Introducción y objetivos
Las lesiones osteocondrales del talus (LOT) son la tercera localización más común de lesión osteocondral después de la rodilla y el codo(1). Se considera una de las causas primarias de dolor en el tobillo y actualmente el reconocimiento de esta relación va en aumento(2). Según algunos estudios, hasta la mitad de los esguinces de tobillo deriva en algún tipo de lesión de la superficie articular talar, produciendo potencialmente una lesión osteocondral(1).
Si bien Burman en 1931(3) resaltaba las dificultades técnicas que tenía el acceso a la articulación tibioastragalina por la forma convexa de la cúpula astragalina y lo estrecha y pequeña que es la articulación, fueron Watanabe en 1972(4) y Van Dijk en 2000(5), con la descripción de los portales posteriores, los que popularizan el tratamiento artroscópico de las lesiones de tobillo con la descripción de los portales clásicos.
A pesar de la creciente utilidad de la artroscopia para el tratamiento de las LOT, no siempre podemos acceder a estas por este método debido a la localización central de la lesión, siendo necesaria una cirugía abierta y la planificación de una osteotomía tibial o peroneal, con las complicaciones que eso conlleva.
Presentamos el tratamiento artroscópico de una lesión osteocondral astragalina en la zona 6 de Raikin mediante acceso a la lesión a través de la sindesmosis.
Material y métodos
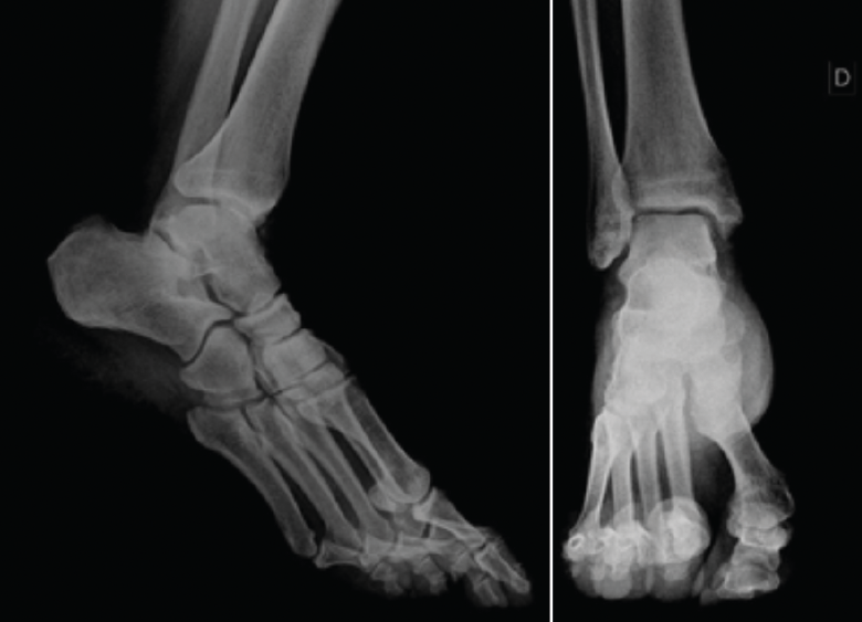
Se presenta el caso de un paciente varón de 54 años de edad, de profesión repartidor, que refiere una caída desde la plataforma de un camión, con torsión del tobillo derecho. Acude deambulando con la ayuda de un bastón. A la exploración física del tobillo derecho, presenta un balance articular disminuido con respecto al contralateral. Muestra dolor difuso a la palpación del ligamento peroneoastragalino anterior y posterior, y en la cúpula astragalina en la cara anterior del tobillo. No presenta dolor a la compresión de la sindesmosis. No da impresión de inestabilidad con maniobras de varo/valgo. En la radiografía se descartan fractura o signos indirectos de lesiones de partes blandas (Figura 1).
Figura 1. Radiografía anteroposterior y lateral del tobillo derecho.

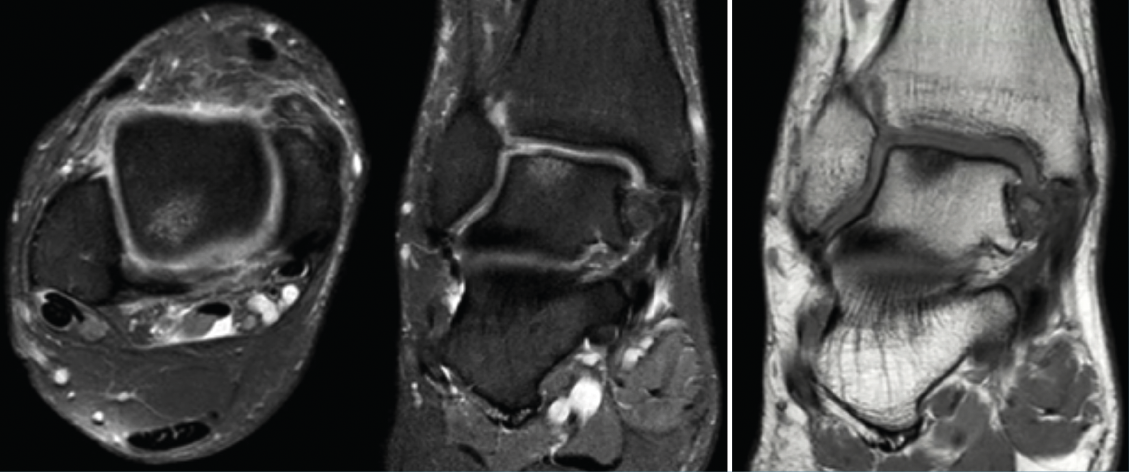
Se solicitó resonancia magnética (RM) y tomografía axial computarizada (TAC) del tobillo afecto a los 6 meses del traumatismo, en las que se observó una lesión osteocondral en la cúpula astragalina de 15 × 11 mm (diámetro anteroposterior y medial-lateral) según la RM y de 9 × 7 mm según la TAC (Figura 2). No se observó lesión capsuloligamentosa. Sí que se detectaron pequeños cuerpos libres en el receso capsular posteroexterno y anteromedial.
Figura 2. Imágenes de resonancia magnética (RM) en T2 (corte sagital y coronal). Imagen de la tomografía axial computarizada (TAC), corte coronal. Se observa una lesión osteocondral en la cúpula astragalina de 15 × 11 mm (diámetro anteroposterior y medial-lateral) según la RM y de 9 × 7 mm según la TAC.

Tras agotar las alternativas terapéuticas conservadoras y valorar las pruebas de imagen, se explicaron las propuestas quirúrgicas y, una vez realizado el preoperatorio que no contraindicó la cirugía, aceptando los riesgos y firmando el consentimiento informado, se decidió realizar tratamiento quirúrgico de su lesión mediante artroscopia de tobillo a los 7 meses del traumatismo.
Figura 3. Punto rojo: localización del portal transindesmótico. Línea de puntos: nervio peroneo superficial. EDL: extensor largo de los dedos.

En condiciones de asepsia y esterilidad, mediante anestesia intrarraquídea y bloqueo del plexo poplíteo, en decúbito supino con el pie en suspensión sin tracción, se realizó artroscopia del tobillo derecho mediante portales artroscópicos anteromedial y anterolateral en la que se visualiza lesión condral de base medial en la zona Raikin 6, confirmando la lesión valorada en la TAC y la RM. Se objetivó osteofito en la tibia anterior distal y se realizó su escisión a través de los portales convencionales.
Figura 4. Acceso artroscópico a través de la sindesmosis a la lesión osteocondral. Nanoperforaciones. Se observa lesión condral inestable con lengüeta de base medial.

En un segundo tiempo se realizó un portal de trabajo mediante acceso transindesmótico anterior a 4 cm desde la línea tibioastragalina (Figura 3), previa disección roma en la piel, valorando la accesibilidad desde este punto de entrada a la lesión osteocondral previamente con una aguja de venopunción de 21 G × 1 1/2” (0,8 × 40 mm) y una vez localizado el punto de entrada con aguja de Kirschner de 1,5 mm de diámetro. Posteriormente, se realizaron nanoperforaciones en el hueso subcondral (Figura 4), reinserción del cartílago con implante reabsorbible de copolímero poliláctico (SmartNail®, ConMed Linvatec, Largo, FL) (Figura 5).
Figura 5. Reinserción mediante implante reabsorbible de copolímero poliláctico (SmartNail®, ConMed Linvatec, Largo, FL).

En un tercer tiempo se realizó abordaje posterior artroscópico, en decúbito prono, con portal posterolateral y posteromedial, hasta visualizar la articulación tibioastragalina, retirándose el cuerpo libre articular y observando una buena reinserción del fragmento osteocondral.
Finalmente, se procedió al cierre de los portales artroscópicos con puntos simples y la inmovilización con férula suropédica posterior.
Resultados
El paciente permaneció en descarga y con la férula suropédica posterior durante 2 semanas y se completó un periodo de 2 meses en descarga. Durante este periodo realizó un programa de rehabilitación encaminado a recuperar el arco de movilidad, especialmente en dorsiflexión, para permitir una actividad normal. Primero con ejercicios activos y activos-asistidos en una unidad de rehabilitación y en el domicilio. A partir del segundo mes, comenzó a realizar carga según la tolerancia. A los 3 meses de seguimiento, mantenía buen rango de movilidad pasiva completa sin signos de bloqueo ni de inestabilidad, con dificultad para realizar movilidad activa completa.
Discusión
Existen múltiples opciones de tratamiento para la lesión osteocondral en el astrágalo. Sin embargo, no siempre son accesibles dada su localización, implicando en algunos casos la osteotomía de la tibia o el peroné.
Presentamos el tratamiento con acceso a través de la sindesmosis, con el fin de reinsertar el cartílago sobre el hueso subcondral de una lesión osteocondral en la zona 6 de Raikin, una localización difícilmente accesible mediante artroscopia, en este caso con éxito.
No obstante, sabemos que no podemos concluir que este tipo de abordajes no esté exento de riesgos ni complicaciones. La lesión neurológica a evitar por este portal es principalmente la del nervio peroneo superficial y sus ramas. Son las estructuras que más riesgo de complicaciones tienen en la artroscopia de tobillo por su alta variabilidad(6); en cuanto a las estructuras vasculares en riesgo, debemos tener en cuenta que se han descrito desviaciones laterales de la arteria tibial anterior, emplazándose en frente de la sindesmosis en el 5,5% de los pacientes(7). Por ello, recomendamos el estudio Doppler antes de plantearnos la realización de dicho portal.
Respecto a la posible lesión de la sindesmosis, cabe destacar el pequeño diámetro del implante a utilizar y la verticalidad del portal que se realiza, por lo que el área de sindesmosis a atravesar no es grande.
Es importante tenerlo en cuenta. Por ello, creemos importante reseñar los conceptos básicos descritos por Golanó(8) para realizar una artroscopia de tobillo: incisiones cutáneas con bisturí frío, siempre limitadas a la zona superficial de la piel y paralelas al recorrido de las estructuras tendinosas y vasculonerviosas adyacentes; disección roma con mosquito hasta llegar a la cápsula articular; uso de trócares de punta roma para evitar dañar el cartílago articular; y uso de cánulas artroscópicas para los instrumentos motorizados.
Cabe destacar lo importante de la planificación del caso al que nos enfrentemos: conocer bien la extensión y la profundidad de la lesión, así como su localización, va a variar el enfoque terapéutico que hagamos. Este abordaje nos permite únicamente el tratamiento de lesiones en la zona 6, de tal forma que evita la necesidad de realizar una osteotomía del peroné para su tratamiento a cielo abierto.
No obstante, creemos fundamental realizar más estudios para valorar la eficacia de este nuevo portal y el riesgo de lesión yatrogénica.