información valiosa sobre el estado de las estructuras óseas y las superficies articulares, especialmente de cara a la planificación preoperatoria, pero no es esencial para el diagnóstico.

El tratamiento habitual es la reducción cerrada y, si la articulación queda estable y no existe un gran defecto óseo asociado, se inmoviliza con un cabestrillo en rotación interna, obteniéndose buenos resultados, ya que la mayor parte de las veces no es recidivante.

Por tanto, el tratamiento quirúrgico solo es necesario en grandes lesiones óseas o si existen lesiones que condicionen una inestabilidad articular. Entre estas lesiones cabe destacar la fractura por impactación de la porción anteromedial de la cabeza contra el reborde glenoideo posterior que, por analogía con la luxación anterior, se conoce como lesión de Hill-Sachs invertida. Aunque tradicionalmente el tratamiento de las lesiones óseas se ha asociado con cirugía abierta, en los últimos años se han desarrollado numerosas técnicas artroscópicas para el manejo de este tipo de defectos(8).

La artroscopia nos ha permitido comprender y clasificar las lesiones del labrum(9); además, el concepto “concavidad-compresión” nos sirve para explicar el papel del labrum en la estabilidad glenohumeral(10). Por eso, la reinserción ósea del labrum a la glena pretende reconstruir este sistema y conseguir una correcta tensión capsular.

La asociación de lesiones en el labrum anterior, posterior y superior fue descrita recientemente gracias al uso de la artroscopia(11). En los últimos años, la reparación artrscópica de la inestabilidad glenohumeral se ha desarrollado mucho(12), debido a un mejor entendimiento de las lesiones asociadas y la mejoría técnica y tecnológica. La artroscopia permite identificar y tratar todas las lesiones que pueden producir inestabilidad glenohumeral, lo que le confiere una flexibilidad considerable para poder tratarlas(12).

La reparación mediante implantes óseos y suturas permite la fijación del labrum, restaurando la estabilidad articular, aunque es un proceso técnico complejo que requiere un aprendizaje y entrenamiento previo antes de poder realizarlo de forma correcta.

Es una cirugía menos invasiva, con menor lesión de las partes blandas, con una recuperación más rápida y la posibilidad de conseguir los mismos o incluso mejores resultados que la cirugía abierta.

Conclusiones

La luxación posterior de hombro es una entidad muy poco frecuente que debemos sospechar para poder diagnosticarla y que no debe pasar desapercibida. Puede asociar grandes lesiones óseas que provoquen inestabilidad articular y que requieran un tratamiento quirúrgico que dependerá del tamaño y el tipo de la lesión, su cronicidad y la demanda funcional del paciente.

Figuras y tablas

Figuras y tablas

Referencias

1
Perron AD, Jones RL. Posterior shoulder dislocation: avoiding a missed diagnosis. Am J Emerg Med. 2000;18(2):189-91.
2
Rockwood CA Jr, Matsen FA III, Wirth M, Lippit SB. The shoulder. Fourth edition, vol. 1. Philadelphia: Saunders Elsevier; 2009. pp. 617-770.
3
Craig EV. Máster en cirugía ortopédica. Hombro. 2.ª ed. Madrid: Marbán Libros; 2009. pp. 289-305.
4
Shields DW, Jefferies JG, Brooksbank AJ, Millar N, Jenkins PJ. Epidemiology of glenohumeral dislocation and subsequent instability in an urban population. J Shoulder Elbow Surg. 2018 Feb;27(2):189-95.
5
Brelin A, Dickens JF. Posterior shoulder instability. Sports Med Arthrosc Rev. 2017;25(3):136-43.
6
Hawkins RJ, Neer CS 2nd, Pianta RM, Mendoza FX. Locked posterior dislocation of the shoulder. J Bone Joint Surg Am. 1987;69(1):9-18.
7
Guehring M, Lambert S, Stoeckle U, Ziegler P. Posterior shoulder dislocation with associated reverse Hill-Sachs lesion: treatment options and functional outcome after a 5-year follow up. BMC Musculoskelet Disord. 2017;18(1):442.
8
Sánchez-Alepuz E, Pérez-Barquero JA, Jover-Jorge N, Lucas-García F, Carratalá-Baixauli V. Treatment of the posterior unstable shoulder. Open Orthop J. 2017;11:826-47.
9
Williams RJ, Strickland S, Cohen M, Altchek DW, Warren RF. Arthroscopic repair for traumatic posterior shoulder instability. Am J Sports Med. 2003;31:203-9.
10
Harriman DT, Sidles JA, Harris SL, Matsen FA. The role of the rotator interval capsule in passive motion and stability of the shoulder. J Bone Joint Surg Am. 1992;74:53.
11
Lo IK, Burkhart S. Triple labral lesion: pathology and surgical repair technique-report of seven cases. Arthroscopy. 2005;186-93.
12
Narbona PA. Reconstrucción artroscópica de las lesiones circunferenciales del labrum glenoideo: técnica y resultados. Rev Asoc Argent Ortop Traumatol. 2010;75(4):327-33.

Descargas

Licencia

Este contenido es de acceso abierto (Open-Access) y se ha distribuido bajo los términos de la licencia Creative Commons CC BY-NC-ND (Reconocimiento-NoComercial-SinObraDerivada 4.0 Internacional) que permite usar, distribuir y reproducir en cualquier medio siempre que se citen a los autores y no se utilice para fines comerciales ni para hacer obras derivadas.