Introducción
Los quistes paralabrales de la articulación de la cadera generalmente se consideran hallazgos incidentales poco frecuentes. Con poca frecuencia causan síntomas, incluyéndose entre estos dolor, hinchazón o chasquido y disfunción articular. Debe descartarse el choque femoroacetabular, las compresiones nerviosas y vasculares o los síntomas urinarios.
Aunque los quistes pueden considerarse un hallazgo casual, cuando hay síntomas, estos se relacionan principalmente con la ubicación y el tamaño anatómico del quiste. Las lesiones intraarticulares primarias siempre deben considerarse y evaluarse como en cualquier otra articulación(1).
Descripción del caso
Presentamos el caso de un varón de 48 años, instructor de tenis profesional, sin antecedentes clínicos relevantes. Consulta por coxalgia izquierda incapacitante durante la actividad laboral de unos 18 meses de duración. El examen físico mostró dolor en flexión y rotación interna de la cadera izquierda y una prueba de choque positiva. Se realizaron radiografías para evaluar la presencia de morfologías que pudieran predisponer a un pinzamiento femoroacetabular (Figura 1). No se observó morfología anormal o signos de osteoartritis. El tratamiento inicial incluyó la prescripción de antiinflamatorios no esteroideos (AINE) y la modificación de la actividad física. Se realizó una resonancia magnética (RM) para completar el estudio. Los resultados de la RM no identificaron alteraciones morfológicas o cambios de señal en la cabeza femoral que pudieran sugerir necrosis ósea, focos de osteocondritis, fracturas por estrés, edema óseo u osteoporosis transitoria. Se identificó una lesión del labrum anterior con un quiste paralabral asociado a esta, de 32 × 17 mm (Figura 2). Después de 3 meses de tratamiento conservador sin mejoría clínica, se propuso la escisión quirúrgica y la reparación del labrum. La extirpación quirúrgica se realizó a través de artroscopia mediante técnica fuera-dentro. Todas las estructuras óseas en el compartimento central no mostraron signos patológicos. Se observó una lesión del labrum en su zona anterosuperior (zona 2)(2). En el compartimento periférico, se identificó una gran lesión quística que rodeaba el borde anterosuperior del labrum y el acetábulo (Figura 3). La extirpación completa del quiste se realizó artroscópicamente utilizando material específico para la artroscopia de cadera. No se registraron complicaciones intraoperatorias. La reparación labral se realizó con un sistema de anclaje All-Suture® de tipo Y-Knot® (Conmed). Se inició el protocolo de fisioterapia postoperatoria habitual de nuestro centro, permitiendo la carga parcial con dos muletas al momento del alta con progresión gradual a peso completo en un periodo de 2-3 semanas, seguido de un protocolo de rehabilitación para conseguir el rango completo de movilidad articular y lograr la fuerza completa de la extremidad. En un periodo de 3 meses, el paciente regresó por completo a la actividad física. No se observaron complicaciones.
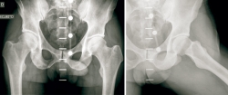
Figura 1. Radiografía anteroposterior y lateral preoperatoria de la cadera izquierda.

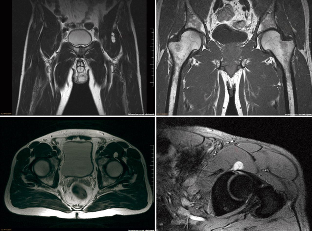
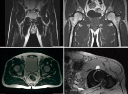
Figura 2. A: imagen coronal de STIR que muestra la lesión quística (flecha roja) que ocupa el músculo psoas; B: desgarro labral (flecha amarilla); C: imagen axial T2 que compara ambas caderas. La lesión quística (flecha roja) se identifica en el espacio articular anterior de la cadera izquierda; D: T2 imagen sagital del quiste labral (flecha roja) inferior a la espina iliaca anteroinferior.

Figura 3. Imagen artroscópica del compartimento periférico. Izquierda, quiste paralabral (a) y cabeza femoral (b). Derecha, resección del quiste.

Discusión
En la literatura solo hay publicados casos aislados y pequeñas series sobre quistes articulares de la cadera. La prevalencia de estos quistes en pacientes asintomáticos no ha sido determinada. Register et al. describen el hallazgo de quistes labrales en 6 de 45 pacientes (13%) sin dolor de cadera(3). Sin embargo, la presencia de un quiste paralabral requiere un diagnóstico preciso de la patología de cadera subyacente, siendo habitual la presencia de alteraciones del labrum. En nuestro caso, la lesión quística se acompaña de lesión labral, ya evaluable en el estudio por RM previo a la intervención. El examen físico y la información clínica son cruciales para tomar decisiones respecto al tratamiento quirúrgico en pacientes con este tipo de hallazgos en la RM. Las características y la demografía de los pacientes afectados por quistes paralabrales sintomáticos no se han determinado claramente en la literatura(4). La edad y el sexo se han relacionado frecuentemente con una mayor prevalencia. Los hombres y la edad superior a 35 años parecen estar relacionados con un mayor riesgo(3). Las actividades físicas a una edad temprana y la osteoartritis también se han relacionado con una mayor presencia de quistes paralabrales. En otros casos publicados, el tamaño del quiste no se ha relacionado directamente con la sintomatología. Este caso mostró un quiste paralabral poco común, que causó choque femoroacetabular debido a su ubicación y, lo más importante, debido a su tamaño. A diferencia de otros casos publicados(5)(6), en el caso que presentamos no existe alteración a nivel del tendón del psoas, ni signos clínicos ni por imagen de conflicto a este nivel. La formación de estos quistes, conocidos también como quistes paralabrales verdaderos, se relaciona con la presencia de líquido sinovial articular en su interior y suelen coexistir con lesiones del labrum acetabular, a diferencia de otros, que no presentan líquido sinovial y no se relacionan de manera directa con lesiones del labrum. El diagnóstico de los quistes paralabrales sintomáticos consiste en una combinación de información clínica, exploración física y pruebas de imagen. La RM ha demostrado una precisión similar en comparación con la artrorresonancia para diagnosticar lesiones del labrum acetabular(7). Las opciones de tratamiento para los quistes paralabrales pueden incluir la observación, en el caso de quistes pequeños o asintomáticos, AINE, terapia física, aspiración con aguja o escisión quirúrgica. En este caso, se optó por un abordaje artroscópico “fuera-dentro”(8)(9)(10) por ser con el que el autor principal se encuentra más familiarizado. En este punto, hay que destacar que aún no disponemos de evidencias claras respecto la superioridad de un abordaje clásico (todo dentro) respecto al abordaje fuera-dentro (outside-in)(11).
Conclusiones
Las técnicas mínimamente invasivas, como la artroscopia de cadera, han obtenido excelentes resultados en el tratamiento de quistes sintomáticos después de que el tratamiento conservador haya fallado(12).
