Introducción
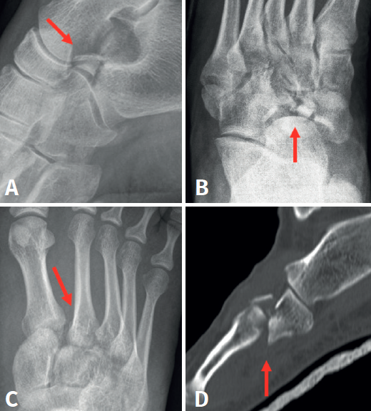
Las fracturas en cascanueces del cuboides (nutcracker's fracture) son lesiones infrecuentes que pueden pasar desapercibidas en su valoración inicial(1). En general, la incidencia anual de las fracturas de cuboides se sitúa en torno a 1,8/100.000 casos(2). En la literatura encontramos escasa evidencia científica basada en series de casos retrospectivas de tamaño muestral pequeño, siendo la serie más larga publicada de 16 pacientes, en las que apenas se hace mención acerca de su complejidad y frecuente asociación con otras lesiones en el pie(3). Generalmente, son ocasionadas por una compresión axial entre la base de los metatarsianos cuarto y quinto y el cuboides tras fuerzas de flexión plantar(4). Un aspecto destacable de este tipo de fracturas es el acortamiento de la columna lateral del mediopié secundario al colapso del cuboides por la fractura y su consecuencia en la biomecánica del pie(1). En ocasiones es posible ver en una radiografía la imagen “en nuez cascada” (cracked walnut) consecuencia de la fractura del cuboides (Figura 1). El objetivo del presente trabajo fue analizar una serie de pacientes con fracturas en cascanueces de cuboides en función de las lesiones asociadas detectadas, el manejo realizado, los resultados obtenidos y las complicaciones observadas, siendo esta serie la segunda más larga publicada en la literatura revisada.

Material y métodos
Se realizó un estudio retrospectivo y descriptivo de una serie de 13 pacientes, 4 hombres (31%) y 9 mujeres (69%), diagnosticados entre enero de 2016 y diciembre de 2022 de fracturas en cascanueces de cuboides (nutcracker's fracture). Se recogieron datos demográficos de edad, lateralidad y seguimiento. Se estudió el mecanismo de acción, la demora quirúrgica, la incidencia de las lesiones asociadas en el pie y se registraron los tipos de tratamiento aplicados. Los resultados funcionales se midieron mediante la puntuación en la escala de la American Orthopedic Foot and Ankle Society (AOFAS)(5). Los resultados durante el seguimiento clínico se clasificaron como excelentes (90-100 puntos), buenos (80-89 puntos), regulares (70-79 puntos) y deficientes (< 70 puntos). Se realizó un registro de las complicaciones observadas, así como del tratamiento aplicado en cada caso.
Todos los pacientes fueron intervenidos quirúrgicamente bajo anestesia espinal o anestesia general asociándose un bloqueo locorregional mediante levobupivacaína al 0,75%. La planificación preoperatoria se basó en imágenes radiológicas anteroposterior y lateral del pie afecto e imágenes de tomografía computarizada (TC) en planos coronal, axial y sagital para poder identificar, además, las lesiones asociadas y el grado de acortamiento de la columna lateral. Los pacientes fueron inmovilizados de manera postoperatoria mediante una férula posterior suropédica durante 6 semanas, comenzando la carga parcial progresiva tras la retirada de esta. Se realizaron controles clínico-radiológicos a las 3, 6 y 12 semanas, y posteriormente a los 6 y 12 meses postoperatorios. Se informó como la presencia de pseudoartrosis la ausencia de consolidación radiológica de la fractura asociada a clínica de dolor a la palpación y/o apoyo del pie afecto a los 6 meses postoperatorios.
Análisis estadístico
El tratamiento de los datos se realizó mediante el programa estadístico SPSS v25 para MAC OS. El análisis descriptivo de las variables categóricas se expresa como frecuencia absoluta y relativa; las variables cuantitativas se describen con media y desviación estándar (SD). Se comprobó la normalidad de las variables tanto cuantitativas como cualitativas mediante la prueba de Kolmogorov-Smirnov. Al no darse una distribución normal de la muestra, para el análisis de asociación entre variables cuantitativas se empleó la correlación de Spearman; la relación entre variables cuantitativas y cualitativas fue evaluada mediante la prueba U de Mann-Whitney. En todos los análisis estadísticos el nivel de significación se estableció en el 5%.
Resultados
La edad media de la serie presentada es de 45 años (rango: 21-69 años). El seguimiento medio fue de 22 meses (rango: 12-65 meses). El mecanismo de acción de las fracturas fue, en 7 casos (53,8%), un traumatismo de alta energía tras accidente de tráfico, y, en los 6 casos restantes (46,2%), caída casual asociada a torsión de tobillo. Ninguna de estas fracturas se diagnosticó de forma aislada (Figura 2), objetivándose fractura de la pars anterior y cuerpo de calcáneo en 6 casos (46,2%), fractura de escafoides tarsiano en 4 casos (30,8%), en 2 casos (15,7%) lesión del complejo ligamentoso de Lisfranc y 1 caso (7,6%) de fractura-luxación de la base de los metatarsianos cuarto y quinto (Tabla 1).

De la totalidad de la muestra, 7 casos (53,8%) fueron detectados de manera aguda (< 24 horas de evolución) y en los 6 restantes (46,2%) la lesión pasó desapercibida en una valoración inicial con una demora media hasta el diagnóstico de 38 días (rango de 13-290 días).

Los 7 pacientes diagnosticados de manera aguda fueron tratados de manera quirúrgica mediante reducción abierta y fijación interna (RAFI). Se usó un fijador externo para distraer la fractura, recuperar la longitud ósea y reducir las superficies articulares. En los casos de conminución metafisaria y defecto óseo se usó aloinjerto de esponjosa. Una vez reducida la fractura, se realizó, en 5 casos, osteosíntesis mediante placa anatómica de cuboides de bajo perfil con tornillos de 2,6 mm y en 2 casos osteosíntesis con agujas de Kirschner de 1,8 mm. En el mismo acto quirúrgico fueron tratadas las lesiones asociadas: reconstrucción y osteosíntesis de las fracturas de calcáneo y escafoides, así como reducción y fijación de la lesión del complejo de Lisfranc y de la luxación de los metatarsianos cuarto y quinto. Solo en un caso fue necesario mantener el fijador externo de manera temporal 6 semanas (Figura 3).

La puntuación media en la escala de la AOFAS en el último seguimiento clínico fue de 74 puntos (rango: 45-90), no requiriendo en ningún caso de reintervención quirúrgica.
Los pacientes que no fueron detectados inicialmente tuvieron una puntuación media de 35 puntos (rango: 25-50). La diferencia entre ambas puntuaciones en la escala funcional fue estadísticamente significativa (p < 0,05). En cuanto a las 6 fracturas no detectadas inicialmente, 4 (66,7%) desarrollaron como complicación artrosis calcaneocuboidea durante el seguimiento clínico. Todos estos casos presentaban como lesión asociada la fractura de la pars anterior del calcáneo que puede conllevar un mayor grado de artrosis postraumática precoz. De los 4 casos con artrosis calcaneocuboidea, 3 (75%) precisaron de cirugía de secuelas mediante artrodesis calcaneocuboidea aislada. En los 3 casos se realizó la artrodesis mediante autoinjerto y placa a compresión con tornillos. Durante el seguimiento, 2 de estos 3 pacientes (66,7%) presentaron como complicación la ausencia de consolidación de la artrodesis, precisando ambos reartrodesis de la articulación calcaneocuboidea. Tras la segunda intervención quirúrgica y pese a la consolidación de la artrodesis calcaneocuboidea, los pacientes presentaban incapacidad funcional, dolor y afectación de las articulaciones vecinas (puntuación en la escala de la AOFAS < 50 puntos), por lo que se realizó cirugía reconstructiva de rescate en un caso mediante doble artrodesis (subastragalina y calcaneocuboidea) y, en el otro restante, mediante triple artrodesis (subastragalina, calcaneocuboidea y astragaloescafoidea) (Figura 4).

Discusión
La fractura en cascanueces del cuboides fue descrita por primera vez por Hermel y Gershon-Cohen en 1953(4). Estos autores plantearon como hipótesis que las fuerzas aplicadas sobre un pie en flexión plantar con el antepié fijo dan como resultado la compresión axial del cuboides entre el calcáneo y las bases de los metatarsianos cuarto y quinto(6,7). Las uniones entre estas articulaciones están constituidas por ligamentos complejos, por lo que las lesiones aisladas son extremadamente poco comunes. La consolidación en mala posición de estas fracturas suele resultar en una alteración biomecánica del pie y, en consecuencia, en malos resultados clínicos(8).
Aunque las indicaciones para el manejo quirúrgico de las fracturas de cuboides generalmente están mal definidas, la mayoría de los autores coinciden en que un desplazamiento articular mayor de 2 mm, la pérdida de longitud de la columna lateral o la presencia de luxación o subluxación articular deben ser tratadas quirúrgicamente(6,9,10).
No existe ningún sistema de clasificación sistemático y validado para la fractura del cuboides en adultos. La clasificación de fracturas de la Orthopaedic Trauma Association subdivide estas fracturas en simples o conminutas, independientemente de la afectación articular, presentándose generalmente asociadas a otras lesiones del mediopié(7). Asimismo, la pérdida de longitud de la columna lateral produce abducción del antepié y deformidad en pie plano con eversión compensatoria del retropié(6). Por tanto, en el tratamiento de las fracturas desplazadas se recomienda la reconstrucción quirúrgica(8).
Las opciones para el tratamiento quirúrgico agudo de las fracturas de cuboides incluyen reducción abierta y fijación interna, fijación externa o una combinación de ambas. Entre los objetivos correctivos destaca, en primer lugar, la recuperación de la columna lateral del mediopié, para lo cual es útil la utilización de un fijador externo a modo de distractor que se puede emplear de manera temporal o definitiva, usando auto- o aloinjerto óseo si existe gran conminución metafisaria; en segundo lugar, la reconstrucción de la superficie articular para evitar una artrosis postraumática precoz secundaria a la fractura; y, en último lugar, el tratamiento de las lesiones asociadas, que será individualizado en cada caso. Este gesto ha sido reproducido por otros autores en la literatura, como en el trabajo publicado por Sharma et al.(1); en su serie de 12 casos, abordan el acortamiento de la columna lateral mediante ligamentotaxis y estabilización con fijador externo de manera definitiva en 8 casos y osteosíntesis con agujas de Kirschner en los 4 restantes. Este trabajo aconseja tratar todas las fracturas en cascanueces de cuboides (nutcracker's fracture) en las que exista un acortamiento de la longitud ósea de manera quirúrgica y, en casos de inestabilidad axial persistente después de la reducción y osteosíntesis de la fractura, dejar el fijador externo a modo de distractor temporal durante 6 u 8 semanas, en lugar de recurrir a placas puente estabilizadoras colocadas a través de varias articulaciones(7).
En cambio, el tratamiento de las fracturas en cascanueces que pasan desapercibidas es más controvertido. La consolidación en mala posición de la fractura de cuboides y de las lesiones asociadas genera una alteración anatómica y en consecuencia biomecánica de todo el pie que debe tenerse en cuenta durante el manejo terapéutico, dificultando su abordaje quirúrgico. No solo será suficiente la artrodesis de las articulaciones afectas, sino que será necesaria la recuperación correcta de la longitud y la altura de ambas columnas del pie, tanto la externa como la interna, para corregir anatómica y funcionalmente las estructuras del medio y el retropié(11).
La complicación más frecuente de las lesiones no corregidas es el acortamiento de la columna lateral y la afectación de la articulación calcaneocuboidea, desarrollando precozmente una artrosis de dicha articulación(12), como así se muestra en nuestro estudio, donde 4 (66%) de los 6 pacientes no diagnosticados inicialmente la desarrollaron.
Diversos trabajos presentes en la literatura(12,13) evidencian pobres resultados clínico-funcionales, así como una elevada tasa de pseudoartrosis (hasta un 50%) tras la realización de artrodesis calcaneocuboidea como único gesto quirúrgico tras artrosis de la articulación. De la misma forma, en el estudio realizado por Barmada et al., los autores sostienen que la artrodesis por distracción calcaneocuboidea, que tiene como objetivo recuperar la longitud ósea a la vez que se fija la articulación entre el calcáneo y el cuboides, puede estar asociada con limitaciones funcionales y complicaciones como la pseudoartrosis (siendo esta la más frecuente), la consolidación defectuosa o la fractura por estrés de la columna lateral. De esta manera, la artrodesis calcaneocuboidea debería realizarse como un procedimiento complementario asociado a otros gestos quirúrgicos en el retropié, como la artrodesis de la articulación de Chopart, la doble artrodesis (artrodesis subastragalina y calcaneocuboidea) o la triple artrodesis (subastragalina, calcaneocuboidea y astragaloescafoidea)(11).
Otros autores como Clements et al.(10) sostienen que en el caso de lesión concurrente de la columna medial (como fractura del escafoides tarsiano) y/o mediotarsiano (complejo de Lisfranc), es fundamental, en primer lugar, restaurar la longitud y estabilizar correctamente la columna lateral. Una vez recuperada la altura ósea, reconstruidas las articulaciones y estabilizada la columna lateral, la columna medial debe volver a una alineación anatómica macroscópica facilitando la reducción y la fijación de las estructuras óseas y ligamentosas dañadas (fractura de escafoides o cuñas, lesión de Lisfranc o luxación de la articulación talonavicular).
La alta tasa de complicaciones (66,6% de pseudoartrosis) y los pobres resultados clínicos obtenidos (escala AOFAS < 50 puntos) mediante la artrodesis calcaneocuboidea aislada, incluso consiguiendo la consolidación de dicha artrodesis, en los pacientes de nuestro estudio están en consonancia con los resultados funcionales publicados por Grunander(12) (50% de pseudoartrosis) y con las alteraciones biomecánicas descritas por Barmada(11) y Chen(13), por lo que consideramos que se debe ser cauto con la indicación de la artrodesis calcaneocuboidea como gesto quirúrgico aislado, abogando por el uso de otras técnicas reconstructivas como la doble o triple artrodesis del retropié de entrada.
En cuanto a las lesiones asociadas, Sharma et al.(1), detectan 12 casos de fractura en cascanueces de cuboides, 10 hombres y 2 mujeres, siendo la edad media de 20,2 años (14-32 años) y un seguimiento medio de 12,7 meses (6-22). Al igual que en nuestro estudio, no se encontró ninguna fractura de cuboides aislada. Entre las lesiones asociadas del pie incluyeron fracturas-luxación en la columna medial en 6 casos (50%), fractura de calcáneo en 3 casos (25%) y lesión de Lisfranc en 3 (25%). En cambio, en nuestro estudio, las fracturas de la pars anterior y cuerpo de calcáneo fueron las más prevalentes en 6 casos (46,1%), seguidas por fractura de escafoides tarsiano en 4 casos (30,8%); en 2 casos (15,7%), lesión del complejo de Lisfranc y 1 caso (7,6%) de fractura-luxación de la base de los metatarsianos cuarto y quinto. Estos hallazgos hacen necesaria, en el momento del diagnóstico, la realización como prueba complementaria de una TC del retropié y el mediopié tanto para el estudio morfológico de la fractura de cuboides como para descartar la presencia de las lesiones asociadas descritas(7).
Respecto a los resultados clínicos de nuestra serie, los pacientes diagnosticados inicialmente y tratados de forma precoz obtuvieron una puntuación media en la escala de la AOFAS de 74 puntos (rango: 45-90), lo que es comparable con los resultados presentes en la literatura, como en los trabajos de Sharma(1) –76,7 puntos (61-84)– y de Weber et al.(8), con una serie de 12 pacientes con edad media de 36 años y un seguimiento medio de 27 meses, obteniendo una puntuación media de 86 puntos (67-100) y un porcentaje de complicaciones del 33%, incluyendo un paciente con artrosis calcaneocuboidea y 3 con artrosis tarsometatarsiana.
En cambio, los pacientes no detectados inicialmente obtuvieron una puntuación en la escala de la AOFAS media de 35 puntos (rango de 25 a 50 puntos). Unos resultados clínicos considerados como deficientes, con secuelas funcionales y necesidad, como se ha comentado previamente, en 3 de los 6 pacientes, de cirugías reconstructivas complejas de rescate. Pese al número limitado de casos y la posible heterogeneidad de la muestra, llama la atención la diferencia de resultados entre los pacientes diagnosticados inicialmente (puntuación de la AOFAS media de 74 puntos) y las lesiones que pasaron desapercibidas en Urgencias (puntuación de la AOFAS media de 35 puntos).
Bien debido a la sutileza de las imágenes radiográficas, bien por el propio desconocimiento por parte del facultativo de este tipo de lesión y de las graves complicaciones que puede desarrollar, 6 de las 13 fracturas en cascanueces de cuboides de nuestra serie (46,1%) no fueron detectadas precozmente en Urgencias. Por ello, debe extremarse la atención ante pacientes que han sufrido un accidente de tráfico con lesión en el pie o un traumatismo en el que el mecanismo lesional haya sido el de caída de cierta altura asociado a torsión del pie o el tobillo. En caso de discrepancia clínico-radiográfica, será necesaria la realización de otras pruebas complementarias como TC o resonancia magnética con el fin de que estas fracturas potencialmente graves no pasen desapercibidas.
Limitaciones del estudio
El presente estudio tiene varias limitaciones. En primer lugar, es de carácter retrospectivo y, al tratase de una lesión infrecuente, con un tamaño muestral pequeño, son precisos estudios de carácter prospectivo y cohortes de mayor número de pacientes que aporten una mayor evidencia científica a los resultados mostrados. Hasta la fecha, existen pocas series publicadas con respecto a este tipo de lesiones. Por otro lado, la heterogeneidad de la población del estudio, así como la elevada variabilidad respecto al tipo de lesiones que pueden asociarse a las fracturas en cascanueces de cuboides, limitan las comparaciones con otras muestras de pacientes.
Conclusión
Las fracturas en cascanueces de cuboides son fracturas graves y poco comunes que pueden pasar desapercibidas y que suelen ir asociadas con otras lesiones. Cuando existe afectación articular o acortamiento de la columna lateral, el tratamiento quirúrgico presenta mejores resultados que el conservador. En cuanto al tratamiento, la artrodesis calcaneocuboidea aislada presenta malos resultados clínico-funcionales como único gesto quirúrgico.