Introducción
Los traumatismos agudos que afectan a la región del codo son muy frecuentes en el ámbito laboral. Ya sea por caídas a la propia altura, precipitados o bien por accidentes de tráfico in itinere o in mission, veremos con frecuencia este tipo de lesiones en nuestras consultas.
En función del grado de flexión del codo, de la pronosupinación en la que se encuentre el antebrazo y de la energía del traumatismo, tendremos un espectro de lesiones que irá desde fracturas simples a fracturas conminutas complejas de 1 o 2 huesos; si además se acompañan de lesiones de las partes blandas podremos ver diferentes tipos de patrones de fractura-luxación como la tríada terrible de Hotchkiss, el patrón rotatorio posterolateral, el rotatorio posteromedial o el patrón de inestabilidad axial del antebrazo (lesión de Essex-Lopresti).
Si el mecanismo es de alta energía, nos podemos encontrar con fracturas abiertas o con severa afectación de las partes blandas, que obligarán a una primera estabilización con un fijador externo y, en un segundo tiempo, osteosíntesis de las fracturas y reparación de los complejos ligamentosos.
Exploración y diagnóstico
El paciente acudirá con dolor y presentará edema, equimosis o crepitación lateral, medial y/o posterior en función de la estructura lesionada. Tendremos limitación de la movilidad en mayor o menor grado. Si la fractura afecta solo a la cabeza radial podemos tener pocos signos externos, pero la pronosupinación será dolorosa, incluso puede que esté bloqueada. Si existen dudas al respecto, nos puede ayudar la infiltración de la articulación con anestésico local, previa evacuación del hemartros, y veremos si el bloqueo es mecánico o funcional por dolor(1).
Podremos palpar un hueco en la cara posterior en caso de fracturas de olécranon desplazadas. Existirá impotencia funcional severa y deformidad en caso de luxación o fractura-luxación compleja. Si hay sospecha de lesión de los ligamentos colaterales tendremos que explorar la estabilidad en varo-valgo. Recordemos que para explorar su integridad, el codo debe estar flexionado unos 30°; si lo hacemos en extensión completa, la articulación humerocubital bloquea el varo-valgo(2). En presencia de lesiones complejas será difícil y habrá que hacerlo intraoperatoriamente, una vez hayamos estabilizado las fracturas óseas. Si refiere dolor en el antebrazo o la muñeca, tendremos que explorar la integridad de la articulación radiocubital distal (RCD) y de la membrana interósea(3).
Finalmente, descartaremos lesiones vasculares (arteria braquial), explorando los pulsos radial y cubital, y lesiones neurológicas (nervio cubital, mediano o interóseo posterior) explorando el trofismo distal.
Durante la anamnesis es importante preguntar por el mecanismo exacto de la lesión y si ha existido sensación de subluxación con reducción espontánea.
Pruebas complementarias
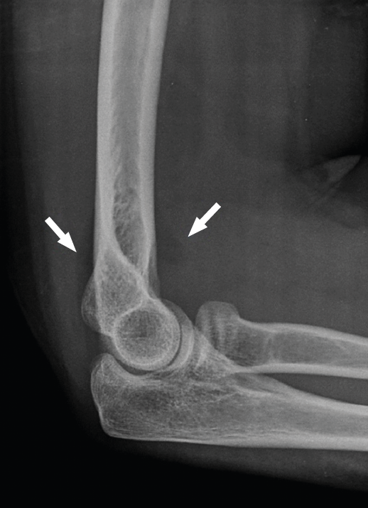
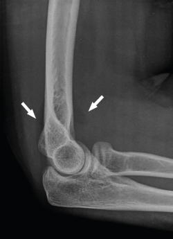
Se solicitarán radiografías simples (Rx) anteroposterior (AP) y lateral. También pueden ayudar las proyecciones oblicuas. En fracturas de la cabeza del radio no desplazadas podemos ver un signo indirecto de hemartros en el perfil estricto, la distensión de las almohadillas grasas anterior y posterior o “signo de la vela” (Figura 1). En casos de inestabilidad asociada podremos ver subluxación de la cabeza del radio respecto al cóndilo humeral. Si hay sospecha de lesión de la membrana interósea solicitaremos Rx posteroanteriores (PA) de ambas muñecas (en posición neutra) y podremos ver variaciones a nivel cubital distal.
Figura 1. Signo de la vela: distensión de las almohadillas grasas anterior y posterior por el hemartros.

La tomografía axial computarizada (TAC) nos ayudará a confirmar las lesiones que pudieran pasar desapercibidas con la radiología simple (fracturas de coronoides, lesiones condrales o avulsiones óseas en el epicóndilo lateral o medial) y nos dará detalles sobre la conminución y el tamaño, la localización y el desplazamiento de los fragmentos; por tanto, nos será de gran ayuda a la hora de planificar la cirugía. La resonancia magnética (RM) nos pondrá de manifiesto las lesiones de partes blandas (ligamentosas o tendinosas).
Fracturas de la cabeza del radio
Son las más frecuentes en la patología traumática del codo y representan hasta un tercio de las mismas(4). Suelen ocurrir tras caídas con la mano en extensión y la conminución vendrá dada por la energía del impacto.
Recuerdo anatómico
El codo presenta una complejidad anatómica adicional porque comprende en realidad 3 articulaciones distintas, la radiohumeral, la humerocubital y la radiocubital proximal.
La cabeza del radio está formada por un disco cóncavo que se articula con el cóndilo humeral esférico(5). No es completamente circular, sino ovalada. A su vez, el borde radial se articula con la cavidad sigmoidea menor del cúbito proximal formando la articulación radiocubital proximal (RCP). Este borde radial no está cubierto por cartílago en su totalidad, sino que deja una zona desprovista, de unos 80°, en la región posterolateral, que coincide con el concepto de “zona segura” y que veremos más adelante(6).
Por otro lado, la cavidad sigmoidea mayor del cúbito articula con la tróclea humeral. Tiene una circunferencia de 190° y es una de las articulaciones más constreñidas de la anatomía. De hecho, es el estabilizador primario más importante. Además, en el plano coronal tenemos los ligamentos colaterales lateral (LCL) y medial (LCM), que estabilizarán la articulación en varo y valgo, respectivamente (Tabla 1)(7).
Tabla 1. Estabilizadores del codo

En presencia de una lesión del LCM, la cabeza radial pasa a ser un estabilizador clave para el control del valgo en el plano coronal(8,9). Por tanto, a la hora de planificar el tratamiento de una fractura de la cabeza del radio asociada a lesión del LCM, habrá que tenerlo en cuenta y nos obligará a realizar una fijación estable o la sustitución protésica de la misma(10).
Clasificación
La clasificación más aceptada es la de Mason. Johnson añade el tipo IV, que incluye las que van asociadas a luxación de codo y que tendrán peor pronóstico, y Hotchkiss trata de sistematizar el tratamiento según el tipo (Tabla 2):
- Tipo I: fracturas no desplazadas o con desplazamiento mínimo (< 2 mm) de la cabeza o del cuello, o fractura del reborde marginal. No existe bloqueo mecánico de la pronosupinación.
- Tipo II: fracturas con desplazamiento de > 2 mm de la cabeza o del cuello (angulada). Puede acompañarse de bloqueo o incongruencia articular.
- Tipo III: fractura de la cabeza o del cuello con conminución importante o pérdida completa de contacto cortical. A priori se consideran no reparables.
- Tipo IV: cualquiera de los tipos anteriores asociada a luxación.
Tabla 2. Clasificación de Mason (modificada por Hotchkiss)
Tabla 2. Clasificación de Mason (modificada por Hotchkiss)

Tratamiento
Tipo I
El tratamiento será conservador. Inmovilizaremos el codo con un vendaje compresivo o una férula posterior de yeso a 90° de flexión 1 o 2 semanas, seguido de movilización temprana. La evolución suele ser favorable, pero recomendamos controles radiológicos seriados por si hubiera desplazamiento secundario.
Tipo II
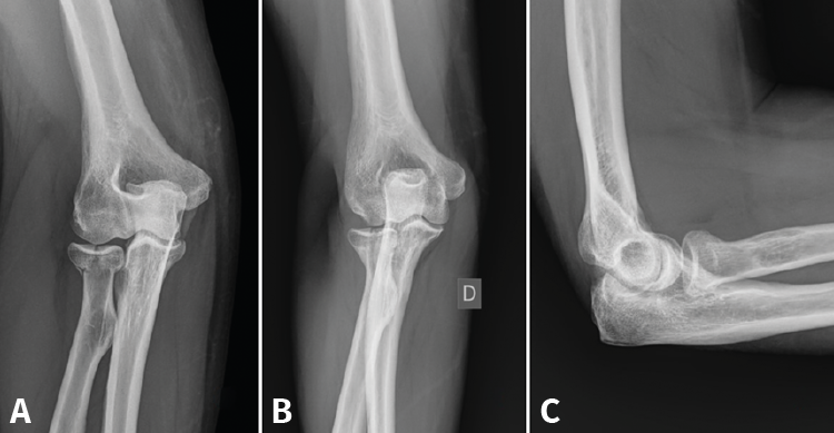
Las fracturas que afecten a menos de un tercio de la cabeza radial y que no produzcan bloqueo de la articulación podrían tratarse de igual modo que las de tipo I con buenos resultados a largo plazo. Inestabilidad y desplazamiento no son sinónimos. Incluso con un desplazamiento de más de 2 mm o con más de un fragmento, hay fracturas que siguen siendo estables gracias a que las estructuras periósticas están preservadas; por tanto, no son indicación absoluta de tratamiento quirúrgico (Figura 2)(11,12).
Figura 2. Ejemplo de fractura de Mason II tratada de forma conservadora. A: proyección anteroposterior (AP) aguda; B y C: AP y lateral a los 6 meses.

Las fracturas de tipo II inestables o con incongruencia articular precisarán tratamiento quirúrgico, con 2 opciones:
- Escisión parcial del fragmento: solo en casos muy indicados y en fracturas que afecten a menos de un 25% de la cabeza. Se puede hacer por cirugía abierta o artroscópica. No debemos resecar nunca los fragmentos que formen parte de la RCP.
- Reducción abierta y fijación interna (RAFI): el objetivo es obtener una fijación anatómica y estable. Usaremos tornillos canulados de minifragmentos a compresión, sin cabeza, que dejaremos a nivel subcondral (Figura 3). Si existe afectación del cuello, lo ideal es sintetizar primero los fragmentos de la cabeza y añadir después algún tornillo hacia la diáfisis o una placa de bajo perfil (Figura 4)(13).
Figura 3. Ejemplo de fractura de Mason II tratada con 2 tornillos de minifragmentos canulados. A: imagen sagital en tomografía axial computarizada (TAC); B y C: radiografía anteroposterior y lateral de control a los 6 meses.

Figura 4. Proyección lateral de una fractura de cabeza y cuello de tipo Mason III, sintetizada con tornillos a compresión y una placa de bajo perfil.

Tipo III
Figura 5. La “zona segura”, lugar donde se colocará una placa de bajo perfil en caso de precisar osteosíntesis si también existe afectación del cuello del radio.

Precisan tratamiento quirúrgico, con varias opciones:
- RAFI: la técnica se complica en presencia de más de 3 fragmentos o en fracturas del cuello del radio con pérdida completa del contacto cortical(14). Existen en el mercado placas de bajo perfil para sintetizar la cabeza al cuello. Para evitar bloquear la pronosupinación tendremos que colocarla en la llamada “zona segura”. Esta se localiza en el cuadrante posterolateral de la cabeza y la podremos identificar con el codo en flexión, el antebrazo en posición neutra y trasladando la visión, proximalmente, de la zona situada entre la estiloides radial y el tubérculo de Lister (Figura 5). A veces será necesario aporte de injerto autólogo al corregir la angulación, que tomaremos del olécranon o del epicóndilo lateral(15). También está descrita una técnica que usa 3 tornillos con una configuración en trípode y que al parecer proporciona la misma estabilidad que una placa(16). Si no podemos conseguir una osteosíntesis estable, que permita una movilización precoz, entonces es preferible la sustitución protésica.
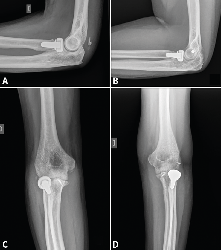
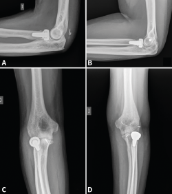
- Sustitución (prótesis de la cabeza del radio): de elección cuando la síntesis no sea posible, cuando no se consiga una fijación estable o en el caso de lesiones complejas con inestabilidad(17,18). Existen varios tipos de prótesis en el mercado, la más usada es una prótesis modular, metálica, no cementada. Hay que evitar 2 errores básicos en la técnica. El primero, no sobredimensionar el tamaño, es decir, implantar un diámetro igual o menor que el diámetro menor de la cabeza natural (recordemos que la cabeza del radio es ovalada)(19). Y el segundo, realizar el corte adecuado y sin excesiva presión de contacto sobre el cóndilo humeral, pues eso supondría una erosión del cartílago y la consecuente artrosis secundaria con dolor crónico(20,21). Es útil el uso de un intensificador de imágenes para comprobar que no sobrepasa la altura de la coronoides y que la articulación es congruente (Figura 6).
- Resección de la cabeza radial: a tener en cuenta si existen lesiones condrales en el capitellum y siempre y cuando no exista inestabilidad asociada, ya sea por la tríada terrible (luxación de codo más fractura de coronoides y de la cabeza del radio asociadas) o por inestabilidad en el eje axial (Essex-Lopresti) (Figura 7)(22). La cabeza del radio y la coronoides impiden el desplazamiento anterior del húmero; si realizamos resección de la misma, en presencia de lesiones ligamentosas, tendremos un codo inestable(23,24). Tampoco estará indicada si hay sospecha de lesión de la membrana interósea; en este caso, precisaremos una prótesis o una osteosíntesis estable para evitar la migración proximal del radio(25).
Figura 6. Varios ejemplos de fracturas tratadas con prótesis de la cabeza del radio (A), con reinserción del ligamento colateral lateral (LCL) (B), de la cápsula anterior por fractura de coronoides de tipo I de Regan (C) y con reinserción de ambos (D).

Tipo IV
Hay que tratar la fractura de la cabeza o del cuello del radio mediante la técnica adecuada y reparar las lesiones ligamentosas y las fracturas asociadas si las hubiera. Al finalizar la cirugía comprobaremos siempre la estabilidad. En algunos casos, será necesaria la colocación de un fijador externo, si la inestabilidad persiste.
Figura 7. Ejemplo de resección de la cabeza del radio en una fractura conminuta con lesión condral en cóndilo humeral. La radiografía muestra la evolución al año.

La vía de abordaje utilizada vendrá condicionada por la existencia de lesiones asociadas. Normalmente, se usa un abordaje lateral:
- Entre extensores radiales y extensor digital común (intervalo de Kaplan): disminuye el riesgo de lesión del LCL si este no está afectado, pero aumenta el riesgo de lesión del nervio interóseo posterior, por lo que se recomienda mantener el antebrazo siempre en pronación. Permite un mejor acceso a la parte anterior de la cabeza radial y permite además reparar la apófisis coronoides desde el lado radial, cuando, por conminución, tengamos que sustituirla.
- Transmuscular, a través del extensor común de los dedos (intervalo de Hotchkiss).
- Entre extensor cubital del carpo y ancóneo (intervalo de Kocher): el más usado si existen lesiones del LCL, permitiendo además su reparación.
Usaremos un abordaje posterior cuando existan fracturas asociadas de cúbito proximal o cuando sea necesaria la reparación de estructuras laterales y mediales a la vez, con elevación de colgajos cutáneos de espesor total y con o sin transposición del nervio cubital añadida. También podemos usar 2 abordajes independientes medial y lateral.
Fracturas del extremo proximal del cúbito
Las fracturas del extremo proximal del cúbito van desde fracturas simples de olécranon a la fractura de Monteggia y las lesiones denominadas Monteggia-like. La fractura-luxación de Monteggia original es aquella que afecta al tercio proximal del cúbito asociada a luxación de la cabeza del radio. Las lesiones Monteggia-like comprenden un espectro de lesiones de muy difícil clasificación y son aquellas fracturas proximales de cúbito asociadas a fractura-luxación del radio proximal(26). Se definen como complejas porque afectan a ambos huesos, incluyendo las estructuras clave en la estabilidad del codo (apófisis coronoides y cabeza radial), son articulares, conminutas y pueden asociar lesiones de partes blandas. La luxación transolecraniana a menudo se diagnostica erróneamente como una fractura de Monteggia anterior, pero en realidad representa una entidad aparte, con una RCP intacta, en la que la tróclea humeral atraviesa la cavidad sigmoidea del cúbito extendiéndose la fractura distalmente hacia la coronoides o la diáfisis del cúbito(27,28).
En las fracturas simples de olécranon el mecanismo típico suele ser la caída con contusión directa. En algún caso nos encontraremos con un mecanismo indirecto por tracción brusca del tríceps, pero suele darse en pacientes ancianos(29). Los patrones más complejos serán producto de lesiones de mayor energía con fuerzas rotatorias asociadas.
Recuerdo anatómico
La articulación humerocubital es una bisagra con un tope anterior, la apófisis coronoides, que impide el desplazamiento posterior del cúbito, y el olécranon, que impide el desplazamiento anterior. Ambos están separados por un área libre de cartílago de aproximadamente 3 a 5 mm. Cuando los ligamentos están intactos, el desplazamiento posterior del cúbito no sucede hasta que se afecta el 50% o más de la altura de la coronoides. En cuanto a las estructuras ligamentosas, hay que recordar que el LCM tiene un haz principal anterior que se inserta en la faceta anteromedial de la apófisis coronoides, en concreto en el tubérculo sublime, y el LCL tiene un haz principal que se inserta en la cresta supinadora del cúbito, y que jugarán un papel importante cuando hablemos del tratamiento de las lesiones complejas.
Fracturas de olécranon
Clasificación
La clasificación más usada en las fracturas aisladas de olécranon es la de Mayo, que se basa en 3 factores: desplazamiento de la fractura, presencia de conminución y estabilidad de la articulación humerocubital (subluxación). Es una clasificación simple pero está correlacionada con la severidad de las lesiones y con la elección del tratamiento (Tabla 3)(30).
Tabla 3. Clasificación de Mayo de las fracturas de olécranon

Tratamiento
Como siempre, el objetivo es obtener una fijación estable y anatómica que permita una movilidad precoz para prevenir la rigidez y la artrosis secundarias. La gran mayoría precisarán reducción abierta y fijación interna(31,32,33).
- IA: poco frecuentes. Solo en estos casos podremos plantear un tratamiento conservador. Inmovilizaremos el codo con una férula de yeso durante 4 semanas, seguida de movilización activa/asistida hasta la consolidación. La opción quirúrgica también sería razonable y evitaríamos así una inmovilización prolongada.
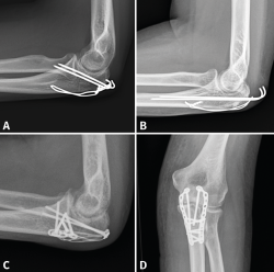
- 2A/2B: son las más frecuentes. La técnica de elección en las fracturas simples en 2 partes es un cerclaje de alambre (obenque) sobre 2 agujas de Kirschner (AK) ancladas a la cortical anterior o colocadas intramedulares. En el primer caso, tenemos riesgo de lesionar las estructuras neurovasculares volares, por lo que no deben sobresalir más de 10 mm; en el segundo caso, el riesgo de que migren proximalmente es mayor(34,35). Se pensó que con este montaje las fuerzas de tensión se transforman en fuerzas de compresión, pero varios estudios realizados no han podido demostrar este principio(36). En las conminutas 2B se recomienda fijación con placa, precisamente para evitar la excesiva comprensión de la cavidad sigmoidea que llevaría a una artrosis precoz. Se recomiendan las placas premoldeadas LCP (locking compression plate). Su efectividad y seguridad están de sobra probadas; sin embargo, al ir en una posición dorsal y ser el cúbito subcutáneo, pueden producir irritación de los tejidos blandos y con cierta frecuencia hay que retirarlas. Aun así, el índice de retirada es mucho mayor en los cerclajes, que puede llegar hasta el 90%(37,38). La alternativa es usar 2 placas laterales de bajo perfil colocadas a ambos lados de la cresta, una medial y otra lateral, que además tienen la ventaja de permitir una fijación bicortical de los fragmentos más proximales. En cualquier caso, los estudios demuestran que ambos métodos tienen buenos resultados y no existen diferencias a corto plazo. Últimamente, se están publicando modificaciones a la técnica clásica del obenque, usando una sutura trenzada de alta resistencia en lugar de alambre(39). En este caso solo tendríamos que retirar las AK y este es un proceso mucho menos invasivo (Figura 8).
- 3A, IB, 2B, 3B: siempre que exista conminución o inestabilidad, el tratamiento de elección será la osteosíntesis con una placa de ángulo fijo LCP, con tornillos de bloqueo adaptados anatómicamente que permiten reducir casi todos los fragmentos.
Figura 8. Ejemplos de fracturas de olécranon en 2 partes (tipo 2A) fijadas con obenque (A y B) y fracturas de tipo 2B fijadas con distintos diseños de placas (C y D).

También existen en el mercado clavos intramedulares de cúbito. Son estructuras más rígidas y permiten la movilidad inmediata. Con ellos evitaríamos los problemas de partes blandas, por lo que no se precisaría una segunda cirugía para su retirada, pero todavía no existen suficientes estudios que avalen su superioridad(40).
Usaremos un abordaje posterior longitudinal, en la punta del olécranon se curva hacia lateral para evitar el nervio cubital y se prolonga a distal sobre el borde cubital.
Fractura de Monteggia y lesiones Monteggia-like
Son lesiones poco frecuentes pero complejas. Es esencial una reconstrucción anatómica precisa del cúbito proximal para recuperar la funcionalidad del codo. La restauración anatómica de la longitud y las dimensiones del cúbito será crucial para la congruencia de la articulación radiocapitelar. Una reconstrucción fallida o inadecuada acabará con dolor persistente y una progresiva degeneración de la articulación. Hay que poner especial atención en 2 fragmentos: la faceta anteromedial de la coronoides y la faceta anterolateral del cúbito, junto a la cresta del supinador. La planificación preoperatoria es vital, por lo que recomendamos la TAC con reconstrucción 3D (Figura 9).
Figura 9. A: imagen en 3D de una fractura proximal compleja de cúbito y radio; B y C: radiografías de control tras la cirugía en otro caso de lesión Monteggia-like.

Clasificación
Usamos habitualmente la clasificación de Bado para las fracturas de Monteggia, basada en la dirección del desplazamiento de la cabeza radial (Tabla 4).
Tabla 4. Clasificación de Bado para las fracturas de Monteggia

Posteriormente, Júpiter añadió una subclasificación del tipo II, las más frecuentes, en función del tipo y la localización de la fractura de cúbito:
- IIA: fractura que afecta a olécranon y apófisis coronoides.
- IIB: fractura que afecta a la unión metafisodiafisaria del cúbito (distal a la coronoides).
- IIC: fracturas que afectan a la diáfisis cubital.
- IID: fracturas conminutas, que se extienden desde el olécranon hasta la diáfisis.
Tratamiento
Precisarán siempre tratamiento quirúrgico. Usaremos un abordaje posterior extendido. En las fracturas de Monteggia, el radio recupera normalmente su congruencia una vez que hemos reducido la fractura del cúbito. En las lesiones complejas Monteggia-like, lo ideal es reducir primero el fragmento de coronoides al fragmento cubital distal, ya sea con AK temporales o añadiendo algún tornillo adicional. Es el contrafuerte anterior de la articulación y de más difícil acceso. Luego fijaremos el resto de los fragmentos a la diáfisis con una placa preconformada LCP(41,42,43). Trataremos la fractura de la cabeza del radio mediante osteosíntesis o preferiblemente con una prótesis. Por último, repararemos las lesiones ligamentosas con un anclaje si fuera necesario (Figura 9). Cuando la punta del olécranon es multifragmentaria, un solo tornillo no ofrece fijación suficiente, por lo que hay autores que proponen un cerclaje con sutura de alta resistencia desde el tendón del tríceps para reforzar la síntesis(44,45).
Fracturas de la apófisis coronoides
Las fracturas de coronoides aisladas son raras. De hecho, se ha visto que fracturas con tamaños y formas específicas van asociadas a patrones específicos de inestabilidad aguda de codo. Así, en función de la morfología de la fractura, podremos sospechar determinadas lesiones y anticipar la planificación quirúrgica(46). Será imprescindible la TAC con reconstrucción 3D para visualizar esos fragmentos.
Clasificación
Regan y Morrey las clasificaron por primera vez en función del tamaño (Figura 10):
- Tipo I: fractura de la punta.
- Tipo II: fractura que afecta a < 50% de la coronoides.
- Tipo III: fracturas que afectan a más del 50%.
Figura 10. Correspondencias entre la clasificación de Regan y Morrey, y la clasificación de O’Driscoll.

O’Driscoll propuso una clasificación basada además en la localización y el número de fragmentos (Tabla 5). Posteriormente, observaron que en función del tamaño y la localización de los fragmentos existían asociaciones con otras lesiones y definieron 3 tipos de patrones(47,48,49,50):
- Fractura de la punta de la coronoides asociada a luxación de codo y a fractura de la cabeza del radio, la llamada tríada terrible. Se ven normalmente tras una luxación posterior o posterolateral. Se pensaba que la fractura coronoides era por avulsión, pero en realidad es por cizallamiento. Si asocia una lesión del LCL, puede llevar a una inestabilidad rotatoria posterolateral (Figura 11).
- Fractura de la faceta anteromedial de la coronoides asociada a subluxación (más que a luxación) y a avulsión del LCL del epicóndilo lateral. Es el patrón conocido como inestabilidad rotatoria posteromedial. Sucede normalmente tras un traumatismo en varo con una rotación posteromedial añadida.
- Fractura de la base de la coronoides. Asociadas a fractura-luxación de olécranon. Se han visto 2 coincidencias. Las fracturas de la base con un fragmento grande y único suelen ir asociadas a fractura-luxación anterior del olécranon y los ligamentos permanecen intactos. Si la fractura-luxación es posterior, hay conminución y va acompañada de avulsión proximal del LCL(51).
Tabla 5. Clasificación de O’Driscoll para las fracturas de apófisis coronoides
Tabla 5. Clasificación de O’Driscoll para las fracturas de apófisis coronoides

Tratamiento
Las actuales recomendaciones son reparar las fracturas de apófisis coronoides siempre que se asocien a inestabilidad. Algunos casos de tríada y algunas fracturas de la faceta anteromedial no desplazadas pueden tratarse de forma conservadora, pero la gran mayoría precisarán tratamiento quirúrgico(52).
- Las fracturas de la punta de la coronoides no son sintetizables. Usaremos un pasador de suturas para llevar una lazada desde el borde posterior del cúbito, a través de 2 orificios perforados con broca, o bien reinsertaremos la cápsula anterior mediante un arpón(53). Hay que tratar la fractura de la cabeza del radio (osteosíntesis o prótesis) y reinsertar el LCL si lo precisa. Si persiste la inestabilidad, tendremos que revisar también el LCM. Algunos autores han señalado buenos resultados protetizando la cabeza radial y reparando el LCL sin fijar la coronoides(54).
- El fragmento anteromedial debe sintetizarse, con tornillos canulados de minifragmentos, si el tamaño lo permite, o bien con una placa de sostén, desde un abordaje medial. Habrá que reinsertar el LCL al epicóndilo(55,56,57,58).
- Las fracturas de la base, si son grandes, podremos sintetizarlas directamente con un tornillo desde la placa posterior de osteosíntesis del cúbito o bien con tornillos canulados o con una placa desde el lado medial.
Es necesario comprobar la estabilidad del codo una vez ha finalizado la cirugía, observando la congruencia articular en un rango de 20-130° de flexión con ayuda del fluoroscopio. Si persiste inestable, añadiremos un fijador externo temporalmente.
Figura 11. A: imagen en 3D de una fractura de tipo I de O’Driscoll con inestabilidad de codo, donde se observa además un fragmento de la cabeza del radio desplazado; B: imagen de tomografía axial computarizada (TAC) en un plano sagital. C: imagen de reconstrucción en 3D de una fractura de tipo II.

El abordaje será posterior si hay que tratar estructuras en ambos lados o pensamos que será precisa una lazada desde la cortical posterior del cúbito. También podemos usar 2 abordajes, lateral y medial, independientes. Tras la disección y teniendo el nervio cubital identificado, podemos acceder a la articulación desde el lado medial a través de 3 intervalos:
- Over the top de Hotchkiss: justo por delante del flexor carpis ulnaris (FCU). Da acceso directo a los fragmentos más anteriores(59).
- FCU split: abordaje a través de los 2 vientres musculares del FCU. Ideal para las fracturas que afectan al tubérculo sublime, pero con la desventaja de que tienes que disecar por completo el nervio cubital.
- Levantando toda la masa muscular flexora-pronadora de la cara dorsal del cúbito en dirección ventral. Ideal para fracturas que afectan también al olécranon y que suelen asociarse a fracturas grandes de la base.
Cuidados postoperatorios
Colocaremos un compresivo o una férula posterior de yeso 1-2 semanas y, tras su retirada, iniciaremos movilidad pasiva y activa/asistida. En caso de haber reinsertado estructuras ligamentosas evitaremos los últimos 30° de extensión durante 4 semanas. En fracturas complejas, si no queremos alargar la inmovilización, podemos colocar una ortesis articulada y realizar un protocolo de rehabilitación personalizado, con movilización pasiva en pronación (si lesión de las estructuras laterales) o supinación (si lesión de las estructuras mediales). Iremos añadiendo extensión a medida que obtengamos la reparación de los tejidos blandos. Los ejercicios de potenciación se iniciarán cuando haya evidencia radiológica de consolidación.
Complicaciones
- Rigidez articular. Es la complicación más frecuente, incluso en fracturas simples. El rango funcional de un codo es de 30 a 130° de flexión-extensión. Si pasados 6 meses de rehabilitación adecuada seguimos teniendo un arco de movilidad por debajo del rango funcional podemos plantear una artrolisis abierta o artroscópica(60).
- Irritación de partes blandas. En las fracturas de olécranon sintetizadas con cerclaje de alambre o con placa, es muy frecuente que se necesite una segunda cirugía para retirar el material implantado.
- Artropatía degenerativa postraumática.
- Inestabilidad recidivante/subluxación.
- Infección.
- Pseudoartrosis: suele ser más frecuente en fracturas conminutas de alta energía. La localización más frecuente es en la unión metafisodiafisaria del cúbito.
- Aflojamiento de una prótesis de la cabeza del radio: el aflojamiento no siempre se correlaciona con síntomas clínicos; es relativamente frecuente ver una línea radiolúcida alrededor del vástago en pacientes completamente asintomáticos.
- Osificaciones heterotópicas/sinostosis. Las veremos sobre todo en fracturas complejas de tipo Monteggia-like, pues el riesgo aumenta cuanto mayor es el daño de los tejidos blandos, exposición conjunta de cúbito y radio, y fractura concomitante de la cabeza del radio.
- Lesiones vasculares o nerviosas: por iatrogenia o causadas por el propio traumatismo.