Introducción
La deformidad de hallux valgus se caracteriza por la desviación lateral del primer dedo y medial del primer metatarsiano, acompañada de una subluxación progresiva de la primera articulación metatarsofalángica(1). Supone una de las consultas más frecuentes en nuestra práctica clínica diaria, presentándose con una prevalencia de hasta el 23% en pacientes menores de 65 años y ascendiendo hasta un 36% en pacientes mayores de esta edad(2). Precisa intervención quirúrgica para su corrección en un alto porcentaje de los casos, existiendo más de un centenar de técnicas descritas para su tratamiento(3).
La incidencia de complicaciones asociadas al tratamiento quirúrgico de esta deformidad varía entre un 10 y un 55% de los casos según las series publicadas(4), siendo las más frecuentemente descritas la hipocorrección, la recurrencia, la hipercorrección (hallux varus posquirúrgico), la metatarsalgia de transferencia, la pseudoartrosis, una consolidación viciosa, la necrosis avascular, la artrosis, molestias por el material de osteosíntesis, una lesión nerviosa y la insatisfacción del paciente(5). Es importante, por tanto, conocerlas, entender por qué ocurren y cómo manejarlas.
El objetivo de nuestra revisión es determinar la incidencia de complicaciones precoces aparecidas durante el primer año tras la corrección quirúrgica del hallux valgus, su repercusión y la necesidad de tratamiento de estas.
Material y método
Se presenta un estudio observacional, descriptivo y retrospectivo sobre una muestra de pacientes intervenidos de hallux valgus durante el año 2021, tomando como criterios de inclusión aquellos casos a los que se les practicó la corrección de dicha deformidad exclusivamente, tratados por cirujanos integrantes de la Unidad de Pie y Tobillo de nuestro centro durante el periodo mencionado. Se han excluido por tanto del estudio aquellos pacientes a los que se les realizó algún otro gesto quirúrgico en el pie y aquellos que fueron intervenidos por otros cirujanos del Servicio de Cirugía Ortopédica y Traumatología no pertenecientes a la Unidad de Pie y Tobillo.
Se registraron un total de 167 cirugías de hallux valgus llevadas a cabo durante el año 2021. En 91 casos la corrección del hallux valgus se asoció a otros gestos quirúrgicos en los radios laterales, por lo que únicamente 76 casos cumplían el criterio de presentar cirugía del primer radio aislada, siendo incluidos en el estudio.
Se han analizado variables epidemiológicas, clínicas, la corrección de los ángulos de hallux valgus (AHV) e intermetatarsiano (AIM), el tiempo de seguimiento y las complicaciones desarrolladas durante el primer año tras la cirugía.
Se ha cuantificado la variación de los AIM y AHV pre- y postoperatoriamente. Dicha medición se ha realizado por 3 observadores sobre la radiografía dorsoplantar en carga preoperatoria y a las 10 semanas postoperatorias, registrando la media de los 3 valores obtenidos. Se han considerado patológicos los valores superiores a 9° para el AIM y a 15° en el caso del AHV. Para el análisis estadístico se ha utilizado IBM SPSS Statistics (versión 26), usando el test estadístico t de Student para datos apareados para comparar los mediciones anteriores y posteriores a la cirugía, previa comprobación de la distribución normal de la media de estas. Se ha establecido la significación estadística en p < 0,05.
Resultados
Nuestra muestra presenta una distribución por sexos con claro predominio femenino (89,47%), con una edad media de 57,07 años (rango: 21-78; desviación estándar –DE–: 13), siendo la extremidad inferior izquierda la afectada en 39 de los casos (51,32%).
En 57 pacientes (75%) se utilizó una técnica de osteotomía diafisaria de tipo Scarf y en el resto una osteotomía distal de tipo Chevron, asociadas a osteotomía de Akin en la falange proximal en el 100% de los casos. El seguimiento presencial posquirúrgico en consulta fue de 3,3 meses de media (rango: 1-13; DE: 2,05), considerando el tiempo desde la cirugía hasta la última visita presencial en consultas en la que se considera que existe una restitución funcional completa, no agendando visitas presenciales posteriores, pero manteniéndose la posibilidad de una visita a demanda del paciente si apareciesen contratiempos durante el primer año tras la intervención.
Se observó un AIM y un AHV prequirúrgicos medios de 13,07° (rango: 4,43-22,54; DE: 3,35) y 30,38° (10,33-46,79; DE: 7,84), respectivamente, pasando a ser tras la cirugía de 5,47° (0,18-12,52; DE: 2,55) para el AIM y 7,47° (−8-22,28; DE: 6,4) para el AHV.
La corrección posquirúrgica obtenida fue por tanto de 7,6° de media (DE: 2,39; p < 0,00001) para el AIM y de 22,91° (DE: 5,96; p < 0,00001) para el AHV (Tabla 1).

Durante el periodo de observación de un año determinado en el diseño de nuestro estudio, se registraron incidencias en 28 de los pacientes (36,84%), detalladas a continuación por orden de frecuencia: 11 casos (14,47%) presentaron hipocorrección de la deformidad, 7 casos (9,21%) aparición de metatarsalgia, 6 casos (7,89%) de hipercorrección radiológica, 3 pacientes (3,95%) desarrollaron molestias articulares en el primer radio, 2 casos (2,63%) de dolor postoperatorio precoz no controlado, 1 caso (1,32%) de retraso de la consolidación de la osteotomía de Akin y 1 caso (1,32%) de protrusión del tornillo de osteosíntesis metatarsiana.

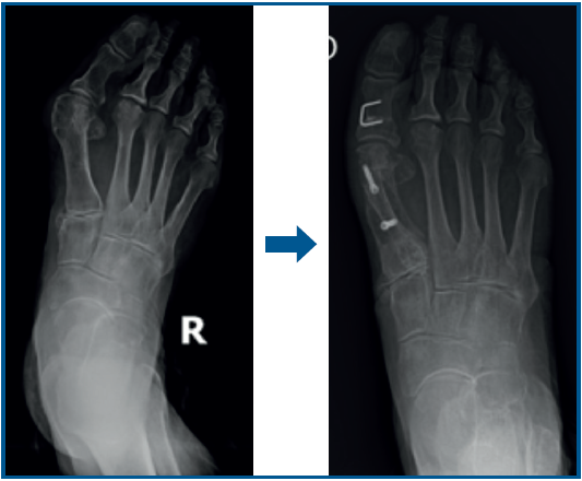
El caso que presento la protrusión del material de osteosíntesis precisó de una segunda intervención quirúrgica para la retirada de este y uno de los casos de dolor postoperatorio no controlado requirió ingreso hospitalario durante 24 horas para el control de los síntomas.

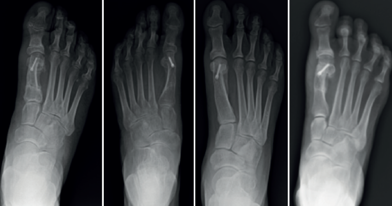
En los 11 casos de hipocorrección de la deformidad, el AHV posterior a la cirugía fue de 18,86° de media (DE: 2,16), partiendo de un AHV considerado severo (> 40) en 8 de los casos y moderado (20-40) en 3 de ellos (Figura 1). En el caso de las hipercorrecciones observadas, la media de AHV tras la cirugía fue de −2,6° (DE: −3,25) (Figura 2). Tanto los casos descritos de hipocorrección como los de hipercorrección no tuvieron repercusión clínica en los pacientes en los que se presentaron, por lo que no fueron necesarios mayores actos terapéuticos posteriores.

Todos los casos de metatarsalgia y de dolor articular en el primer radio se resolvieron de forma espontánea o con el uso de ortesis plantares (Tabla 2).
Discusión
En las múltiples series publicadas en la literatura se recogen tasas de aparición de complicaciones en relación con la cirugía del hallux valgus que oscilan entre un 10 y un 55% de los casos(3,4).
Con la realización de esta revisión retrospectiva hemos querido cuantificar y detallar aquellas complicaciones que aparecen de forma precoz (durante el primer año) asociadas a la cirugía aislada de hallux valgus. Como se ha descrito anteriormente, 28 de los 76 pacientes intervenidos han desarrollado algún tipo de incidencia durante dicho periodo, requiriendo intervención quirúrgica tan solo en uno de los casos e ingreso por dolor mal controlado en otro. Las molestias debidas al material de osteosíntesis son poco frecuentes, siendo una complicación raramente descrita en las series publicadas(6,7,8).
Observamos que muchos de los casos en los que se obtuvo una hipocorrección radiológica del hallux valgus presentaban un metatarso aducto previo. Aunque existe controversia en la literatura acerca de la relación entre ambas deformidades, hay estudios radiológicos que las relacionan, mostrando una prevalencia de hasta un 55% de metatarso aducto en adultos con hallux valgus en algunas series(9). Galeote et al.(10) analizan los resultados tras la corrección del hallux valgus en pacientes adultos con metatarso aducto, obteniendo los mejores resultados estéticos y en cuanto a la corrección angular tras la realización de una osteotomía diafisaria de Scarf y una osteotomía de Akin.
Lenz et al.(1) analizan las complicaciones tempranas aparecidas en 118 pacientes tras la cirugía aislada de hallux valgus mediante osteotomía de Scarf, hallando una tasa de complicaciones muy baja. Presentaron complicaciones 12 pacientes (10,2%), requiriendo intervención quirúrgica la mitad de ellos, lo que supondría un 5,1% de la muestra. Aquellos pacientes que requirieron intervención quirúrgica fueron casos de infección profunda, metatarsalgia con repercusión clínica, molestias del material de osteosíntesis, fractura del primer metatarsiano y recurrencia de la deformidad. Si bien el porcentaje de aparición de complicaciones que registran es inferior al de nuestra serie, la necesidad de una segunda intervención es más elevada.
En un metaanálisis reciente llevado a cabo por Sieloff et al.(11), estudian la incidencia de complicaciones asociadas a la corrección del hallux valgus mediante osteotomía de Scarf, analizando los resultados de 25 publicaciones al respecto, con un total de 1.583 casos incluidos en el análisis, tratándose del trabajo con el mayor tamaño muestral encontrado en la literatura actualmente. Obtuvieron como resultado un 5,7% de síndrome de dolor regional complejo, un 5,1% de recurrencia de la deformidad, un 3,5% de elevación de la cabeza metatarsiana (throughing), un 3,4% de hallux varus, un 2,7% de malunión, un 2,4% de infección, un 1,8% de no unión y un 1% de necrosis avascular. No hallaron diferencias significativas en cuanto a la realización de la osteotomía de Scarf de forma aislada o acompañada de algún otro procedimiento.
En la revisión llevada a cabo por Monteagudo et al.(3), argumentan que errores tanto en la indicación como en la ejecución de la técnica quirúrgica dan lugar a complicaciones y proponen distintas herramientas para su identificación y correcto tratamiento. Son varios los estudios que coinciden en que la causa más común de hipocorrección de la deformidad es la ejecución incorrecta de la técnica quirúrgica, no consiguiendo la corrección del AIM y la restitución de la cabeza metatarsal sobre los huesos sesamoideos(12,13).
Tanto los datos obtenidos en nuestra serie como lo encontrado en la literatura nos llevan a pensar que las técnicas empleadas para la corrección de la deformidad, ya sea la osteotomía distal de Chevron o la diafisaria de Scarf según el grado de deformidad, asociada a la osteotomía varizante de Akin, son técnicas seguras siempre y cuando la indicación y la realización de estas sea correcta.
Conclusión
Las osteotomías diafisarias o distales, de tipo Scarf y Chevron, asociadas a la osteotomía varizante de Akin, han demostrado ser técnicas fiables y que reportan buenos resultados en el tratamiento del hallux valgus, presentando una baja tasa de complicaciones precoces que, en el caso de nuestra serie, solo han requerido tratamiento quirúrgico en uno de los casos.
Además, lo observado en nuestro estudio se corresponde con lo descrito en la literatura reciente, siendo las complicaciones más frecuentes la hipocorrección de la deformidad, la metatarsalgia de transferencia o la presencia de hallux varus posquirúrgico, sin repercusión clínica ni necesidad de cirugía secundaria en la serie descrita en este estudio.