Caso clínico
Se trata de un varón de 60 años que sufre un accidente de tráfico grave, con una vuelta de campana, y es capaz de salir por su propio pie del vehículo. Atendido por los servicios de urgencia, estos descartan patología grave aguda en ese instante.
A los 2 días, acude a urgencias hospitalarias caminando por su propio pie, refiriendo un importante dolor a nivel lumbar. En la exploración física destacan apofisalgias difusas a nivel de la charnela dorsolumbar, sin déficits neurológicos ni otra clínica asociada.
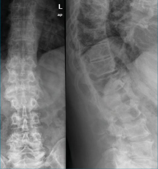
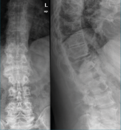
Se realiza una radiografía lumbosacra anteroposterior y lateral (Figura 1) en la que destaca un aplastamiento importante a nivel del cuerpo de L1.
Figura 1. Radiografía de columna dorsolumbar. Aplastamiento del cuerpo L1.

Ante la sospecha de fractura lumbar aguda con criterios de inestabilidad como son aplastamiento > 50% y aparente ocupación de > 50% del canal medular, se ingresa al paciente con protocolo de fractura aguda de columna y se realizan estudios preoperatorios para llevar a cabo una fijación vertebral D12-L2.
Como estudio previo a la cirugía se realiza una tomografía axial computarizada (TAC) de columna lumbosacra (Figura 2), confirmándose el aplastamiento y la retropulsión del cuerpo de L1. Si bien la vértebra muestra una morfología peculiar, con una hipertrofia de los elementos posteriores y aparentes focos escleróticos y líticos en L1, además se observa un pequeño arrancamiento de la esquina anterior del platillo superior de L3.
Figura 2. Tomografía axial computarizada de columna lumbosacra. Corte sagital: aplastamiento del cuerpo vertebral L1, ocupación del canal medular e hipertrofia de la apófisis espinosa. Corte axial: cuerpo vertebral con morfología heterogénea.

Tras los hallazgos en la TAC, surgen dudas sobre el diagnóstico y se completa el estudio con una resonancia magnética (RM) (Figura 3) en la que se corrobora la presencia de una fractura vertebral sobre un cuerpo vertebral peculiar. Sin embargo, en la secuencia STIR no se aprecia el edema que se esperaría en una fractura aguda. También se observa una marcada hipertrofia de los elementos vertebrales posteriores, cierta captación al nivel de las apófisis articulares, así como el aspecto heterogéneo del cuerpo vertebral. Todos estos hallazgos radiológicos apuntan a la posibilidad de estar ante una fractura crónica sobre una vértebra patológica, concretamente se sospecha que pueda ser una enfermedad de Paget vertebral (EP).
Figura 3. Resonancia magnética de columna lumbosacra, secuencia STIR. Corte sagital: hiperintensidad tenue y difusa en L1 con ocupación del canal > 50%. Cortes axiales: focos de lisis y esclerosis en diferentes niveles del cuerpo de L1, hiperintensidad en el pedículo izquierdo, típico de fractura crónica.

Discusión
La EP u osteítis deformans, es la segunda enfermedad metabólica ósea más frecuente(1), afectando típicamente a la pelvis y la columna, así como a los huesos largos o el cráneo, si bien la zona más sintomática suele ser la columna lumbar. Típicamente, afecta a varones mayores de 60 años, con una prevalencia de en torno al 2,5% en dicha población en España, con una incidencia en descenso.
Es típico el dolo nocturno óseo y articular asociado, en no pocos casos, a clínica secundaria a las típicas deformidades (de ahí su nombre osteítis deformante), como la sordera o fracturas. Es importante destacar la transformación a osteosarcoma en < 1% de los enfermos.
En cuanto a la patogenia, la desregulación a nivel metabólico desencadena una serie de cambios estructurales a nivel óseo que acaban provocando las deformidades típicas de esta enfermedad.
Han surgido multitud de hipótesis genéticas, virales, ambientales, en torno a su etiología, sin llegar a concretarse ninguna, considerándose una enfermedad idiopática.
A nivel vertebral, es constante la afectación al nivel del cuerpo, dando la típica vértebra de marfil(1), que no es exclusiva de la EP. La afectación del arco neural es menos frecuente. Destacan también la alteración de las facetas articulares, la espondilolistesis o la anquilosis pagética secundaria a la degeneración del disco intervertebral(2).
Una complicación que afecta a un 33% de los pacientes es la estenosis medular secundaria a procesos como la ocupación del canal por la hipertrofia del cuerpo vertebral, la artropatía facetaria o la compresión de raíces nerviosas en los agujeros de conjunción. Dicha estenosis medular presenta una reconocida disociación clínico-radiológica, como el paciente del caso, que presenta una importante afectación del canal medular sin ningún déficit neurológico asociado.
En referencia al diagnóstico(3), se emplean diferentes marcadores sanguíneos y urinarios que permiten aumentar la sospecha diagnóstica; a nivel sanguíneo, el marcador principal es la fosfatasa alcalina (FA), que suele elevarse 2 o 3 veces por encima de los valores normales en esta patología; otros marcadores secundarios empleados son los marcadores de hidroxiprolina e hidroxilina en la orina(4). Nuestro paciente presentaba una FA de 154 UI/L (VN: 40-129) y una hidroxiprolina en orina de 30,4 mg/día (VN: 6-25).
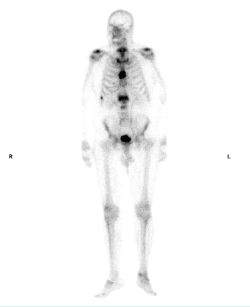
Cuando la enfermedad se confirma, el último paso es definir los focos de actividad de la enfermedad, siendo la gammagrafía(5)(Figura 4) la prueba elegida con esta finalidad; en este paciente mostró focos activos a nivel dorsolumbar, pélvico y en las costillas 7.a y 8.a.
Figura 4. Gammagrafía.

En cuanto al tratamiento farmacológico, destacan los bifosfonatos(6), que actúan inhibiendo la resorción ósea que desencadena la cascada consistente en osteolisis, esclerosis y deformidad. El análisis de los mismos no es objeto de estudio en este caso. La necesidad de cirugía vendrá definida por la presencia de déficits neurológicos subyacentes o dolor incoercible.
La EP vertebral(7) es una enfermedad poco frecuente, pero que se debe tener en mente ante la presencia de una fractura vertebral junto con estudios de imagen característicos, como en el caso que aquí se presenta.
Resultados
Tras 3 meses con corsé de Jewett y posterior rehabilitación, el paciente fue dado de alta laboral, sin ninguna secuela.
Conclusión
En nuestro ecosistema no es habitual hacer frente a la patología traumatológica secundaria a desórdenes metabólicos. Sin embargo, como en este caso, hay ocasiones en las que el correcto diagnóstico diferencial junto con las pruebas complementarias y la sospecha clínica nos permiten manejar los procesos subyacentes adecuadamente y así evitar procedimientos invasivos agresivos e innecesarios.