Introducción
La osteotomía sobre el primer metatarsiano (M1) para el tratamiento del hallux valgus (HV) es uno de los procedimientos más comunes en la cirugía del pie. Como cualquier cirugía, no está exenta de complicaciones, como la infección, la no unión, la necrosis avascular de la cabeza, la recurrencia de HV y la aparición de una metatarsalgia de transferencia, entre muchas otras(1).
El término metatarsalgia de transferencia se refiere a la aparición de dolor en un radio diferente en el que se ha actuado(2). La metatarsalgia puede deberse a múltiples causas pero, en la gran mayoría de los casos, el origen es un trastorno biomecánico(3). Dentro de las posibles causas de metatarsalgia de transferencia están el acortamiento del M1, la elevación de la cabeza del metatarsiano, la hipocorrección del HV o la existencia de gemelos cortos.
El acortamiento del M1 puede ser necesario y aconsejable para la corrección del HV, a diferencia de su elevación que, en muchos casos, se produce de forma iatrogénica en el transcurso de la cirugía o durante el postoperatorio. No obstante, en algunas publicaciones se considera que puede existir una asociación entre el acortamiento del M1 y la aparición de metatarsalgia tras la realización de la osteotomía del M1(4).
La visualización de la posición del sesamoideo tibial es una herramienta útil durante la cirugía para valorar un resultado satisfactorio de esta, ya que la correcta reducción de los sesamoideos en la cirugía del HV es un factor clave para evitar las recurrencias de la deformidad(5,6). No está descrita en la literatura asociación entre la posición de los sesamoideos y la aparición de metatarsalgia.
Material y métodos
Diseño del estudio
Se ha llevado a cabo un estudio retrospectivo de todos los pacientes intervenidos de cirugía del HV. La revisión incluye todos los pacientes intervenidos en nuestro centro entre 2018 y 2021.
Criterios de inclusión
1) Pacientes mayores de edad; 2) diagnóstico de HV que no ha respondido al tratamiento conservador; 3) ausencia de metatarsalgia; 4) osteotomía sobre el primer radio; 5) evaluación radiológica correcta pre- y posquirúrgica (radiografía en carga anteroposterior y de perfil); y 6) mínimo de 12 meses de seguimiento.
Variables recogidas
Se recogen los siguientes datos: a) datos demográficos; b) comorbilidades (fumador, vasculopatía, consumo de alcohol, diabetes, hipertensión); c) hallazgos del examen físico; d) parámetros radiográficos en radiografías en carga pre- y poscirugía: ángulo HV (AHV), ángulo intermetatarsiano (AIM), acortamiento relativo de M1, elevación de la cabeza de M1, posición de los sesamoideos; e) osteotomía sobre el primer radio (M1): de tipo scarf o Maestro, osteotomía sobre la primera falange (F1) de tipo Akin; f) complicaciones: infección, necrosis avascular de la cabeza de M1, fractura de estrés, recurrencia de HV, metatarsalgia de transferencia; y g) metatarsalgia de transferencia: fecha de inicio y tratamiento.

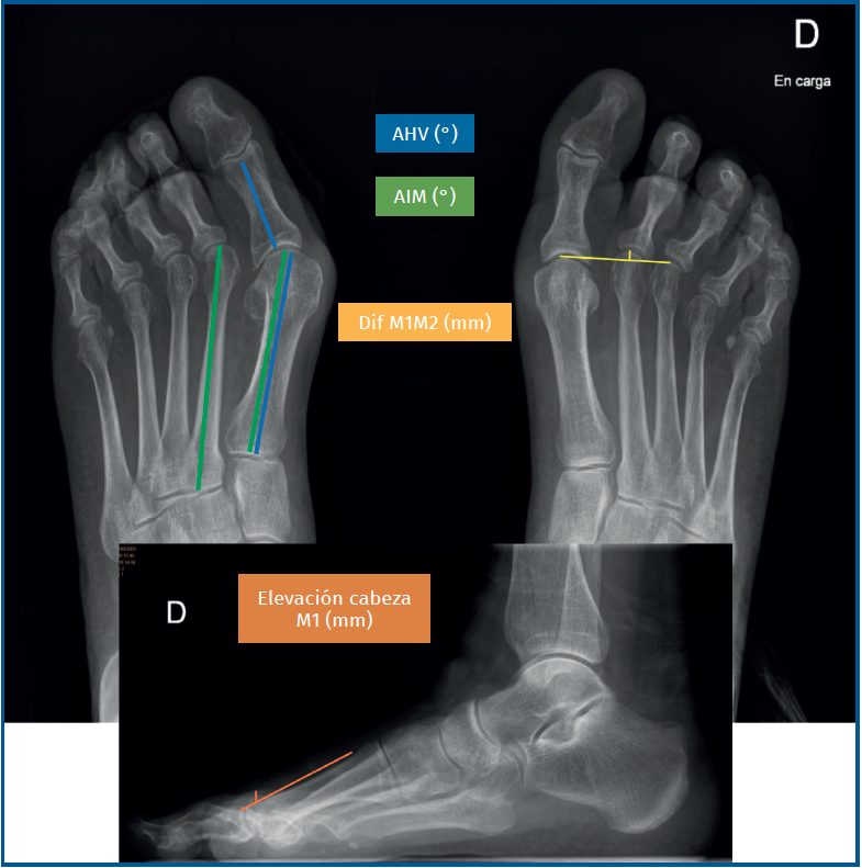
Descripción de las medidas radiológicas (Figura 1)
- AHV: definido como el ángulo entre el eje del M1 y la F1.
- AIM: definido como el ángulo entre los ejes de los metatarsianos; se mide en este estudio el ángulo entre el primer y el segundo metatarsianos (M1-M2).
- Acortamiento relativo de M1: se mide según el método descrito por Coughlin. Consiste en el trazo de una línea que va del centro de la cabeza de M1 a la cabeza de M3; se mide la distancia desde el centro de la cabeza de M2 hasta esta línea de referencia(7).
- Elevación de la cabeza de M1: se mide en la radiografía de perfil en carga. Consiste en el trazo de una línea siguiendo la cortical dorsal del M1 y otra línea perpendicular al plano del suelo y que pasa por el punto más alto de la cabeza metatarsiana. Se mide la distancia desde el punto más alto de la cabeza y el punto de cruce de las 2 líneas. La diferencia de esta distancia entre el pre- y el postoperatorio se considera la elevación de la cabeza(4).
- Posición de los sesamoideos: se clasifica la posición del sesamoideo tibial según la clasificación de Hardy y Clapham, del 1 al 7 en función de su relación con el eje longitudinal del M1 (Figura 2)(5).

Análisis estadístico
Se realizó un análisis descriptivo de la muestra formada por los pacientes que cumplían los criterios de inclusión. Se calcularon las frecuencias absolutas y relativas de las variables cualitativas: comorbilidades, lateralidad, dolor en bunion y técnica quirúrgica. Se realizó un análisis de Chi cuadrado para las variables nominales entre los grupos con y sin metatarsalgia tras la cirugía. Respecto a los datos cuantitativos, se calculó la media de las siguientes variables: ángulo HV pre- y posquirúrgico, AIM pre- y posquirúrgico, diferencia de longitud entre el M1 y el M2 pre- y posquirúrgica, elevación del M1 pre- y posquirúrgica, clasificación del sesamoideo tibial pre- y posquirúrgico.
Para la realización del análisis estadístico se clasificaron los 131 pacientes que cumplían los criterios de inclusión en 2 grupos, definidos por la presencia o ausencia de metatarsalgia, y se compararon las medias de la diferencia pre- y posquirúrgica entre la longitud del M1 respecto al M2, la elevación de la cabeza y la reducción del sesamoideo tibial. Dado el no cumplimiento de normalidad de los datos de ambos grupos, medido mediante la prueba de Kolmogorov-Smirnov –grupo con metatarsalgia: 0,120 (p < 0,01); grupo sin metatarsalgia: 0,207 (p = 0,04)–, se ha realizado una comparación de medianas entre grupos independientes (metatarsalgia presente o ausente) mediante la prueba U de Mann-Whitney para muestras independientes.
Se analizó la distribución del resto de las variables cuantitativas entre los grupos con y sin metatarsalgia mediante las pruebas de T de Student para muestras independientes y U de Mann-Whitney según las variables cumpliesen el supuesto de normalidad en su distribución o no, respectivamente, medido mediante la prueba de Kolmogorov-Smirnov.
Resultados
En este estudio retrospectivo se han recogido datos de 454 pacientes intervenidos de cirugía del HV. Se seleccionaron 131 pacientes que cumplían los criterios de inclusión.
De los 131 pacientes estudiados, 119 eran mujeres y 12 varones, con las comorbilidades que se muestran en la Tabla 1. Se recogieron 73 (55,7%) intervenciones sobre el pie derecho y 58 (44,3%) sobre el pie izquierdo. El 92,4% de los pacientes estudiados presentaban dolor en el bunion previo a la cirugía. La cirugía más empleada en nuestra serie es la osteotomía de scarf asociada a osteotomía de Akin en el 95,23% y, en segundo lugar, la osteotomía de Maestro (5 pacientes).

Resultados radiológicos (Tabla 2)
La media del AHV y el AIM prequirúrgica fue de 30,84 y 12,66°, respectivamente, siendo la media posquirúrgica de 13,11 y 6,81°, mostrando una corrección de la deformidad.

La diferencia entre la longitud de M1 y M2 medida por el método de Coughlin presenta una longitud media prequirúrgica de 4,34 mm y posquirúrgica de 5,66 mm, lo que significa un acortamiento total del primer radio de 1,32 mm.
La elevación de la cabeza de M1 prequirúrgica arrojó una media de 5,13 mm y la posquirúrgica de 5,12 mm, es decir, una diferencia de 0,01 mm, que traduce que no existe una elevación de la cabeza de M1.
Los datos recogidos sobre la posición de los sesamoideos muestran que el 90% de los pacientes presentan una posición igual o superior a 4 prequirúrgica y un 85% igual o inferior a 4, traduciendo una reducción satisfactoria de la posición de los sesamoideos.
Metatarsalgia
Un 13,7% (n = 18) de los pacientes presentaron metatarsalgia de transferencia a los 9,2 meses de media tras la cirugía. En el 84,2% de los casos de metatarsalgia de transferencia el tratamiento fue conservador, siendo el uso de plantillas el más frecuente; en el resto de los casos se realizaron osteotomías sobre los metatarsianos laterales (osteotomías de Weil y osteotomías percutáneas) (Tabla 3).

Se formaron 2 grupos definidos por la presencia o ausencia de metatarsalgia y se compararon las medias de la diferencia pre- y posquirúrgica entre la longitud de M1 y M2, y la elevación de la cabeza. Según el análisis estadístico descrito previamente, no existen diferencias entre los grupos que presentan metatarsalgia y los que no en relación con el acortamiento del M1 y tampoco respecto a la elevación de la cabeza. Si además comparamos la deformidad con el AIM inicial y lo separamos entre metatarsalgia sí y no, vemos que mayores deformidades acortan más y que esto se da con mayor frecuencia en el grupo de metatarsalgia (Figura 3).

También analizamos si existe asociación entre los pacientes que presentan metatarsalgia y aquellos que presentan un posicionamiento en la escala de Hardy y Clapham igual o mayor a 4 postoperatorio, mostrándose una asociación no significativa.
Sin tener significación estadística, cabe destacar que 4 de los 5 pacientes a quienes se practicó osteotomía de Maestro presentaron metatarsalgia de transferencia, con un acortamiento de M1 de 2,81 mm de media.
Discusión
La metatarsalgia de transferencia es una de las causas más frecuentes de insatisfacción tras la cirugía de reconstrucción del HV. Las tasas de aparición de metatarsalgia de transferencia varían mucho en la literatura dependiendo del tipo de osteotomía realizada, desde un 2,7 a un 18%(8,9,10), encontrándose la ratio de nuestro estudio dentro de los márgenes (13,7%).
Los principales factores desencadenantes de la metatarsalgia de transferencia se pueden clasificar por causas anatómicas o sistémicas(11). En el caso de las anatómicas, el mecanismo por el que se origina la metatarsalgia de transferencia se cree que es debido a una sobrecarga de los radios laterales tras un acortamiento, una elevación iatrogénica del primer radio o una columna medial inestable; ante un acortamiento se originará una sobrecarga sobre el tercer rocker, mientras que una elevación causará sobrecarga durante el segundo rocker(2,3,12,13,14). Como en la serie publicada por Gaviria et al.(4), el presente estudio no ha evidenciado una asociación significativa entre el acortamiento o la elevación del primer radio y la aparición de metatarsalgia(4). Diferentes estudios indican que efectuar un acortamiento del primer radio mayor de 3-4 mm podría originar una hiperpresión en los radios laterales, algo que no ocurrió en nuestro caso, ya que nuestra media de acortamiento es inferior a 4 mm, siendo de 1,26 en el grupo scarf y de 2,81 en el grupo Maestro. No obstante, existe bibliografía que muestra discrepancias; el estudio dinámico de Geng et al.(15), donde se compararon 30 pacientes operados con clínica de metatarsalgia de transferencia con controles postoperatorios sin dolor, señala que sí existe una alteración de la carga en el primer radio, pero no un aumento de la carga total en los radios laterales segundo y tercero, sino una alteración de la distribución del pico de carga a lo largo de las diferentes fases de la pisada, siendo la carga total la misma(15).
Aun no siendo significativo, sí se ha observado que 4 de los 5 pacientes sometidos a osteotomías de Maestro presentan metatarsalgia de transferencia; dicha técnica, al igual que otras osteotomías como la de Wilson o Mitchell, han demostrado presentar una reducción de la longitud del M1(16,17), recomendándose evitar este tipo de procedimientos en pacientes con un M1 corto en relación con el segundo radio(10). Hay que informar al paciente sobre la posibilidad de aparición de metatarsalgia tras la cirugía, la cual puede resolverse con plantillas u osteotomías de los metatarsianos laterales si no ocurre así.
Uno de los factores predictivos más importantes en la cirugía del HV es la correcta reducción de los sesamoideos, ya que una infracorrección puede ser motivo de fallo mecánico del primer radio, aumentando el riesgo de recurrencia o de aparición de metatarsalgia de transferencia. Nuestros resultados describen una correcta reducción postoperatoria de los sesamoideos con una media de 3 en la escala de Hardy y Clapham, quienes establecen en su artículo original el rango de normoposición de los sesamoideos entre 1 y 4(18). Nuestro estudio no ha demostrado una asociación significativa entre los pacientes que presentan metatarsalgia y aquellos que presentan un posicionamiento en la escala de Hardy y Clapham igual o mayor de 4 postoperatorio. Sí que observamos que una mayor subluxación postoperatoria de los sesamoideos se correlaciona con un AIM mayor (Figura 4). En ningún caso se observó una sobrecorrección del sesamoideo medial, factor que podría propiciar la aparición de un hallux varus.

El tratamiento inicial de la metatarsalgia debe ser inicialmente conservador, ya sea mediante el uso de analgesia, modificaciones en el calzado, plantillas o ejercicios de estiramiento, entre otros, siendo, en la mayoría de los casos, efectivo(2). Nuestra serie avala el tratamiento conservador, ya que únicamente un 10,5% (2 de 18 pacientes con metatarsalgia de transferencia) de los pacientes precisaron tratamiento quirúrgico. En cuanto a este, debe estar dirigido a la causa desencadenante; se ha de realizar un correcto plan preoperatorio con el objetivo de respetar el morfotipo descrito por Maestro y, en el caso de presentar una fórmula metatarsiana incorrecta, se optará por cirugía en los radios laterales buscando restaurar la parábola ideal.
Conclusiones
La metatarsalgia de transferencia es una complicación de la cirugía del HV que hay que tener presente. En nuestro estudio no se encontró una relación significativa con el acortamiento o la elevación del M1 y la aparición de metatarsalgia.
Los pacientes tratados con osteotomía de Maestro aislada presentan un mayor índice de metatarsalgia, pero la muestra es muy pequeña para poder obtener resultados significativos. La correcta reducción de los sesamoideos es un factor clave en el buen resultado de la cirugía, pero su hipocorrección no está asociada con la aparición de metatarsalgia.