Introducción
La artrodesis tibiotalocalcánea (TTC) es una alternativa de tratamiento que se emplea en patologías que afectan a la vez a las articulaciones tibiotalar y subtalar. Las indicaciones pueden ser de origen tan diverso como la artrosis postraumática, la necrosis avascular del astrágalo, el pie plano adquirido del adulto en estadios avanzados, artritis inflamatorias, el pie neurológico, etc.(1,2).
El objetivo de esta artrodesis es conseguir un tobillo estable y sin dolor. Para conseguirlo, se han descrito métodos de fijación tales como tornillos canulados, grapas o placas atornilladas(3). El clavo endomedular es una alternativa que proporciona rigidez y estabilidad, a la vez que ofrece una menor lesión de partes blandas por tratarse de una técnica percutánea(4,5). Por otra parte, las técnicas artroscópicas consiguen minimizar la morbilidad asociada a amplios abordajes(2,3). La artroscopia posterior de tobillo permite un acceso directo a las articulaciones tibiotalar y subtalar, lo que ofrece la posibilidad de preparar ambas superficies articulares y controlar la cirugía de modo directo.
Todo ello ha hecho que en los últimos años haya aumentado la popularidad del enclavado endomedular retrógrado asociado a la artroscopia de tobillo para realizar la artrodesis TTC. Esta combinación resulta especialmente útil en pacientes diabéticos, con cirugías previas o con patología neurovascular asociada, pues son estos pacientes los que presentan una mayor morbilidad asociada a la cirugía. Varios autores han descrito su casuística en la artrodesis TTC con clavos intramedulares bloqueados asistidos por artroscopia(2,6) y ofrecen unos resultados con escasa morbilidad y altas tasas de fusión.
En este trabajo exponemos nuestra experiencia en la artrodesis TTC con clavo retrógrado asistido por artroscopia, comparamos nuestros resultados con los expuestos en la literatura y realizamos una descripción de la técnica realizando hincapié en algunos aspectos críticos para disminuir la morbilidad y aumentar el índice de fusión articular.
Material y método
Estudio retrospectivo de una serie de 5 pacientes intervenidos en nuestro centro desde enero de 2016 a junio de 2018 por diferentes patologías que afectaban a la articulación tibiotalar y subtalar, con un seguimiento mínimo de 1 año.
Se valoraron los factores de riesgo que pudieran condicionar los resultados: obesidad, hábito fumador, comorbilidades, infecciones previas, patología vascular y lesiones neurológicas o musculares asociadas.
Se realizaron controles clínicos y radiográficos al mes, 3 meses, 6 meses y al año de la cirugía. Para evidenciar la fusión ósea, en todos los casos se realizó una tomografía computarizada (TC) a los 6 meses postoperatorios. Al año de la cirugía se valoró el estado funcional, registrando si precisaban algún tipo de ayuda para la marcha.
Se analizó el grado de dolor mediante la escala visual analógica (EVA) y se compararon los resultados preoperatorios y a los 12 meses de la cirugía. Se registraron las complicaciones que aparecieron tras la intervención.
Todos fueron intervenidos mediante la misma técnica quirúrgica, que se describe a continuación, realizando una artrodesis TTC con clavo endomedular retrógrado asistido con artroscopia de tobillo por vía posterior.
Técnica quirúrgica
La cirugía se realiza mediante anestesia raquídea o general. Se coloca isquemia preventiva al nivel de la raíz del muslo y el paciente se posiciona en decúbito prono en la mesa de quirófano. La posición del pie debe quedar en rotación neutra, dejando al talón mirando al cénit, para lo cual colocamos un alza en la cresta iliaca contralateral a la pierna que vamos a intervenir. En el tercio distal de la pierna colocamos otra alza de modo que podamos realizar la flexoextensión del tobillo libremente.
Dibujamos el contorno del tendón de Aquiles y ambos maléolos y localizamos los 2 portales posteriores tal como fueron descrito por Van Dijk, donde el portal posterolateral será el de visión y el posteromedial el de trabajo, aunque pueden intercambiarse posteriormente para mejorar el acceso o la visión.
Tiempo artroscópico
Desde el portal posterolateral introducimos la óptica de 4 mm y desde el portal posteromedial introducimos el sinoviotomo e iniciamos el desbridamiento de la grasa preaquílea y la fascia sural de Rouvière y Canela.
La primera referencia que debemos localizar es el tendón flexor hallucis longus (FHL), que será el límite de seguridad de la zona de trabajo por la parte medial, puesto que medial a este tendón y en íntima relación con él se encuentra el paquete vasculonervioso del tibial posterior. Posteriormente, con el sinoviotomo retiramos la cápsula posterior de la articulación tibiotalar y procedemos a resecar todo el cartílago de las superficies articulares del astrágalo y la tibia con curetas y pequeños escoplos, y realizamos perforaciones en ambas superficies con microperforadores. A continuación, preparamos del mismo modo la articulación subtalar.
Finalmente, comprobamos que todas las superficies articulares están correctamente denudadas de cartílago y que pueden reducirse y afrontarse entre sí con manipulación externa.
Osteosíntesis con clavo retrógrado
La introducción del clavo la realizamos asistidos de escopia una vez hemos terminado el tiempo artroscópico. El implante empleado en todos los casos es el clavo de artrodesis Phoenix® (Biomet). Preferimos usar un clavo recto en lugar de uno con valgo preconformado porque pensamos que, de cara a la fusión articular, su eficacia es superior al realizar la compresión en eje longitudinal. Este clavo dispone de un sistema doble de compresión, de modo que, bloqueada la articulación tibiotalar con tornillos en tibia y astrágalo, puede realizarse una compresión interna de esta articulación de hasta 7 mm. Posteriormente, podemos realizar una compresión externa de la articulación subtalar antes de introducir los tornillos de bloqueo en el calcáneo.
Con el paciente en decúbito prono realizamos una reducción manual de las superficies y localizamos el punto de entrada anterior a la zona de apoyo de la tuberosidad calcánea y 2-3 cm posterior a la articulación calcaneocuboidea. Tanto en el eje coronal como sagital y bajo escopia, la guía del clavo se introduce buscando el centro del canal medular tibial. Un paso crítico es la correcta reducción del astrágalo entre la tibia y el calcáneo, debiendo dejar el cuerpo del astrágalo correctamente reducido, ya que un defecto en la alineación puede ocasionar una fractura a nivel del cuello del astrágalo durante el fresado del canal. Una vez conseguida la reducción y antes de iniciar el fresado, aconsejamos mantenerla con una aguja transfixiante desde calcáneo a tibia y comprobar bajo escopia que la reducción es correcta. Se realiza un sobrefresado de la tibia 1 mm superior al diámetro del clavo elegido y se introduce el clavo. En primer lugar, se realiza el bloqueo tibial (de medial a lateral) y después el del astrágalo (de lateral a medial). Se lleva a cabo, entonces, la compresión interna. A continuación, se realiza la compresión externa desde el calcáneo y se introducen los 2 tornillos de bloqueo del calcáneo, uno desde lateral a medial y otro en un plano perpendicular a este desde posterior a anterior, sin llegar a penetrar la articulación calcaneocuboidea.
Finalmente, puede añadirse un tornillo independiente al clavo en dirección oblicua desde la tuberosidad posterior del calcáneo a la cortical anterior de la tibia, bloqueando así el montaje realizado. Es importante tener en cuenta la deformidad inicial que presentaba el paciente antes de colocar este último tornillo, pues al ir por fuera del clavo puede lesionar estructuras nobles adyacentes. Por último, colocamos el tapón protector en la entrada del clavo en el calcáneo. Debemos tener cuidado con la medición del tapón protector, pues una excesiva longitud puede ocasionar su protrusión en la planta del pie e imposibilitar la marcha. Se realiza el cierre de las heridas y de los portales de artroscopia y se coloca una férula suropédica.
La férula la mantenemos 3-4 semanas. Una vez retirada iniciamos la carga parcial controlada con una ortesis de tipo cam-Walker y permitimos la carga completa a partir de los 3 meses. Los controles radiológicos se realizan en el postoperatorio inmediato, a las 4 semanas y a los 3 meses. A los 6 meses solicitamos una TC para valorar si se ha conseguido la fusión articular.
Resultados
De los 5 pacientes intervenidos en nuestra serie, 4 fueron varones y 1 mujer, con una edad media de 59 años (47-76). El tiempo de seguimiento osciló entre 13 y 40 meses, con una media de 25,4 meses.
Los diagnósticos iniciales eran: necrosis del astrágalo, pie plano valgo con afectación del tobillo, secuela de fractura de pilón tibial, pie neurológico en paciente con poliomielitis y artropatía de Charcot en paciente diabético (Tabla 1). La artrodesis de ambas articulaciones se consiguió en 3 de los 5 casos.
Tabla 1. Resultado de nuestra serie

A continuación, detallamos cada uno de nuestros casos.
El paciente con necrosis de astrágalo fue tratado inicialmente con una prótesis total de tobillo que fracasó. Una artrodesis tibiotalar abierta con aporte de injerto autólogo no consiguió la consolidación, por lo que se decidió rescatar con un clavo de artrodesis TTC, incluyendo la articulación subastragalina, que ya mostraba marcados signos degenerativos. La mala calidad de las partes blandas, debido a las cirugías previas, nos decantó hacia el legrado artroscópico articular. La consolidación de la articulación subtalar no se consiguió y precisó una posterior cirugía de rescate. El dolor según la escala EVA mejoró de 9 a 4 al año de la cirugía y el paciente podía caminar con ayuda de un bastón. Como factor de riesgo, era fumador habitual.
La paciente con pie plano de grado 4B de Myerson con afectación del tobillo(7) tenía obesidad mórbida, por lo que aumentaban las complicaciones potenciales con la cirugía abierta y decidimos hacerla artroscópica. La artrodesis TTC se consiguió a los 5 meses de la intervención. Al año de la cirugía no precisaba ayuda para la marcha y no presentaba dolor.
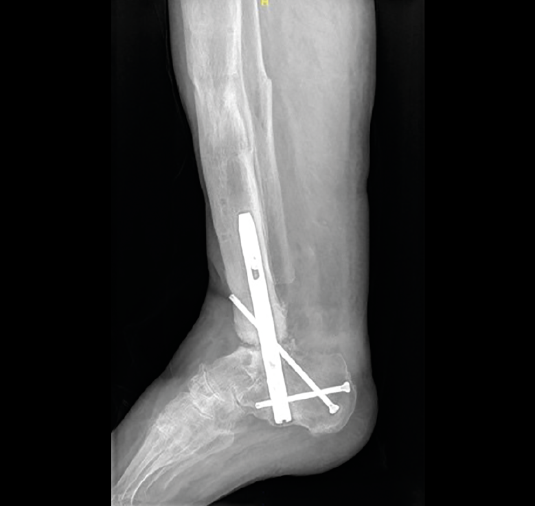
El paciente con antecedente de fractura de pilón tibial presentaba una pseudoartrosis del foco de fractura metafisario con antecedentes de infección de la osteosíntesis previa. Optamos, una vez tratada y curada la infección, por el clavo retrógrado como método de tratamiento de ambas lesiones, la pseudoartrosis de la fractura y la degeneración articular grave. Aunque se consiguió la consolidación del foco de fractura y la fusión de la articulación subtalar, la artrodesis del tobillo no se consiguió. No precisaba ayuda para la marcha y el dolor mejoró de 8 a 2 al año de evolución (Figura 1).
Figura 1. Radiografía del caso 3 con ausencia de consolidación de la articulación tibiotalar.

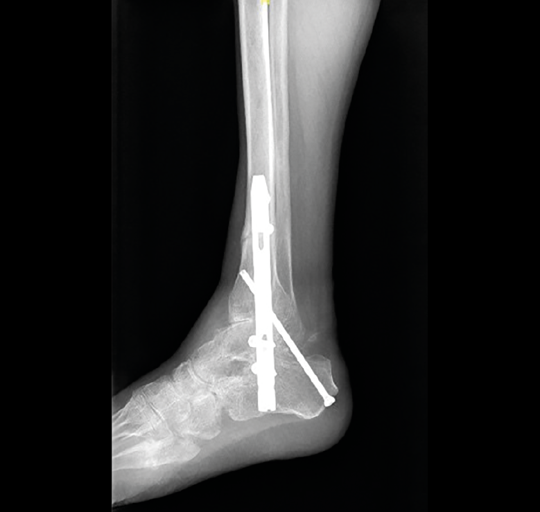
El paciente afecto de poliomielitis presentaba deformidad en equino y varo del retropié. La artrodesis TTC consiguió la correcta alineación y la fusión de ambas articulaciones. No presentaba dolor al año de la cirugía y para la marcha usaba un bastón debido a la atrofia muscular que presentaba (Figura 2).
Figura 2. Radiografía del caso 4 con imagen de artrodesis de ambas articulaciones.

El paciente con artropatía neuropática de Charcot, de origen diabético, consiguió la artrodesis tibiotalar y subtalar con el clavo, pero posteriormente presentó una infección del implante que obligó a su retirada. Tenía escaso dolor al año de la intervención y precisaba ayuda de un bastón y suplemento con alza para la marcha.
Discusión
Algunos autores indican que el clavo endomedular para la artrodesis TTC se ha mostrado biomecánicamente superior a la fijación con placa anterior, lateral o posterior, puesto que las fuerzas de carga se transmiten por el centro del tobillo hasta el pie(8). El clavo usado en nuestra serie permite a nivel calcáneo bloqueo en el plano coronal y sagital, dando una estabilidad rotacional y mayor solidez a los montajes en que no se emplea(8,9). También se ha mostrado en la literatura que las fijaciones dinámicas y con compresión asociada son las que ofrecen un menor porcentaje de pseudoartosis, siendo por ello el montaje más aconsejado(9).
La artrodesis con clavo endomedular es una técnica percutánea que no permite acceso directo a la superficie articular. Aunque la cirugía abierta permite la incorporación de injerto esponjoso o corticoesponjoso, el fresado endomedular es una fuente de material óseo en la zona que queremos artodesar, permitiendo altas tasas de fusión articular(6).
La artroscopia de pie y tobillo se ha consolidado como una técnica de apoyo para la realización de la artrodesis tanto de la articulación tibiotalar como subtalar. El desarrollo de los portales posteriores de tobillo descritos por Van Dijk et al.(10) en el 2000 permite un excelente acceso al compartimiento posterior del tobillo, aunque se requiere una larga curva de aprendizaje para su correcta ejecución.
La artrodesis asistida con artroscopia permite una menor disección de los tejidos y minimiza la desvascularización local, permitiendo acortar el tiempo de fusión, como han demostrado algunos estudios(11). Myerson comparó en 2 grupos los resultados de la artrodesis de tobillo abierta o artroscópica y encontró tiempos de fusión más cortos en el grupo de pacientes operados con técnica artroscópica, así como menor estancia hospitalaria(12).
Autores como Tasto y Navarrete han publicado series de artrodesis artroscópicas de la articulación subastragalina con un porcentaje de consolidación superior al 72%, encontrando los peores resultados en aquellos casos secundarios a fracturas(13,14). En nuestro trabajo, en el paciente con secuela de fractura de pilón, no se consiguió la fusión de la articulación tibiotalar, coincidiendo con lo descrito en artículos previos.
En la artrodesis TTC existen unos factores de riesgo que pueden condicionar los resultados. Devries en 2013 estableció unos factores de mal pronóstico en la cicatrización de las heridas(15). El tabaco es un factor que aumenta el índice de complicaciones. En 2013, Gordon presentó una revisión de 82 artrodesis abiertas de tobillo por vía anterior y tuvo 2 casos de retraso de consolidación que sucedieron en el grupo de pacientes fumadores(16). En nuestra serie, el paciente en el que no consolidó la articulación subtalar era fumador habitual, lo cual concuerda con lo expuesto en la literatura.
En el caso de pacientes con pies planos de grado 4B con deterioro de la superficie articular y con desviación menor de 20° en el plano coronal, podemos aplicar esta técnica. Sin embargo, coincidimos con Mencière y Devos-Bevernage en que la técnica artroscópica no permite la corrección de amplias deformidades, por lo que, en aquellos casos con alteración de la alineación en los planos coronal y sagital, aconsejamos el uso de técnicas abiertas para la correcta alineación de las articulaciones(6,17).
Como hemos visto en nuestra serie, la artrodesis TTC con clavo retrógrado asistida con artroscopia permite la fusión articular en patologías como el pie neurológico o el pie de Charcot. En estos pacientes, esta técnica mínimamente invasiva permite un menor número de complicaciones de las partes blandas, lo cual resulta muy útil en estos grupos de pacientes que pueden presentar dificultades en la cicatrización(18).
Las series publicadas en los últimos años sobre fusión TTC con clavo asistida con artroscopia (Tabla 2) ofrecen porcentajes de consolidación de ambas articulaciones superiores al 80%. Los resultados de nuestra serie son inferiores a los expuestos en la literatura y pensamos que en ello han podido influir varios aspectos.
Tabla 2. Resultados de las series publicadas

Por un lado, la morbilidad y los factores de riesgo que presentaban nuestros pacientes (tabaquismo, diabetes, obesidad). Por otro lado, vemos que los casos en los que no hubo fusión de ambas articulaciones fueron aquellos en los que la artrodesis TTC se realizó como rescate de cirugías previas.
Conclusiones
En función de nuestros resultados, la artrodesis TTC con clavo endomedular retrógrado asistida con artroscopia es una técnica válida para el tratamiento de diferentes patologías con deterioro de la superficie articular tibiotalar y subtalar. Consideramos que se trata de una técnica con escasa morbilidad asociada que, sin embargo, requiere una curva de aprendizaje larga y ser realizada por cirujanos expertos en pie y tobillo. Por último, son necesarios estudios con mayor número de pacientes para poder obtener resultados más consistentes.