Introducción
Las luxaciones y fracturas luxaciones del carpo son lesiones poco frecuentes. Abarcan un espectro amplio de lesiones; en todas ellas hay una afectación ligamentosa, ósea y/o cartilaginosa. Son lesiones graves que pueden alterar la biomecánica de la muñeca. Si no tenemos un alto índice de sospecha y realizamos unas correctas proyecciones radiográficas, hasta en el 25% de los casos pueden pasar desapercibidas(1).
El mecanismo de lesión más frecuente es una caída sobre la mano en extensión, aunque una fuerza directa también podría producir la luxación (atrapamiento).
Los pacientes presentan tumefacción importante, dolor e impotencia funcional de la muñeca. Se puede asociar a síntomas sensitivo-motores por compresión de estructuras vasculonerviosas. El diagnóstico se confirma con una radiografía anteroposterior y lateral pura de muñeca; en caso de que asocien fracturas asociadas, puede ser necesaria una tomografía computarizada (TC) para definir mejor las lesiones.
Se debería realizar un reducción anatómica urgente; se recomienda asociar la reinserción o reparación de los ligamentos, osteosíntesis con tornillos a compresión de las fracturas de escafoides y agujas de Kirschner u osteosíntesis para el resto de las fracturas y estabilizar el carpo hasta la cicatrización de las estructuras (8 a 12 semanas).
La pérdida de fuerza de agarre, la inestabilidad carpiana, la pseudoartrosis de escafoides y la artrosis postraumática son complicaciones que afectan a más del 50% de los pacientes que han sufrido estas lesiones.
Caso clínico
Se trata de un varón de 47 años de edad, sin antecedentes médicos o quirúrgicos de interés, atendido en urgencias por dolor en mano y muñeca izquierda tras atrapamiento y torsión mientras reparaba un ascensor. A la exploración presentaba tumefacción importante, con hematoma en el dorso de la muñeca. Dolor a la palpación en la parte volar, crepitación en el borde cubital, pérdida de fuerza de presión (3 sobre 5). Movilidad de dedos conservada, pero movilidad de la muñeca muy limitada. Exploración neurovascular sin alteraciones.
Desde el Servicio de Urgencias se solicita un radiografía anteroposterior y oblicua de mano, muñeca y tercio distal del antebrazo izquierdo. Si observamos detenidamente la radiografía anteroposterior, se observa una alteración en los arcos de Gilula y una posición alterada del semilunar (flexión palmar). Debido a que estas radiografías no son las más adecuadas para el estudio de la muñeca, podría pasar desapercibida la lesión (Figura 1).
Figura 1. Radiografía (A) anteroposterior y (B) radiografía oblicua de mano, muñeca y tercio distal del antebrazo realizadas durante la atención en urgencias inicial. Se observa la fractura de la estiloides radial (flecha). Alteración en los arcos de Gilula (línea). Alteración en la forma del semilunar, en flexión volar (rojo).

El diagnóstico inicial fue de una fractura de estiloides radial no conminuta y no desplazada, decidiéndose tratamiento ortopédico con férula antebraquial palmar. A las 3 semanas, ante la persistencia de tumefacción, dolor e impotencia funcional en la muñeca, se realizó una TC en la que se observó una luxación transestiloperilunar, por lo que se decidió trasladar al centro de referencia, para su valoración y tratamiento definitivo.
Finalmente, el paciente fue valorado por la Unidad de Mano. Presentaba tumefacción importante en mano y muñeca, impotencia funcional de la muñeca, sin alteraciones sensitivo motoras del nervio mediano.
Se solicitó una radiografía anteroposterior y lateral pura de muñeca izquierda, en la que se observa una luxación transestiloperilunar (Figura 2).
Figura 2. A: radiografía anteroposterior en la que se observa la disrupción de los arcos de Gilula. Semilunar en flexión volar (rojo); B: radiografía lateral pura de muñeca en la que se observa la pérdida de la congruencia semilunar, hueso grande y 3.er metatarsiano (verde).

Resultados
Se intervino al paciente bajo anestesia regional e isquemia. Se realizó abordaje dorsal de la muñeca. Disección por planos, piel y tejido celular subcutáneo. Apertura de la 3.ª y la 4.ª correderas, separándose los tendones hacia radial y cubital, respectivamente, exponiendo el retináculo extensor y la cápsula articular de la muñeca.
Cauterización de la rama interósea posterior, rama sensitiva terminal del nervio radial, localizada en el suelo de la 4.ª corredera. Apertura de la cápsula articular longitudinalmente.
Bajo visión directa se corroboró la existencia de la lesión sospechada en las radiografías y TC prequirúrgicas, y una lesión no reparable del ligamento escafolunar. El hueso grande articulaba directamente con el radio, ocupando la fosa semilunar del radio. A continuación, se redujo el carpo, mediante tracción y flexión palmar forzada, acompañado de una presión directa del semilunar. Cruentación de todo el cartílago de las superficies articulares entre el semilunar y el escafoides, hasta conseguir exponer el hueso subcondral. A continuación, para ayudar en la manipulación y reducción de ambos huesos se colocaron 2 agujas de Kirschner a modo de joystick. Una vez reducidos, se realizó la osteosíntesis mediante tornillo Acutrak Mini®(Figuras 3A y 3B). En un segundo tiempo se retiró el cartílago articular de las superficies articulares entre el semilunar y piramidal. Se redujo con ayuda de una aguja de Kirschner y osteosíntesis con un Acutrak Micro®(Figuras 3C, 3D, 3E y 3F). En último lugar, se realizó una plicatura y cierre capsular mediante un implante Minilok®; se reforzó con puntos simples. Cierre de la 3.ª y la 4.ª correderas. Férula con inmovilización del primer dedo durante 8 semanas. Extracción del material de osteosíntesis a las 8 semanas. El objetivo de esta técnica (reduction and association of the scaphoid and lunate –RASL–) es conseguir una pseudoartrosis, cuya falta de consolidación consigue mejor control del dolor, amplitud de movimiento y fuerza de agarre que con una artrodesis exitosa(2,3).
Figura 3. A y B: osteosíntesis del semilunar y escafoides con Acutrack Mini®; C y D: osteosíntesis del semilunar y escafoides con Acutrack Micro®; E y F: resultado postoperatorio inmediato.

En cuanto a la fractura de la estiloides radial, dado el tiempo de evolución y la ausencia de desplazamiento, se decidió continuar con tratamiento ortopédico.
Discusión
La articulación del carpo, biomecánicamente, es una de las más complejas del organismo; está formada por 8 huesos y rodeada por 23 tendones, que la someten a un gran número de movimientos. La hilera proximal del carpo esta formada por: el escafoides, semilunar, piramidal y pisiforme; a su vez, la hilera distal está formada por: el trapecio, trapezoide, grande y ganchoso. El escafoides es la unión entre ambas hileras, lo que permite una movilidad sincrónica entre ambas hileras(4).
Estos huesos están unidos por los ligamentos carpianos. Estos ligamentos existen tanto en la parte palmar o volar del carpo como en la dorsal.
El mecanismo de lesión más frecuente es una hiperextensión , inclinación cubital y supinación intercarpiana de la muñeca, tras un traumatismo de alta energía, como caídas de altura, accidentes de tráfico (moto o bicicleta) o accidentes de trabajo(5).
Las luxaciones y fracturas luxaciones son poco frecuentes y suponen del 6 al 10% de las lesiones postraumáticas de la muñeca. Afecta sobre todo a varones jóvenes, tras una caída en un accidente deportivo o de trabajo. Son traumatismos cerrados, solo el 10% corresponde a lesiones abiertas, ensombreciendo el pronóstico. Existe un síndrome irritativo del nervio mediano en entre el 23 y el 45% de los casos. Hasta el 26% se asocia con politraumatismos. Es frecuente asociar otras lesiones en el miembro superior homolateral, hasta en el 11% de los pacientes(3,4,6).
Las características demográficas de nuestro paciente concuerdan con lo publicado. El mecanismo lesional difiere de lo que podemos encontrar en la bibliografía, al ser un atrapamiento. Nuestro paciente sufrió una luxación transestiloperilunar. Las luxaciones perilunares son las más frecuentes y están dentro del grupo de las luxaciones complejas. Se producen en una zona vulnerable alrededor del semilunar.
Las luxaciones y fracturas luxaciones carpianas pasan desapercibidas en el 16 al 25% de los casos(1). El diagnóstico debe sospecharse por el mecanismo de lesión y la clínica. El paciente presentará gran tumefacción, dolor e impotencia funcional de la muñeca. Referirá dolor en la vertiente radial y cubital de la muñeca.
Confirmaremos el diagnóstico con una radiografía anteroposterior y lateral pura de muñeca, observándose una disrupción del arco mayor y menor del carpo, con la luxación del hueso grande de la superficie articular del semilunar y pérdida de altura del carpo. Es importante una correcta realización de las proyecciones para una buena interpretación de las mismas.
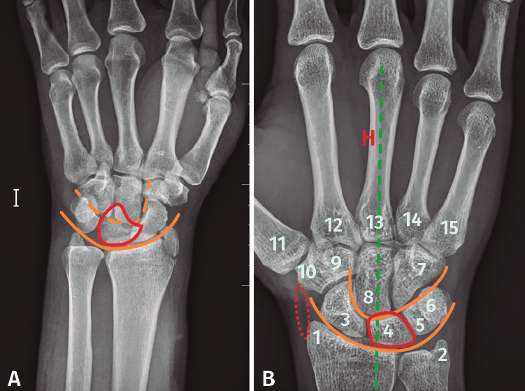
Figura 4. A: radiografía anteroposterior de luxación transestiloperilunar; B: radiografía anteroposterior sin alteraciones, recuerdo anatómico. 1: estiloides radial; 2: estiloides cubital; 3: escafoides; 4: semilunar; 5: piramidal; 6: pisiforme; 7: ganchoso; 8: grande; 9: trapecio; 10: trapezoide; 11: primer metacarpiano; 12-15: segundo a quinto metacarpianos; —: almohadilla grasa; —: eje longitudinal 3.er radio, muñeca y antebrazo; —: arcos de Gilula.

- Qué ver en una radiografía anteroposterior de muñeca (Figuras 4A y 4B). Para valorar que estamos ante una correcta proyección, debemos obtener:
– Una vista anteroposterior de la región media de los metacarpianos, del carpo, de la articulación radiocubital distal.
– La forma de la diáfisis de los metacarpianos debe ser cóncava.
– Debe existir una separación del radio y cúbito distales (puede existir una superposición mínima).
– Por último y más importante, el eje longitudinal del 3.er radio, la muñeca y el antebrazo deben quedar alineados.
En la radiografía podemos observar los siguientes ítems:
– Observar la alineación correcta de las articulaciones.
– Buscar interrupciones en las corticales de los huesos que nos puedan hacer sospechar una fractura.
– Afectación intraarticular.
– Pero, en especial, debemos fijarnos en los arcos de Gilula, deben formar 3 líneas continuas, sin disrupciones. En las luxaciones se pierde la continuidad de las líneas que forman los diferentes arcos.
- 1.er arco: superficie proximal del escafoides, semilunar y piramidal.
- 2.º arco: superficie distal del escafoides, semilunar y piramidal.
- 3.er arco: superficie proximal de grande y ganchoso.
• Qué ver en una radiografía lateral de muñeca (Figuras 5A y 5B). Para valorar que estamos ante una correcta proyección, debemos obtener:
– Obtener vista lateral de la región media de los metacarpianos, del carpo, de la articulación radio-cubital distal.
– La cabeza del cúbito debe estar superpuesta sobre el radio distal.
– Las regiones proximales de los metacarpianos 2.º-5.º están alineadas y superpuestas.
Figura 5. A: radiografía lateral de luxación transestiloperilunar; B: radiografía lateral sin alteraciones. Recuerdo anatómico. 1: grande; 2: escafoides; 3: semilunar; 4: cúbito; 5: almohadilla grasa pronadora.

En la radiografía podemos observar los siguiente ítems:
– Debemos prestar especial atención a la congruencia radio-semiulnar-hueso grande. Normalmente los 3 huesos deben formar 3 C alineadas.
– Valorar que no existan interrupciones en las corticales de los huesos.
– Fracturas y luxaciones de radio. Valorar la inclinación dorsal o palmar.
Cuando se producen estas lesiones, ocurre una rotura ligamentosa progresiva que puede asociarse con fracturas óseas. Según la posición de la muñeca, el estado de los ligamentos, la posición de los músculos, la dirección y la amplitud de la fuerza en el momento del accidente, pueden observarse diferentes patrones de lesión.
Las lesiones se consideran agudas cuando tiene menos de una semana de evolución y tienen un mayor poder de cicatrización de las estructuras lesionadas. Se consideran subagudas hasta las 6 semanas de evolución y crónicas con una evolución mayor a las 6 semanas, cuyo potencial de curación es improbable, no pudiendo realizar un tratamiento quirúrgico reparador(3,4). En la bibliografía se refleja que un retraso en terapéutico tiene una influencia negativa en el pronóstico de estas lesiones.
Los factores de mal pronóstico son:
- Lesiones abiertas.
- Luxaciones palmares.
- Caídas de altura.
- Fracturas de la estiloides radial; indican traumatismos de alta energía.
- Retraso en el tratamiento.
- Reducción anatómica conseguida.
Respecto al tratamiento de estas lesiones, se puede resumir en 3 opciones:
- Reducción cerrada e inmovilización.
- Reducción cerrada y fijación interna.
- Reducción abierta y fijación interna.
El tratamiento ortopédico puede obtener buenos resultados en estas lesiones, si la reducción anatómica es perfecta. Pero se han demostrado mejores resultados con la reducción abierta, reparación ligamentosa y fijación interna de las fracturas(6). Restaura de manera más exacta la anatomía previa, disminuye el riesgo de necrosis avascular, pseudoartrosis e inestabilidad residual(7).
Los autores recomiendan el tratamiento quirúrgico, para obtener buenos resultados clínicos y funcionales. Mayfield recomienda la reparación del ligamento escafosemilunar, que está afectado en casi todas las fracturas luxaciones, ya que mejora los resultados clínicos(3,8). Cooney considera importante la síntesis de la estiloides radial (abierta o percutánea) para la estabilidad de la muñeca(9).
Hay que tener en cuenta que las lesiones puramente ligamentosas tienen mejores resultados que las asociadas a lesiones óseas. Los resultados globales son difíciles de evaluar, ya que se trata de una patología poco frecuente y con gran variedad de lesiones y tratamientos. Tampoco existe acuerdo en los criterios de revisión(4).
Complicaciones asociadas a estas lesiones pueden ser: pérdida de fuerza de prensión y pérdida del rango de movilidad, limitando las actividades de la vida diaria y de trabajo. Otras complicaciones son la necrosis avascular del escafoides o semilunar, pseudoartrosis o consolidación viciosa del escafoides, inestabilidad carpiana y la artrosis postraumática(4,6).
Como mensaje para llevar siempre con nosotros, es importante mantener un alto índice de sospecha en caso de dolor, tumefacción importante y limitación en el rango de movilidad en un paciente tras una caída con la muñeca en hiperextensión (en el medio laboral, tenemos que tener en cuenta que el atrapamiento y la torsión pueden producir también una luxación del carpo). La parte más importante y difícil en este tipo de patología es el diagnóstico, que debe basarse en la sospecha clínica seguida de la confirmación radiológica. En especial, debemos fijarnos en los arcos de Gilula, que deben formar 3 líneas continuas, sin disrupciones.
Conviene prestar atención a la congruencia radio-semilunar-hueso grande; los 3 huesos deben formar 3 C alineadas.
Una vez diagnosticado, debemos:
- Inmovilizar con una férula antebraquial sin manipular la muñeca.
- Tras una anamnesis detallada, procederemos al tratamiento analgésico y antiinflamatorio.
- Ponernos en contacto con el centro de referencia y trasladar al paciente; mantener en ayunas.