Introducción
El tobillo es una articulación que con frecuencia sufre lesiones, generalmente en forma de esguince lateral, con clínica de dolor en la cara lateral de tobillo y pie. Es necesario diferenciar un esguince de tobillo de otras patologías, como la luxación o subluxación del tendón peroneo, la lesión de los ligamentos talofibular o calcaneoperoneo, las fracturas (quinto metatarsiano, calcáneo, cuboides) y el síndrome del os peroneum doloroso (POPS). En relación con este último, el os peroneum (OP) es uno de los osículos presentes en el tendón peroneo largo (TPL) cuya función principal es protegerlo. Sin embargo, en algunos casos, puede convertirse en fuente de patología, ya que su ubicación lo hace vulnerable a lesiones provocadas por traumatismos directos, sobrecarga mecánica o un apoyo plantar inadecuado(1).
El OP se encuentra en la cara plantar lateral del cuboides, lo que lo hace propenso a ser malinterpretado como una fractura por avulsión(2). Esta información es relevante porque la fractura del cuboides tiene más implicaciones clínicas que la fractura del OP, ya que el cuboides posee 6 superficies articulares involucradas en todos los movimientos intrínsecos del mediopié y el retropié.
Es importante diferenciar un OP bipartito de una fractura de este y distinguir una diástasis de un OP bipartito de una fractura. La fractura del OP es una patología poco común(3,4,5,6).
Presentación del caso
Se trata de una paciente mujer de 43 años, operaria de limpieza, quien acude a consulta por dolor intenso en la cara lateral del pie derecho posterior a una torcedura del tobillo tras una caída desde su propia altura. La paciente refería incapacidad para la marcha por dolor y sensación de inestabilidad. Al inicio, el dolor se localizaba en la región lateral del pie, exacerbado por la carga de peso y la movilización del tobillo. Evolucionó con edema progresivo y limitación funcional.
El evento ocurrió mientras la paciente se dirigía a su lugar de trabajo, sufriendo una inversión forzada del tobillo derecho tras pisar una superficie irregular, lo que generó la torsión y la posterior caída.
Antecedentes personales: índice de masa corporal (IMC) de 38 kg/m² (peso: 97 kg; talla: 160 cm). Diagnóstico previo de hipotiroidismo en tratamiento con levotiroxina y virus de la inmunodeficiencia humana (VIH) en tratamiento antirretroviral. No refirió alergias conocidas ni antecedentes de hipertensión arterial o diabetes mellitus. No había sido sometida a cirugías de relevancia ni era fumadora. Se objetiva de manera bilateral la presencia de pie plano asociado a un tobillo en valgo.
Al examen físico se observaba tobillo derecho con marcados signos inflamatorios locales a nivel del maléolo externo, sin deformidades evidentes ni presencia de hematoma. A la palpación, dolor localizado sobre la cara lateral del pie. Movilidad limitada por el dolor, con el tobillo en actitud de extensión forzada. Se logró la dorsiflexión activa hasta 90°, con marcada limitación en la flexión plantar y la inversión. No se identificaron déficits vasculares ni neurológicos en la extremidad afectada.

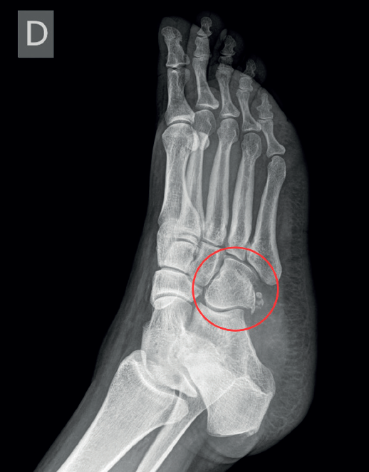
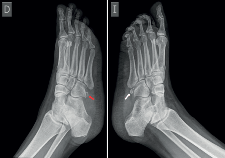
Se realizaron radiografías bilaterales del pie que evidenciaron la presencia de OP bilateral, con irregularidad en el margen del OP derecho. Inicialmente, se sospechó fractura del hueso cuboides (Figura 1); sin embargo, una tomografía computarizada (TC) descartó dicha fractura e identificó un trazo de fractura en el OP derecho, sin desplazamiento (Figura 2). Se realizó resonancia magnética (RM) del pie derecho que confirmó edema en OP del TPL, no desplazada ni complicada. TPL íntegro.

El diagnóstico diferencial incluyó esguince de tobillo de grado I, fractura del hueso cuboides, lesión del TPL y fractura de la base del quinto metatarsiano. Finalmente, el diagnóstico definitivo fue fractura del OP derecho, entidad poco frecuente como causa de dolor lateral del pie.
Se indicó tratamiento conservador con analgesia a base de antiinflamatorios no esteroideos (AINE), inmovilización con bota de tipo Walker y descarga de peso por 6 semanas. Se prescribieron plantillas ortopédicas para soporte del arco plantar. Tras la fase de inmovilización, se inició la rehabilitación enfocada en la recuperación del rango articular, el fortalecimiento muscular, la propiocepción y la reeducación de la marcha. La paciente evolucionó de manera favorable, con mejoría del dolor y progresiva recuperación funcional en unas semanas.
Discusión
El OP es un osículo accesorio ubicado dentro del TPL, que puede encontrarse en diferentes estados de desarrollo: no osificado, cartilaginoso o fibrocartilaginoso, del que se ha identificado en aproximadamente un 4,7 a un 30% de los pies normales y se presenta en forma bipartita en cerca del 30% y bilateral en un 60% de los casos, encontrándose su forma completamente osificada en aproximadamente el 26% de la población. Aunque, en condiciones normales, su función principal es proteger y optimizar la biomecánica del TPL, en ciertos casos, puede ser origen de diversas patologías como fracturas, tenosinovitis y desgarros del tendón peroneo(7).
Algunos estudios sugieren la presencia de un precursor del OP desde la etapa fetal, pero su incidencia aumenta progresivamente con la edad, en torno a un 10% por década, lo que sugiere un origen biomecánico en la mayoría de los casos(1,8,3).
El POPS es causado por varios trastornos, que varían desde una fractura aguda del OP por un golpe directo o lesiones por inversión o un tubérculo peroneo hipertrofiado que atrapa el tendón del peroneo largo. Todas estas condiciones suelen manifestarse clínicamente con dolor lateral del pie(9).
Al existir numerosas causas de dolor lateral del pie y tener etiología múltiple, los retrasos en el diagnóstico son frecuentes. Los pacientes con POPS sufren demoras en el diagnóstico de entre 7 y 48 meses, lo que merma su calidad de vida(1); por ello, el médico debe familiarizarse con esta entidad, es imperativo que se examinen minuciosamente la apariencia y la posición del OP en los estudios de imágenes, ya que tal atención a los detalles ayuda al diagnóstico temprano y al adecuado manejo(10).
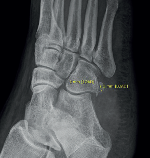
La radiografía y la TC pueden complementarse para demostrar la presencia del OP. Además, pueden determinar si se ha desplazado, fracturado o si presenta separación en casos de OP bipartito(11). Una separación de 2 mm o menos puede observarse en fracturas del OP no desplazadas y en fracturas bipartitas del OP, y separaciones de 6 mm o más de un fragmento del OP sugieren fractura y desgarro asociado del tendón peroneo largo en todo su espesor(12). En este caso, se evidencia separación máxima entre fragmentos de 2 mm (Figura 3). En las fracturas, la RM puede mostrar edema de médula ósea en el OP o al nivel del hueso cuboides, asociado con edema de los tejidos blandos circundantes(13).

En el caso presentado se sospechó radiográficamente fractura del hueso cuboides, por lo que se indicó TC que informó fractura no desplazada de OP. El uso combinado de radiografías bilaterales (Figura 4) y TC (Figura 2) permitió diferenciar la presencia de variantes anatómicas como el OP, además de distinguir un OP bipartito de una fractura de este.

La evidencia sobre el tratamiento de las fracturas del OP es limitada y no se ha establecido con certeza la eficacia de las opciones conservadoras y quirúrgicas. En la mayoría de los casos, el manejo inicial es conservador, con inmovilización y descarga de peso. Sin embargo, entre el 10 y el 20% de los pacientes pueden continuar con dolor o inestabilidad del tobillo, lo que hace necesaria una intervención quirúrgica(14). Tradicionalmente, la cirugía se ha reservado para casos refractarios o cuando hay disfunción persistente, y suele incluir la escisión del OP con tenodesis del tendón peroneo largo si existe afectación tendinosa(13). En el caso presentado, el tratamiento conservador permitió una recuperación satisfactoria de la paciente.
Conclusiones
La fractura del OP es una causa rara de POPS y es fundamental considerarla dentro del diagnóstico diferencial con otras patologías más frecuentes, ya que el manejo y el pronóstico de cada una son diferentes. Los estudios radiológicos, incluidos radiografías, TC y RM, proporcionan información útil sobre la presencia y la patología de estos huesos y deben usarse en conjunto con los hallazgos clínicos para guiar el manejo del paciente.