Más información: +34 629 829 605

Inicio

Corrección del primer ángulo intermetatarsiano tras la artrodesis metatarsofalángica aislada versus artrodesis metatarsofalángica asociada al cierre del primer ángulo intermetatarsiano

Isolated first intermetatarsal angle correction following first MTP joint arthrodesis versus first MTP joint arthrodesis plus first intermetatarsal angle closure for severe hallux valgus

Comparte

Resumen

Introducción: como tratamiento del hallux valgus (HV) severo, se ha propuesto la artrodesis metatarsofalángica (MTF) aislada. Sin embargo, pudiendo ser insuficiente para la corrección del metatarsus primus varus, ha sido propuesto el tratamiento quirúrgico combinado (TQC): corrección del ángulo intermetatarsiano (AIM) asociado a la artrodesis MTF. Nuestra hipótesis es que, en los pacientes con HV severo, el TQC consigue una corrección del AIM superior a la artrodesis MTF aislada.

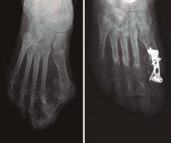
Material y métodos: se revisaron las radiografías de 14 pacientes con HV severo (AIM ≥ 15°) tratados mediante técnica de osteotomía distal metatarsiana asociada a la artrodesis MTF (seguimiento medio: 15 meses). Una revisión independiente realizó las mediciones. Las variables del estudio han sido: el AIM prequirúrgico (AIM preQ), el AIM posquirúrgico (AIM posQ), la diferencia y el cociente de los AIM preQ y AIM posQ. Se han comparado los pacientes con TQC frente a la artrodesis MTF aislada (utilizando series publicadas en la literatura).

Resultados: Grupo A: pacientes de TQC. Grupo B: pacientes tratados con artrodesis MTF aislada. Los AIM preQ son iguales en ambos grupos. Los ángulos posQ en el grupo A son 4,194° y 9,9° en el grupo B (p < 0,001). La TQC logra reducciones del AIM de 14,253° de media en el grupo A frente a los 8,489° de reducción del AIM conseguidos en el grupo B por la artrodesis MTF aislada.

Conclusiones: el tratamiento quirúrgico combinado (osteotomía metatarsiana más artrodesis MTF) consigue mayor corrección radiológica del AIM que la artrodesis MTF aislada.

Abstract

Background: isolated first metatarsophalangeal (MTP) joint arthrodesis is an accepted method for the treatment of severe hallux valgus (HV) deformity. However, it might not be sufficient to adequately address the metatarsus primus varus deformity. In these cases, a combined surgical treatment (CST) –intermetatarsal angle correction technique (IMA) plus MTP arthrodesis– has been proposed. Our hypothesis is that, in patients with severe HV, CST achieves an AIM correction superior to isolated MTP arthrodesis.

Methods: radiographs of 14 patients with HV severe (IMA ≥ 15°) were reviewed. All of them underwent MTP arthrodesis adding distal osteotomy procedure (mean follow-up: 15 months). An independent review performed the measurements. The variables have been preoperative IMA (IMA preQ) and postoperative IMA (IMA postQ) angles, the difference and the quotient of the IMA preQ and IMA postO. CST group patients have been compared with patients that have undergone isolated MTP arthrodesis (using series published in the literature).

Results: Group A: CST patients. Group B: patients treated with isolated MTP arthrodesis. AIM preQ are the same in both groups. The average postQ angle in group A is 4.194°and in group B is and 9.9° (p < 0.001). The CST achieves AIM reductions of 14.253° on average in group A compared to the 8.489° AIM reduction achieved in group B by isolated MTP arthrodesis.

Conclusion: combined surgical treatment (AIM closure plus MTP arthrodesis) achieves greater radiological correction of the AIM than isolated MTP arthrodesis.

Artículo

Figuras y tablas

Referencias

Descargas

Licencia

Este contenido es de acceso abierto (Open-Access) y se ha distribuido bajo los términos de la licencia Creative Commons CC BY-NC-ND (Reconocimiento-NoComercial-SinObraDerivada 4.0 Internacional) que permite usar, distribuir y reproducir en cualquier medio siempre que se citen a los autores y no se utilice para fines comerciales ni para hacer obras derivadas.