Introducción
El síndrome de impactación cubital (SIC) es un problema degenerativo secundario a la excesiva carga a través de la articulación cubitocarpiana y causa frecuente de dolor en el borde cubital de la muñeca. Consiste en una serie de cambios patológicos y síntomas producidos por el apoyo o impacto del cúbito distal o del fibrocartílago triangular (CFCT) contra la zona cubital del carpo.
Si bien es un tema muy estudiado, aún existen lagunas sobre la fiabilidad del diagnóstico de este síndrome (que diferentes observadores estén de acuerdo en el diagnóstico), la validez del mismo (el síndrome corresponde con una fisiopatología específica y objetiva) y su historia natural (curso natural de la enfermedad sin tratamiento). También existe controversia sobre cómo enmarcarlo o si debe hacerse dentro del espectro de la patología laboral en muchas ocasiones, a pesar de que no son pocos los casos tratados anualmente por las mutuas.
Etiología
Son varios los factores relacionados con su etiología:
Varianza cubital
Este apoyo o impacto del cúbito distal o del CFCT contra la zona cubital del carpo se suele asociar con una varianza cubital positiva, bien de origen congénito o bien adquirida, como ocurre en casos de consolidación viciosa de una fractura de radio, inestabilidad radiocubital axial (Essex-Lopresti, resección de cabeza del radio…) o tras un cierre fisario prematuro del radio distal, por citar algunos ejemplos. La explicación fisiopatológica reside en el desbalance que se produce en las cargas cubitocarpianas. En las muñecas de varianza neutra, la articulación cubitocarpiana soporta el 18% de las cargas que atraviesan la muñeca. Se sabe, tras los estudios de Palmer(1) y Hara(2), que el incremento o la disminución de la longitud relativa del cúbito con respecto al radio provoca cambios muy significativos en esta carga. Un incremento de la longitud del cúbito de tan solo 2,5 mm provoca un aumento de la carga cubitocarpiana hasta un 42% del total de la carga de la muñeca y, al contrario, una disminución de 2,5 mm reduce la carga hasta solo un 4% del total de la carga de la muñeca (Figura 1). Esto explicaría la mayor frecuencia de aparición de este síndrome en pacientes con varianza cubital positiva. Sin embargo, este síndrome se puede producir en cualquier muñeca, incluso con varianzas cubitales neutras o negativas(3).
Figura 1. Distribución de cargas en la muñeca normal y variación de las mismas según el incremento o la disminución de la longitud relativa del cúbito con respecto al radio.

Una de las explicaciones de por qué muñecas con varianzas neutras o negativas pueden sufrir también un SIC reside en que existe una relación inversa entre la varianza cubital y el grosor del CFCT(4): cuando las muñecas presentan una varianza neutra o negativa, el CFCT (uno de los elementos críticos en la transmisión de carga desde el carpo al cúbito) suele ser grueso para poder transmitir de manera efectiva las cargas, lo que fisiopatológicamente puede tener el mismo efecto que un cúbito plus(5).
Otra explicación reside en que la pronación del antebrazo y el grip producen un incremento relativo de la longitud del cúbito con respecto al radio. En estas muñecas, este incremento relativo en la longitud el cúbito puede ser suficiente para crear una varianza cubital positiva dinámica, provocando un incremento en la carga cubitocarpiana que lleva al síndrome.
Anatomía y biomecánica del carpo
Así como este síndrome no es exclusivo de las muñecas con cúbito plus, no todos los pacientes con varianza cubital positiva lo desarrollan. Algunos estudios han sugerido que otros factores, como la morfología del semilunar, pueden estar implicados, al observarse que, en pacientes con varianza cubital positiva, la presencia de un semilunar de tipo 2 y una mayor ratio de cobertura cubital podrían ser factores de riesgo para desarrollar el síndrome(6). O incluso la variabilidad individual de la biomecánica de la muñeca, puesto que existe evidencia de que, en algunas muñecas de varianza positiva, el incremento dinámico de la longitud relativa del cúbito durante la pronación y el grip resulta en una subluxación dorsal de la cabeza del cúbito, produciendo como resultado una disminución de la carga cubitocarpiana(7).
Actividades de la vida diaria
Por último, como en cualquier otra patología con implicaciones degenerativas, la cantidad, la potencia y las características de los movimientos habituales de la muñeca en función de la ocupación de los pacientes son, también, factores etiológicos reseñables de este problema.
Presentación clínica y diagnóstico
El comienzo de los síntomas es generalmente insidioso y progresivo. Los pacientes se quejan de dolor en el borde cubital de la muñeca y ocasionalmente tumefacción y pérdida de movilidad de la muñeca y rotación del antebrazo. Los síntomas se exacerban con actividades que implican el agarre forzado, la pronación y la desviación cubital. En los casos idiopáticos, los pacientes no refieren un antecedente traumático agudo precediendo a los síntomas.
El diagnóstico del SIC es clínico y se confirma con pruebas de imagen.
A la exploración, el paciente presentará dolor a la palpación en el dorso de la muñeca justo distal a la cabeza del cúbito y cubitalmente justo volar a la estiloides cubital. Una de las maniobras más sensibles (pero no específica) para diagnosticarlo es el test de estrés cubitocarpiano descrito por Nakamura(8), que consiste en colocar la muñeca en desviación cubital máxima, aplicar una fuerza axial y rotar el antebrazo pasivamente en pronación y supinación (Figura 2). El intervalo lunopiramidal puede ser doloroso también. Y si el ligamento lunotriquetral (LT) está afectado, las maniobras de provocación LT como el Reagan’s shuck test y el Kleinman’s shear test pueden ser positivas.
Figura 2. Test de Nakamura.

Es importante hacer el diagnóstico diferencial con otras patologías que puedan producir dolor en el borde cubital de la muñeca (artrosis/artritis pisopiramidal, artrosis de la articulación radiocubital distal –ARCD–, subluxación o tendinitis del extensor carpi ulnaris –ECU–, neuritis de la rama dorsal del nervio cubital…). Y, dentro de estas, es especialmente importante examinar la ARCD en busca de inestabilidad o dolor, puesto que puede ser determinante a la hora de plantear la mejor opción quirúrgica.
Pruebas de imagen
Dentro de las pruebas de imagen a realizar, son obligatorias la proyección posteroanterior (PA) de muñeca en posición neutra y una proyección PA en pronación y con el puño cerrado para poder evaluar una posible varianza positiva dinámica. Las radiografías pueden mostrar una esclerosis o quistes subcondrales en la cabeza del cúbito, el extremo proximal cubital del semilunar o el extremo proximal radial del piramidal(9). En casos severos, pueden observarse osteofitos a nivel de la articulación cubitocarpiana. De nuevo, es importante evaluar la presencia de signos artrósicos al nivel de la ARCD y la morfología de la articulación en el plano coronal, puesto que pueden condicionar la elección de la mejor opción quirúrgica. En la radiografía lateral se debe evaluar si existe subluxación de la ARCD con prominencia dorsal de la cabeza del cúbito. Es de gran ayuda y muy recomendable realizar radiografías de ambas muñecas para comparar las imágenes con la muñeca contralateral. Estrictamente hablando, no sería siempre necesario solicitar otras pruebas de imagen como la resonancia magnética (RM) para poder diagnosticar este síndrome, pero es cierto que esta puede dar detalles minuciosos sobre cuáles son las estructuras lesionadas y, además, es útil para detectar otras posibles patologías ocultas(9). En las fases iniciales, el cartílago articular afectado puede presentar signos de fibrilación y condromalacia. También se puede detectar hiperemia o edema en las zonas afectadas (Figura 3), esclerosis subcondral o cambios quísticos. La RM –y, más específicamente, la artro-RM– es especialmente útil para valorar la integridad del CFCT, del ligamento LT y para valorar otras posibles causas de dolor cubital de la muñeca cuando hay dudas sobre el diagnóstico.
Figura 3. Imagen de resonancia magnética que muestra edema en el hueso semilunar secundario a impactación cubital.

Tratamiento
De inicio, como casi en cualquier patología, ha de proponerse el tratamiento conservador (reposo o inmovilización, modificación de las actividades manuales, antiinflamatorios no esteroideos –AINE–, infiltraciones...) al menos durante 6-12 semanas (aunque algunos autores hablan de hasta 6 meses) y, especialmente, en los casos idiopáticos. Si el tratamiento conservador falla, habría que plantear, entonces, el tratamiento quirúrgico.
El objetivo del tratamiento quirúrgico es disminuir la longitud relativa del cúbito con respecto al radio, disminuyendo de esa manera las cargas que atraviesan la articulación cubitocarpiana. Existe consenso sobre que la varianza a conseguir tras la cirugía sea de 0 a − 1 mm si la varianza cubital previa es > 2 mm y, si es < 2 mm, que el objetivo sea − 2 mm(10). Sin embargo, existen discrepancias a la hora de determinar si esta varianza final ha de medirse con la muñeca en posición neutra o en pronación con el puño cerrado(11).
Las dos opciones más conocidas y estudiadas para conseguir este objetivo son la osteotomía de acortamiento del cúbito (OAC) y la resección parcial del cúbito distal o procedimiento wafer, tanto abierto como artroscópico. En el pasado, se pensó que el desbridamiento aislado del CFCT podía ser, también, una opción válida para el tratamiento de este síndrome, pero se ha demostrado que presenta hasta un 30% de malos resultados(12). Otras alternativas descritas son la osteotomía de acortamiento subcondral del cúbito con fijación(13) y sin fijación interna asociada(14), la osteotomía de acortamiento metafisario abierta(15) y la osteotomía de acortamiento metafisario artroscópica(16).
Osteotomía de acortamiento del cúbito
La OAC, descrita en 1941 por Milch(17), se ha considerado durante mucho tiempo el tratamiento de referencia para el SIC. Desde su descripción, se han utilizado multitud de diferentes técnicas de osteotomía diafisaria y distintos materiales para realizarla, sin haberse demostrado ninguna mejor que otra. En general, todas las series publicadas sobre este procedimiento hablan de buenos resultados, excepto en los casos en los que el paciente lleve acarreando síntomas de un largo tiempo de evolución o se trate de pacientes laborales. Estas dos situaciones se han identificado, objetivamente, como factores preoperatorios de mal pronóstico(18).
Sus principales ventajas con respecto al procedimiento de tipo wafer son: que no lesiona las estructuras articulares ulnocarpianas; que, en teoría, se puede resecar cualquier longitud deseada del cúbito(19), aunque algunos autores afirman que el exceso de acortamiento puede suponer un aumento excesivo en la presión que soporta la ARCD(20); y que consigue tensar los ligamentos cubitocarpianos y radiocubitales distales, lo que puede proporcionar estabilidad adicional a la ARCD y mejorar la función de transmisión de carga del CFCT al nivel de la articulación cubitocarpiana. Técnicamente, la osteotomía se realiza en la unión del tercio distal y medio del cúbito. La localización clásica para realizarla suele ser entre 50 y 60 mm proximal a la estiloides cubital, que corresponde con el 25% distal del cúbito. Sin embargo, no existe justificación biomecánica para recomendar dicha localización. Según los estudios de Arimitsu et al.(21), esta localización podría provocar la disrupción de la banda oblicua distal de la membrana interósea, comprometiendo la estabilidad de la ARCD. Cuando, con la osteotomía, se pretenda también mejorar la estabilidad de la ARCD, es importante preservar la banda oblicua distal, lo que requiere que la distancia del corte sea, al menos, 60 mm proximal a la estiloides cubital.
Típicamente, la osteotomía suele ser transversal u oblicua, y la osteosíntesis se lleva a cabo con una placa de compresión (Figura 4). Se realiza una incisión a lo largo del borde subcutáneo del cúbito. La longitud de la incisión está determinada por la longitud de la placa. La disección se lleva a cabo entre el ECU y el flexor carpi ulnaris (FCU). El periostio se incide longitudinalmente y se separa circunferencialmente. La placa debe proporcionar estabilidad y compresión con 3 tornillos bicorticales proximales y distales a la osteotomía. Algunas placas también permiten colocar un tornillo a compresión a través de la osteotomía cuando es oblicua.
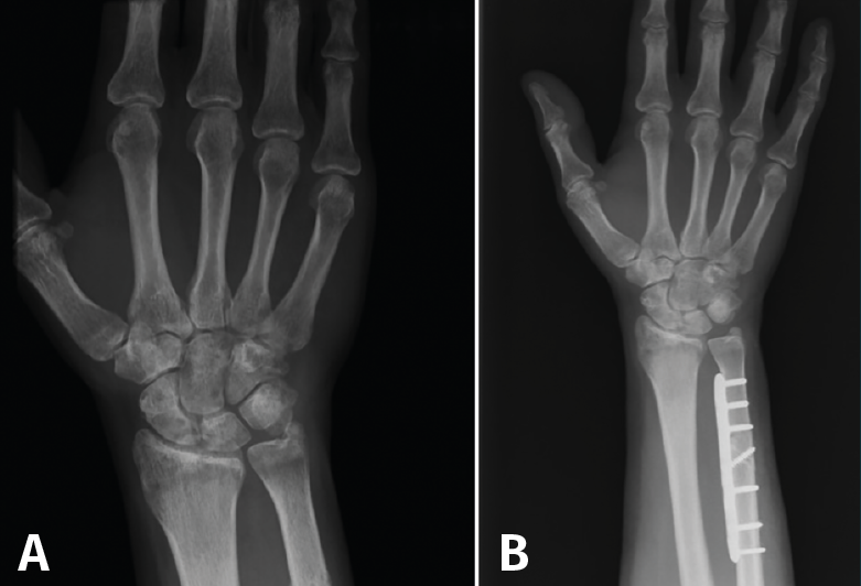
Figura 4. A: muñeca con varianza cubital positiva; B: varianza corregida tras osteotomía de acortamiento cubital.

En nuestro servicio, además, consideramos recomendable y realizamos siempre una artroscopia diagnóstica de muñeca antes de la osteotomía. Inspeccionamos con ella las articulaciones cubitocarpiana, radiocarpiana, mediocarpiana e incluso la ARCD, y tratamos los hallazgos patológicos asociados que encontramos durante la exploración, como las lesiones del CFCT o lesiones osteocondrales de la articulación cubitocarpiana y el semilunar.
Existen dos condicionantes importantes para poder indicar la OAC: que la configuración coronal de la ARCD no sea reversa y que esta articulación no presente signos artrósicos. Si estos condicionantes no se tienen en cuenta, se producirá un aumento de la presión sobre la ARCD y se agravará la degeneración artrósica de la misma (transformando un SIC en un síndrome de impactación radiocubital distal).
Dentro de las desventajas y complicaciones descritas, cabe mencionar que el tiempo medio de consolidación de la osteotomía puede ser de hasta 10 meses(22); que suele requerir una inmovilización prolongada (de 2 a 6 semanas) y una mayor cicatriz; que hasta en un 7% de los casos pueden producirse refracturas(23); y, lo más importante, que hasta en un 30% de los casos puede producirse retardo de la consolidación o pseudoartrosis(24) y un 45% precisa la retirada del material de osteosíntesis por intolerancia. Con el fin de evitar estas últimas complicaciones, se han buscado modernas modificaciones técnicas intentando acercar la osteotomía lo máximo posible al área metafisaria y limitando el uso y el tamaño del material de osteosíntesis(13,14,15). Pero lo cierto es que hasta la fecha no se ha conseguido aún mejorar los resultados, ni disminuir las complicaciones de la técnica de OAC diafisaria clásica.
Procedimiento wafer
La alternativa más popular a la OAC es la resección parcial del cúbito distal o procedimiento de tipo wafer, con la que se han descrito también buenos resultados tanto de manera abierta (87% buenos o excelentes resultados) como de manera artroscópica (82% buenos o excelentes resultados)(11). Basado en los estudios sobre la modificación de las cargas cubitocarpianas de Palmer(1), Feldon(25) describió este procedimiento de manera abierta en 1992, consistente en resecar una fina oblea de la porción distal de la cabeza del cúbito. Presenta la ventaja, con respecto a la OAC, de que preserva la estructura y la biodinámica original de la ARCD y que no necesita implantar material de osteosíntesis. Prácticamente al mismo tiempo, Buterbaugh(26) describió la técnica de manera artroscópica, que hoy en día es la de elección para realizar un wafer, basado en los mismos fundamentos que la técnica abierta pero añadiendo las ventajas de permitir una completa evaluación diagnóstica de la muñeca, minimizar el daño a la cápsula dorsal radiocarpiana y radiocubital, producir menor dolor postoperatorio y una más rápida recuperación, al permitir una movilización postoperatoria prácticamente inmediata (Figura 5).
Figura 5. A: muñeca con varianza cubital positiva; B: varianza corregida tras wafer artroscópico.

Técnicamente, se realiza usando los portales artroscópicos habituales 3-4, 4-5 o 6R, mediocarpiano radial y mediocarpiano cubital, con los que se realiza siempre una exploración radiocarpiana, cubitocarpiana y mediocarpiana de rigor, para luego limitar selectivamente el trabajo al borde cubital de la muñeca. Aunque no es estrictamente necesario, sí es aconsejable, hasta que se supera la curva de aprendizaje, hacer uso del control con fluoroscopio para confirmar que la resección final de la cúpula de la cabeza del cúbito es la deseada para evitar la impactación. Para realizar la resección, se coloca la cámara en el portal 3-4 o 4-5, y los portales 6R y en ocasiones el 6U se usan para la instrumentación. Inicialmente, si se objetiva una lesión degenerativa central del CFCT, se desbrida con un sinoviotomo para obtener un borde liso, regular y estable. La condromalacia de la superficie de los huesos semilunar o piramidal también se puede tratar con el sinoviotomo.
Una vez realizado el desbridamiento, se podrá observar claramente la cúpula del cúbito y se puede acceder a ella a través de la perforación desbridada. Es importante asegurarse de extirpar el área de impacto de la cabeza cubital por completo. Mediante la pronación y supinación del antebrazo durante el procedimiento se obtiene la exposición adecuada de la cúpula, revelando áreas de la cabeza que pueden necesitar resección adicional.
Como cualquier otro procedimiento, el wafer también presenta una serie de desventajas e inconvenientes. En primer lugar, que precisa una curva de aprendizaje moderada, aunque esté considerada como técnica básica dentro de la artroscopia de muñeca. Otro inconveniente es que, según algunos estudios, no se puede realizar en varianzas positivas > 4 mm porque a partir de esta varianza el wafer no sería capaz de disminuir las cargas cubitocarpianas(27), aunque en los últimos años se está cuestionando esta limitación. Y, por último, que la presencia de un CFCT intacto, para algunos autores, constituye una contraindicación para realizarlo artroscópicamente(28). Tampoco está exento de complicaciones. La principal es la posibilidad de precisar segundas cirugías abiertas, si no es efectiva. Y la eventualidad de dañar yatrogénicamente las superficies condrales de la ARCD y el carpo.
Hoy por hoy sigue existiendo debate sobre cuál de los dos procedimientos, la OAC o el wafer (tanto artroscópico como abierto), es mejor. Para tratar de dilucidar esta duda todos los estudios mencionan el trabajo de Bernstein et al.(29), en el que se concluía que la combinación de desbridamiento de CFCT + wafer conseguía los mismos porcentajes de éxito que el desbridamiento de CFCT + OAC, pero con menos necesidad de procedimientos secundarios y tendinitis. Lo cierto es que la única revisión sistemática de la literatura disponible evidencia que ninguna de las técnicas es superior y que el procedimiento de wafer puede ser una buena alternativa a la técnica más popular, que es la OAC. La elección entre ambas, por lo tanto, puesto que no existe evidencia que oriente sobre cuál es la mejor opción según la situación, depende de las preferencias y la experiencia del cirujano(11).