Introducción
La luxación traumática de los tendones peroneos es una lesión relativamente poco frecuente que pasa desapercibida en muchas ocasiones en el momento agudo, siendo diagnosticada de forma errónea como un esguince de tobillo, lo que lleva a un retraso en su diagnóstico y tratamiento(1,2). La ausencia de diagnóstico o el diagnóstico tardío pueden llevar a una lesión crónica, causando dolor y limitación funcional importante. Su causa más frecuente es la lesión del retináculo peroneo superior (RPS), el cual mantiene a los tendones peroneos en su canal retromaleolar. El tratamiento se puede orientar en función de la cronicidad de la lesión y del tipo de paciente, atleta o no atleta(1,3). En el caso de la luxación aguda en no atletas, puede contemplarse el tratamiento conservador, aunque el riesgo de fracaso y luxación recurrente es de aproximadamente un 50%(1). No obstante, en estos casos cabe intentar el tratamiento conservador, dado que el pronóstico de un tratamiento quirúrgico secundario no va a empeorar y las opciones quirúrgicas disponibles no van a cambiar. En luxaciones agudas en atletas y en todas las crónicas sintomáticas el tratamiento es siempre quirúrgico(3).
Para el tratamiento quirúrgico se han descrito varias técnicas, las cuales podemos englobar en 4 grupos(1,2). En primer lugar, tenemos las técnicas centradas en el RPS, que consisten en la reparación directa o reconstrucción del retináculo. En segundo lugar, se han diseñado técnicas de bloque óseo que actúan sobre el maléolo peroneo mediante la realización de un bloque óseo con osteotomías y su desplazamiento hacia posterior para actuar como pared posterolateral del canal y evitar la luxación de los tendones. Otra técnica descrita consiste en la profundización del surco retromaleolar de los peroneos, la cual debe considerarse en pacientes con anomalías estructurales del surco retromaleolar y suele realizarse en combinación con alguna de las técnicas anteriores. Por último, existen también las técnicas de transposición de los tendones peroneos, las cuales son menos utilizadas.
El objetivo de este artículo es presentar un caso de luxación traumática crónica de tendones peroneos tratado mediante labrado del túnel asociado a técnica de bloque óseo con muy buena evolución y realizar una revisión de la literatura.
Presentación del caso
Presentamos el caso de un paciente varón de 60 años que acude al Servicio de Urgencias con dolor e impotencia funcional del tobillo derecho tras torcedura, revelando la exploración dolor a la palpación del maléolo peroneo con tumefacción y limitación funcional. La radiografía de urgencias fue informada como normal sin lesiones óseas agudas y el paciente fue dado de alta a domicilio con el diagnóstico de esguince de tobillo, inmovilizado con férula suropédica durante 2 semanas e iniciando posteriormente rehabilitación.
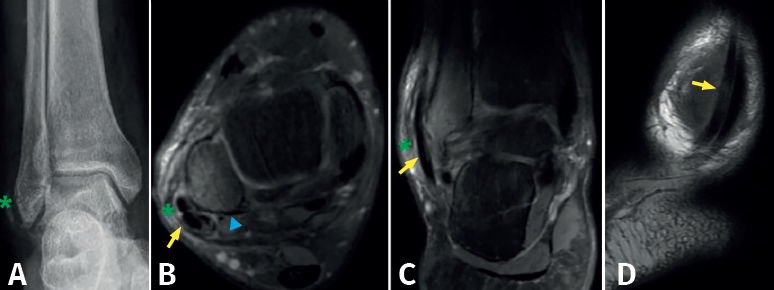
Tras 7 meses de evolución, el paciente es derivado por el Servicio de Rehabilitación por primera vez a consultas externas de traumatología, por persistencia del dolor, limitación funcional y mala evolución del “esguince”. Precisa de 2 muletas, limitación completa de la flexoextensión y eversión del pie. Revisando la radiografía inicial del tobillo derecho (Figura 1A) realizada en urgencias, se observa una fractura-arrancamiento de la cortical externa del maléolo peroneo (fleck sign o signo de la mancha, que indica lesión del RPS). La resonancia magnética (RM) del tobillo derecho, solicitada por el Servicio de Rehabilitación, informa de “avulsión de cortical externa, edema óseo, sinovitis y tendinitis de tendones peroneos”, pero revisando las imágenes de la RM (Figuras 1B a 1D) en nuestra consulta, se observa luxación evidente de los tendones peroneos.

Llegando al diagnóstico de luxación traumática crónica de los tendones peroneos, se indicó cirugía basada en la técnica de bloque óseo. Con el paciente bajo raquianestesia e isquemia preventiva en el miembro inferior derecho y en decúbito lateral izquierdo, realizamos abordaje lateral de Kocher sobre el maléolo peroneo derecho. Como hallazgo principal apreciamos adherencia completa de los tendones al foco de fractura, procediéndose a la resección de la fibrosis y el curetaje óseo de los lechos, tanto la cara externa del peroné como la cara interna del fragmento avulsionado. A continuación, se efectuó labrado y profundización del canal retromaleolar utilizando fresas de alta velocidad. Tras comprobar la escasa estabilidad de los tendones, se talló un bloque óseo trapezoidal basado en la técnica modificada de Du Vries(4), con desplazamiento del bloque óseo hacia posterior para actuar como límite lateral del canal de los tendones peroneos, sintetizándose la osteotomía con un tornillo de esponjosa de 14 mm. Se comprobó la buena movilidad del tobillo y la estabilidad de los tendones con los movimientos de flexoextensión e inversión-eversión del tobillo, y se finalizó con la síntesis del fragmento de cortical externa del maléolo peroneo con otro tornillo de esponjosa de 14 mm (Figuras 2A a 2D). Tras un control de escopia intraoperatorio correcto, se procede a: cierre por planos, piel con agrafes, apósito estéril, vendaje e inmovilización con férula suropédica.

La férula fue retirada a los 6 días en las consultas externas, indicando al paciente ejercicios suaves de flexoextensión e inversión del tobillo en descarga. A las 6 semanas, tras recuperar prácticamente la movilidad completa del tobillo con dolor escaso, inició la carga parcial progresiva con muletas. A los 3,5 meses de evolución, se realiza tomografía computarizada (TC) donde se evidencia una correcta consolidación de la osteotomía y profundización del canal retromaleolar (Figuras 2E y 2F). A los 5 meses de evolución, se confirman mediante ecografía la posición y el deslizamiento correctos de los tendones peroneos.
Resultados
Tras 17 meses de evolución posquirúrgica, el paciente continúa estando asintomático y realizando una vida normal. La valoración del estado clínico del paciente se realizó mediante la escala de tobillo y retropié de la American Orthopaedic Foot and Ankle Society (AOFAS)(5), presentando una mejoría de 50 puntos (de 38 prequirúrgicos a 88 posquirúrgicos).
Discusión
Ante un paciente que acude al Servicio de Urgencias con impotencia funcional tras torcedura del tobillo, tumefacción en la cara lateral y dolor a la palpación del maléolo peroneo, sobre todo en la zona lateral y posterior, donde se inserta el RPS en el peroné, debemos sospechar una lesión o avulsión de dicho retináculo(6) y prestar atención en la radiografía a la posible presencia del fleck sign(7,8). La sospecha será mayor en un paciente que acuda a las consultas con clínica similar a la descrita y evolución tórpida tras un diagnóstico previo de esguince de tobillo. Es muy importante realizar un diagnóstico correcto de esta lesión, ya que el tratamiento quirúrgico, independientemente de la técnica empleada, ha demostrado tener resultados satisfactorios(2).
Atendiendo a la morfología del surco retromaleolar de los peroneos, Edwards(9) describe 3 variaciones, pudiendo ser cóncavo (82%), plano (11%) y convexo (7%), siendo los tipos plano y convexo factores predisponentes para la luxación de los tendones peroneos(7). Además, el reborde fibrocartilaginoso puede estar ausente en un 30% de los pacientes.
Por otro lado, atendiendo al tipo de lesión del RPS, según la clasificación de Eckert y Davis(10) encontramos que, en el grado I (51%) existe una desinserción del RPS del borde posterolateral del maléolo peroneo, pero permanece anclado distalmente en la cara lateral del peroné, encontrándose los tendones luxados entre el peroné y el periostio. En el grado II (33%), el reborde fibrocartilaginoso se desgarra junto con el RPS y los tendones peroneos luxados se encuentran entre el peroné y el reborde fibrocartilaginoso. En el grado III (16%), existe una avulsión ósea de la cortical lateral del peroné y los tendones luxados se encuentran entre el maléolo peroneo y el fragmento de cortical avulsionado. Posteriormente, Oden(11) añadió un grado IV, en el que existe una avulsión del RPS de su inserción posterior en el calcáneo(8,12).
Según el consenso internacional de la European Society of Sports Traumatology, Knee Surgery and Arthroscopy (ESSKA)-Ankle and Foot Associates (AFAS) publicado en 2018(3), para el tratamiento quirúrgico de la luxación crónica de los tendones peroneos, la primera indicación sería realizar una reparación del RPS con profundización del canal retromaleolar (artroscópica o abierta). Las técnicas de bloque óseo han quedado relegadas a un segundo plano debido a las mayores complicaciones descritas en algunas series(2), la mayoría relacionadas con la osteotomía y la osteosíntesis.
Al realizar la revisión bibliográfica de la literatura (Tabla 1), observamos que la edad de las series oscila entre 13 y 57 años, con la mayoría de los pacientes atletas o con alta demanda funcional y un seguimiento mínimo de 6 meses. Las puntuaciones medias tras el tratamiento quirúrgico en la escala de la AOFAS de tobillo y retropié oscilan entre 88,1 y 92,9 con las técnicas de bloque óseo(13,14), entre 91,3 y 95 con las técnicas de reparación del RPS(14,15), entre 93 y 97 con las técnicas de reparación del RPS combinadas con la profundización del surco retromaleolar(15,16,17) y entre 90 y 100 con las técnicas de transposición de los tendones peroneos(18,19). Las complicaciones son mayores con las técnicas de bloque óseo, entre un 8,33 y un 30,77%(13,14), la mayoría relacionadas con la osteotomía y la osteosíntesis, y con las técnicas de transposición de tendones peroneos, entre un 16,66 y un 58,82%(18,19), la mayoría relacionadas con lesión nerviosa o dolor neuropático. Por otro lado, las complicaciones en las series de reparación del RPS oscilan entre un 0 y un 12,5%(14,15,20,21,22) y en las que asocian además profundización del surco retromaleolar oscilan entre un 0 y un 16,66%(15,23,24).

La revisión sistemática y metaanálisis sobre inestabilidad crónica de los tendones peroneos de Lootsma et al. de 2022(2) informa que el tratamiento quirúrgico tiene excelentes resultados clínicos y funcionales tanto en atletas como en no atletas con inestabilidad crónica de los tendones peroneos. Se describe que las técnicas de bloque óseo, al igual que las técnicas de transposición de los peroneos, tienen más resultados insatisfactorios y mayor porcentaje de complicaciones, pero existe una limitación en este análisis, ya que hay mucha diferencia en la calidad de la evidencia de los estudios, con menores puntuaciones en relación con la calidad de los artículos tanto de bloque óseo como de transposición de peroneos.
Deng et al.(14) presentan una serie de casos retrospectiva comparativa entre la técnica de reparación del RPS y la técnica de bloque óseo, obteniendo porcentajes elevados de satisfacción (bueno o excelente) con el tratamiento en ambos grupos (91,7% en el grupo de bloque óseo y 90% en el grupo de reparación del RPS) y no encontrando diferencias estadísticamente significativas en las complicaciones y los resultados clínicos medidos con la escala de la AOFAS entre ambos grupos. En este artículo, el tiempo de vuelta a la actividad deportiva fue significativamente menor para la técnica de reparación del RPS (5 meses en reparación RPS y 6 meses en bloque óseo), aunque no hubo diferencias estadísticamente significativas en el porcentaje de vuelta a la actividad deportiva al final del seguimiento.
En la revisión sistemática de van Dijk et al.(25) se incluyen estudios sobre las 4 técnicas descritas, pero finalmente los autores de esta revisión excluyeron del análisis estadístico los artículos sobre bloque óseo y sobre transposición de peroneos por la limitada calidad de la evidencia. En esta revisión, se concluye que el tratamiento quirúrgico de las lesiones del RPS proporciona una mejoría en la escala de la AOFAS posquirúrgica y mayores porcentajes de satisfacción. Además, se obtiene que el porcentaje de vuelta a la actividad deportiva es mayor, de forma estadísticamente significativa, cuando se combinan las técnicas de profundización del surco con las de reparación del RPS que cuando se realiza la técnica de reparación del RPS de forma aislada.
Nuestro paciente presentaba un surco convexo (Figura 1B) y una luxación de los tendones peroneos de grado III de Eckert y Davis crónica, con avulsión ósea del RPS en el maléolo. Ante estos hallazgos, con un fragmento avulsionado de cortical lateral del maléolo peroneo en pseudoartrosis, decidimos, además de profundizar el surco retromaleolar y reparar el RPS mediante la reinserción del fragmento cortical avulsionado, realizar una técnica de bloque óseo con el objetivo de aportar mayor estabilidad a los tendones peroneos. Se trata de un caso de luxación crónica de los tendones peroneos tratado con técnica de bloque óseo que aporta un resultado clínico satisfactorio y sin complicaciones.
La técnica de reparación del RPS es una técnica que restaura la anatomía normal y permite una vuelta a la actividad deportiva más rápida, por lo que podría ser más interesante en pacientes atletas o con alta demanda funcional. Sin embargo, una técnica de bloque óseo bien realizada aporta resultados satisfactorios sin diferencias estadísticamente significativas con otras técnicas respecto a la funcionalidad en la escala de la AOFAS de tobillo y retropié, y debe ser mantenida como otra buena técnica quirúrgica ante un caso de luxación crónica de los tendones peroneos.
Conclusiones
Debemos sospechar la luxación de los tendones peroneos e incluirla en el diagnóstico diferencial en los casos agudos tras traumatismo con inversión de tobillo que presenten dolor y tumefacción en la cara lateral y observar con detenimiento la radiografía anteroposterior para detectar la posible presencia de una irregularidad en la cortical lateral del peroné a la altura del RPS. En los casos crónicos hemos de tenerlo en cuenta en pacientes con historia de torcedura de tobillo de evolución tórpida, ya que el tratamiento quirúrgico tiene resultados satisfactorios, independientemente de la técnica empleada.
La técnica del bloque óseo es un procedimiento efectivo que consigue unos buenos resultados para el tratamiento de la luxación crónica de los tendones peroneos, especialmente en surcos planos o convexos en los que, además de profundizar el surco, se precise aumentar los límites posterolaterales del canal para incrementar la estabilidad de los tendones peroneos, ya que en casos crónicos puede no existir tejido sano del retináculo para su reparación.