Introducción
Las roturas distales del bíceps son raras en comparación con las roturas proximales, con una epidemiología y un mecanismo de lesión diferentes. No existe una fisiopatología exacta, aunque la inserción distal del tendón en la tuberosidad radial hipovascular y el impacto mecánico durante el movimiento deben considerarse factores importantes. El tratamiento quirúrgico de los casos crónicos presenta peor pronóstico por acortamiento muscular y la retracción del tendón, dificultando la reparación anatómica de la lesión, requiriendo en ocasiones el uso de injertos para su reconstrucción.
El propósito de las diversas técnicas descritas para la reparación de estas lesiones del tendón de carácter crónico es restaurar la anatomía e intentar mejorar la sintomatología que en ocasiones presentan estos pacientes; principalmente, las molestias o el dolor en el muñón muscular y frecuentemente la falta de fuerza en situación de máxima exigencia física, habitualmente cuando realizan trabajos donde la flexión y la supinación del codo son necesarias.
La literatura sobre la reparación de estas lesiones es escasa, habitualmente series cortas y con pocos casos, y en un ámbito como el laboral es todavía menos frecuente, ya que habitualmente se realizan las reparaciones de forma inmediata. El uso de los autoinjertos, en caso de no disponer de un banco de tejidos, es la primera opción y los tendones isquiotibiales (semitendinoso o semimembranoso) son la opción más frecuentemente utilizada(1,2). Los aloinjertos en caso de tener disponibilidad son una buena opción y el uso de tendones de semitendinoso(3), fascia lata, peroneos, tibial anterior(4) o como en nuestro caso el tendón de Aquiles(5) son las opciones que con más frecuencia se describen en la literatura.
En nuestro caso, la elección del tendón de Aquiles se justifica por la ausencia completa de muñón de tendón que permitiera la sutura laterolateral de tipo Pulvertaft del injerto con el tendón nativo (los tendones del semitendinoso y peroneos son más adecuados para esta técnica de sutura por su tamaño y grosor) y consideramos que el tendón del tibial anterior tampoco nos permitía el ajuste adecuado. La sutura del Aquiles alrededor del muñón muscular del bíceps nos proporcionaba mucha mayor superficie de adherencia y más seguridad.
En relación con la técnica de anclaje en la tuberosidad bicipital del radio, se han descrito diversos métodos, siendo los mismos que habitualmente se usan en las reparaciones primarias y técnicamente no representan habitualmente una dificultad añadida o una fuente de complicaciones quirúrgicas más allá de las que pueden surgir por la falta de cicatrización del injerto en el lecho de la tuberosidad radial durante el seguimiento.
Sí que puede representar un reto la tensión a la que se debe dejar el injerto una vez suturado al muñón. El grado de ascenso del vientre muscular es variable en cada caso y la elasticidad del mismo también es difícil de medir antes del procedimiento. Intentar usar como referencia el lado sano puede inducir a errores de sobretensión, ya que la contractura crónica y la atrofia ya establecida del muñón muscular impiden que pueda descender a su posición anatómica.
Las situaciones de sobretensión del injerto son las que generan fallos en la cicatrización del injerto, especialmente a nivel proximal. El criterio que nosotros habitualmente utilizamos es evitar que el brazo en extensión completa presente una excesiva tensión de la sutura, intentando realizar el anclaje de la parte proximal del injerto con el codo entre 45 y 60° de flexión.
Caso clínico
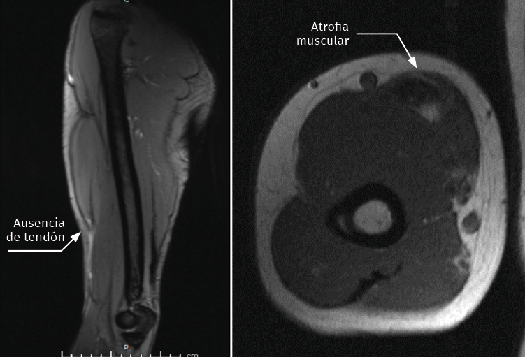
Se trata de un varón de 44 años con rotura del bíceps distal derecho de 6 meses de evolución, remitido para su valoración tras haber fracasado el tratamiento conservador que el paciente había decidido de forma voluntaria. A la exploración física, la movilidad del codo era completa pero manifestaba dolor en el vientre muscular a la contracción y un déficit de fuerza de flexión y pronosupinación que le impedía reincorporarse a su actividad laboral. Las pruebas diagnósticas preoperatorias como la resonancia magnética (RM) objetivaban la atrofia muscular, el ascenso y la casi ausencia completa de tendón bicipital (Figura 1).
Figura 1. Imagen de resonancia magnética preoperatoria. Se objetiva la atrofia muscular y la ausencia de cabo tendinoso.

El paciente fue intervenido bajo anestesia axilar y con manguito de isquemia. El acceso único utilizado fue un Henry modificado extendido proximal y distalmente según las necesidades del caso.
Figura 2. Imagen de la sutura distal del injerto.

La técnica de sutura del injerto de Aquiles fue la de tipo FiberLoop distalmente y anclamos el tendón mediante un botón cortical (EndoButton®, Smith & Nephew) en disposición intramedular en la tuberosidad bicipital del radio para evitar el riesgo de lesión del nervio radial. La sutura proximal fue mediante puntos de tipo Krakow intentando envolver el muñón muscular en toda su circunferencia utilizando la parte proximal del tendón de Aquiles como un abanico desplegado (Figuras 2 y 3).
Figura 3. Imagen de la sutura proximal del injerto.

Es recomendable anclar primero el injerto a nivel distal, ya que facilita encontrar la tensión adecuada de la sutura a nivel proximal, que se recomienda realizar aproximadamente a unos 45-60° de flexión del codo (Figura 4).
Figura 4. Anclaje monocortical endomedular del botón cortical (EndoButton®, S&N).

Posteriormente, el paciente se mantuvo durante 8 semanas en un cabestrillo, pudiendo retirarlo para la higiene y evitando tanto la flexión como la extensión del codo. A partir de las 6 semanas se inició la fisioterapia pasiva progresando a activa asistida a partir de las 9 semanas y dejando los ejercicios de fuerza pasadas las 12 semanas de la intervención.
Resultados
El paciente fue evaluado con la escala de Mayo del codo (Mayo Elbow Performance Score –MEPS–) y con la escala de discapacidad del brazo, el hombro y la mano (Disabilities of the Arm, Shoulder and Hand –DASH–) y se midió el rango de movimiento del codo (range of motion –ROM–) en el momento del alta. Además, se realizó un test isocinético (a velocidad constante) a los 6 meses en flexoextensión y pronosupinación en modalidad concéntrica (con acortamiento muscular) para medir el déficit residual de fuerza comparado con el lado sano.
El resultado del MEPS a los 6 meses fue de 94 y el DASH de 8 a expensas del déficit de fuerza, el ROM fue de extensión −4°, flexión 134°, pronación 82° y supinación 80°.
Figura 5. Gráfica del test isocinético en flexión y extensión comparado con el brazo sano.

Los resultados del test de fuerza en flexoextensión que se obtuvieron fueron un déficit de un 26 a un 28% de fuerza de flexión según la velocidad y el pico de fuerza máxima. Globalmente, se pudo objetivar un 13,3% de déficit de trabajo total comparando con la extremidad sana contralateral no dominante. En los test de pronosupinación, el déficit de pico máximo de fuerza de supinación fue de un 27% y de trabajo de un 30% en comparación con la extremidad contralateral sana (Figura 5).
El paciente no desarrolló neuritis cutánea antebraquial lateral postoperatoria ni lesiones en el nervio mediano o el radial. La herida quirúrgica no presentó problemas de cierre o adherencias que dificultaran el progreso de la fisioterapia.
Discusión
Las roturas crónicas del bíceps distal pueden ser una lesión desafiante para el cirujano ortopédico. La discapacidad generada por estas lesiones puede ser significativa, lo que implica dificultades con las tareas diarias que implican la supinación (es decir, abrir una puerta o una botella) y en las situaciones en las que se precisa la máxima fuerza de flexión (al levantar o mantener un peso). Si hay una retracción y una cicatrización importantes del tendón, la reconstrucción anatómica puede ser difícil. Si la reconstrucción anatómica no era posible, la tenodesis con el braquial anterior históricamente era la opción utilizada, pero frecuentemente originaba importantes déficits funcionales(6).
El uso de un injerto es recomendable cuando la reparación anatómica no se puede lograr mediante el tendón nativo. En caso de ser necesario, es recomendable realizar la reinserción con una flexión de 60 a 90° del codo en el momento de la sutura proximal del injerto(7); si no se realiza de este modo, aumentan mucho las posibilidades de contractura en flexión postoperatoria.
La decisión de obtener un autoinjerto o usar un aloinjerto, si está disponible, a menudo no es sencilla y con frecuencia se toma en función del tiempo transcurrido desde la lesión, el examen físico observando la retracción del vientre muscular y finalmente viendo el estado del tendón en una RM preoperatoria.
La extracción de un autoinjerto puede causar morbilidad en el sitio donante, tiempo quirúrgico adicional para la recolección y requiere la preparación y el recubrimiento de la extremidad inferior. Dependiendo del tamaño del defecto, es posible que el autoinjerto no sea adecuado, como en nuestro caso. El aloinjerto aumenta el coste, tiene un pequeño riesgo inherente de transmisión de enfermedades y además está limitado su uso por la disponibilidad de un banco de tejidos. Aunque los aloinjertos pueden tardar más en incorporarse que los autoinjertos, las propiedades biomecánicas son, en última instancia, equivalentes(8). Las dificultades técnicas por el desajuste de tamaño que pueden surgir con el autoinjerto se minimizan cuando se utiliza un aloinjerto cuya elección se haya realizado midiendo el defecto durante la planificación preoperatoria.
A pesar de la disección cuidadosa y la planificación preoperatoria, las complicaciones postoperatorias son frecuentes: contracturas, cicatriz cutánea, déficits de extensión, neuritis del nervio musculocutáneo y el nervio braquial cutáneo externo, dolor residual en el muñón de la sutura, entre otras(9).
Diversos artículos recientes han demostrado una restauración exitosa de la fuerza y la amplitud de movimiento del codo después del tratamiento de las roturas crónicas utilizando diversos tipos de aloinjertos(1,2,3,4,5,6).
Conclusión
Con una técnica adecuada y una buena planificación, las lesiones crónicas del bíceps distal se pueden reconstruir de forma segura y eficaz con un aloinjerto y con buenos resultados clínicos. En nuestro caso, por el tipo de lesión que presentaba nuestro paciente, la mejor elección fue el tendón de Aquiles.