Introducción
La osteotomía del calcáneo ha sido descrita en la literatura como un procedimiento exitoso en la corrección de deformidades del retropié mediante la corrección del eje de carga del pie en relación con el tobillo, con la consiguiente realineación de la tracción del tendón de Aquiles(1).
Esta técnica puede tener utilidad asociada a otros procedimientos en diferentes deformidades como pie cavo(1,2) o síndrome de Haglund(3), pero lo más frecuente es su uso en el pie plano adquirido del adulto(3,4) en el estadio II de la clasificación de Johnson y Strom(5).
En esta patología, el desplazamiento medial de la tuberosidad del calcáneo corrige el valgo del talón característico y modifica su eje de apoyo de la carga hacia una zona más próxima al eje largo de la tibia, descargando las estructuras mediales y cambiando el momento de fuerza del tendón de Aquiles, que pasa de ser eversor a favorecer la inversión del talón(4,6,7).
Tradicionalmente, la osteotomía de la tuberosidad del calcáneo ha sido un procedimiento abierto mediante abordaje lateral y realizado con sierra oscilante. A pesar de su éxito general, se han descrito complicaciones tales como lesión del nervio sural en un 7-25%, problemas de la herida en un 5-10%(8), hipocorrección e intolerancia del material(9) y, esporádicamente, lesión en estructuras vasculonerviosas mediales(4). La mayoría de estas complicaciones se han descrito para el desplazamiento medial del calcáneo, aunque podrían ser extensibles al desplazamiento lateral.
La osteotomía percutánea del calcáneo (OPC) se ha desarrollado en los últimos años bajo fluoroscopia mediante el uso de instrumental especialmente diseñado permitiendo una mínima incisión (5 mm aproximadamente) con la consiguiente ventaja de una escasa lesión de las partes blandas y problemas de la herida, y, por tanto, una menor morbilidad(10,11).
Indicaciones y contraindicaciones
Las indicaciones y contraindicaciones son las mismas que pudiera haber para el procedimiento abierto(1).
En la osteotomía de desplazamiento medial, la principal indicación es en el pie plano de grado II de la clasificación de Johnson y Strom(5). Otra indicación sería un talo valgo residual tras una artrodesis subastragalina.
La osteotomía de desplazamiento lateral podría estar indicada en un retropié varo con test de Coleman negativo, aunque en caso de precisar una gran corrección –situación en la que se suele asociar el desplazamiento con la cuña de resección lateral (Dwyer)– el abordaje percutáneo no está recomendado(1).
Las contraindicaciones son las clásicas: compromiso vascular, pobre cobertura de partes blandas en la cara externa del talón e infección. Pese a que el acceso percutáneo puede ser beneficioso en pacientes con comorbilidades (diabetes mellitus, tabaquismo), no debe ser usado como medio para ampliar las indicaciones en la cirugía(3).
Técnica quirúrgica
Preparación prequirúrgica
La OPC se realiza bajo anestesia general o regional junto con un bloqueo nervioso anestésico. Se debe tener en cuenta que este procedimiento es tan solo una parte de un conjunto de gestos quirúrgicos destinados a corregir la deformidad, fundamentalmente del pie cavo o pie plano (Figura 1).
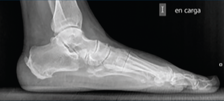
Figura 1. Radiografía en carga prequirúrgica.

No se utiliza isquemia (pero sí colocamos el manguito en el muslo), motivo por el cual realizamos el procedimiento como primer paso para la corrección de la deformidad, ya que en los siguientes gestos suele ser recomendable un campo exangüe.
La posición del paciente para esta técnica es en decúbito lateral. Una vez llevada a cabo la OPC, si asociamos otros procedimientos, realizamos isquemia con venda elástica (Esmarch) en el campo quirúrgico estéril y comenzamos por aquellas técnicas que son abordables desde la misma posición. El ejemplo más frecuente es la asociación con la osteotomía de alargamiento de columna externa de tipo Evans. Posteriormente, se completaría la corrección de la deformidad con otros procedimientos que se realizan desde el lado medial (tendoscopia de tibial posterior, reparación del ligamento en hamaca, transferencia del tendón flexor digitorum longus –FDL–, osteotomía de tipo Cotton, alargamiento gastrosóleo, etc.) mediante la colocación del paciente en decúbito supino.
Se colocan fijaciones púbica y glútea con una almohada entre las extremidades para mantener horizontal la extremidad a intervenir. Se flexiona la rodilla contralateral para que no se vean imágenes fluoroscópicas superpuestas. Se coloca el fluoroscopio a espaldas del paciente (Figura 2).
Figura 2. Posición del paciente en decúbito lateral.

Se marca sobre la piel la osteotomía propuesta utilizando el fluoroscopio; para ello, es necesaria una imagen lateral del tobillo (se debe visualizar completamente superpuesto el lado medial y lateral de la cúpula astragalina). Para evitar lesiones vasculonerviosas, se ha descrito una zona segura que comprende desde la línea que une la inserción de la fascia plantar con la zona posterosuperior de la tuberosidad del calcáneo y una línea paralela situada 11 mm anterior a la primera(12) (véanse las consideraciones de las complicaciones más adelante).
Existen 2 diseños de osteotomía percutánea posible: osteotomía recta (como la osteotomía abierta clásica) o en forma de V (chevron). La osteotomía recta es más inestable y puede favorecer el ascenso de la tuberosidad del calcáneo, algo que no suele contribuir a la corrección del pie plano. Además, un estudio en cadáver avala a la osteotomía en V una menor tasa de fallo(2). Por ello, nosotros realizamos la osteotomía en V.
Figura 3. Se realiza bajo fluoroscopia el diseño de la osteotomía y se marca sobre la piel.

Marcamos el vértice de la V en la piel dentro de la zona de seguridad, desde donde marcamos una línea plantar paralela al borde posteroinferior de la tuberosidad y una linea dorsal paralela al borde posterosuperior de la tuberosidad (Figura 3).
Osteotomía
Se realiza la incisión de piel de unos 3-5 mm en el vértice de la V con un bisturí de tipo Beaver 64 y, posteriormente, se separan las partes blandas con un mosquito y se despegan levemente del calcáneo con un periostotomo.
Figura 4. Imagen fluoroscópica de la fresa suelta introducida y su correspondencia en cirugía.

Ayudándose del mosquito para separar las partes blandas, se introduce una fresa Shannon 2 o 3 × 20 mm (FH Orthopedics, Mulhouse, Francia) en el vértice de la V. Comprobada la correcta posición de la fresa en la fluoroscopia (desconectando el motor de la fresa) (Figura 4), esta se avanza perpendicularmente al eje del calcáneo hasta atravesar la segunda cortical. Inclinando la fresa se pueden obtener diferentes desplazamientos, si bien, para conseguir un mayor desplazamiento, se recomienda avanzar perpendicularmente al eje. Si se quiere conseguir cierto efecto de descenso además de medialización de la tuberosidad se dirigiría la fresa en dirección de dorsolateral a plantomedial unos 15-30° respecto a la perpendicular del eje del calcáneo. Si lo que se quiere es obtener un efecto de elevación (beneficioso en el cavo posterior), la dirección sería la contraria, es decir, de lateroplantar a dorsomedial. Se podría obtener también acortamiento del calcáneo si la fresa se dirige de lateral distal a medial proximal, e incluso un alargamiento (de lateral proximal a medial distal), aunque esto último dificultaría el desplazamiento por la tensión de los tejidos(13).
Figura 5. Imagen fluoroscópica del trazo dorsal de la osteotomía y su correspondencia en cirugía.

La fresa se coloca en línea con el trazo de osteotomía dibujado en la piel, primero el dorsal y después el plantar (Figuras 5 y 6), y va cortando la pared lateral y el hueso esponjoso del calcáneo y progresando paulatinamente hasta alcanzar la segunda cortical y cortarla cuidadosamente. Se recomienda no superar en 6.000 rpm la velocidad de la fresa para evitar la osteonecrosis térmica. A pesar de que el procedimiento se realiza sin isquemia para que la sangre refrigere el calor de la fresa, se recomienda que el ayudante aporte suero salino para contribuir a tal efecto.
Figura 6. Imagen fluoroscópica del trazo plantar de la osteotomía y su correspondencia en cirugía.

Se comprueba si la osteotomía es completa; si es así, la tuberosidad del calcáneo podrá manipularse hacia lateral y medial. Si no se consigue mover, será necesario repasar la osteotomía con la fresa palpando y fresando las posibles zonas no osteotomizadas que queden.
Corrección
Una vez completada, se desplaza la tuberosidad del calcáneo manualmente en la dirección necesaria para la corrección de la deformidad y se introduce un periostotomo a través de la incisión en el escalón que queda tras el desplazamiento para aumentar y mantener dicho desplazamiento. En caso de pie plano valgo, el desplazamiento es medial y se introduce el periostotomo en dirección anterior en la esponjosa del cuerpo del calcáneo para aumentar la traslación (Figuras 7 y 8). En caso de pie cavo varo, el desplazamiento es lateral y se introduce el periostotomo en la esponjosa de la tuberosidad.
Figura 7. Imagen fluoroscópica de la traslación de la tuberosidad con un periostotomo (imagen anteroposterior) y su correspondencia en cirugía.

Se debe mantener la rodilla flexionada para evitar que la tensión del Aquiles nos limite el desplazamiento.
Figura 8. Imagen fluoroscópica de la traslación de la tuberosidad con un periostotomo (imagen axial) y su correspondencia en cirugía.

Osteosíntesis
Una vez comprobado el suficiente desplazamiento en la proyección axial del calcáneo, se fija la osteotomía con 2 agujas de Kirschner sobre las que se introducirán 2 tornillos canulados de un tamaño de entre 5,5 y 7 mm, y se verifica su correcta colocación en la visión lateral y axial fluoroscópica (Figura 9).
Figura 9. Imágenes fluoroscópicas de fijación de la osteotomía con agujas de Kirschner y tornillos canulados en anteroposterior y axial del calcáneo.

Se cierran las heridas con grapas y se coloca férula de yeso.
Protocolo postoperatorio
Generalmente, se realiza un control de las heridas quirúrgicas a la semana de la cirugía y se retiran las grapas a las 2 semanas.
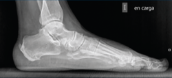
Figura 10. Radiografía en carga a los 2 meses de la cirugía.

Los procedimientos que acompañan a la OCP en la corrección de las deformidades suelen marcar el tiempo de descarga e inmovilización. Cuando la osteotomía es el único procedimiento óseo de la corrección, se autoriza una carga protegida con bota de tipo Walker e inicio de ejercicios de flexoextensión de tobillo a las 4-5 semanas, para posteriormente iniciar progresivamente la carga completa 2 semanas después (Figuras 10 y 11).
Figura 11. Detalle de la osteotomía en la tomografía computarizada a los 3 meses.

Discusión
Consideraciones sobre las complicaciones
La posibilidad de realizar una osteotomía de calcáneo a través de una pequeña incisión (Figura 12) es atractiva en la cirugía reconstructiva de pie-tobillo, pero debe lograrse sin poner en riesgo las estructuras vasculonerviosas. La variabilidad anatómica de estas estructuras dificulta, sin embargo, la seguridad del procedimiento.
Figura 12. Detalle de las incisiones utilizadas.

Nervio sural
La lesión del nervio sural es la complicación más frecuente en el abordaje abierto de la osteotomía del calcáneo(8), a pesar de que existen estudios que tratan de establecer referencias anatómicas para unos criterios de incisión seguros tanto en una técnica abierta como percutánea de osteotomía del calcáneo(14). En un estudio anatómico se constató que existe en hasta un 70% de los casos una rama calcánea lateral originada proximalmente en el nervio sural que cruza la zona de osteotomía, tanto percutánea como abierta(15). No obstante, Talusan et al.(12) publican una menor frecuencia de lesión en la OPC justificando una menor tracción de partes blandas y una menor lesión de la fresa frente a la sierra oscilante de la cirugía abierta.
Estructuras vasculonerviosas mediales
Las estructuras vasculonerviosas mediales también pueden estar en riesgo, sobre todo si el trazo de la osteotomía se realiza excesivamente anterior. Un estudio en cadáver(16) reflejó que ramas del nervio plantar lateral y ramas de la arteria tibial posterior podrían ser las que más frecuentemente cruzaran el camino de la osteotomía. Sin embargo, estas ramas parecen ser protegidas por la cabeza medial del músculo cuadrado plantar que se inserta en la cara medial del calcáneo(15), particularmente con el uso de la fresa percutánea, que está diseñada para detenerse al contacto con las partes blandas.
Existe también riesgo de lesión vasculonerviosa medial por la reducción del volumen del túnel tarsiano o la compresión por el retináculo flexor inferior, pero estas dos complicaciones infrecuentes están en relación con la traslación de la tuberosidad y no con el abordaje realizado(3).
Donde el acceso percutáneo ofrece mayor superioridad es sin duda en el manejo de las partes blandas. La mayor parte de los trabajos sobre la OPC no reportan complicaciones de la herida(2,11) o, si lo hacen, en una tasa estadísticamente inferior a la cirugía abierta(10). Esto se debe tener en cuenta para el abordaje de otros procedimientos que suelen acompañar a la osteotomía del calcáneo en la corrección de deformidades. En concreto, en el pie cavo varo no es infrecuente la reconstrucción de los ligamentos laterales del tobillo o la reconstrucción de los tendones peroneos –precisando unas incisiones próximas al sitio de osteotomía calcánea–, con la consiguiente dificultad para obtener unos puentes de piel viables en el caso de la cirugía abierta.
Consideraciones sobre la fijación
Los tornillos son el método más utilizado para fijar la osteotomía calcánea. En el desplazamiento lateral de la tuberosidad esta fijación es unánime entre los cirujanos. En el desplazamiento medial los estudios comparativos sobre métodos de fijación son más abundantes(17,18), otorgándose a la placa bloqueada una mayor rigidez –si bien la comparación es frente a un único tornillo de 7 mm– y una menor tasa de intolerancia del material(17). Es por ello que han surgido autores que realizan una fijación con placa percutánea que les permite una carga precoz y un menor coste –si se tiene en cuenta la cirugía de retirada del material(3)–.
Pese a todo, lo más habitual en la fijación de una OPC es el uso de 1 o 2 tornillos (ofrece mayor estabilidad rotacional) canulados y sin cabeza de 5,5-6,5 mm(2,10,11).
Consideraciones sobre la traslación
Según el trabajo de Arangio et al.(19), un desplazamiento medial de 10 mm de la tuberosidad del calcáneo disminuye sustancialmente la carga del arco medial y el primer radio, y la traslada al lado lateral del pie cambiando la biomecánica que provoca la deformidad. Existen estudios en cadáver sobre las consecuencias mecánicas de la traslación medial de la tuberosidad del calcáneo, también teniendo como referencia la cifra de 10 mm(20,21). También en el desplazamiento lateral, aunque con poco soporte científico, se considera el límite de 10 mm(22). Y, sin embargo, no hay ninguna pauta que ayude a determinar la cantidad de desplazamiento que es necesario para la correcta alineación del retropié(23).
Lo que sí parece claro, a juzgar por los artículos publicados, es que la OPC permite una traslación del calcáneo comparable a la cirugía abierta. Kendal et al.(10) en su estudio comparativo entre la osteotomía abierta y la percutánea no observan diferencias significativas en la traslación, y Jowett et al.(24) obtienen en su trabajo en cadáver una media de traslación de 16,7 ± 3,4 mm.
Conclusiones
La OPC ofrece la capacidad de corrección del abordaje abierto con las potenciales ventajas de menor dolor postoperatorio, menores complicaciones de la herida y menor iatrogenia(3), por lo que repercute positivamente en la recuperación de deformidades en las que suelen asociarse varios procedimientos.
Por ello, es particularmente útil en pacientes con comorbilidades tales como neuropatía periférica, diabetes y cirugías previas con mal estado de las partes blandas (artrodesis subtalar con retropié mal alineado, secuelas de fracturas de calcáneo, heridas previas...), ya que permite desarrollar una normoalineación con mayor seguridad de la partes blandas(11,25).
En manos de cirujanos experimentados en la cirugía abierta, ha demostrado ser una técnica reproducible con una curva de aprendizaje corta(11), por lo que es una alternativa fiable al clásico abordaje lateral.
Videotécnica
Se puede consultar la videotécnica que acompaña a este artículo en: https://youtu.be/r1IjDbknwJQ