Introducción
Las coaliciones tarsales son las uniones entre los huesos del tarso mediante puentes óseos (sinostosis), fibrosos (sindesmosis) o cartilaginosos (sincondrosis), completos o incompletos, que se producen como defecto de segmentación en el mesénquima primitivo (Figura 1). La incidencia de las coaliciones tarsales se estima menor del 1%, aunque algunos autores como Klammer(1) indican que puede llegar a un 6%. Pueden ser aisladas, unilaterales o bilaterales, o bien estar asociadas a otras malformaciones(2,3,4,5,6,7). La sinostosis calcaneoescafoidea tiene una prevalencia de alrededor del 50% y la talocalcánea del 40%(8). La distribución por sexos es equivalente.
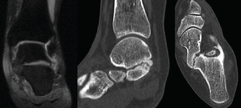
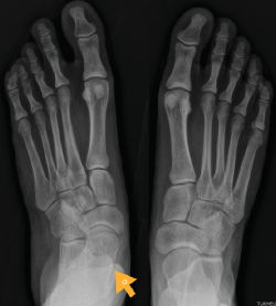
Figura 1. Segundo caso: coalición tarsal talocalcánea sinostótica bilateral. Pie derecho. Tomografía axial computarizada y radiografía.

Se trata de una de las causas más comunes del pie plano rígido doloroso en la población pediátrica(9,10,11). El dolor es el síntoma predominante(12,13,14) y de consulta, especialmente tras la actividad física. Los esguinces de repetición, desaxaciones, pies planos y contracturas de peroneos son también formas de presentación habituales (Figura 2). Llegaremos al diagnóstico de dicha patología por sospecha clínica y radiológica, y confirmación por tomografía axial computarizada (TAC) y eventualmente resonancia magnética nuclear (RMN)(15)(Figura 3).
Figura 2. Primer caso. Pie izquierdo plano valgo por coalición tarsal.

La actitud conservadora en coaliciones asintomáticas(16), sin graves desaxaciones o deformidades, es posible, aunque a medida que el pie evolucione, llevará a una mayor alteración estructural y posiblemente clínica.
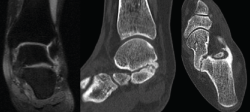
Figura 3. Confirmación de la coalición por resonancia magnética nuclear y tomografía axial computarizada.

Las técnicas de tratamiento quirúrgico abiertas más utilizadas realizan la resección de la coalición, solas(17) o asociadas a artroplastias de interposición(18,19) y tratamiento del pie plano valgo con osteotomías correctoras(20), alargamiento de la columna externa(21), artrodesis subtalar(22) o artrorrisis subastragalina(23).
Figura 4. EpiFlex®. Matriz de colágeno acelular humano.

Las técnicas endoscópicas también permiten la resección de la coalición(24,25).
Figura 5. Endoprótesis de tipo PitStop®

La técnica realizada en nuestros casos fue la resección del puente calcaneoastragalino y la interposición de matriz dérmica de colágeno humano acelular, de marca EpiFlex®(Figura 4), reducción del pie plano valgo y artrorrisis mediante endoprótesis de tipo PitStop®(Figura 5).
Objetivo
El objetivo de este trabajo es la exposición de los resultados en 2 pacientes jóvenes, de características similares, con coaliciones tarsales calcaneoastragalinas y pies planos valgos dolorosos, utilizando una técnica quirúrgica conservadora que preserva la articulación subastragalina, realiza la exéresis de la sinostosis, crea una neoarticulación mediante artroplastia de interposición y corrige la desaxación y el aplanamiento del pie, con la finalidad de tratar la causa del pie doloroso.
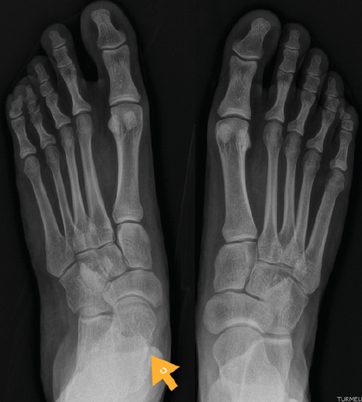
Figura 6. Radiografía del primer caso: sinostosis talocalcánea posterior del pie izquierdo.

Material y métodos
Primer caso (Figura 6)
Se trata de una paciente mujer de 27 años de edad, auxiliar sanitaria, con antecedentes de asma, depresión y psoriasis, que presenta un pie izquierdo plano valgo doloroso de 24° de valgo talar, por sinostosis calcaneoastragalina posterior. Dicha paciente presentaba una clínica de dolor en el seno del tarso y los tendones peroneos laterales. Como pruebas complementarias, se realizaron radiografías en carga de los pies y los tobillos, TAC y RMN del tobillo afecto. Se diagnostica de coalición tarsal de tipo 3 de la clasificación de Rozansky(26). Las articulaciones tibioperoneoastragalina y subtalar están preservadas clínica y radiológicamente. El balance articular es de: flexión = 45°; extensión = 15°; inversión = 5°; eversión = 0°. La escala de la American Orthopaedic Foot and Ankle Society (AOFAS) para el tobillo izquierdo presentaba un valor de 60 (20-35-5). Los ángulos radiológicos iniciales son: Moreau-Costa-Bartani interno = 143°; declinación talar = 25,8°; Meary = 9,9°; Kite = 25,5°; taloescafoideo = 54,6° (Tabla 1).
Tabla 1. Tabla de valores de la escala AOFAS y ángulos radiológicos, pre- y posquirúrgicos

Segundo caso (Figura 7)
Se trata de una paciente mujer de 18 años de edad, higienista dental, sin antecedentes patológicos de interés, que presenta pies planos valgos bilaterales dolorosos, el derecho de 23° y el izquierdo de 21° de valgo, por sinostosis calcaneoastragalina media en ambos pies. En ella observamos básicamente una clínica de dolor en el seno del tarso, con déficit de movilidad de la articulación subtalar en ambos pies. Se realiza estudio mediante radiografías de los pies y los tobillos en carga y TAC de ambos pies (afectación bilateral). Radiológicamente, las articulaciones tibioperoneoastragalina y subtalar están preservadas. Se diagnostica de coalición tarsal de tipo 4 de la clasificación de Rozansky(26). El balance articular es de: flexión = 45°; extensión = 20°; inversión = 0°; eversión = 0°. La escala de la AOFAS para el tobillo derecho presentaba una puntuación de 62 (20-37-5). Los ángulos radiológicos iniciales son: Moreau-Costa-Bartani interno = 141°; declinación talar = 18,4°; Meary = 6,3°; Kite = 25,6°; taloescafoideo = 48,3°.
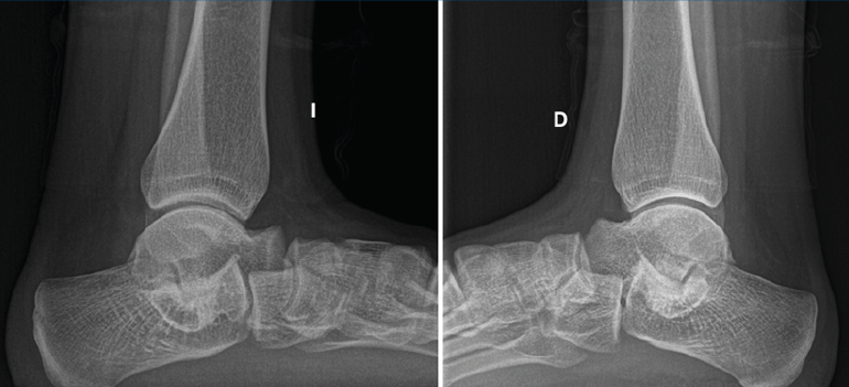
Figura 7. Radiografía del segundo caso: sinostosis talocalcánea media en ambos pies.

Técnica quirúrgica
En ambos casos, se realiza la misma técnica quirúrgica, mediante un doble abordaje.
Figura 8. A: exéresis de la barra calcaneotalar; B: delimitación de la neoarticulación; C: artroplastia de interposición con EpiFlex®.

Paciente en decúbito supino, con rotación externa o interna alternativa, en función del tiempo del abordaje. Isquemia preventiva. Profilaxis antibiótica.
- Primer tiempo (resección de la coalición y artroplastia de interposición). Abordaje interno: incisión arqueada interna desde la zona retromaleolar tibial al escafoides, sobre el sustentaculum tali. Disección por planos, hasta la coalición. Resección de la barra calcaneotalar, delimitación de la neoarticulación y realización de la artroplastia de interposición con matriz de colágeno acelular humano (EpiFlex®) (Figura 8). Cierre por planos.
- Segundo tiempo (artrorrisis). Abordaje externo: incisión externa, arqueada sobre el seno del tarso. Disección por planos. Vaciamiento y desensibilización del mismo. Maniobra de reducción del pie plano/valgo. Medición y colocación de la endortesis de contención de tipo PitStop®(Figura 9) Cierre por planos.
Figura 9. A: reducción y contención del plano/valgo; B: artrorrisis mediante endortesis PitStop®.

Posteriormente, en el propio acto quirúrgico se valora la necesidad de realizar un nuevo tiempo quirúrgico sobre el tríceps sural. En ambos casos no ha sido preciso.
El protocolo postoperatorio se inicia con ingreso hospitalario (48 h) para el control del dolor y cura antes del alta. Inmovilización con férula posterior en descarga del pie afecto, retirada de suturas a los 15 días y carga a las 3 semanas mediante ortesis de tipo Walker, hasta completar las 5 semanas.
Resultados
En ambos casos, las pacientes presentaron una buena evolución posquirúrgica, iniciando la carga a las 3 semanas. Destacan únicamente parestesias en el territorio del tibial posterior en el primer caso y hematoma importante en la cara interna en el segundo, que se resolvieron espontáneamente, en la propia evolución de las lesiones, sin precisar otro tratamiento.
Figura 10. Tras la cirugía: primer caso a la izquierda, segundo caso a la derecha. Las flechas señalan el pie intervenido.

A los 6 meses (Figura 10), la evolución es correcta, con corrección clínica y radiológica del plano/valgo y manteniendo cierta movilidad de la articulación subtalar (15°).
A los 9 meses, en ambos casos, la percepción del grado de satisfacción de las pacientes es alto.
En el primer caso (Figura 11), presenta el siguiente balance articular: flexión = 45°; extensión = 15°; inversión = 10°; eversión = 5°. Valgo talar de 10°. Refiere molestias discretas en el seno del tarso a la hiperextensión. Marcha correcta. Escala AOFAS del tobillo: 82 (30-42-10) . Los ángulos radiológicos finales son: Moreau-Costa-Bartani interno = 134°; declinación talar = 18,3°; Meary = 1,6°; Kite = 16,2°; taloescafoideo= 63,3°.
Figura 11. Radiografía del segundo caso poscirugía: corrección del pie plano y visualización de la endortesis (flecha) en el seno del tarso.

En el segundo caso (Figura 12), presenta un balance articular: flexión = 45°; extensión = 20°; inversión = 10°; eversión = 5°. Valgo del talón de 9°. La paciente refiere alguna molestia sin definir en el retropié y realiza una marcha correcta. Escala AOFAS del tobillo: 84 (30-44-10). Los ángulos radiológicos finales son: Moreau-Costa-Bartani interno = 131°; declinación talar = 13,8°; Meary = 1,1°; Kite = 15,1°; taloescafoideo = 77,4°.
Figura 12. Radiografía de perfil de ambos pies del segundo caso. Flecha en la endortesis del pie intervenido.

Discusión
En el pie plano valgo rígido doloroso de adolescentes y jóvenes cabe pensar en las coaliciones tarsales como entidad causante del problema. Una clínica de esguinces de repetición, desaxaciones en pies planos o dolor en el seno del tarso deben guiarnos hacia este diagnóstico o plantearnos su posibilidad. Tanto la clínica como la radiología, en la mayor parte de las ocasiones, solo nos darán una sospecha de esta entidad, que deberemos confirmar con TAC y/o RMN.
Los adolescentes y jóvenes que presentan una coalición tarsal, con una articulación subtalar preservada, con clínica de dolor y pie plano valgo irreductible, obtienen mejores resultados con el tratamiento quirúrgico que con el conservador(27). Asimismo, deberíamos optar en estos casos por procedimientos quirúrgicos tendentes a preservar las articulaciones sanas, evitando las artrodesis(22). En los casos que nos ocupan, debemos realizar un doble planteamiento quirúrgico: la resección de la coalición y el tratamiento del pie plano. En la resección de la coalición en adultos, obtenemos mejores resultados realizando una artroplastia de interposición, bien sea con vaina del tibial posterior(18), bien con un pedículo graso(19). La utilización de matriz dérmica de colágeno acelular en la neoarticulación permite un efecto espaciador conocido y una integración de este elemento, mediante revascularización, manteniendo el espacio articular. Para el tratamiento del pie plano valgo tenemos varias opciones, entre ellas el alargamiento de la columna externa(28). En pacientes muy jóvenes proponemos la artrorrisis de contención, como otros autores(29), que es efectiva y que permite la retirada del dispositivo en un futuro, si así se valora.
Conclusiones
En pacientes muy jóvenes con coaliciones tarsales óseas, que no presenten aún deterioro articular, la resección de la sinostosis con artroplastia de interposición de matriz de colágeno humano, junto con la reducción y contención del plano/valgo mediante artrorrisis, pueden resultar un tratamiento de elección, antes de considerar artrodesis definitivas de una o más articulaciones, puesto que conseguimos liberar la articulación prisionera, al tiempo que corregimos las deformidades, sin sacrificar articulación alguna.