La osteocondrosis o necrosis aséptica de las cabezas de los metatarsianos laterales es una enfermedad poco frecuente. Fue descrita por primera vez por Albert Freiberg(1), cirujano de Cincinnati, en 1914.
En Europa, ha sido conocida durante muchos años como enfermedad de Köhler II(2), para diferenciarla de la necrosis que afecta al escafoides del niño, aunque este autor la describió en Alemania unos años más tarde, en 1923.
Etiología
Como en la mayoría de las necrosis avasculares, se han invocado 2 etiologías: una vascular y otra mecánica. Nosotros creemos que en la mayoría de los casos confluyen las dos.
Etiología vascular
La irrigación de las cabezas de los metatarsianos ha sido estudiada en profundidad por diferentes autores(1,2,3,4,5): depende de las arterias metatarsales dorsales, ramas de la pedia, de las arterias metatarsales plantares, ramas de la arteria tibial posterior, y de la arteria nutricia. Las 2 primeras penetran en la articulación a través de la cápsula, se anastomosan entre sí y forman una arcada arterial de la que salen minúsculos vasos que penetran en la cabeza. Las arterias nutricias atraviesan el córtex del metatarsiano cerca de la inserción de la cápsula y de los ligamentos y van a irrigar el hueso subcondral (Figura 1).
Figura 1. Vascularización de la epífisis distal de los metatarsianos centrales. AMD: arteria metatarsal dorsal; AMP: arteria metatarsal plantar; AN: arteria nutricia; RA: red arterial epifisaria.

Es costumbre, especialmente en el sexo femenino, empezar a utilizar a partir de los 15-16 años de edad un calzado con tacón alto y estrecho de punta. Este hecho provocaría una compresión lateral de los vasos epifisarios, un espasmo arterial y la consiguiente isquemia de la cabeza metatarsal, dando lugar a la enfermedad que nos ocupa(6,7). Confirmando esta idea, Nagura(8) comprobó que la enfermedad de Freiberg no apareció jamás entre la población japonesa hasta después de la segunda guerra mundial, en que se abandonó el clásico calzado ancho o las sandalias y se empezó a utilizar el calzado occidental.
Esta disposición vascular también explica la necrosis de la cabeza metatarsal que a veces aparece después de algunas cirugías del antepié(9) y que no es propiamente una enfermedad de Freiberg.
Etiología mecánica
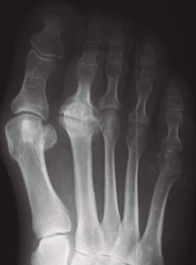
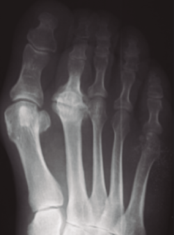
Las necrosis asépticas aparecen en aquellos puntos de nuestro aparato locomotor sometidos a importantes solicitaciones mecánicas, sea por microtraumatismos o por sobrecarga estructural. En el caso de la enfermedad de Freiberg, diversos autores(2,10,11,12) apoyan esta teoría que nosotros compartimos, ya que hemos visto muchos casos de afectación del segundo metatarsiano acompañando una insuficiencia del primer radio, sea por un hallux valgus o por un primer metatarsiano corto (Figura 2). En nuestro estudio a largo plazo sobre la enfermedad de Freiberg(13), sobre 16 pies operados, 12 padecían la sobrecarga mecánica.
Figura 2. Etiología mecánica. La enfermedad de Freiberg se asocia frecuentemente a una insuficiencia del primer radio.

Anatomía patológica
En ella nos encontramos con alteraciones a 3 niveles:
- Lesiones en el cartílago, en forma de degeneración mucosa y transformación condroide. El espesor del cartílago aparece disminuido e irregular, estando sustituido en ciertos tramos por tejido conjuntivo.
- Lesiones en el hueso. Este aparece más esponjoso, con trabéculas atróficas, necrosadas y sin núcleo. Algunos han descrito pequeñas fracturas que pueden dar origen a secuestros. Los espacios medulares se hallan ocupados por un tejido fibroso o de granulación.
- Lesiones en los vasos del periostio y la cápsula articular. Se encuentra un engrosamiento de la íntima y de la media que provoca la obliteración casi completa del vaso. Las lesiones anatomopatológicas recordarían la tromboangeítis obliterante. Estas lesiones aparecen más claramente en los casos de larga evolución.
Clínica
La enfermedad se inicia frecuentemente entre los 16 y los 20 años de edad, al final de la maduración esquelética. Afecta principalmente al sexo femenino, con una frecuencia de 5/1 respecto al sexo masculino(14), lo cual confirma la influencia del calzado. La localización más frecuente(15) es el segundo metatarsiano (68%), seguido del tercero (27%) y del cuarto (3%). El quinto metatarsiano no se afecta prácticamente nunca (nosotros no hemos tenido la ocasión de ver esta localización). La lesión es bilateral en un 7% de los casos y, excepcionalmente, podemos ver afectado más de un metatarsiano.
En los estadios iniciales la sintomatología es muy leve e inespecífica, por lo que la enfermedad puede pasar desapercibida. Cuando la necrosis evoluciona y se afecta la articulación, aparecen dolor, edema, rigidez, crepitaciones articulares y podemos ver y palpar una tumoración dura que corresponde a la reacción osteofítica de la articulación afectada.
Radiología
Figura 3. Fases evolutivas de la necrosis. A: fase inicial; B: fase de reparación; C: fase de repercusión articular; D: fase artrósica.

Como en todas las necrosis óseas, la radiología es característica y se corresponde con la fase evolutiva de la necrosis (Figura 3):
- Fase inicial en la que se produce la isquemia con la consiguiente muerte celular. En esta primera fase la radiología es negativa y el diagnóstico se establece con la ayuda de la gammagrafía y la resonancia magnética nuclear (RMN).
- Fase de reparación en la que existe una revascularización alrededor de la zona necrótica: vemos en la cabeza una zona más densa, que corresponde al hueso necrosado, y una zona radiolúcida alrededor de ella, que corresponde a la hiperemia.
- Fase de repercusión articular: el cartílago articular se hunde al fallarle el soporte mecánico del hueso subcondral.
- Fase artrósica en la que se ha producido la desestructuración de la articulación con pérdida del espacio articular y reacción osteofítica, tanto en la cabeza del metatarsiano como en la base de la falange.
Figura 4. Estadios de Smillie. A: estadio I; B: estadio II; C: estadio III; D: estadio IV; E: estadio V.

Basándose en la historia natural de la enfermedad y atendiendo a los cambios radiológicos, Smillie(16) clasifica, con propósito terapéutico, la lesión en 5 estadios (Figura 4):
- Estadio 1: aparece una línea de fractura a través de la epífisis.
- Estadio 2: se produce una depresión central de la cabeza por colapso del hueso subcondral. El espacio articular puede ensancharse.
- Estadio 3: la depresión central hace que se proyecten hacia delante los bordes medial y lateral de la cabeza, manteniéndose intacta la parte plantar.
- Estadio 4: la parte central necrosada de la cabeza puede desprenderse de la parte plantar, formándose un cuerpo libre articular.
- Estadio 5: aplanamiento de la cabeza metatarsal y van apareciendo los cambios degenerativos secundarios.
Otros exámenes complementarios
Como hemos dicho con anterioridad, en las fases iniciales de la enfermedad la radiología es negativa, por lo que el diagnóstico se establece con ayuda de la gammagrafía y de la RMN.
Estas pruebas también nos ayudan en el diagnóstico diferencial con otras patologías que pueden aparecer en esta zona del antepié, como son: las fracturas por sobrecarga, la rotura de la placa plantar, las sinovitis de la articulación metatarsofalángica (mecánicas, reumáticas o infecciosas) y los tumores, tanto óseos (osteoma osteoide) como de partes blandas (sarcomas sinoviales).
Tratamiento
Tratamiento conservador
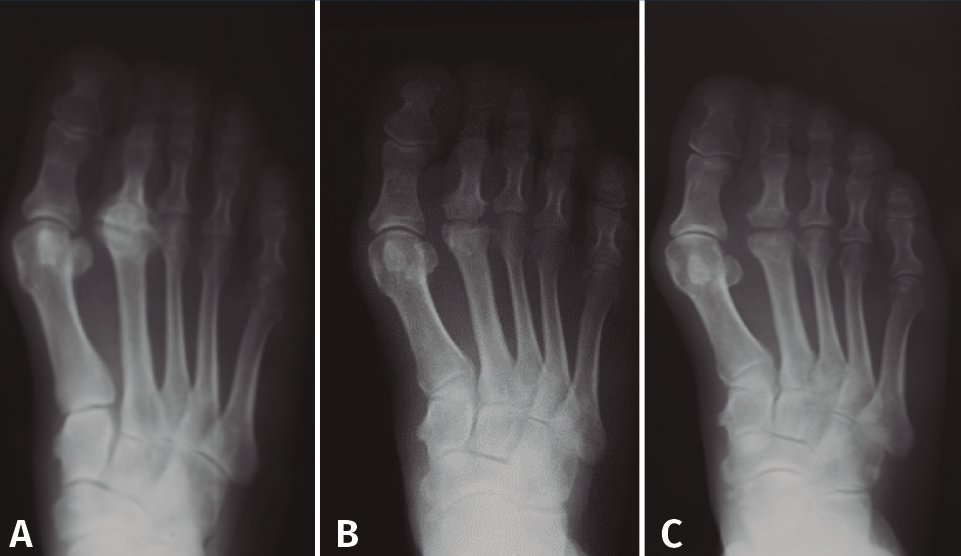
Figura 5. Tratamiento conservador. Paciente tratada con plantilla de descarga. A: imágenes al inicio del tratamiento; B: 2 años más tarde, mínima afectación articular.

En las fases iniciales (estadios 1 y 2 de Smillie) en las que, tal como se ha comentado, las molestias del paciente son inexistentes o leves, están indicadas las plantillas ortopédicas de descarga de la cabeza metatarsal afecta, los antiinflamatorios no esteroideos (AINE) y la electroterapia antiinflamatoria durante la crisis de dolor. Se recomienda al paciente disminuir la práctica deportiva de impacto(11,17). Con ello se consigue que, cuando se finaliza la fase de reparación, la deformidad sea la menor posible (Figura 5).
Tratamiento quirúrgico
Está indicado cuando el dolor es persistente y el paciente no responde al tratamiento conservador. En estos casos la enfermedad se encuentra habitualmente en los estadios 3 a 5 de Smillie.
Se han propuesto diferentes técnicas quirúrgicas:
Figura 6. Tratamiento quirúrgico. La resección aislada de la cabeza suele dar malos resultados.

- Resección de la cabeza del metatarsiano. Esta técnica clásica propuesta por algunos autores(18,19,20) elimina el dolor articular pero tiene el grave inconveniente de que provoca una importante desalineación del antepié con la correspondiente metatarsalgia de transferencia (Figura 6).
- Prótesis metálicas o de silicona. En estas técnicas se reseca la cabeza del metatarsiano y se sustituye por un implante para mantener la correcta alineación del antepié, evitando la metatarsalgia de transferencia. Algunos autores(21,22) han publicado buenos resultados con ellas. Nosotros creemos que, a medio-largo plazo, estas técnicas están condenadas al fracaso debido a que, dadas las importantes solicitaciones mecánicas a que está sometido el antepié, el implante acabará aflojándose.
- Injerto autólogo: consiste en el curetaje y relleno de la cabeza del metatarsiano con hueso esponjoso. Existen pocos casos publicados en la literatura(23,24), por lo que no se pueden sacar conclusiones sobre los beneficios de esta técnica.
- Osteotomía del metatarsiano: tanto las osteotomías como las queilectomías se basan en el hecho de que, en esta enfermedad, casi siempre es posible encontrar una zona central-plantar de la cabeza del metatarsiano con un cartílago en buen estado. Esta osteotomía fue descrita por Gauthier(15) y tiene como objetivo cambiar la orientación de la zona de carga de la superficie articular (Figuras 7 y 8). Para ello se realiza la osteotomía en el cuello y se extrae una cuña de base dorsal. Se trata de una técnica ampliamente utilizada y se han publicado(25,26) buenos resultados con ella. De todas maneras y, a pesar de que se trata de una técnica sencilla, puede presentar una serie de complicaciones(27,28): metatarsalgia de transferencia, cuando se acorta excesivamente el metatarsiano, dedos flotantes y problemas inherentes al sistema de fijación: las agujas pueden migrar, las grapas pueden hacer una protuberancia en el dorso de la articulación y los tornillos pueden aflojarse, al ser muchas veces el hueso de mala calidad.
- Queilectomía y perforaciones: la queilectomía (Figuras 9 y 10) fue propuesta inicialmente por Freiberg. Consiste en realizar una sinovectomía, una remodelación amplia de la articulación con resección de la corona osteofítica, tanto a nivel del metatarsiano como de la falange, y la extirpación de los cuerpos libres articulares. Una vez realizada la limpieza articular, se procede, con una aguja de Kirschner, a las perforaciones, anterógradas o retrógradas en función del estado del cartílago. Con ello se pretende estimular la neoformación cartilaginosa y el remodelado articular. Con esta técnica se evitan acortamientos indeseados del metatarsiano y, por tanto, las metatarsalgias de transferencia, y se evitan también las reintervenciones motivadas por problemas con el sistema de fijación. Empleando esta técnica, que nosotros utilizamos habitualmente, también se han publicado buenos resultados(29,30,31) En nuestra revisión(13) sobre los resultados a largo plazo (seguimiento medio de 11 años) 13 pacientes se encontraban muy satisfechos y 3 satisfechos con el resultado de esta cirugía.
Figura 7. Esquema de la osteotomía de Gauthier: se extrae una cuña de base dorsal a nivel del cuello, con lo que se cambia la orientación de la superficie articular.

Figura 8. Osteotomía de Gauthier: A: preoperación; B: 2 años postoperación. Cortesía del Dr. F. Cabañó.

En la actualidad creemos que, en las fases avanzadas de la enfermedad de Freiberg, estadios 3 a 5 de Smillie, las osteotomías y las queilectomías son las técnicas de elección, siendo difícil decir con cuál se obtienen mejores resultados. Kilic(32) ha publicado un trabajo comparando los resultados de 6 queilectomías asociadas a perforaciones y 8 osteotomías, y no encuentra diferencias significativas entre ambas técnicas.
Figura 9. Esquema de la queilectomía. Resección de la corona osteofítica del metatarsiano y de la falange. Extirpación de cuerpos libres. Se asocian perforaciones anterógradas o retrógradas.

Figura 10. Queilectomía. Resultados a largo plazo. A: preoperación; B: postoperatorio inmediato; C: 17 años postoperación.

Conclusiones
En la etiología de la enfermedad de Freiberg- Köhler II casi siempre confluyen un factor mecánico y un factor vascular. Se trata de una enfermedad que, en sus fases iniciales, es poco sintomática, apareciendo el dolor cuando se afecta la articulación. El diagnóstico es básicamente radiológico, excepto en las fases iniciales en que nos ayudamos de la RMN o la gammagrafía. En las fases avanzadas se han propuesto diferentes opciones quirúrgicas, entre las cuales las que hoy en día parecen ofrecer mejores resultados son las osteotomías y las queilectomías asociadas a las perforaciones. No sabemos si en el futuro las terapias biológicas o las artroplastias de sustitución o de interposición mejorarán los resultados actuales.