Introducción
La luxación postraumática metatarsofalángica es una lesión poco frecuente(1). Suele producirse en el contexto de accidentes con vehículos, seguidos de caídas de altura y lesiones deportivas(2).
La primera articulación metatarsofalángica es la más frecuentemente afectada, siendo más común la luxación aislada de esta. La luxación del resto de las articulaciones metatarsofalángicas es más infrecuente y suele afectar a varias articulaciones a la vez(3).
El mecanismo lesional más habitual es una hiperextensión de los dedos implicados asociada a una presión en dirección plantar-dorsal sobre la falange proximal de estos(4).
Caso clínico
Se presenta el caso de un paciente de 26 años, sin antecedentes médicos de interés, remitido a urgencias por dolor en el pie y en la muñeca izquierdos, tras una caída de altura desde un primer piso.
En la exploración física del pie, se apreció una tumefacción y deformidad patológica de la tercera a la quinta articulaciones metatarsofalángicas, así como un acortamiento relativo de los dedos tercero a quinto. El paciente refería dolor selectivo a la palpación sobre dichas articulaciones. El dolor en el antepié le impedía la carga de la extremidad inferior izquierda y la deambulación.

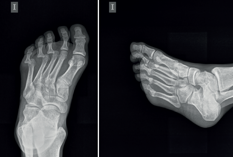
En el estudio radiográfico del pie se observó una luxación dorsolateral de la tercera a la quinta articulaciones metatarsofalángicas sin fracturas asociadas (Figura 1).
Resultados
Se realizó reducción cerrada inmediata de las luxaciones con anestesia troncular por vía dorsal con mepivacaína en el segundo, el tercer y el cuarto espacios intermetatarsianos distales. La maniobra realizada fue tracción, medialización y presión en dirección dorsal-plantar de la falange proximal de cada uno de los dedos, desde el tercero hasta el quinto. Posteriormente, se comprobó clínicamente la estabilidad satisfactoria de las articulaciones metatarsofalángicas implicadas. Se procedió a una inmovilización con férula posterior suropédica con extensión hasta los dedos. Por último, se verificó mediante radiografía en proyecciones dorsoplantar y oblicua la correcta reducción de las articulaciones metatarsofalángicas, sin lesiones óseas asociadas ni aumento del espacio articular metatarsofalángico por interposición de tejidos blandos (Figura 2). La inmovilización enyesada y la descarga de la extremidad inferior izquierda se mantuvieron durante 3 semanas, iniciándose a continuación la carga.

El paciente fue derivado para su seguimiento a su hospital de referencia. A los 2 meses de evolución, fue contactado telefónicamente y refería signos inflamatorios tras la deambulación prolongada en el dorso de las articulaciones metatarsofalángicas afectadas, así como rigidez de estas. A los 13 meses de evolución, se volvió a contactar con el paciente. Este refería no presentar ninguna sintomatología en el pie afecto, incluso con actividad física intensa, y una movilidad de las articulaciones metatarsofalángicas simétrica a la del pie contralateral.
Discusión
Las articulaciones metatarsofalángicas tienen un papel biomecánico predominante en la fase final de apoyo(5) y en el despegue del pie del suelo o fase propulsiva.
La estabilidad de estas articulaciones depende fundamentalmente de la placa plantar (estructura fibrosa plantar potente entre la cabeza del metatarsiano y la falange proximal), de los ligamentos colaterales metatarsofalángicos medial y lateral y, en menor proporción, de los tendones flexores y extensores de los dedos(5,6).
Si la energía del traumatismo en flexión plantar y posición neutra del pie es suficientemente importante, la hiperextensión de los dedos puede desencadenar una luxación metatarsofalángica dorsal. Cuando a este mecanismo se añade una supinación del antepié, la lesión resultante puede ser una luxación dorsolateral de una o varias articulaciones metatarsofalángicas. La intensidad de la energía del mecanismo lesional y la posición del pie en el momento del traumatismo serían los factores probablemente más importantes en cuanto al número de articulaciones afectas.
Independientemente de las características de la luxación metatarsofalángica, generalmente la reducción cerrada suele ser efectiva. La maniobra de reducción consiste en tracción axial y presión sobre la articulación en la dirección opuesta a la luxación(6,7). Sin embargo, en los casos en los que la luxación es irreductible de forma cerrada, debemos sospechar que existe una interposición articular de la placa plantar(5). En este caso, existe consenso en la literatura sobre la indicación de reducción abierta mediante abordaje dorsal de la articulación metatarsofalángica lesionada para la liberación de las partes blandas(6).
Tanto en los casos de luxaciones postraumáticas metatarsofalángicas dorsales reductibles como en las irreductibles de forma cerrada, debemos suponer que exista una lesión de la placa plantar asociada. La cicatrización de la placa plantar podría condicionar un acortamiento de sus fibras que justificaría la posterior rigidez con afectación de la adecuada extensión de las articulaciones lesionadas. A su vez, a medio plazo, esta disminución de la movilidad de las articulaciones metatarsofalángicas conllevaría una alteración de la fase propulsiva de la marcha, pudiendo causar a lo largo del tiempo otras patologías como las metatarsalgias. A diferencia de los casos de luxaciones postraumáticas metatarsofalángicas agudas, en las inestabilidades crónicas de estas articulaciones, suele producirse una pérdida de la movilidad en extensión con deformidad asociada en garra de los dedos afectados(8).
En nuestro caso, siendo las articulaciones metatarsofalángicas estables tras la reducción, una inmovilización menos prolongada y con ejercicios desde el inicio de flexión plantar con flexión dorsal protegida probablemente hubiesen contribuido a reducir la rigidez articular de los primeros meses. Al no poder realizar el seguimiento, por tener el paciente otro hospital de referencia, no pudimos intervenir en la planificación de la movilización de las articulaciones lesionadas, una vez retirada la inmovilización inicial.
Por ello, nos parece relevante insistir en la movilización precoz de las articulaciones metatarsofalángicas, con ejercicios pautados de flexoextensión plantar de dichas articulaciones, para mejorar edemas y prevenir rigideces articulares.
Analizada la bibliografía nacional e internacional, no hemos encontrado publicaciones relacionadas con luxaciones postraumáticas asociadas de la tercera a la quinta articulaciones metatarsofalángicas, sin ninguna otra lesión ósea asociada(3). Aunque en el caso clínico presentado no existieron lesiones asociadas en el mismo pie ni en el contralateral, es frecuente encontrar otras lesiones asociadas con las luxaciones metatarsofalángicas(3), como fracturas de los metatarsianos, fractura-luxación de Lisfranc o lesiones del tarso. La intensidad de la energía del mecanismo lesional y la posición del pie en el momento de la lesión podrían ser los factores fundamentales que definieran las características espaciales de la luxación metatarsofalángica.
Conclusiones
Las luxaciones postraumáticas de la segunda a la quinta articulaciones metatarsofalángicas sin otras lesiones óseas asociadas son infrecuentes.
Las características de estas lesiones dependen fundamentalmente de la energía del traumatismo y del mecanismo lesional.
La reducción cerrada de urgencias suele ser efectiva. En los casos en los que se interpone la placa plantar en la articulación afectada, las luxaciones son irreductibles de forma cerrada y requieren un abordaje quirúrgico.
Es recomendable una movilización precoz de las articulaciones metatarsofalángicas lesionadas para evitar rigideces articulares.