Introducción
Estas lesiones presentan una prevalencia relativamente elevada; representan entre el 60 y el 80% de las fracturas del carpo. En relación con su diagnóstico, hasta el 40% puede no ser diagnosticado inicialmente. Y con respecto a su tratamiento, aún sigue generando discusión.
En cuanto al diagnóstico, la controversia reside en cuándo y qué pruebas complementarias realizar en las sospechas clínicas de fractura sin una imagen de radiología concluyente. A menudo las fracturas agudas pasan desapercibidas; la sensibilidad de la radiología va del 84 al 98%(1), la resonancia magnética nuclear (RMN) puede ser útil, con una sensibilidad superior al 95%, pero con una especificidad inferior(2), siendo la tomografía computarizada (TC) la más sensible y especifica(3)(Figura 1).
Figura 1. Imagen de fractura no desplazada de escafoides en tomografía computarizada.

En cuanto al tratamiento, aunque existen situaciones claras –en las que hay consenso entre los diferentes autores; en otras, como las fracturas estables, las opciones son diversas e intentaremos exponerlas a continuación–, ya Mazet(4) consideraba que el tratamiento de las fracturas de escafoides se caracterizaba por la confusión, la impaciencia, la invención, la intervención, la reacción, la revaluación y la frustración.
Tradicionalmente, las fracturas de escafoides eran tratadas con yeso durante 2-3 meses y sigue siendo así en algunos centros, aunque en la unidades de mano desde hace cada vez más tiempo se opta por un tratamiento quirúrgico. Si se pregunta por qué sucede esto, la respuesta de diferentes especialistas es que en las unidades se ven las complicaciones de las lesiones de escafoides y por eso se intentan minimizar con un tratamiento quirúrgico adecuado.
Es importante valorar los criterios de inestabilidad de una fractura de escafoides –estos son premonitorios de una mala evolución, por lo que se aconseja el tratamiento quirúrgico(5)–, que son la presencia de una diástasis focal mayor de 1 mm en alguna proyección radiológica, un ángulo escafolunar mayor de 60°, un ángulo radiolunar mayor de 15° y un ángulo intraescafoideo mayor de 20°.
La clasificación más utilizada de estas fracturas es la descrita por Herbert(6), que las divide en estables e inestables; en las primeras puede optarse por un tratamiento ortopédico y en las segundas el tratamiento debería ser quirúrgico.
Las posibilidades de tratamiento son las siguientes:
- Tratamiento ortopédico.
- Cirugía abierta.
- Cirugía por abordaje percutáneo retrógrado o volar.
- Cirugía por abordaje percutáneo anterógrado o dorsal.
- Cirugía con control artroscópico.
Tratamiento ortopédico
Este estaría indicado en fracturas estables del escafoides según la clasificación de Herbert, fractura del polo inferior del escafoides y fracturas no desplazadas.
Clásicamente, el yeso de escafoides inmovilizaba el pulgar y el codo. No existe evidencia que demuestre mayor eficacia de una inmovilización sobre otras. Aunque la inmovilización por encima del codo puede reducir levemente el tiempo de consolidación, los resultados en cuanto a unión son los mismos en yesos por encima o por debajo del codo. El factor clave en el tratamiento de las fracturas agudas de escafoides es la duración de la inmovilización más que una posición específica(7,8,9). No es necesario inmovilizar ni el codo ni el pulgar(10,11).
El tiempo de inmovilización clásico se consideraba de entre 8 y 12 semanas, hasta la consolidación ósea, aunque los criterios de consolidación no son claros, ya que la consolidación del escafoides es endóstica y el paso de trabéculas no es claro en los estudios radiológicos clásicos. Una inmovilización prolongada presenta una serie de problemas, como son las lesiones cutáneas por roce, la atrofia muscular, la rigidez articular, el elevado número de controles en consultas y radiológicos, y la prolongación de la baja laboral, con un índice de consolidación del 90 al 95% de los casos, lo que supone un 10% de pseudoartrosis(12,13).
Para reducir el tiempo de inmovilización en las fracturas no desplazadas, se ha propuesto la realización de una TC a las 4 semanas de la fractura, considerando que si se evidencian puentes óseos puede iniciarse la movilización de la muñeca, retirando la inmovilización; se aconseja, si estos no están presentes, la realización de una síntesis percutánea del escafoides(14), ya que se considera que no consolidará (Figura 2).
Figura 2. Tomografía computarizada a las 4 semanas donde se evidencian puentes óseos.

Se considera que el tratamiento conservador en las fracturas no desplazadas del escafoides es inicialmente más barato que el tratamiento quirúrgico, sin presentar las complicaciones de este, que pueden darse en un 23% de los casos. No existen diferencias en cuanto a la consolidación, la fuerza de prensión y la movilidad, pero el tratamiento quirúrgico consigue una reincorporación laboral antes y el coste final se equilibra(15), lo que hace que la decisión entre un tratamiento conservador o quirúrgico deba realizarse de forma individualizada en función de las demandas funcionales y las características de cada paciente.
Tratamiento quirúrgico por vía abierta
Para tratar adecuadamente las fracturas de escafoides, se deberán seguir los principios quirúrgicos establecidos para el tratamiento de cualquier fractura articular, sin duda prototipo de fractura inestable: una vía de abordaje que permita un acceso fácil y adecuado a la localización de la fractura, respetando al máximo la vascularización; se debe conseguir una reducción anatómica de los fragmentos fracturarios, devolviendo al escafoides su forma y volumen (restauración morfológica) y, en consecuencia, restablecer las superficies articulares radiocarpianas y mediocarpianas; y, por último, realizar una osteosíntesis estable que permita una movilización precoz de la muñeca y una compresión que facilite la consolidación ósea.
La cirugía estaría indicada en fracturas del polo proximal, fracturas conminutas, fracturas con desplazamiento mayor de 1 mm no reducibles por métodos cerrados, angulación importante de los fragmentos, lesiones del carpo asociadas, fractura de radio distal concomitante, atletas y pacientes donde existe una alta presión para volver a su actividad laboral o deportiva.
En lesiones conminutas nos permitirá el aporte de injerto óseo.
Estas cirugías se pueden realizar bajo anestesia locorregional o general. Se realizará profilaxis antibiótica según los protocolos de cada centro. Tanto si es abierta como percutánea, el fluoroscopio será necesario para un control correcto de la reducción y la colocación lo más centrada posible de la síntesis. La localización y el tipo de fractura determinarán el abordaje a realizar, salvo las de tercio medio que pueden realizarse por ambas vías.
Figura 3. Visión fractura de escafoides por vía anterior.

Por vía abierta, podemos acceder por vía volar tal como describieron Russe en 1960(16) y Herbert en 1984(17). Se trata de un acceso relativamente fácil y adecuado a la lesión, que respeta al máximo la vascularización ósea; está indicada en las fracturas del tercio medio y tercio distal del escafoides. Nos permite una visión directa del foco de fractura controlando la reducción y la posterior síntesis (Figura 3).
Al realizar la síntesis, se aconseja colocar el tornillo lo más central posible y perpendicular al foco de fractura(18); cuanto más excéntrico se sitúa, menor rigidez de la fractura. Para conseguir esto por vía volar debemos apalancar la aguja de Kirschner sobre el trapecio; esta aguja debe ser lo más gruesa posible, que permita el paso del tornillo canulado, para evitar su rotura. Se debe posicionar la muñeca en extensión y desviación cubital. Se ha descrito la vía transtrapecio tanto abierta como percutánea para centrar mejor el tornillo en el eje del escafoides, pero su uso no es frecuente(19).
Figura 4. Fractura del polo proximal del escafoides por vía abierta dorsal.

La vía dorsal abierta estaría indicada en fracturas del polo proximal del escafoides (Figura 4); se aborda la cápsula entre el extensor largo del pulgar y los tendones radiales. Es la vía ideal para las fracturas de polo proximal y permite la colocación de un tornillo más centrado en el eje del escafoides(20).
Fijación percutánea retrógrada del escafoides
Con la llegada de los tornillos canulados y la monitorización radiológica intraoperatoria, las técnicas percutáneas o mínimamente invasivas de fijación constituyen en la actualidad la técnica de elección para el tratamiento de las fracturas de escafoides no desplazadas o estables para muchos cirujanos de mano. El primero en describir la técnica de fijación percutánea volar o retrógrada en las fracturas del escafoides carpiano fue el alemán Streli en el año 1970(21), pero la técnica realmente fue popularizada por Haddad y Goddard a finales de los noventa utilizando ya tornillos canulados sin cabeza(22), habiéndose publicado artículos con un porcentaje de consolidación de hasta el 100%(23,24,25).
Existen multitud de diseños de tornillos sin cabeza y a compresión, pero no hay datos in vivo de ventajas de uno sobre otro.
El objetivo de la fijación percutánea es conseguir una osteosíntesis guiada, rígida y a compresión, evitando de esta forma el daño vascular añadido al propio de la lesión y de los ligamentos cardinales de la muñeca que conlleva el tratamiento a cielo abierto, acortando de esta forma los tiempos de consolidación y, por ende, el periodo de inmovilización y de incapacidad laboral y/o deportiva. Incluso, algunos de ellos permiten a sus pacientes la movilización inmediata tras la cirugía(26).
Las indicaciones de la fijación percutánea volar o retrógrada son las fracturas del tercio distal, fracturas no desplazadas o mínimamente desplazadas de la cintura escafoidea, fracturas inestables pero reductibles mediante manipulación cerrada o con ayuda artroscópica.
El desplazamiento de la fractura durante la técnica quirúrgica, que es más probable en las fracturas con trazo oblicuo, puede requerir una reducción abierta y los pacientes deben ser informados de esta posibilidad.
Las fracturas inestables e irreductibles requieren una reducción y osteosíntesis a cielo abierto. La técnica quirúrgica puede realizarse con isquemia preventiva o no; para poder colocar la aguja guía son necesarias unas tallas en el dorso de la muñeca que permitan hacer dorsiflexión. Con este gesto, el trapecio se traslada dorsal y no está en el trayecto de la aguja. A continuación, se realiza un pequeña incisión de 0,5 mm en la región radial más distal (ayudado con control fluoroscópico). En muchas ocasiones nos ayudamos con un Abbocath® del calibre 12-14 para la correcta entrada de la aguja guía en la base del escafoides y lo más centrado posible.
La aguja guía debe pasar a través del foco de fractura siguiendo el eje longitudinal del escafoides y verificando su ubicación en diferentes proyecciones fluoroscópicas. La posición final de la aguja guía debe pasar por el centro del polo proximal del escafoides.
Algunos autores recomiendan el uso de una segunda aguja de Kirschner para evitar la rotación de los fragmentos. Estudios posteriores han demostrado que, además de hacer técnicamente más difícil la cirugía por conflictos de espacio entre agujas, esta puede no ser necesaria, ya que la congruencia de los fragmentos en fracturas no desplazadas, el estrecho espacio en el que se sitúa el escafoides y la integridad de los ligamentos intrínsecos del carpo dan suficiente estabilidad rotatoria a los fragmentos.
La osteosíntesis con tornillos a compresión debe ser meticulosa y evitar complicaciones como el retardo de consolidación o la pseudoartrosis causada por una colocación inadecuada del tornillo. Trumble(27) hizo hincapié en la importancia de colocar el tornillo en el eje central del escafoides, motivo por el cual la utilización de un tornillo canulado facilita la técnica. La colocación correcta del tornillo es más importante que el tipo de tornillo utilizado y el tiempo de curación se acorta cuando se coloca en la posición central del escafoides(28).
La longitud del tornillo debe ser de 5 a 10 mm menor que la longitud medida, pues el tornillo queda en el interior del escafoides y comprime el foco de fractura (Figura 5).
Figura 5. Abordaje percutáneo volar, pasos técnicos.

Al respecto de las agujas guía, hay que decir que son extremadamente delgadas y que no permiten maniobras bruscas, puesto que se doblan con facilidad impidiendo brocar o ascender el tornillo. La aguja doblada suele romperse en el interior del escafoides o quedarse enganchada en la punta del tornillo, por lo que debería retirase.
Una vez se ha colocado el tornillo percutáneo, se inmoviliza durante 10-15 días y posteriormente se inicia la fisioterapia.
A pesar de ser técnicas mínimamente invasivas, no están exentas de riesgo; numerosas estructuras pueden resultar dañadas al colocar el tornillo por vía percutánea.
En el caso del abordaje volar, la estructura con mayor riesgo de resultar dañada es la rama superficial de la arteria radial.
Disestesias en el punto de entrada, infección, pseudoartrosis y rotura de la aguja son otras complicaciones descritas en este tipo de abordaje.
La importancia de una correcta posición del tornillo ha sido destacada en numerosos estudios ya que, cuanto más perpendicular esté respecto al trazo de fractura, mayor será la compresión ejercida a través del foco. Conseguir colocar un tornillo lo más central posible garantiza una fijación más robusta y estable con menor riesgo de migración o rotura del tornillo por estrés(20).
Muchas de las complicaciones están relacionadas con errores técnicos. Los fallos más comunes son la selección de un tornillo demasiado largo o su colocación excéntrica.
Aunque estudios comparativos no han demostrado que el tratamiento quirúrgico sea mejor que el ortopédico, el primero presenta un menor tiempo de consolidación, menor tiempo de inmovilización y una más temprana reincorporación del paciente a sus actividades cotidianas, tanto laborales como deportivas(13,29).
El coste económico de las osteosíntesis percutáneas de las fracturas sin desplazar es menor que el ocasionado por un tratamiento conservador si nos atenemos al análisis que se detalla a continuación.
Las fracturas tratadas de modo conservador exigen entre 8 y 12 semanas de inmovilización, a las que hay que añadir unas 3-4 semanas más (mínimo) para la rehabilitación.
Si realizamos una osteosíntesis percutánea, reducimos la baja laboral a 33 ± 12 días; los costes adicionales en este caso los constituyen la estancia hospitalaria (en régimen ambulatorio) y los gastos de quirófano para una cirugía menor y el material de osteosíntesis.
Con todo, la valoración económica aproximada reduciría el gasto del tratamiento en torno a un 50% respecto al conservador, siempre y cuando no haya complicaciones(30).
En conclusión, el coste total para la administración o la aseguradora es mucho menor en el tratamiento quirúrgico, a expensas de los gastos hospitalarios iniciales establecidos por la cirugía.
Fijación percutánea anterógrada del escafoides
Esta técnica fue descrita en 2001 por Slade(31). Lo primero que debemos realizar es un control escópico del escafoides que nos permitirá descartar otras lesiones. Se debe localizar el eje central del escafoides, que se verá mejor pronando y flexionando la muñeca. Una vez realizado, debemos colocar una aguja de Kirschner siguiendo el eje del escafoides; puede realizarse de forma percutánea, con un alto índice de lesiones tendinosas, sobre todo del extensor pollicis longus, o mediante un miniabordaje dorsal, que es la técnica que preferimos, distal al tubérculo de Lister, con una artrotomía longitudinal, para localizar el polo proximal del escafoides.
Este tipo de síntesis estaría indicada en fracturas del polo proximal y en fracturas del tercio medio.
Una vez colocada la aguja de Kirschner en el centro del escafoides, en fracturas estables las podemos recuperar por volar y radial a nivel del pulgar, lo que nos permitirá una extensión de muñeca para realizar un correcto control escópico. En fracturas inestables podemos usar la aguja de Kirschner a modo de joystick para reducir la fractura. Al realizar la medición debemos restar 4 mm, ya que el tornillo debe quedar totalmente enterrado en el polo proximal y no invadir la articulación escafotrapeciotrapezoidea.
El abordaje dorsal presenta una serie de ventajas: el tornillo generalmente se encuentra bien centrado en el eje del escafoides, evita la lesión de estructuras volares como son la rama superficial de la arteria radial y el abordaje de la articulación escafotrapeciotrapezoidea y, además, se consigue una mayor compresión del polo proximal(31). Chan(32) manifiesta que el tornillo se encuentra mejor posicionado a nivel distal sin diferencias en su situación proximal respecto a un abordaje retrógrado.
In-Ho Jeon pone de manifiesto que se consigue un tornillo más paralelo al eje del escafoides y una situación más perpendicular al trazo de fractura, pero a pesar de estas dos circunstancias, no evidencia diferencia en cuanto a la consolidación de la fractura y a la función posterior de la muñeca(33).
Esta técnica no está exenta de complicaciones, Bushnell(34) describe un 21% de complicaciones mayores, entre las que se incluyen la pseudoartrosis; lo más frecuente son problemas con el material de síntesis (Figura 6) e incluso una fractura postoperatoria; y una serie de complicaciones menores como la rotura intraoperatoria del tornillo o de la aguja. Las lesiones tendinosas en abordajes percutáneos puros son elevadas, oscilan entre los 5 sobre 12 y los 5 sobre 40 en función de los estudios(35,36).
Figura 6. Imagen escópica de la rotura de la aguja guía en un abordaje anterógrado.

Tal como manifiesta Bushnell(34), “las complicaciones pueden representar un problema considerable para los cirujanos y los pacientes, y los cirujanos no deben suponer que todos los pacientes tendrán excelentes resultados con un riesgo mínimo de problemas cuando se utiliza una técnica percutánea”. Debe valorarse cuidadosamente la técnica quirúrgica, por lo que se aconseja la colocación central de la aguja de Kirschner, mantener la muñeca en flexión/pronación (ring sign), colocar la aguja de dorsal a volar –la aguja debe salir en la base radial del pulgar–, debemos confirmar la reducción con fluoroscopia, es necesaria una medición cuidadosa de la longitud del tornillo, restar unos 4 mm, no brocar los últimos 2 mm de la cortical distal y considerar que la mayoría de las complicaciones son por una mala técnica quirúrgica.
Tratamiento con control artroscópico
La asociación de osteosíntesis con tornillo de compresión por vía percutánea y la artroscopia de muñeca para el tratamiento de fracturas agudas, retardo de consolidación y pseudoartrosis de escafoides carpiano ofrece una serie ventajas con buenos resultados clínicos(37,38,39,40,41,42), como son la preservación de la vascularización del escafoides y de los ligamentos extrínsecos del carpo, permite una valoración precisa del desplazamiento, conminución e inestabilidad del foco de fractura, diagnóstico de lesiones de ligamentos asociadas y control del punto de entrada del tornillo en el polo proximal y de la introducción completa del tornillo mediante visión directa.
Las indicaciones de osteosíntesis percutánea asistida por artroscopia se pueden resumir(37) en fracturas de polo proximal de escafoides carpiano, fracturas desplazadas de la cintura de escafoides, fracturas inestables de escafoides, fracturas de escafoides carpiano combinadas con fractura de radio distal, fracturas no desplazadas y estables en pacientes con alta demanda funcional y que precisen reincorporación precoz.
Las contraindicaciones de esta técnica quirúrgica son fracturas o fracturas luxaciones abiertas, síndrome compartimental y necrosis del polo proximal del escafoides(40).
Actualmente, el abordaje dorsal anterógrado es el más utilizado desde su descripción por Slade en 2001(37) para la realización de la osteosíntesis, posteriormente modificado por Geissler(41) introduciendo la visión directa artroscópica para la ubicación del punto de entrada de la aguja guía del tornillo.
Figura 7. Colocación de tracción al zenit 6-8 kg.

Para la realización de la técnica se coloca al paciente en decúbito con torniquete neumático en brazo de 250 mmHg; se utiliza una torre de tracción que permita flexión de muñeca para la correcta introducción de aguja guía (Figura 7). Los portales artroscópicos que se utilizan son los radiocarpianos 6R para visualización y 3/4 para instrumentación, y los mediocarpianos cubital (MCU) para visualización, radial (MCR) y escafotrapeciotrapezoide (STT) para instrumentación.
Se comienza la artroscopia en la articulación radiocarpiana a través del portal 3/4 con la colocación de la óptica para realizar un recorrido articular con el fin de identificar la existencia de lesiones asociadas o valorar fracturas del polo proximal del escafoides (Figura 8).
Figura 8. Visualización de la fractura de escafoides desde el portal 6R.

Posteriormente, se introduce la óptica en el portal 6R, se flexiona la muñeca y desde el portal 3/4 se realiza sinovectomía de sinovial hiperémica dorsal para la correcta visualización e identificación del punto de entrada del tornillo, que se localiza en la inserción en el polo proximal del escafoides del ligamento escafolunar; una vez se localiza el punto, se coloca un Abbocath® del calibre 14 y se insinúa en dicho punto, entonces se procede a la comprobación radiológica del punto de entrada y se introduce la aguja de Kirschner guía del tornillo a través del Abbocath® siguiendo el eje mayor del escafoides. Es importante que el sistema de tracción permita una flexión palmar de 30° y la colocación horizontal para la comprobación radiológica de la colocación de la aguja.
Figura 9. Reducción de fragmento distal con gancho palpador introducido por portal mediocarpiano radial; visión desde el portal mediocarpiano ulnar.

Una vez que se ha comprobado la colocación de la aguja, se realiza la medición de la longitud del tornillo, se avanza la aguja guía hacia volar para permitir la extensión de la muñeca, minimizando el riesgo de rotura del material. A continuación, a través de los portales MCR y MCU se verifica la reducción obtenida de la fractura; si no se ha conseguido una reducción aceptable, se retira por volar la aguja dejándola en el fragmento distal; a continuación, se procede a la reducción de los fragmentos de forma indirecta, mediante manipulación e hiperextensión de la muñeca o utilizando agujas de Kirschner a modo de joysticks para movilizar los fragmentos, o de forma directa, manipulando el fragmento distal con un gancho palpador o con un periostotomo que se introducirán por el portal MCR (Figura 9).
Figura 10. Imagen de comprobación de reducción y compresión de la fractura desde portales mediocarpianos.

Una vez conseguida la reducción se reintroduce la aguja de Kirschner hacia el fragmento proximal y se recupera por el portal 3/4; posteriormente, tras la protección de las partes blandas se procede a brocar y a la colocación del tornillo canulado, se confirma mediante la artroscopia la reducción y compresión de la fractura desde los portales mediocarpianos (Figura 10) y desde los portales radiocarpianos se comprueba que el tornillo está totalmente introducido en el escafoides sin que protruya, para evitar posibles lesiones del cartílago de la fosa escafoidea del radio (Figura 11).
Figura 11. Comprobación de la introducción del tornillo en el polo proximal del escafoides carpiano.

Reflexiones finales
El primer problema que nos encontramos en las fracturas de escafoides es su diagnóstico inicial. Una vez lo tenemos, la siguiente fase es decidir qué tipo de tratamiento es el más adecuado para cada fractura.
Las fracturas estables y no desplazadas pueden tratarse tanto de forma ortopédica como quirúrgica, decidiendo una u otra en función de las demandas del paciente y su situación laboral y deportiva. Si optamos por un tratamiento conservador, solo es necesario inmovilizar con un yeso antebraquial sin inmovilizar el pulgar y, para reducir el tiempo de inmovilización, es útil realizar una TC al mes. Si se evidencian puentes óseos, se puede retirar la inmovilización.
En las fracturas no desplazadas del tercio medio, si se opta por un tratamiento quirúrgico, la vía de abordaje se realizará en función de las preferencias del cirujano, percutánea, volar o dorsal, y síntesis con tornillos canulados.
En las fracturas inestables la opción es siempre quirúrgica, considerando como inestable toda fractura del polo proximal, que serán tratadas por vía dorsal.
Si la fractura inestable es reductible se puede optar por una síntesis percutánea, por cualquiera de la vías; si no lo es, será necesario realizar una vía abierta, que nos permitirá incluso el aporte de injerto si fuese necesario.
La utilización del soporte artroscópico permite la valoración con visión directa de la reducción de la fractura, la colocación de tornillo de osteosíntesis y la presencia de lesiones ligamentosas asociadas que modificaran el manejo postoperatorio.
La utilización de la artroscopia evita la lesión de ligamentos volares y de tejidos blandos en la vía de abordaje, así como la preservación de la vascularización del escafoides, pero no está indicada en las fracturas con necrosis del polo proximal, por su dificultad de visualización desde los portales artroscópicos mediocarpianos.
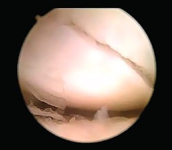
Figura 12. Pequeño fragmento polar superior.

A pesar de todo esto, existen situaciones clínicas específicas que pueden precisar un tratamiento diferente, como pueden ser las fracturas marginales del polo superior del escafoides con preservación del ligamento escafolunar, que pueden tratarse mediante la exéresis del fragmento óseo (Figura 12), o fracturas de pequeño tamaño donde utilizaremos microtornillos no canulados (Figuras 13A y 13B).
Figura 13. Tomografía computarizada donde se evidencia fragmento pequeño y síntesis con 2 microtornillos.

En resumen, el tratamiento dependerá del tipo de fractura, de las necesidades del paciente en fracturas estables y la elección de una vía u otra de las preferencias y la habilidad del cirujano, incluyendo el manejo artroscópico de las mismas, existiendo unanimidad entre los diferentes autores en las fracturas del polo proximal, que son de abordaje dorsal.