Introducción
El tendón tibial anterior (TA) se origina en el tubérculo de Gerdy, en la región anteroexterna del tercio proximal de la tibia, y se inserta en la cara medial de la primera cuña y en la base del primer metatarsiano, atravesando la cara anterior de la tibia desde proximal a distal y de lateral a medial. Su función principal es ser el dorsiflexor primario del tobillo, siendo vital para un patrón de la marcha adecuado(1). La rotura del tendón TA constituye una lesión poco frecuente, con pocos casos documentados previamente en la literatura. Puede ocurrir tanto de manera traumática como espontánea(2). La mayoría de las roturas espontáneas ocurren en pacientes con predisposición clínica a una tendinopatía o debido a sobrecargas mecánicas. Los factores de riesgo incluyen diabetes mellitus, gota, artropatías inflamatorias o el uso de corticosteroides locales(3). Las roturas traumáticas suelen producirse como consecuencia de una flexión plantar y eversión rápida en un tobillo en dorsiflexión(4). Debido a su baja frecuencia, no existen pautas claras para una resolución individualizada(5). El tratamiento médico conservador generalmente implica el uso de refuerzos ortésicos para pie y tobillo. Por otro lado, en el tratamiento quirúrgico existen múltiples técnicas descritas, que van desde la reparación primaria de cabo a cabo o transferencias tendinosas hasta reconstrucciones con aloinjertos(6).

Este caso describe a una paciente que presentó una rotura espontánea secundaria a gota, tratada mediante la técnica de turn down flap de tendones tubulares inicialmente descrita para el tendón de Aquiles(7) y constituye un caso inédito en la bibliografía.

Material y método
Presentamos el caso de una mujer de 64 años con antecedente de enfermedad por gota, que acude a consulta en la unidad de pie y tobillo, refiriendo dolor y debilidad en el tobillo izquierdo de 45 días de evolución, sin antecedente traumático. Refiere inicialmente relacionarlo con un proceso agudo de su patología de base pero, al persistir la sintomatología y no remitir con terapia antiinflamatoria, decide consultar.

Al examen físico, presentaba dolor e hiperalgesia en la base del primer metatarsiano y la cuña medial, debilidad en la dorsiflexión e inversión plantar, y ausencia de contorno del tendón TA. El aspecto neurovascular se encontraba conservado.

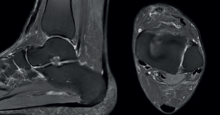
Los estudios radiográficos no arrojaron anormalidades, mientras que la resonancia magnética reveló una desinserción completa del tendón TA con retracción hasta la articulación tibiotalar (Figura 1). Se decide un tratamiento quirúrgico de reanclaje tendinoso primario.

Técnica quirúrgica
Se realizó una incisión anteromedial, en eje con el tendón TA, constatando que el cabo distal tendinoso se encontraba proximal al retináculo extensor dorsal inferior. Se procedió entonces a la apertura de este y a la posterior resección del cabo distal degenerado. Al finalizar la exposición quirúrgica, el acortamiento tendinoso era de 9 cm, con pobre traslación a la tracción (Figura 2). Se decidió entonces realizar una técnica de turn down flap en el tercio medio del cabo tendinoso proximal (Figura 3), desdoblando así el tendón y obteniendo un aumento considerable de su longitud (Figura 4). Ante la imposibilidad de reanclar el tendón a la cuña medial, se realizó una fijación en el escafoides tarsiano con un tornillo de biotenodesis, que cedió a la tensión y sufrió un arrancamiento. Finalmente, se obtuvo el anclaje definitivo en el cuello del astrágalo con un tornillo de biotenodesis (Figura 5). Por último, se realizó un cierre por planos con especial atención en la reparación del retináculo extensor.

Protocolo posquirúrgico
En el manejo posquirúrgico inmediato se realizó una férula de yeso suropédico a 90°, la cual se mantuvo durante 3 semanas con descarga completa. Luego, se pasó a una bota walker durante otras 3 semanas y carga progresiva los primeros 10 días hasta obtener carga completa. En la quinta semana posquirúrgica, se indicó el comienzo de fisiokinesioterapia, con ejercicios progresivos de recuperación del rango articular, fortalecimiento muscular con bandas elásticas, ejercicios propioceptivos y de reeducación de la marcha. En la octava semana se indicó la retirada progresiva de las muletas (Figura 6 y Vídeo 1).

Resultados
La paciente recuperó un patrón de la marcha eubásico, sin claudicación ni alteraciones segmentarias, con simetría del paso y fase de apoyo completa (Vídeo 2). En relación con la movilidad tibiotalar, alcanzó 10° de dorsiflexión y una flexión plantar de 45° (Figura 7 y Vídeo 3). Al ser encuestada a los 12 meses de la cirugía sobre su nivel de satisfacción subjetiva global, la paciente manifestó estar muy satisfecha con la función general del pie operado y expresó que, de encontrarse en una situación similar, volvería a someterse al procedimiento. Además, refirió no sentir dolor o molestias asociadas a las actividades de la vida cotidiana. Si bien no reportó debilidad subjetiva, al realizar un test comparativo con dinamómetro se objetivó una pérdida de fuerza contra resistencia del 21% con respecto al miembro contralateral.
Discusión
El músculo TA es el principal dorsiflexor de la articulación del tobillo. Además, es inversor del pie en la articulación subastragalina y mediotarsiana, y contribuye al mantenimiento del arco longitudinal interno del pie(1). Las roturas atraumáticas del TA son poco comunes y suelen ser mal diagnosticadas, lo que puede resultar en un retraso en el tratamiento(2).
En su mayoría son producidas tras una caída o lesión torsional, en la que se genera una flexión plantar forzada con el tendón en contracción. El trauma se asocia a dolor agudo en la cara anterior del pie y el tobillo, acompañado de una sensación de chasquido. Inicialmente, suele haber incapacidad para cargar peso debido al dolor y sensación de debilidad del pie que mejora con el paso de las horas, aunque persiste la percepción de inestabilidad(8).
El tratamiento quirúrgico varía desde reparaciones y reanclajes primarios hasta transferencias tendinosas del extensor hallucis longus o extensor digitorum longus. Una serie de casos publicada por Kopp et al.(9) que incluyó 10 casos tratados quirúrgicamente mediante diversas técnicas encontró una mejoría significativa en la escala de la American Orthopaedic Foot and Ankle Society (AOFAS)(10) en comparación con el estado prequirúrgico, aunque no se observó una diferencia significativa entre las técnicas utilizadas.
Sung Yae et al.(11) describieron 5 casos de roturas crónicas tratadas mediante autoinjerto de tendón peroneo lateral largo, en los que el gap tendinoso no permitía una reparación primaria, con buenos resultados funcionales. Debido a la baja frecuencia de la patología, no existen estudios que describan las potenciales complicaciones de las distintas técnicas en orden de frecuencia, encontrando escasos reportes de dehiscencia de la herida quirúrgica, rerroturas, avulsiones del anclaje o infecciones(3,8,9,11).
En nuestro caso, utilizamos la técnica de turn down flap para tendones tubulares, inicialmente descrita para el tendón de Aquiles. Consideramos que no fueron tenidos en cuenta todos los factores que podrían haber influido en la planificación quirúrgica inicial, lo que llevó a las modificaciones intraoperatorias sucesivas. Creemos que tanto el tiempo de evolución como el tipo de lesión (traumática o atraumática) son factores cruciales para determinar el tratamiento que seguir. Por lo tanto, una reparación realizada después de 6 semanas de la rotura, en un paciente con una lesión atraumática y un tendón degenerado, resultó en un tendón con limitada movilidad a la tracción y un acortamiento grave. Aun así, la evolución posquirúrgica fue favorable, con recuperación completa del rango de movilidad y restablecimiento de un patrón de la marcha eubásico. Estos resultados sugieren que esta técnica podría considerarse una alternativa válida en futuras investigaciones.
Vídeo 1. Rango de movilidad en el control del segundo mes posquirúrgico.
Vídeo 2. Recuperación del paciente con un patrón de la marcha eubásico.
Vídeo 3. Rango de movilidad en el control del décimo mes posquirúrgico.
Conclusiones
La técnica de turn down flap representa una alternativa versátil para el tratamiento de roturas tanto agudas como subagudas del tendón TA, en las que no es posible un reanclaje primario directo, evitando así las transferencias tendinosas o la aumentación con aloinjertos.
Serán necesarios futuros estudios para evaluar la reproducibilidad de la técnica descrita y los índices de recuperación funcional, evaluando tanto la fuerza muscular y el rango de movilidad como el retorno a las actividades de la vida cotidiana.