Introducción
La cintura escapular es el segmento proximal del miembro superior. Fija la articulación glenohumeral al tronco, de manera que constituye la comunicación entre el miembro superior y el tronco. La cintura escapulohumeral se encuentra formada por: clavícula, escápula y húmero proximal (Figura 1)(1).
Figura 1. Anatomía de la cintura escapulohumeral.

En la literatura científica, esta unión no suele ser descrita como tal, sino que es más común hallar referencias por separado entre la cintura escapular y el húmero proximal, todo ello englobado dentro de las lesiones y fracturas del hombro(1).
La mayoría de los pacientes que presentan alguna fractura en la cintura escapular y/o en el húmero proximal van a ser atendidos por profesionales de enfermería. La capacidad de evaluar a estos pacientes y mejorar su curación en cualquiera de las etapas del tratamiento de la fractura resulta de gran importancia. El hecho de que el paciente haya sido diagnosticado de una fractura no asegura que la lesión más grave haya sucedido ya. Es por ello que la valoración y los cuidados que se brindan al paciente desde el ingreso hasta el alta deben enfocarse desde un punto de vista integral de la enfermería(2,3).
La fractura de la clavícula
La clavícula es la única unión ósea entre el tronco y la extremidad superior, tiene forma de S itálica, es palpable en toda su longitud y se extiende desde el esternón hasta el acromion de la escápula(1).
Las fracturas claviculares son relativamente frecuentes, entre el 4 y el 10% a nivel mundial, y se dan en 4 de cada 5 casos de fractura de la cintura escapular. El mecanismo de lesión suele ser indirecto y acostumbra a producirse debido a caídas sobre el hombro más que por golpes directos en la clavícula. Entre el 75 y el 80% de los casos, las fracturas se dan a nivel del tercio medio clavicular(1,4).
La evaluación inicial de las fracturas de clavícula debe incluir la elaboración de un historial completo y un examen físico. Se debe determinar la ubicación del dolor y realizar un examen neurovascular para descartar la presencia de parestesias o adormecimientos, además de asimetría, equimosis, deformidad, falta de integridad de la piel, edema o hinchazón, crepitación, inestabilidad y sensibilidad. Se debe contemplar la posibilidad de fracturas asociadas al traumatismo como son las fracturas de escápula, costillas o luxaciones en el hombro. Además, deben descartarse afecciones como el neumotórax o lesiones en el plexo braquial(4).
El examen radiológico debe consistir en radiologías simples de la clavícula y el hombro (Figura 2); también es recomendable una tomografía axial computarizada (TAC).
Figura 2. Radiografía simple de una fractura de clavícula en el tercio medio.

Burnham et al., en su revisión crítica, indican que la administración de fármacos antiinflamatorios no esteroideos (AINE) se ha asociado con tasas más altas de falta de unión e infección en las fracturas, y su uso debe evitarse en las fracturas de clavícula(4). Si la piel se encuentra dañada y la fractura es abierta, se indica tratamiento quirúrgico urgente. Las fracturas abiertas deben tratarse con antibióticos intravenosos desde 24 hasta 72 h y administrar profilaxis antitetánica(5).
El manejo inicial debe consistir en la inmovilización del hombro afectado mediante un cabestrillo para mantener la alineación durante la curación. Ningún vendaje reduce una fractura desplazada; el vendaje de tipo Velpeau y el vendaje en 8 pueden producir lesiones dérmicas, además de compresión en el paquete neurovascular. Los estudios que comparan el vendaje en 8 con el cabestrillo convencional han mostrado puntuaciones más elevadas de dolor con el vendaje y también constatan que no hay diferencias significativas en cuanto a la tasa de unión o el tiempo de unión de la fractura. Algunos estudios también han asociado parálisis del plexo braquial y compromiso del paquete vascular con el vendaje en 8 aplicado de forma incorrecta(6).
El cabestrillo convencional debe utilizarse durante 4 semanas, después de las cuales pueden iniciarse movimientos activos de la articulación del hombro. La fractura debe monitorizarse con frecuencia mediante controles radiológicos y exámenes físicos de la articulación del hombro(2,3,4,5).
La fractura escapular
La escápula u omóplato es un hueso plano que se sitúa en la cara posterolateral de la caja torácica. Anatómicamente, la escápula está protegida por extensas inserciones musculares y, para que se produzca una fractura, se requiere de un mecanismo de lesión de alta energía con un golpe fuerte y directo sobre la región torácica. Al ser el mecanismo de lesión de tal magnitud, el 95% de los casos están asociados con otras lesiones traumáticas y estas pueden ser potencialmente peligrosas para la vida (neumotórax, contusión pulmonar, lesiones arteriales o craneoencefálicas)(4,5).
Figura 3. Radiografía simple de fractura glenoidea.

Existen distintos tipos de fracturas escapulares. En ocasiones, tras una fractura glenoidea (35%) (Figura 3), pueden producirse fracturas de coracoides (7%) (Figura 4) y también pueden ocurrir fracturas escapulares indirectas por caídas con la mano extendida(1,3,5).
Figura 4. Radiografía simple de fractura de coracoides.

Aunque la mayoría de las fracturas de la escápula se aíslan en el cuerpo escapular (90%) y responden correctamente al tratamiento no quirúrgico, el tipo de tratamiento viene determinado por el sitio de la fractura, su desplazamiento y la afectación de otras estructuras adyacentes(2,3,6).
El tratamiento debe comenzar con la inmovilización a corto plazo mediante un cabestrillo y una franja que limite el movimiento de aducción y rotación e iniciar lo antes posible los ejercicios de rango de movimiento temprano según su tolerancia, para, de esta forma, prevenir la aparición de la capsulitis adhesiva u hombro congelado(2,3,6).
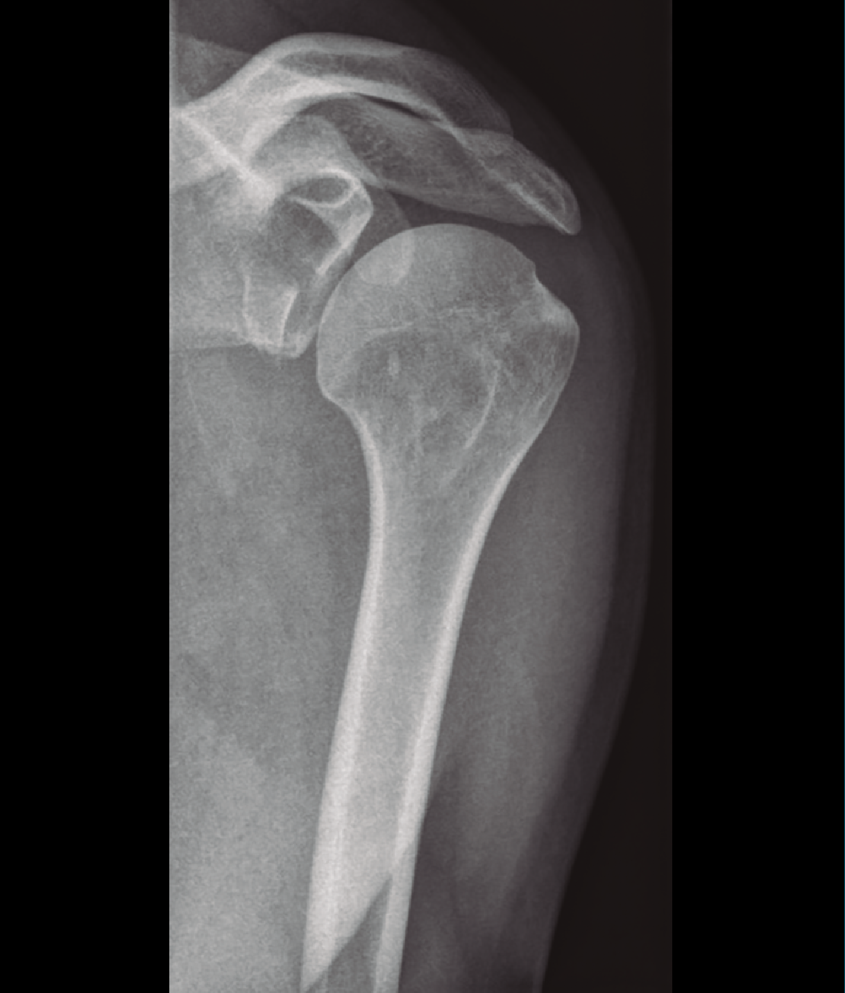
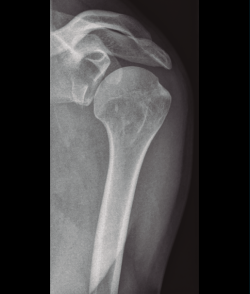
La fractura del húmero proximal
El húmero es el hueso más largo y de mayor tamaño del miembro superior. En el extremo proximal, se articula con la cavidad glenoidea de la escápula y forma la articulación glenohumeral. Según Court-Brown et al.(7), las fracturas del húmero proximal representan el 6% de todas las fracturas en adultos y en su estudio se revela que el 87% de estas fracturas fueron producidas por caídas. La mayoría de las fracturas proximales de húmero no están desplazadas; según la clasificación de las fracturas del húmero de Neer(8), cerca del 45% de todas las fracturas proximales del húmero son sin desplazamiento.
Shekelle et al.(9) concluyen que no existe evidencia en cuanto a la elección del tipo de tratamiento, pero sí resulta de gran importancia individualizar el tratamiento valorando de forma integral al paciente, considerando el grado de desplazamiento, la densidad ósea, la edad y las lesiones asociadas (Figura 5).
Figura 5. Radiografía simple de fractura del húmero proximal.

El manejo inicial de estas fracturas se basa en la inmovilización mediante cabestrillo de 2 a 4 semanas, dependiendo de la consolidación clínica y radiológica de la lesión, seguido de tratamiento rehabilitador(10).
El papel de la enfermería en las fracturas de la cintura escapulohumeral
El manejo de las fracturas en la cintura escapulohumeral debe ser multidisciplinar y el personal de enfermería tiene un papel crucial en el tratamiento y la prevención de las posibles complicaciones que puedan surgir. Por ello, resulta de gran importancia actualizar los conocimientos y revisar la más reciente evidencia científica disponible en cuanto al manejo de este tipo de fracturas. De este modo, es posible proporcionar a nuestros pacientes los mejores cuidados y contribuir de forma positiva a su curación, reducir los tiempos de enfermedad y prevenir la cronicidad(11).
Inmovilización y vendajes
En cuanto al uso de inmovilizadores, cabestrillos o slings y vendajes: pueden usarse solos o junto con otros dispositivos de fijación internos o externos. Dichos soportes son útiles para la elevación de la extremidad, limitar la hinchazón, aliviar o limitar el dolor mediante la restricción del movimiento y ayudar a la curación al minimizar el movimiento de la fractura reducida (Figura 6). El uso del vendaje en 8 puede constreñir la extremidad provocando compromiso vascular, por lo cual actualmente se encuentran en desuso. Algunas de las complicaciones que puedan surgir a raíz de la aplicación incorrecta de cualquier vendaje son las siguientes(3,6,12):
- Lesión nerviosa por compresión excesiva: manifestada por parestesia y dolor.
- Lesión vascular por compresión excesiva: manifestada por palidez, cianosis, frialdad y edemas.
- Síndrome compartimental: causado por tensión excesiva o poco acolchamiento y manifestado por la clínica de las 5P: ausencia de pulso, palidez, parestesias, parálisis y dolor intenso (pain).
- Cianosis: indica compresión venosa excesiva que hay que tratar de resolver con la movilización de la zona distal y, si no cede, retirar el vendaje. La aparición de palidez indica compresión arterial excesiva, lo que obliga a cambiar el vendaje y colocarlo menos apretado. Debe comprobarse de forma periódica la coloración y la temperatura de la parte distal de la extremidad.
- Alteraciones en la movilidad y/o sensibilidad: debe disminuirse la compresión del vendaje.
- Úlceras por presión: vigilar la aparición de molestias en zonas prominentes donde puedan desarrollarse.
Figura 6. Cabestrillo con banda para limitación de movimientos de aducción y rotación.
Figura 6. Cabestrillo con banda para limitación de movimientos de aducción y rotación.

Monitorización y resolución de complicaciones asociadas a las fracturas de la cintura escapulohumeral
El estado hemodinámico es esencial para detectar cualquier complicación existente o potencial, como por ejemplo una hemorragia. Las observaciones deben incluir la evaluación regular de la frecuencia cardiaca y su ritmo, la presión arterial, la frecuencia respiratoria, la saturación de oxígeno, la temperatura, el color y la temperatura de la piel, la producción de orina y la función neurológica(6).
En cuanto al dolor, aunque este es una sensación útil para alertarnos sobre una lesión, no debe aceptarse como parte normal o inevitable de la recuperación de una lesión o cirugía. La evaluación del dolor es esencial para garantizar que se prescriba y administre el correcto tratamiento analgésico y que tenga el efecto deseado. Debe proporcionarse analgesia preventiva y de rescate. Los métodos no farmacológicos de control del dolor como la posición, las técnicas de distracción y el masaje también pueden beneficiar al paciente(4,6).
Las complicaciones asociadas a las fracturas óseas pueden clasificarse en inmediatas, tempranas o tardías(6):
- Complicaciones inmediatas: hemorragia interna y externa, lesión nerviosa y daños en tejidos blandos u otros órganos.
- Complicaciones tempranas: infección, compromiso neurovascular, embolismo graso, embolismo pulmonar, trombosis venosa profunda, síndrome compartimental y úlceras por presión.
- Complicaciones tardías: osteoartritis, necrosis, unión retardada, mala unión, no unión.
Ante estas posibles complicaciones, se deben proporcionar ciertos cuidados para subsanarlas o prevenir su aparición. Para ello, se requiere de una estrecha vigilancia hemodinámica del paciente, a fin de detectar los signos tempranos de las complicaciones.
Las fracturas de la cintura escapulohumeral conllevan el riesgo de dañar ciertos vasos sanguíneos como, por ejemplo, la arteria braquial en fracturas del húmero. Una embolia grasa es una complicación poco frecuente pero muy grave, ocurre generalmente entre 3 y 5 días después de una fractura de hueso largo y el paciente puede presentar somnolencia, cambio de estado de ánimo, taquipnea o dificultad respiratoria; también puede valorarse mediante la aparición de glóbulos de grasa en la orina, aunque es un signo tardío. Por otro lado, una unión defectuosa puede conducir a una osteoartritis. La necrosis avascular es un ejemplo de complicación tardía, que puede tardar 2 años en desarrollarse si una fractura interrumpe el suministro de sangre al hueso, el hueso afectado morirá, colapsará y la articulación se destruirá, provocando dolor, rigidez y escasez de funcionalidad(6).
Conclusiones
- La inmovilización del hombro afecto consiste en la aplicación de un cabestrillo que mantenga la correcta alineación de la fractura durante el proceso de fijación.
- El vendaje en 8 y el vendaje de tipo Velpeau aplicados de forma incorrecta pueden provocar parálisis del plexo braquial y/o compromiso del paquete vascular.
- Los estudios que comparan el vendaje en 8 con el cabestrillo convencional muestran puntuaciones más elevadas de dolor en el vendaje en 8 y también constatan que no existen diferencias significativas en cuanto al tiempo y la tasa de unión de la fractura.
- El uso del cabestrillo debe aplicarse durante 4 semanas e iniciar movimientos, limitando los de aducción-rotación, para, de este modo, prevenir la aparición del hombro congelado.
- El personal de enfermería debe conocer el correcto uso y manejo del cabestrillo y las posibles complicaciones que puedan surgir a raíz de una fractura en la cintura escapulohumeral.
- El personal de enfermería debe estar vigilante ante las posibles complicaciones y anticiparse a su aparición mediante una correcta monitorización de los signos y síntomas, y la implementación de un correcto y adecuado plan de cuidados.