Introducción
Las coaliciones carpianas son anomalías anatómicas poco frecuentes; su incidencia es infrecuente en la raza caucásica, representando el 0,1%, y más frecuente en las poblaciones africanas, pudiendo llegar hasta el 61,5%(1,2). Su etiología es multifactorial, pudiendo ser genéticas o adquiridas (traumáticas), e incluso existen algunas idiopáticas(3,4). Las genéticas ocurren por una alteración embrionaria en el proceso de formación de cartílago (entre las 4 y las 8 semanas de gestación). Normalmente, los huesos del carpo constituyen centros cartilaginosos separados por tejido mesenquimatoso indiferenciado que normalmente desaparece dejando espacios libres que luego constituyen las articulaciones intercarpianas. Una alteración de este proceso origina la persistencia de bandas cartilaginosas entre los huesos que posteriormente se osifican y surge así la sinostosis(5,6). También se encuentran asociadas a síndromes genéticos –el síndrome de Ellis-Van Creveld, artrogriposis, acondroplasia y síndrome de Turner(7)– y trastornos metabólicos(8).
Generalmente, su diagnóstico es casual debido a que no interfieren en el funcionamiento normal de la mecánica de la articulación de la muñeca. Sin embargo, con el tiempo los pacientes pueden cursar con dolor, debido a la pérdida de movimiento normal causada por las restricciones entre los huesos fusionados, que aumentan el movimiento entre los demás huesos del carpo y tejidos adyacentes(8).
Caso clínico
Se presenta el caso de un paciente de 47 años, de ocupación conserje, quien acude al centro tras presentar un esfuerzo físico moderado y refiere que tras una lesión traumática previa presenta dolor y limitación en la muñeca y la mano derecha, el cual persiste desde entonces, presentando episodios recurrentes de sinovitis tras pequeños esfuerzos.
Exploración clínica
Se realiza la valoración activa y pasiva de la muñeca, que presenta dolor a la flexión de 60° y extensión de 80°, maniobra de Watson y test de Finkelstein negativos. Se evidencia tumefacción en la articulación y limitación a la inclinación cubital, se aprecia resalte en el espacio cubital y chasquido. El resto de la exploración no presenta alteraciones.
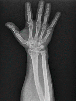
Figura 1. Radiografía de muñeca. Proyección anteroposterior.

Se solicitan estudios de imagen. En primer lugar, rayos X de muñeca en proyección anteroposterior (AP) (Figura 1), en los que se evidencia un aumento del espacio cubital y presencia de la fusión lunopiramidal. Se coloca una inmovilización con muñequera elástica. Se solicita (Figura 2) tomografía axial computarizada (TAC) para la confirmación del diagnóstico y resonancia magnética (RM) (Figura 3) de mano para valorar las estructuras blandas. Los hallazgos de la TAC reportan la coalición lunopiramidal de tipo Minnaar III y la RM realizada para valorar lesiones asociadas de partes blandas reporta sinovitis. El resto de los elementos no muestran alteraciones.
Figura 2. Imagen de tomografía computarizada multicorte (TCM) que muestra reconstrucción multiplanar (MPR) en el plano coronal, evidenciándose la coalición (Minnaar de tipo III).

Tratamiento
El paciente fue tratado con antiinflamatorios no esteroideos (AINE) para el control del dolor y posteriormente se realizó un esquema de fisioterapia con 10 sesiones con terapia de contraste, magnetoterapia e infiltración con corticosteroides hasta presentar mejoría clínica del dolor y movilidad funcional, por lo cual se da el alta médica.
Figura 3. Imagen de resonancia magnética de muñeca y mano.

Se explica su patología y las medidas que debe aplicar para evitar lesiones y, en caso de presentar dolor crónico, se dan las opciones de tratamiento con sus respectivas complicaciones (rotura traumática de la coalición).
Discusión
Durante mucho tiempo, estas coaliciones del carpo se consideraban totalmente asintomáticas(9,10,11), pero en las últimas décadas se han comunicado casos que causaban dolor en la muñeca, sobre todo en las coaliciones incompletas de Minnaar de tipo I.
La articulación semilunopiramidal es la localización más frecuente de sinostosis a nivel del carpo con un 90%, seguida de la articulación grande-ganchoso (5,6%)(9). En 1952, Devilliers Minnaar, observando la población bantú sudafricana, encontró 32 coaliciones semilunopiramidales en 20 pacientes. Minnaar clasificó las coaliciones lunopiramidales(9).
Figura 4. Clasificación de Minnaar de las coaliciones del carpo.

Clasificación de Minnaar de las coaliciones del carpo (Figura 4)
- Tipo I: fusión incompleta con apariencia de pseudoartrosis.
- Tipo II: completa solo por uno de los bordes de unión entre ambos huesos.
- Tipo III: fusión completa.
- Tipo IV: completa asociada a otras anomalías del carpo.
De todas ellas, la más frecuentemente encontrada fue el tipo III, que representa el 46,8%.
La mayoría de las coaliciones que son sintomáticas se manejan de manera conservadora, indicando medidas antiinflamatorias tanto con tratamiento médico, reposo de la articulación e inmovilización, así como con tratamiento con fisioterapia.
Solo aquellas que se encuentran asociadas a fracturas o luxaciones de las coaliciones, o en las que el tratamiento conservador no sea suficiente, se platea la opción del tratamiento quirúrgico a través de la artrodesis con agujas(10) o tornillos Herbert(11), o la carpectomía de la primera hilera del carpo(12).
Conclusión
Las coaliciones del carpo son poco frecuentes, pero conocer la patología ayuda a tenerla presente en casos de dolor crónico de muñeca, realizar el diagnóstico y poder orientar al paciente y ofrecerle las opciones de tratamiento en el momento de su asistencia, así como las opciones de tratamiento tras no la mejoría con el tratamiento conservador.