Introducción
El codo, tras el hombro, es la segunda articulación que más frecuentemente se luxa en adultos y en un 26% de las ocasiones tiene asociadas fracturas de la cabeza radial y/o la apófisis coronoides(1).
De forma frecuente, este tipo de lesiones se ha asociado a malos resultados por el desarrollo de inestabilidad, ya sea aguda o crónica, rigidez, dolor y artrosis postraumática(2,3). Una comprensión más profunda de la anatomía del codo y de sus estabilizadores primarios y secundarios ha sido clave para mejorar el entendimiento de la fisiopatología de estas lesiones y optimizar su tratamiento.
Sin embargo, en algunos casos, a pesar de reparar las estructuras dañadas de forma correcta, el codo sigue siendo inestable y es necesario plantear el uso de fijadores externos o internos para descargar las fuerzas a las que se ven sometidas las estructuras reparadas y permitir su cicatrización.
Anatomía y biomecánica
La anatomía funcional del codo depende de las estructuras óseas y los ligamentos capsulares. Para recuperar la estabilidad y la funcionalidad del codo después de una fractura-luxación, es esencial el abordaje integral de todas las estructuras afectadas.
Se han identificado 2 tipos de estabilizadores: los estáticos y los dinámicos, que son los músculos que atraviesan la articulación del codo. Dentro de los estabilizadores estáticos, destacan los primarios, que incluyen la articulación ulnohumeral (la más importante), el ligamento colateral lateral (LCL), especialmente su fascículo colateral cubital lateral, y el ligamento colateral medial (LCM), principalmente su fascículo anterior, que, junto a la cabeza radial, son los principales responsables de resistir las fuerzas en valgo(3,4).
Los estabilizadores secundarios incluyen la articulación radiocapitelar, importante estabilizador contra las fuerzas valguizantes, el origen de la musculatura flexo pronadora y supinoextensora, y la cápsula articular, que aporta estabilidad principalmente en extensión(5).
Fracturas luxaciones de codo, patrones de inestabilidad, mecanismo lesional
Es importante reconocer el mecanismo lesional para entender qué estructuras se van a ver alteradas tras una luxación de codo y así poder dirigir correctamente el tratamiento. A continuación, se describen los 3 más frecuentes(5).

El primer patrón de inestabilidad se conoce como tríada terrible del codo. Se produce tras una caída con el brazo en extensión, con supinación, valgo y carga axial, y la fuerza progresa desde estructuras laterales a mediales. En primer lugar, se produce una disrupción del LCL ulnar (LCLU), que se arranca del epicóndilo lateral; a continuación, tiene lugar una luxación inferior de la cabeza radial; y, finalmente, las fuerzas de cizallamiento pasan a través de la punta de la coronoides hasta lesionar el LCM. Esto ocasiona una inestabilidad en valgo posterolateral rotatoria.

El siguiente patrón de inestabilidad tiene lugar tras una caída hacia atrás con el brazo extendido y provoca una inestabilidad en varo posteromedial. Se lesiona el LCL y se fractura la carilla anteromedial de la coronoides. En este tipo de lesiones, la cabeza radial típicamente no está fracturada.

Finalmente, existen las lesiones que se producen por un trauma de alta energía contra el codo en flexión. Se genera una fractura-luxación transolecraneana, que puede conllevar una luxación anterior o posterior de codo.
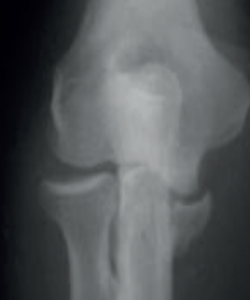
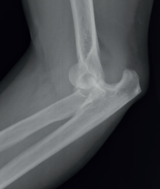
Este tipo de lesiones se puede confundir con una fractura-luxación de Monteggia-Bado I. La diferencia es que no se ve afectada la articulación radiocubital proximal y los ligamentos colaterales medial y lateral permanecen anclados al fragmento distal del cúbito (Figuras 1, 2 y 3).
Tratamiento protocolizado
Tradicionalmente, varios aspectos del enfoque terapéutico de estas lesiones han sido motivo de debate. Por ejemplo, qué estructuras se deben reparar y a través de qué abordaje, si es necesario tratar quirúrgicamente las fracturas de la apófisis coronoides, qué hacer con la cabeza radial, cómo abordar la reparación ligamentosa y en qué orden debe realizarse cada procedimiento. Por ello, multitud de autores han propuesto protocolos para estandarizar los pasos en el tratamiento(6,7,8).
En cuanto al abordaje, los más frecuentemente utilizados son el de Kaplan, entre el extensor carpis radialis y el extensor digitotum communis, o el abordaje de Kocher, entre el ancóneo y el extensor carpis ulnaris, que proporciona un mejor acceso al LCL. Ambos ponen en riesgo el nervio interóseo posterior, que se puede proteger con la pronación del antebrazo. También se plantea la posibilidad de añadir un abordaje medial si la fractura de coronoides tiene suficiente entidad (O’Discroll II-III) o es necesario reparar el LCM(9,10).
Sobre las fracturas de la cabeza radial, existe consenso en que esta se debe conservar, ya sea mediante su osteosíntesis o su sustitución por prótesis para conseguir la estabilidad del codo. En cuanto a la técnica quirúrgica, se prefiere reservar la artroplastia para aquellas fracturas no sintetizables, ya sea porque son muy conminutas o por la mala calidad del hueso, o en aquellas fracturas con gran afectación articular(11,12).
Otro punto importante en este tipo de lesiones son las fracturas de la apófisis coronoides y si es necesario o no repararlas y cómo. Estudios sobre la biomecánica del codo sugieren que incluso fracturas que involucran menos del 50% de la coronoides suponen una pérdida importante de la estabilidad de la articulación; sin embargo, su exposición y fijación interna sigue siendo un reto para muchos cirujanos incluso con gran experiencia(13).
La reducción y la fijación interna de este tipo de fracturas es más sencilla si se realiza antes de la fijación o sustitución de la cabeza radial y de la reparación del LCL, por lo que es importante tener en cuenta si va a ser necesaria la reparación de la apófisis coronoides durante la planificación quirúrgica. Clásicamente, se había utilizado la clasificación de Regan-Morrey para definir este tipo de fracturas; sin embargo, actualmente la clasificación de O’Discroll et al. ofrece una forma más detallada de definirlas, basada en la morfología según la tomografía axial computarizada (TAC)(14). Se divide en los tipos I a III. Las de tipo I son fracturas de la punta, asociadas típicamente a la tríada terrible de codo. Este tipo de fracturas son difícilmente sintetizables por su pequeño tamaño, por lo que se prefiere repararlas con arpones o suturas transóseas de tipo Lasso(15). Es importante destacar también que la necesidad de reparar la coronoides, por pequeño que sea el fragmento, recae en que puede contener la inserción a la cápsula anterior, que proporciona estabilidad en el plano anteroposterior(7).
Las de tipo II son fracturas de la faceta anteromedial, relacionadas con la inestabilidad en varo posteromedial rotatoria, y las de tipo III, de la base de la apófisis, asociadas a fracturas-luxaciones transolecraneanas, son fracturas de mayor tamaño para las que a veces es necesario realizar un abordaje medial y se utilizan en su síntesis, tornillos o placas preconformadas(5-14) (Figura 4).

En cuanto a la reparación del LCL, principal estabilizador primario en la zona lateral, existe consenso en la necesidad de su reinserción y lo más frecuente es que se produzca una avulsión en bloque del epicóndilo(8).
Finalmente, un concepto muy discutido es la necesidad de reinsertar el LCM; diversos autores defienden que, si el codo es estable tras reparar el resto de las estructuras comentadas, el LCM cicatrizará y no será necesaria su reparación, sin encontrarse después diferencias funcionales(16). Esto supondría una ventaja en cuanto a que limita la disección de las partes blandas y disminuiría el riesgo de lesión del nervio cubital(16).
Sin embargo, otros autores optan por su reparación cuando ha sido necesario realizar un abordaje medial para exponer la fractura de la coronoides, cuando las características de la fractura exponen la lesión o cuando, a pesar de haber reparado el resto de las lesiones, persiste inestabilidad clínica o radiológica en el quirófano(8).
Fijación externa vs. interna
Uno de los objetivos tras realizar estos gestos quirúrgicos sobre las estructuras lesionadas es mantener una reducción concéntrica entre los 20 y los 130° de flexoextensión(17), y, si no se obtiene un resultado satisfactorio y persiste la inestabilidad, entra en juego la necesidad de utilizar un dispositivo de fijación externa o interna, para descargar las fuerzas a las que se ven sometidas las estructuras reparadas y permitir su cicatrización. Además, hay que valorar la necesidad de su aplicación ante fracturas o fracturas-luxaciones abiertas o con afectación de las partes blandas importante(18,19). Según la bibliografía, la necesidad de estos dispositivos oscila entre un 2 y un 26%(8).
Se pueden elegir dispositivos de fijación externa o interna, y los primeros pueden ser estáticos o dinámicos.
Fijación externa
En relación con los fijadores externos, independientemente del dispositivo, cuando se aplican, los pines suelen insertarse en el lado lateral del húmero y en la parte posterior del cúbito para reducir el riesgo de lesión neurovascular.
Los pines se interconectan con barras y para añadir rigidez al montaje se puede aumentar el diámetro del pin, reducir la distancia entre pines, disminuir la distancia entre las barras y el hueso, o realizar un montaje multiplanar.
La fijación externa proporciona estabilidad y mantiene la articulación congruente mientras permite la curación de lesiones ligamentosas y óseas. Además, gracias al desarrollo de los fijadores dinámicos, es posible la movilización precoz tras la intervención.
En cuanto a los fijadores dinámicos, es importante alinear el axis del fijador con el eje de flexoextensión en todos sus grados. Este eje está rotado internamente entre 3 y 8° con respecto al plano de los epicóndilos y forma un ángulo de 82 a 86° con el eje del húmero(20). Una traslación de 5 mm o angulación de 5° deriva en un aumento de hasta 4 veces las fuerzas de flexión normales(17,20). Para localizar el axis, el punto de referencia anatómico a nivel lateral se sitúa en el tubérculo de origen del LCL y en un punto anteroinferior a nivel del epicóndilo medial(17).
Se trata de dispositivos que pueden ser molestos y mal tolerados por el paciente, por lo que es importante explicar correctamente cómo proceder con el mantenimiento y cuidado, y cuáles son los objetivos del tratamiento en cuanto a los resultados funcionales (Figura 5).

Fijación interna
Las opciones para la estabilización interna incluyen la fijación transarticular, el uso de placas o el estabilizador articular interno Internal Joint Stabilizer (IJS®).
Ring et al.(21) concluyen que la fijación transarticular con pines Steinmann puede ser una alternativa a los fijadores externos para el tratamiento de la inestabilidad tras la reparación del LCL, fractura de cabeza radial y apófisis coronoides en las lesiones de tipo tríada del codo.
Como alternativa a esta técnica, Orbay describió por primera vez en 2014 el IJS®. Este dispositivo está diseñado como estabilizador adicional cuando exista suficiente stock óseo e inestabilidad residual tras el tratamiento quirúrgico de las estructuras lesionadas. Todavía no existen indicaciones claras y en muchas ocasiones recae en la experiencia del cirujano la decisión de usarlo(22). En la bibliografía actualmente publicada, su uso más común es en el tratamiento de la inestabilidad residual tras una tríada terrible de codo(23,24,25).
En general, no se recomienda este dispositivo en pacientes con afectación importante de las partes blandas, fracturas de apófisis coronoides de más del 50%, infección activa, osteoporosis grave, pérdida ósea de más del 30% de la articulación o afectación de toda la columna humeral(23).
En cuanto a la técnica quirúrgica, la necesidad de usar un dispositivo adicional como el IJS® para aportar estabilidad debería valorarse en la planificación preoperatoria. Se debe tener en cuenta para dejar libre el centro de rotación del epicóndilo lateral, donde se colocará el pin del axis, y no reinsertar en ese mismo punto el LCL®, ya que, como se ha comentado, modificarlo aumenta de forma notable las fuerzas a las que se somete la articulación.
Para reparar el LCL, este puede reinsertarse con un arpón que normalmente se sitúa posterior y proximal al punto elegido para el pin(24,25).

Para facilitar este paso, muchos cirujanos proceden en primer lugar a la colocación del pin humeral (axis pin) o una aguja de Kirschner a nivel del punto isométrico antes de realizar la reparación osteoligamentosa(22). En este paso se comprueba la correcta colocación del pin con una guía y mediante fluoroscopia. Es importante, para evitar lesionar el nervio cubital, no traspasar la cortical medial y, si la medida queda entre 2 longitudes, elegir la más corta (Figura 6).

Tras realizar este paso, se realiza la reparación del resto de las estructuras. Al concluirla, se verifica la estabilidad y la congruencia articular a lo largo de todo el arco de movilidad en flexoextensión y, si se evidencia inestabilidad franca, se procede a la colocación del dispositivo según está descrita la técnica por el fabricante (Figura 7).
Discusión
En cuanto al uso de fijadores externos para el tratamiento de la inestabilidad residual, Al-Qahtani reportó resultados clínicos similares y tasas de complicaciones comparables entre la fijación estática y la dinámica. Por consiguiente, estos autores concluyeron que la fijación estática podría ser la opción preferida, al ser más fácil técnicamente(26).
En la revisión de De Crescenzo et al.(22), diversos estudios muestran resultados funcionales satisfactorios con tasas variables de complicaciones tras la colocación de un fijador externo, siendo las relacionadas con los pines las más comunes. Esto es debido a la cercanía de su colocación a estructuras neurovasculares y a la exposición prolongada del trayecto de los pines, que aumenta el riesgo de infección. En una de las series más grande, de Cheung et al., se describe un 18% de complicaciones relacionadas con los pines, ya sea en forma de infección, aflojamiento o fractura(27).
En algunas series se han llegado a describir tasas de complicaciones de hasta un 67%, de entre las cuales destacan también, además de las infecciones del trayecto de los pines, lesiones nerviosas, movilización de los pines y fracturas alrededor de estos(21,27). En el estudio de Al-Qahtani se describen tasas de infección similares entre fijadores externos dinámicos y estáticos(26).
Finalmente, a nivel biomecánico, hay que tener en cuenta que, al tratarse de un dispositivo externo, presenta un brazo de palanca largo que dificulta la recreación del eje de rotación. Además, la distancia entre los elementos del fijador y la articulación magnifica los efectos que pueden surgir de una mala colocación del axis. Por estos motivos, en algunas series se han llegado a describir cifras de inestabilidad recurrente de hasta el 30% tras su retirada(23).
Sobre los métodos de fijación interna, en concreto la fijación transarticular, Ring et al. observaron que el éxito en el tratamiento de la rigidez que puede desarrollarse tras el periodo de inmovilización es superior al del tratamiento de las secuelas de dejar una articulación con inestabilidad crónica(21).
De una forma similar, esta vez con el uso de placas, Edelman e Ilyas(28) llegaron a conclusiones parecidas, sin casos de inestabilidad recurrente, aunque cabe señalar que se trata de una muestra pequeña.
Finalmente, el IJS® se presenta como un dispositivo de fijación interna que el paciente tolera mejor, permite iniciar la rehabilitación de forma precoz y evita las complicaciones por la colocación de los pines en comparación con los fijadores externos. Además, como reduce el brazo de palanca, hace más fácil reproducir el eje de flexoextensión ulnohumeral(22).
Sin embargo, hay que tener en cuenta que será necesario un segundo acto quirúrgico para retirarlo, aunque ocurre lo mismo con los fijadores externos y la fijación transarticular.
En cuanto a los resultados descritos, Stenson et al.(29) concluyen que el IJS® proporciona una estabilidad adicional comparable con la de un fijador externo cuando se aplican fuerzas en varo. Además, se trata de un dispositivo más cómodo para los pacientes, que no requiere mantenimiento por su parte.
En la revisión realizada por De Crescenzo et al.(22), con una serie de 171 casos, se describe una tasa de inestabilidad tras su retirada de un 4,7%, que es comparable con la que se obtiene tras la fijación transarticular, pero mucho menor que la obtenida utilizando fijadores externos, que se reporta de un 7% en la revisión de Heifner et al.(30).
Varios estudios postulan(23,31) que los casos de inestabilidad recurrente tras el uso del IJS® están en relación con el tipo de fractura de la apófisis coronoides. Si se trata de una fractura muy conminuta o de más de un 50% de la altura, el dispositivo podría no ser suficiente para mantener la articulación congruente si no existe una correcta osteosíntesis previamente.
Cuando se habla de las complicaciones de este dispositivo, hay que diferenciarlas de las inherentes al tipo de lesiones para las que se utiliza, como pueden ser la aparición de calcificaciones heterotópicas, neuropatía cubital, rigidez articular o infección del sitio quirúrgico. Este tipo de complicaciones parecen ir del 21 al 65,5% en las series publicadas(32,33).
En relación con las complicaciones propias del dispositivo, parecen ser menos frecuentes. Se describen un 0-23% de fallos del implante y entre un 0 y un 47% de aparición de líneas radioluscentes, que podrían deberse a una mala reproducción del eje de rotación(25,32).
Uno de los principales inconvenientes de este dispositivo es que precisa una segunda intervención para retirarlo. En su estudio, Orbay et al.(25) obtuvieron resultados satisfactorios retirando el dispositivo a los 3 meses; sin embargo, existen series publicadas en las que los pacientes han retenido el implante pasado este tiempo sin complicaciones(28). Aun así, no se ha estudiado todavía el impacto de retener el implante indefinidamente.
Por último, para compensar las limitaciones de este dispositivo cuando existen lesiones conminutas o muy grandes de coronoides, Sheth et al.(33) plantean la posibilidad de colocar el IJS® en el lado medial. Con un seguimiento de 15 meses, obtuvieron resultados satisfactorios, con un rango de movilidad de entre 10 y 130° de flexoextensión y pronosupinación completa, sin presentar ninguna complicación vasculonerviosa. Aun así, son necesarios más estudios para confirmar estos resultados.
Conclusiones
Las fracturas-luxaciones de codo son lesiones osteoligamentosas complejas que requieren un abordaje integral y protocolizado para su tratamiento. A pesar de los avances en la comprensión de la anatomía y la biomecánica del codo, estas lesiones presentan una alta tasa de complicaciones, entre ellas, la inestabilidad recurrente del codo. Para ello, es necesario conocer los implantes existentes, ya sean fijadores externos o internos, que aporten la estabilidad adicional necesaria mientras cicatrizan las lesiones reparadas y las partes blandas que se han lesionado.
En este contexto, la fijación interna con el IJS® puede ser una solución para el tratamiento de la inestabilidad recurrente, con mejores resultados según la bibliografía publicada y con una menor tasa de complicaciones, sobre todo en cuanto a las tasas de infección de los pines.