Más información: +34 629 829 605

Inicio

Enfermedad de Müller–Weiss, ¿cómo hemos cambiado?

Müller-Weiss disease, how have we changed?

Comparte

Resumen

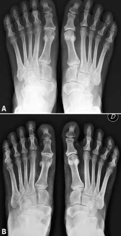
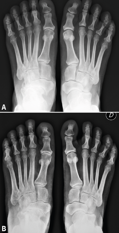
Introducción y objetivos: la enfermedad de Müller-Weiss (EMW) es una patología causada por la displasia del navicular que, en muchos casos, está mal o infradiagnosticada. Se presenta como un “pie plano-varo paradójico” y una artropatía talonavicular. En este trabajo pretendemos explicar nuestra experiencia con una cirugía de preservación articular –osteotomía “supervalguizante” de calcáneo aislada (de tipo Dwyer con desplazamiento lateral)– en nuestra primera serie de pacientes a los que no se realizó una artrodesis.

Material y métodos: estudio descriptivo retrospectivo de una serie de 17 casos de EMW en 15 pacientes operados en nuestra Unidad de Pie y Tobillo (2007-2015). Analizamos diferentes parámetros a través de la historia clínica, la exploración física, el estudio radiológico y escalas de valoración estandarizadas (escala visual analógica –EVA–, American Orthopaedic Foot and Ankle Society –AOFAS– y Likert).

Resultados: todos los pacientes tenían un varo subtalar y el 88,2% una fórmula metatarsal index minus. Existió una mejoría en todas las escalas de valoración utilizadas y en los parámetros radiológicos estudiados (cobertura talonavicular y clasificación de Maceira) en la mayoría de los pacientes. No se registraron complicaciones importantes. Un paciente no mejoró y precisó de una artrodesis a los 4 años de la osteotomía.

Conclusiones: la EMW produce un pie plano paradójico. La corrección quirúrgica del varo subtalar permite una mejoría clínica y radiológica notable. La osteotomía “supervalguizante” es una técnica sencilla y se ha constituido en nuestra técnica de elección, independientemente del estadio radiológico. La artrodesis de la columna medial ha quedado como técnica de rescate para fracasos de la cirugía de preservación articular.

Abstract

Introduction and objectives: Müller-Weiss disease (MWD), a tarsal navicular dysplasia, is often misdiagnosed or underdiagnosed. Clinical presentation as a paradoxical “flatfoot varus” combines with arthritic talonavicular changes. In the present study we show our experience with a joint-preserving surgical treatment –isolated “super-lateral-slide osteotomy”– in the first series of patients in which a tarsal arthrodesis was not performed.

Material and methods: we present a descriptive, retrospective study of a series of 17 MWD cases in 15 patients that underwent surgery in our Orthopaedic Foot and Ankle Unit (2007-2015). We analyze different parameters through the clinical history, physical examination, complementary tests and standardized evaluation scales (visual analogue scale –VAS–, American Orthopaedic Foot and Ankle Society –AOFAS–, and Likert).

Results: all patients presented with subtalar varus and 88.2% had a metatarsal index minus formula. There was an improvement in all scales studied. Radiographic parameters also improved in all cases (talonavicular coverage, Maceira classification). Most patients had considerable pain relief and just one did not improve and required an arthrodesis four years after the osteotomy.

Conclusion: MWD presents with a paradoxical flatfoot varus. Surgical correction of hindfoot varus allows for a mechanical change that produces clinical and radiological improvement. An isolated “super-lateral-slide osteotomy” is an easy technique to achieve varus correction regardless the radiographic stage of the disease and has become our surgical procedure of choice. Medial column arthrodesis is left as a salvage procedure for those cases that do not improve with the osteotomy.

Artículo

Figuras y tablas

Referencias

Descargas

Licencia

Este contenido es de acceso abierto (Open-Access) y se ha distribuido bajo los términos de la licencia Creative Commons CC BY-NC-ND (Reconocimiento-NoComercial-SinObraDerivada 4.0 Internacional) que permite usar, distribuir y reproducir en cualquier medio siempre que se citen a los autores y no se utilice para fines comerciales ni para hacer obras derivadas.