Introducción
La metatarsalgia mecánica es una patología con una prevalencia en torno al 10% de la población adulta(1). Cuando fracasa el tratamiento conservador, la cirugía permite modificar la longitud y/o la altura de las cabezas metatarsales para disminuir la presión de los radios afectos y mejorar la distribución de la carga entre ellos. Durante los últimos años, la cirugía percutánea y, más concretamente, las osteotomías distales metatarsales mínimamente invasivas (DMMO) se han postulado como una opción quirúrgica válida, con resultados equiparables a la osteotomía de Weil o sus modificaciones(2,3,4,5,6,7,8,9,10).
La principal limitación de la técnica DMMO es la necesidad de utilizar fluoroscopia intraoperatoria, con la consiguiente exposición del paciente y el personal sanitario a radiaciones ionizantes. Son bien conocidos los efectos perniciosos de la radiación sobre la salud. Aunque se han estimado las dosis de radiación recibidas por el cirujano según el procedimiento realizado(11), es difícil predecir la dosis exacta debido a la gran cantidad de variables de las que depende: el tiempo de exposición, la distancia, la orientación del haz fluoroscópico en relación con el paciente, la densidad del tejido, la posición del cirujano dentro del campo operatorio, el uso de protecciones plomadas, el diseño de la unidad, etc.(12). Sí hay consenso en que las manos de los cirujanos ortopédicos son el área corporal más expuesta(13,14). Esto es especialmente preocupante en el caso de la cirugía percutánea del pie, donde es preciso la colocación del instrumental simultáneamente al estudio radiológico, lo que impide alejar las manos del campo quirúrgico radiado. El uso de un miniarco en lugar de un arco estándar no debe alterar la vigilancia del cirujano con respecto a la seguridad radiológica. Incluso reduciendo la dosis que recibe el cirujano, algunos artículos han cuestionado la seguridad inicial que se atribuyó a los miniarcos, demostrando exposiciones en las manos del cirujano hasta 187 veces mayores que las predichas por el fabricante(13). Parece sensato considerar que la única dosis de radiación segura es aquella que no se recibe y, por lo tanto, deben ser bienvenidos los métodos alternativos a la radiología convencional si se demuestra su seguridad y eficacia.
La actual difusión de la ecografía en la patología del aparato locomotor ha impulsado el desarrollo de nuevas técnicas quirúrgicas y, recientemente, se ha descrito una modificación de la DMMO convencional que permite la sustitución del control radiológico por el control ecográfico(15). La fiabilidad de la ecografía para ser usada como guía en las osteotomías percutáneas depende de su capacidad para visualizar correctamente el punto de osteotomía y las estructuras anatómicas adyacentes para evitar su lesión durante el procedimiento. Existen dudas sobre la capacidad del personal sin formación en radiodiagnóstico para la identificación de las estructuras del campo quirúrgico, por lo que desarrollamos un estudio para analizar la visualización ecográfica de estas y su concordancia inter- e intraobservador.
Material y métodos
Desarrollamos un estudio analítico y transversal de concordancia inter- e intraobservador entre un cirujano ortopédico (AMA) y un radiólogo con experiencia en ecografía musculoesquelética. El Comité de Ética de Investigación Médica local ha otorgado la aprobación para este estudio.
Se incluyeron en el estudio 20 voluntarios sanos entre 18 y 65 años, con algún tipo de relación académica o laboral con el Servicio de Traumatología de nuestro centro, excluyendo aquellos que presentaban antecedentes de intervención quirúrgica o patología conocida del antepié. En cada uno de ellos se realizó la exploración ecográfica de manera bilateral, de la segunda a la quinta articulación metatarsofalángica (MTF).
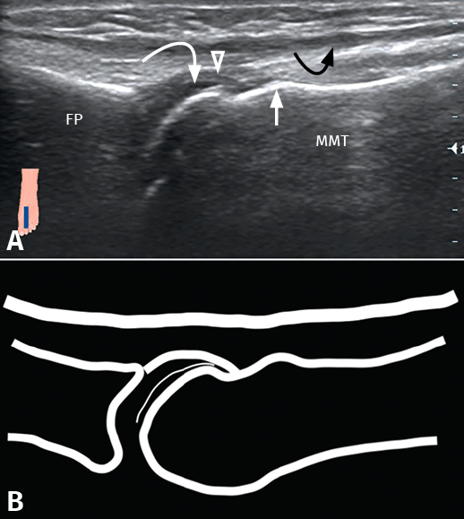
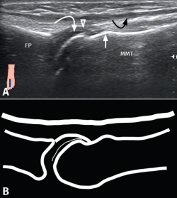
Figura 1. Estudio ecográfico en plano longitudinal. A: imagen ecográfica; B: representación esquemática. FP: falange proximal; MTT: metatarsiano; flecha blanca: giba dorsal; flecha blanca curva: cartílago articular; cabeza flecha blanca: cápsula articular; flecha negra curva: tendón extensor.

Las variables sobre las que se analizó la concordancia ecográfica son las estructuras anatómicas del campo quirúrgico. Entre ellas, definimos estructuras propiamente óseas como: a) la articulación MTF; b) la base de la falange proximal; y c) la giba dorsal, un relieve característico en el dorso de la metáfisis metatarsal, también visible mediante radiología convencional y que se encuentra inmediatamente proximal a la inserción capsular en el cuello metatarsal. Entre las estructuras no óseas, definimos: a) los tendones extensores; b) la cápsula articular dorsal; c) el cartílago articular de la cabeza metatarsal; y d) el paquete vasculonervioso. Incluimos, asimismo, una medida arbitraria: la distancia entre la interlínea articular y el área dorsal desnuda, o punto de inserción de la cápsula articular en el dorso del cuello metatarsal.
Figura 2. Medición de la distancia articulación metatarsofalángica-área dorsal desnuda. A: imagen ecográfica; B: representación esquemática. En rojo el relieve del área dorsal desnuda y la giba dorsal. En azul la interlínea articular y la distancia medida.

Para la identificación de las variables se utilizó un ecógrafo M-Turbo® Ultrasound System, con un transductor plano lineal HFL50x® (Sonosite, Fujifilm, Tokio, Japón), con un rango de frecuencia de 6-15 MHz. Con el paciente en decúbito supino, se colocó el tobillo en flexión plantar y la articulación MTF en posición de flexoextensión media. Se inició el estudio en el plano longitudinal, con el transductor paralelo al eje metatarsiano y se registró la visualización o la ausencia de visualización de cada una de las variables previamente descritas (Figuras 1 y 2), excepto la identificación del paquete vasculonervioso, que fue llevada a cabo mediante ecografía Doppler en el plano transversal. Cada una de las imágenes en las que el cirujano es capaz de identificar las estructuras se guardaron en un archivo de imágenes que posteriormente fue analizada por el radiólogo para establecer la variabilidad interobservador. La medición de la distancia interlínea articular-área dorsal desnuda y la identificación del paquete vasculonervioso fueron llevadas a cabo por el propio radiólogo en cada uno de los voluntarios sin basarse en las imágenes estáticas tomadas por el cirujano. El cirujano repitió la misma exploración ecográfica en cada uno de los voluntarios en días no consecutivos para analizar la concordancia intraobservador.
Análisis estadístico
El análisis estadístico se realizó con el programa SPSS Statistics® versión 22.0 para Mac (IBM®, NY, EE. UU.). Los datos cuantitativos se expresan como media aritmética (± desviación estándar; rango). Los datos cualitativos dicotómicos se expresan como frecuencia y porcentaje del total que representan.
Para analizar la variabilidad inter- e intraobservador de las variables cualitativas se utilizó el índice de concordancia o porcentaje de acuerdo y el coeficiente kappa de Cohen, acompañado de su respectivo error estándar e intervalo de confianza al 95%. Se consideró el coeficiente kappa: pobre (0-0,20); débil (0,21-0,40); moderado (0,41-0,60); bueno (0,61-0,80); y excelente (> 0,81)(16).
Para comparar el porcentaje de identificación de las diferentes estructuras cualitativas según el metatarsiano estudiado se utilizó la prueba de Chi cuadrado.
Para analizar la variabilidad inter- e intraobservador de las variables cuantitativas se utilizó el coeficiente de correlación intraclase (CCI) absoluto y su respectivo intervalo de confianza al 95% mediante un modelo de efectos aleatorios. Los criterios para evaluar los valores del CCI fueron: acuerdo casi perfecto (0,81-1); acuerdo sustancial (0,61-0,8); acuerdo moderado (0,41-0,6); acuerdo regular (0,21-0,4); y acuerdo leve (0,01-0,2)(17). Se complementó el análisis con el gráfico de Bland-Altman para describir la concordancia entre ambas mediciones y posibles valores atípicos. Para medir las diferencias de concordancia entre ambas observaciones se calcularon las diferencias medias absolutas y se compararon utilizando las pruebas t-Student para muestras apareadas.
El nivel de significación se estableció en 0,05 para todos los análisis.
Resultados
Se analizaron ecográficamente 40 antepiés (20 derechos y 20 izquierdos) de 20 voluntarios sanos, 10 varones y 10 mujeres, con una edad media de 31,5 años (± 9,27; 25-57), una altura media de 1,73 m (± 0,08; 1,6-1,87) y un índice de masa corporal (IMC) medio de 23,8 kg/m2 (± 3,15; 19,38-31,22). La muestra final estaba formada por 160 articulaciones MTF.
Tabla 1. Concordancia interobservador de las variables ecográficas cualitativas

El porcentaje de visualización, el porcentaje de acuerdo entre observaciones y el coeficiente kappa inter- e intraobservador se resumen en las Tablas 1 y 2, respectivamente. Los coeficientes kappa de las variables visualizadas en el 100% de los casos no pudieron calcularse al ser la observación una constante.
Tabla 2. Concordancia intraobservador de las variables ecográficas

En cuanto a los fracasos en la visualización de las diferentes estructuras anatómicas, en el caso de la cápsula articular el 100% de los fracasos correspondieron a M5; en el caso del cartílago articular el 11% de los fracasos corresponden a M3, el 39% a M4 y el 50% a M5; en el caso de los tendones extensores, el 100% de los fracasos corresponden a M5. Se encontraron diferencias estadísticamente significativas en el número de fracasos según el metatarsiano estudiado en el caso de la cápsula articular (p = 0,004) y de los tendones extensores (p = 0,006), no así en el caso del cartílago articular (p = 0,39).
Figura 3. Gráfico de Bland-Altman que muestra las diferencias entre ambos observadores para cada una de las mediciones de la distancia interlínea articular-área dorsal desnuda, la diferencia media y los límites de concordancia a 1,96 DE.

La distancia media entre la interlínea articular y el área dorsal desnuda fue de 6,2 mm (± 0,9; 3,9-9,2). El CCI inter- e intraobservador fue de 0,95 (0,93-0,96; p < 0,001) y 0,93 (0,91-0,95; p < 0,001), respectivamente. Los gráficos de Bland-Altman se muestran en las Figuras 3 y 4. No se encontraron diferencias estadísticamente significativas entre ambas mediciones, siendo la diferencia media interobservador de 0,02 (± 0,29; −0,024-0,067; p = 0,36) e intraobservador de 0,04 (± 0,33; −0,011-0,092; p = 0,13).
Discusión
Mientras que en el ámbito musculoesquelético la ecografía está ampliamente aceptada en el diagnóstico, el seguimiento y el intervencionismo sobre las partes blandas, su papel sobre el tejido óseo es aún muy limitado, a pesar de haberse demostrado útil también en procedimientos diagnósticos y de seguimiento(18,19,20). La fiabilidad de la ecografía para ser usada como guía en métodos invasivos depende de minimizar 2 posibles fuentes de error: la adquisición de la imagen y la selección de los puntos de referencia. La adquisición óptima de imágenes requiere entrenamiento y el rechazo de imágenes de calidad subóptima, es decir, imágenes sin claridad de puntos de referencia. Con respecto a los puntos de referencia, se definieron estructuras cuya visualización se consideró necesaria para una correcta localización de la osteotomía y para evitar la lesión de las estructuras adyacentes. Para el primer propósito, consideramos necesario visualizar el campo quirúrgico (la cabeza metatarsal, la articulación MTF y su límite distal, la base de la falange proximal) y, dentro de este campo, un punto concreto y reproducible, la giba dorsal. Para evitar la lesión de estructuras adyacentes consideramos necesario visualizar los tendones extensores, el paquete vasculonervioso, el cartílago articular y la cápsula articular dorsal. La distancia interlínea articular-área dorsal desnuda carece de importancia clínica y se tomó arbitrariamente solo como medida numérica objetiva para valorar la variabilidad en las exploraciones ecográficas.
Figura 4. Gráfico de Bland-Altman que muestra las diferencias entre ambas observaciones realizadas por el cirujano para cada una de las mediciones de la distancia interlínea articular-área dorsal desnuda, la diferencia media y los límites de concordancia a 1,96 DE.

Los resultados obtenidos muestran una perfecta visualización de las referencias óseas, con visualizaciones del 100% y acuerdos inter- e intraobservador del 100%, lo que permite una correcta localización de la osteotomía. Las osteotomías percutáneas realizadas erróneamente de manera proximal se asocian a un retraso de la consolidación y pseudoartrosis(21,22). Las mismas consecuencias pueden tener osteotomías demasiado distales (sumado a ello el daño articular ocasionado) o demasiado verticales, lo que disminuye la superficie ósea de contacto y compromete la estabilidad(7). La giba dorsal es una referencia ósea constante en el cuello metatarsal e invariablemente extraarticular, por lo que la consideramos una referencia válida a la hora de localizar el punto de osteotomía.
En cuanto a la visualización de las partes blandas, aun siendo menor, también la consideramos buena. Todas las estructuras analizadas se visualizaron por encima del 97,5% de los casos, excepto la cápsula articular, que se visualizó en el 88,7% de ellos, y los coeficientes kappa fueron buenos o excelentes, excepto en la variabilidad intraobservador de los tendones extensores, donde la concordancia fue débil. Pensamos que puede deberse a la estrecha relación que existe entre la cápsula y los tendones extensores, que hace difícil su diferenciación con ecografía(23) e incluso con resonancia magnética(24), y a menudo se define indirectamente basándose en los límites de la cavidad articular. Es esperable mejorar la visualización de estas estructuras mediante el entrenamiento ecográfico. De hecho, estas estructuras eran más identificables por el radiólogo que por el cirujano: 94,4 frente a 88,7% en el caso de la cápsula articular y 98,1 frente a 97,5% en el caso de los tendones extensores.
En cuanto a la distancia interlínea articular-área dorsal desnuda, es una medida arbitraria y la consideramos más sensible a la variabilidad al tratarse de una variable cuantitativa continua. Se define, igualmente, mediante referencias óseas, lo que facilita su identificación e influye, presumiblemente, en su concordancia casi perfecta entre las observaciones. Aunque no es un parámetro clínico y, por lo tanto, no podemos considerar qué diferencia entre las mediciones es clínicamente relevante, los diagramas de Bland-Altman muestran una distribución homogénea de las diferencias a lo largo de todo el rango de valores, con diferencias medias tan pequeñas como 0,02 y 0,04 mm, y una probabilidad del 95% de encontrar cualquier diferencia entre mediciones con un intervalo de ± 0,29 y ± 0,33 mm para el análisis inter- e intraobservador, respectivamente.
Nuestros resultados coinciden con otros estudios de concordancia en la visualización ecográfica de estructuras articulares, la mayoría de ellos pertenecientes al campo de la reumatología, donde la visualización de la cortical ósea y sus afecciones presenta mayores índices de concordancia inter- e intraobservador que la visualización de las partes blandas. Szkudlarek et al.(25) estudiaron la concordancia interobservador entre un reumatólogo y un radiólogo experimentado en 150 articulaciones de los dedos de la mano y el pie en pacientes con artritis reumatoide, encontrando una concordancia exacta entre los 2 observadores en el 91% de los exámenes con respecto a las erosiones óseas y en el 86% con respecto a la sinovitis, con coeficientes kappa de 0,68 y 0,48, respectivamente. En este mismo sentido, Naredo et al.(26) publicaron una concordancia del 92% y un coeficiente interobservador kappa de 0,63 en la identificación de anomalías óseas corticales en pie y tobillo respecto a una concordancia del 88,5% y un coeficiente kappa de 0,48 en la identificación de tenosinovitis entre 23 radiólogos expertos. La principal limitación de la ecografía reside en su curva de aprendizaje, si bien la cortical ósea es fácilmente identificable gracias a su alta impedancia y sombra acústica posterior, especialmente entre cirujanos con amplios conocimientos del campo quirúrgico y familiarizados con la cirugía abierta. Conviene destacar que, en el presente estudio, el cirujano tenía una experiencia previa tan corta como 20 exploraciones ecográficas de la articulación MTF y la visualización y la concordancia inter- e intraobservador de las referencias óseas ha sido perfecta.
La sustitución del control radiológico estándar por el control ecográfico no solo disminuye la tasa de radiación recibida por el paciente y el personal del quirófano, sino que también puede aportar mayor portabilidad y ahorro económico. Hacen falta estudios que analicen la precisión en la localización de la osteotomía bajo control radiológico, pero creemos que el control ecográfico permite una mejor localización de la misma. La radiografía estándar, en última instancia, se basa en la proyección de una imagen tridimensional en un medio bidimensional y es tan sensible a las variaciones en la proyección que solo el plano que es tangencial al haz radiográfico ofrece información fidedigna sobre la localización exacta de la fresa. Si bien la ecografía también es una representación bidimensional, su dinamismo permite obtener información en un gran número de planos e integrar la información para mejorar la orientación tridimensional y no superpone elementos localizados en diferentes planos. Este hecho podría llevar asociada una mejor localización del punto de osteotomía. Sumado a lo anterior, el uso de la ecografía permite la visualización, si fuera necesario, de estructuras en riesgo no visibles en la radiología convencional, como la cápsula articular, los tendones extensores y los paquetes vasculonerviosos.
Figura 5. Distribución de los errores en la visualización ecográfica de las estructuras anatómicas.

El quinto metatarsiano puede suponer una limitación a la técnica ecoguiada, al presentar el mayor porcentaje de fracasos en la visualización de las diferentes estructuras analizadas (100% de los fracasos en la visualización del cartílago articular y los tendones extensores, y 50% de los fracasos en la visualización de la cápsula articular) (Figura 5), lo que presumiblemente dificultará la correcta realización de la osteotomía. Este metatarsiano puede abordarse de manera percutánea en el tratamiento del quinto varo(27,28), pero raramente debe ser osteotomizado en el tratamiento de la metatarsalgia(29). La dificultad en la visualización correcta de M5 puede deberse al menor tamaño de las estructuras y a su diferente orientación, ya que presenta menor inclinación y una característica curva lateroplantar(30) que hace menos intuitiva su exploración.
Como limitaciones del estudio, la evaluación ecográfica se realizó en individuos sanos sin patología del antepié. Sería preciso corroborar los resultados realizando la exploración ecográfica en pacientes con metatarsalgia. No obstante, pensamos que no existen diferencias anatómicas sustanciales entre el antepié de pacientes sanos y de pacientes con metatarsalgia que imposibiliten la identificación de las mismas variables y ya existen estudios que emplean específicamente la ecografía para el estudio de la metatarsalgia(23). Por otro lado, sabemos que cometemos un posible sesgo haciendo que la identificación de las estructuras anatómicas por parte del radiólogo se haga sobre imágenes estáticas tomadas por el cirujano (excepto la visualización del paquete vasculonervioso y la medida de la distancia interlínea articular-área dorsal desnuda), de manera que la concordancia en los fracasos puede deberse a la toma de una imagen subóptima por parte del cirujano más que a la incapacidad del radiólogo para identificar las estructuras, hecho que podría estar sobrestimando la concordancia interobservador. Se hizo de esta manera para asegurar que la estructura anatómica identificada por ambos observadores era la misma. Aun asumiendo que en todos los fracasos de visualización del cirujano el radiólogo podría visualizar las estructuras si realizara él mismo la exploración ecográfica, el porcentaje de acuerdo entre ambos observadores se mantendría alto (99,4% para el cartílago articular, 88,7% para la cápsula articular y 97,5% para los tendones extensores), con un coeficiente kappa no calculable al ser las observaciones del radiólogo una constante.
Conclusiones
La ecografía permite una correcta visualización de las referencias óseas y las partes blandas adyacentes al campo quirúrgico en las osteotomías distales metatarsales mínimamente invasivas, por lo que supone un método de imagen válido y fiable para la realización de estas, sustituyendo al control radiológico convencional.