Introducción
El dolor en la cámara posterior del tobillo es frecuente en la población adulta, tanto ligado a la práctica deportiva como en la población general; el amplio espectro de síntomas y patologías acompañantes constituye un reto diagnóstico para el cirujano ortopédico a pesar de la definición de las cada vez más sensibles pruebas de imagen, como la tomografía computarizada (TC) y la resonancia magnética (RM), e incluso la visión directa que nos ofrece la artroscopia.
Las diferentes etiologías, formas de presentación, el tamaño y la localización de las alteraciones anatómicas observadas en la zona posterior del astrágalo van a dar lugar a lo largo de la vida adulta no solo a dolor localizado y a los llamados genéricamente síndromes de pinzamiento (impingement), englobados dentro del concepto de os trigonum, sino a cuadros clínicos complejos, con cambios anatomopatológicos en su vecindad que modifican las condiciones biomecánicas del retropié.
A lo largo de muchos años de trabajo, nuestra unidad ha reunido un número notable de casos con un cuadro clínico muy característico. Son pacientes adultos de ambos sexos con dolor en la parte posterior de la articulación subastragalina, pero también en la cara anterior del tobillo, a veces de forma bilateral, y que presentan un aspecto radiológico complejo con masas óseas posteriores muy separadas del astrágalo, basculación hacia atrás de este, artrosis subastragalina y choque tibioastragalino anterior con formación de osteofitos.
La irregular y casi siempre desfavorable respuesta que hemos encontrado en estos pacientes a los tratamientos quirúrgicos basados en la simple resección de los fragmentos óseos o el desbridamiento artroscópico nos lleva a diferenciar una serie de formas anatomopatológicas, establecer una caracterización individualizada de cada cuadro clínico y plantear posibilidades de un tratamiento quirúrgico racional y resolutivo.
Embriología y anatomía
La osificación del astrágalo comienza durante la vida intrauterina alrededor del 8.º mes de gestación(1) y se origina en 2 centros de osificación encondrales. El centro epifisario del tuberculum fibulare de la apófisis posterior aparece entre los 8 y los 11 años(2), y se fusiona rápidamente con el cuerpo principal del astrágalo, pudiendo quedar en ocasiones separado y formando el llamado os trigonum o astrágalo accesorio. La unión entre ambos núcleos no siempre es ósea, sino en forma de sincondrosis, lo que facilita la confusión diagnóstica con otros procesos, especialmente fracturas.
Podríamos definir una zona crítica alrededor de la parte interna y posterior de la articulación subastragalina formada por la apófisis posterior del astrágalo (processus posterior tali) y la parte posterior del sustentaculum tali o apófisis menor del calcáneo. En la cara interna de esta apófisis posterior existe un profundo canal oblicuo hacia abajo y adentro que ocupa el tendón del flexor largo del dedo gordo: sulcus tendinis m. flexor hallucis longi, que se prolongará bajo el sustentaculum tali(3). Dos prominencias óseas limitan este canal: la situada por fuera (tuberculum fibulare) es la de mayor tamaño, en ocasiones considerable, y es también conocida entonces como tubérculo de Stieda. Por dentro se encuentra el proceso posteromedial (tuberculum tibiale), normalmente de menor tamaño (Figura 1).

El tubérculo posterolateral (tuberculum fibulare) tiene una cara inferior articular en continuidad con la superficie articular posterior del astrágalo. La cara superior irregular y no articular recibe la inserción de la parte lateral del ligamento peroneoastragalino (talofibularis) y el componente astragalino del ligamento peroneoastragalocalcáneo de Rouviere y Canela Lázaro. Este ligamento, presente en un 60% de la población, limita la dorsiflexión del pie. El estrato profundo del retináculo flexor se inserta en la cara medial y el ligamento astrágalo calcáneo se insertaría en el borde inferior(4).
El tubérculo posteromedial tiene un tamaño menor pero muy variable; en él se insertan estratos superficiales y profundos de los ligamentos deltoideo y calcaneoastragalino medial. En raras ocasiones alcanza gran tamaño y puede solaparse sobre el calcáneo, contribuyendo a la formación de una coalición entre los 2 grandes huesos del tarso(4).
Presentaciones morfológicas
Os trigonum
Descrito en 1804 por Rosenmüller(5) y más tarde por Bardeleben(6).
Es un hueso accesorio producto de la falta de unión del centro epifisario propio del tubérculo posterolateral (T. fibulare) con el resto del astrágalo; la frecuencia oscila entre el 2,7 y el 7,7%, registrado por diversos autores citados por Sarrafian, y esa misma frecuencia se registra en las radiografías de pies normales(7).
Este osículo tiene 3 superficies: la anterior se articula con el tubérculo posterolateral o está unida a este por tejido fibroso o fibrocartilaginoso; la inferior se articula con el calcáneo; y la posterior, que no es articular, sirve de inserción a las estructuras capsuloligamentosas posteriores citadas anteriormente.
El os trigonum se presenta habitualmente de forma bilateral; puede alcanzar hasta 1,5 cm de diámetro (Figura 2) y presentarse dividido en 2 (os trigonum bipartitum). Cuando se fusiona al astrágalo se le denomina proceso trigonal y no es rara su presentación como os trigonum en un lado y proceso trigonal en el otro(4).

Astrágalo bipartito (talus bipartitus)
Los defectos de unión del astrágalo con su apófisis posterior tendrían su máxima expresión en el astrágalo bipartito (o partito)(8), anomalía congénita que se da también e incluso con mayor frecuencia en otros huesos del tarso como el navicular o la primera cuña.
El astrágalo bipartito (o partito) fue descrito por primera vez por Strehle en 1928(9).

Se presentaría como una segmentación del astrágalo en el plano coronal con 2 fragmentos, uno anterior y otro posterior, separados por una hendidura o pseudoartrosis; a diferencia del os trigonum, el fragmento posterior se articula con la faceta articular posterior del calcáneo y en ocasiones también con la cara articular posterior de la tibia, pudiendo alcanzar un tamaño de un tercio o incluso más del volumen total (Figura 3); ambos fragmentos tendrían una estructura histológica similar(10).
Fracturas de los procesos posteriores
Fractura de Shepherd
La fractura del proceso trigonal posterolateral del astrágalo fue descrita por Shepherd en 1882(11) y antes, en 1825, por Cloquet(12). La sincondrosis entre el tubérculo posterolateral y el os trigonum puede afectarse de esta forma aguda o bien tras microtraumatismos y pinzamiento crónico, por lo que puede resultar difícil establecer la diferencia entre una fractura de la apófisis posterolateral y un os trigonum doloroso tras un esguince de tobillo(7).
Se postulan 2 mecanismos de producción: hiperflexión plantar e inversión con compresión de la parte posterior del astrágalo entre la tibia y el calcáneo; y el segundo sería una avulsión producida por el ligamento peroneoastragalino posterior en una hiperflexión dorsal e inversión(13).
Fractura de Cedell
Cedell describió la fractura del tubérculo posteromedial como una lesión por avulsión en pronación y dorsiflexión forzadas del pie(14); también se han propuesto mecanismos como trauma directo o percusión por el sustentaculum tali en la supinación y la dorsiflexión(15).
En ambos casos, pueden presentarse en luxaciones subastragalinas, asociarse a fracturas osteocondrales(16) o cursar clínicamente como un síndrome del túnel tarsiano en el caso de la apófisis medial(17). El diagnóstico debe basarse en clínica de dolor y tumefacción tras traumatismo agudo.
Osteocondromas y lesiones pseudotumorales
Aunque los osteocondromas son tumores benignos frecuentes, su localización en el astrágalo es rara. Se ha documentado algún caso de osteocondroma de la parte posterior del astrágalo como causa de dolor por pinzamiento y compresión (impingement)(18,19), y tendrían riesgo de rotura a través del pedículo.
La condromatosis sinovial es rara en el tobillo; se caracteriza por metaplasia cartilaginosa en la membrana sinovial que puede osificarse y puede presentar un cuadro clínico y radiológico similar a los descritos anteriormente(20).
Síndrome de Trevor (displasia epifisaria hemimélica)
Se conoce con este nombre a una forma especial de condrodistrofia congénita que afecta a las epífisis y huesos cortos en un solo radio de una extremidad.
Esta primera descripción corresponde a Mouchet y Belot, que la definen como tarsomegalia(21). Trevor, en 1950, la define como una alteración congénita del crecimiento del tarso y de la epífisis, basándose en una serie de 7 casos y le da el nombre de aclasia tarsoepifisaria(22). Fairbank, en 1956, se basa en su distribución epifisaria en un solo lado y le da el nombre más racional de displasia epifisaria hemimélica; los huesos más afectados son la epífisis femoral inferior y sobre todo el astrágalo, casi siempre en su parte medial(23).

Se caracteriza por un sobrecrecimiento epifisario en alguna zona de este hueso que forma una tumoración que crece hasta que se alcanza la madurez esquelética, sobre los 12 años.

Es una entidad rara de etiología desconocida que afectaría a 1 de cada millón de personas, es 3 veces más frecuente en el varón y presenta el aspecto clínico e histológico de un osteocondroma que asienta en la epífisis en vez de la zona metafisaria del hueso en crecimiento(24,25)(Figuras 4 y 5).
Radiológicamente, se caracteriza clásicamente por(23):
- Crecimiento óseo no uniforme.
- Centros de osificación desconectados de la epífisis.
La displasia epifisaria hemimélica puede tener 3 formas de presentación(26):
- Grupo 1: localizada en una sola epífisis (caso del astrágalo).
- Grupo 2: clásica con afectación de más de una epífisis en el mismo miembro.
- Grupo 3: generalizada, con afectación de todo el miembro inferior.
Aunque suele diagnosticarse antes de los 8 años de edad, puede tener un carácter asintomático y no ser detectada en la infancia, si bien suele producir dolor, alteraciones de los ejes o dismetría de los miembros. Aunque no se han descrito casos de degeneración maligna, en su evolución tardía puede sufrir fracturas, trastornos mecánicos en la articulación afectada y en el caso del astrágalo una artropatía degenerativa de tarso y tobillo(27).
Discusión
Los cuadros clínicos dolorosos originados en la cámara posterior del tobillo (Tabla 1) son conocidos de diversas formas: síndromes de pinzamiento o atrapamiento posterior (impingement), síndromes de la cola del astrágalo(28) y aquellos con presencia de masas óseas suelen englobarse dentro de la denominación de os trigonum, aunque existe gran variedad de formas anatomopatológicas que pueden presentarse y evolucionar hacia graves artropatías de tobillo y tarso posterior.

No deben confundirse estos cuadros con las tendinopatías insercionales del Aquiles, la tendinitis o luxación intravaina de los tendones peroneos, la enfermedad de Haglund, lesiones osteocondrales y especialmente con los llamados síndromes extraarticulares de pinzamiento lateral del retropié que pueden ocurrir por pie plano valgo severo, presencia de una faceta articular accesoria del astrágalo o la combinación de ambas(29).
Un músculo sóleo accesorio puede presentarse hasta en un 5% de la población y, aunque no produce propiamente una situación de atrapamiento, puede producir una clínica dolorosa muy similar con el ejercicio físico(30).
En sus formas clásicas de presentación, el síndrome de pinzamiento (impingement) posterior del tobillo se manifiesta por dolor crónico y tumefacción variable en la parte posterior del tobillo; puede aparecer en la población general(31), aunque es mucho más frecuente en pacientes jóvenes que practican actividades o deportes o que requieren flexión plantar máxima, como el ballet, fútbol y carrera en pendiente cuesta abajo; de hecho, la danza clásica supone un riesgo elevado y su práctica se encuentra hasta en un 61% de los operados por síndromes de pinzamiento posterior(32,33).
En los casos que asocian os trigonum, la resección de este parece ofrecer buenos resultados en cuanto al dolor y al regreso a la práctica deportiva si va seguida de rehabilitación específica y unas pautas de entrenamiento que consigan la completa normalización funcional(34).
El flexor hallucis longus es la estructura más comprometida en su trayecto por la corredera situada entre ambas tuberosidades posteriores. Variantes musculares anatómicas como una implantación baja de su vientre muscular, presencia de peroneus quartus, flexor accessorius digitorum longus, peroneus calcaneus internus, tibiocalcaneus internus o hipertrofia de las partes blandas pueden ser causas de dolor. En estas patologías el tratamiento artroscópico ofrece excelentes resultados(31,35,36,37), incluso en presencia de os trigonum(38).
La resección aislada del os trigonum en adolescentes, por el contrario, no ofrece los mismos buenos resultados, registrándose persistencia de dolor a largo plazo en muchos casos, y debe plantearse con reservas(39).
Resulta difícil diagnosticar una fractura de Shepherd sin la evidencia de un astrágalo con tubérculo posterolateral de Stieda preexistente, de un os trigonum que se hace sintomático tras un traumatismo agudo o microtraumatismos como los que se producen en la danza clásica(40). Según algunos autores, hasta un 40% de estas fracturas pueden quedar sin diagnosticar en su presentación inicial en la radiología simple(41).
El concepto de fractura descrita por Shepherd en 1882 fue rebatido por otro anatomista el mismo año de su publicación, definiéndola como la consecuencia de un núcleo de osificación secundario del astrágalo y no como producto de un traumatismo(42).
Para diferenciar una fractura de un os trigonum se recurrirá no solo a radiología convencional anteroposterior lateral y de la mortaja, sino a proyecciones oblicuas y de Broden, y preferentemente a la TC(43).
El síndrome de Trevor o displasia epifisaria hemimélica es acaso la forma más característica de alteración del desarrollo del astrágalo. Toda la bibliografía coincide en su rareza, al describir casos aislados casi siempre en edad infantil(44,45) y algunos con afectación generalizada de las epífisis de una mitad del cuerpo(46,47), cifran en 150 los casos comunicados hasta 2018 y se replantean este dato por la confusión diagnóstica que puede darse, ya que, en el caso del astrágalo, la apariencia radiológica puede ser muy variable(48) o incluso cuestionable al ser bilateral, como el caso de una mujer adulta de 42 años con pie plano doloroso publicado por Dávila y Llanos en nuestra revista(49).

En adultos (Figuras 6 y 7), se cita como causa de pinzamiento doloroso en la cámara posterior del tobillo(50), aunque también como causa de impingement anterior(51), o confundirse con un osteocondroma a pesar de sus diferencias histológicas. Mientras el osteocondroma reproduce una arquitectura similar a la de la placa de crecimiento, la displasia epifisaria hemimélica muestra en su cubierta cartilaginosa áreas con acúmulos de condrocitos y pequeñas áreas de cartílago calcificado no reabsorbido(52). Por otra parte, la presencia de osteocondromas en la parte posterior del astrágalo es muy rara. En una serie de 7 casos en los que se produjo rotura a través del pedículo en relación con ejercicio físico, Carpintero et al. no señalan ninguna en esta localización(53).

El talus bipartitus probablemente sea la alteración congénita del astrágalo más parecida al síndrome de Trevor. Es muy poco frecuente, registrándose en la bibliografía como casos aislados(54) o series muy cortas (4 o 5 casos), casi siempre en personas jóvenes, en las que no se pueden encontrar referencias a posible bilateralidad(55).
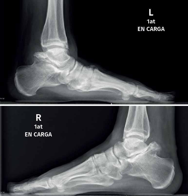
Algunos autores lo han relacionado también con una infección neonatal(56). El aspecto radiológico puede aparentar una fractura y así relacionarse con microtraumatismos repetidos en la infancia o inestabilidad(57), aunque su principal característica es la articulación del fragmento posterior con el calcáneo , llegando a formar una prolongación en consola (Figura 8).

En su evolución suele presentar dolor, grados variables de afectación articular y edema óseo visible en los estudios por RM(10) que lleva a plantear tratamientos quirúrgicos en la serie de 4 casos de Rammelt et al.(58).
El tratamiento del dolor producido por un talus bipartitus, síndrome de Trevor o un os trigonum de gran tamaño no está sistematizado, al registrarse casos esporádicos y series muy cortas. Desde tratamiento conservador a resección artroscópica o abierta de fragmentos, hasta la artrodesis subastragalina en muchos casos por la inestabilidad creada(58,59).
Mann y Myerson realizan resección abierta del fragmento posterior del talus bipartitus en 5 casos de pacientes jóvenes sin resultados concluyentes y persistencia del dolor en 2 de ellos(60).
En el síndrome de Trevor detectado en niños y adolescentes se recomienda tratamiento quirúrgico con resección de masas óseas(24) incluso realizando doble abordaje artroscópico(61) y un seguimiento minucioso hasta la maduración esquelética, que debe prolongarse en la edad adulta.
En nuestra experiencia, la resección simple de grandes fragmentos de diferente origen (os trigonum, talus bipartitus, Trevor…) no ha dado buenos resultados en adultos, al no modificar las condiciones patológicas generadas en el tarso posterior: artrosis y colapso de la articulación subastragalina, y choque tibioastragalino anterior, empeorando algunas veces el dolor previo a la cirugía.
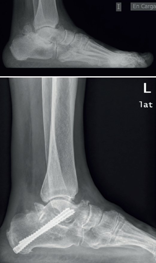
Hemos planteado en algunos de estos casos la artrodesis subastragalina por vía posterior, utilizando el propio osículo como autoinjerto (Figura 9), junto con artroscopia de tobillo por vía anterior sin resultados concluyentes por el momento y que precisan ser analizados a más largo plazo.

La práctica totalidad de las alteraciones morfológicas de la zona apofisaria posterior del astrágalo, en mayor o menor medida, van a ensombrecer a la larga el futuro de la articulación subastragalina y en muchos casos también el del tobillo.
El os trigonum clásico o un tubérculo de Stieda sintomáticos pueden beneficiarse de un tratamiento quirúrgico precoz y poco invasivo como el desbridamiento artroscópico o la resección simple, lo que no ocurrirá en general con el talus bipartitus o las repercusiones del síndrome de Trevor.
En cualquier caso y especialmente en estos últimos, un correcto diagnóstico diferencial permitirá establecer un pronóstico y un plan de información y seguimiento, la historia natural del proceso, el momento idóneo para un tratamiento quirúrgico ajustado a la necesidad y la edad del paciente, y atenuar unas consecuencias patológicas que con gran probabilidad van a producirse.
Conclusión
La frecuente presencia de alteraciones óseas comunes como el os trigonum o tubérculo posterolateral prominente (Stieda) es casi siempre un factor determinante en la aparición o el agravamiento de los síntomas dolorosos englobados dentro de los llamados síndromes de pinzamiento posterior del tobillo.
En aquellos casos con masa ósea considerable, como consecuencia de os trigonum gigante, talus bipartitus o síndrome de Trevor, se produce a lo largo del tiempo una listesis posterior de esta, con la consiguiente basculación del cuerpo del astrágalo, produciendo en el adulto artrosis subastragalina posterior y choque tibioastragalino anterior con formación de osteofitos y limitación dolorosa de la movilidad.
Es imprescindible un diagnóstico etiológico y diferencial del proceso causal, con valoración de todas las estructuras anatómicas afectadas alrededor del tarso, a la hora de plantear un tratamiento quirúrgico integral que hasta el momento no consideramos resuelto.