Introducción
Existe actualmente un amplio repertorio de técnicas quirúrgicas para tratar lesiones crónicas del tendón calcáneo en las que existe un defecto del tendón. En ocasiones, para reparar estas lesiones, no es posible realizar una sutura de ambos extremos del tendón por el defecto presente entre ellos.
Para suplir este defecto, se dispone de las siguientes técnicas quirúrgicas:
- Técnicas de avance-descenso de fascia gemelar. En 1931, Platt recomendó el injerto libre de fascia lata(1). En 1950, Leliévre hizo un colgajo aponeurótico del gastrocnemio que desdobla 180° e introdujo el cavo distal entre 2 lengüetas. En 1957, Bosworth tomó una tira de fascia lata del tríceps y lo entrelazó al cabo distal(2). Lindhom, en 1959, hizo 2 colgajos de aponeurosis que suturó al cabo distal(3). Abraham, en 1975, hizo una plastia con colgajo en V-Y que deslizó para lograr aproximación de los cabos seccionados(4,5).
- Transferencia de tendones propios del paciente: como el peroneo largo y corto(6), el flexor hallucis longus(7), el plantar delgado o el flexor común de los dedos.
- Plastias tendinosas. Las plastias tendinosas pueden ser del propio paciente (tendones pata de ganso)(8) o procedentes de cadáver. El más usado es el aloinjerto de tendón calcáneo, el cual ya ha sido utilizado en la reparación de otro tipo de patologías –lesiones de bíceps(9), tríceps(10), pectoral mayor, aparato extensor de la rodilla(11), manguito rotador(12)–.
Según Myerson, si ese defecto es inferior a 2 cm se recomienda el uso de una sutura término-terminal asociada a técnicas de refuerzo con fascia. Si el defecto es de entre 2 y 5 cm asociaríamos transferencias tendinosas a técnicas de descenso de fascia (V-Y).
Por último, si nos encontramos ante defectos mayores de 5 cm, deberíamos pensar en reconstrucciones con plastias tendinosas(13).
No hemos encontrado referencias en la literatura de ningún caso de lesión aguda de tendón calcáneo que requiera de plastias o aloinjertos para su tratamiento primario.
Presentación del caso clínico
Se presenta un caso clínico tratado en el Hospital Universitario Reina Sofía de Córdoba (España).
Figura 1. Fotografías tomadas en urgencias. Se aprecian orificios de entrada y salida del arma. Lesión con importante déficit cutáneo y de partes blandas. Flujo distal conservado.

Se trata de un paciente varón de 49 años que presentaba una fractura abierta de peroné de tipo IIIB de Gustilo y Anderson tras sufrir un accidente por arma de fuego. Se observa defecto cutáneo de unos 10 cm en la región posterior de la pierna izquierda (Figuras 1A y 1B). En la radiografía se aprecia una fractura del tercio distal del peroné sin afectar a más estructuras óseas (Figura 2).
Se realizó lavado profuso con suero fisiológico de la zona lesionada. Se administró una adecuada profilaxis antibiótica y vacunación antitetánica.
Figura 2. Radiografía tomada en urgencias. Se aprecia fractura del tercio distal del peroné con conminución ósea.

A la exploración, la extremidad distal presentaba buena temperatura y el relleno capilar estaba conservado. Se le realizó una ecografía Doppler de urgencias, descartando lesión arterial.
Se procedió al ingreso hospitalario para una exploración inicial en el quirófano.
Bajo anestesia general, se procedió al desbridamiento quirúrgico de la herida, tanto de los bordes desvitalizados como de esquirlas óseas.
Figura 3. Fotografía intraoperatoria. Tras desbridamiento, se objetiva gap de unos 15 cm.

Se objetivó un defecto de 15 cm en el tendón calcáneo (Figura 3). Se aproximaron los bordes de la herida con seda quirúrgica y se realizó un vendaje compresivo.
El paciente fue trasladado posteriormente a la planta de hospitalización para un tratamiento definitivo de forma programada y multidisciplinar.
Resultados
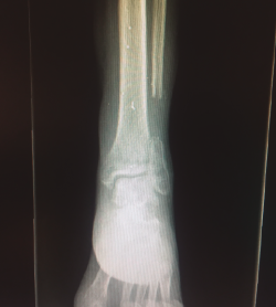
La fractura del peroné se trató de forma conservadora (Figura 4).
Figura 4. Radiografía tomada 5 meses después, tras el tratamiento conservador.

Se realizó una plastia de tendón con aloinjerto de tendón calcáneo criopreservado para la reconstrucción de la lesión tendinosa.
El aloinjerto fue procesado en nuestro banco de tejidos. Tras el procesado, se sumergió en una solución antibiótica compuesta por vancomicina y tobramicina, previo a la congelación del mismo.
Figura 5. Fotografía intraoperatoria. Muestra la sutura proximal de tipo Krackow y la anastomosis distal con muñón de tendón remanente.

La fijación se obtuvo a través de una sutura de tipo Krackow en la unión miotendinosa proximal y sutura término-terminal a nivel distal, al existir muñón distal suficiente (Figura 5). De forma simultánea, se realizó la cobertura cutánea con un colgajo fascio-cutáneo vascularizado del muslo del paciente (Figuras 6A, 6B y 6C).
Figura 6. Fotografías intraoperatorias. Muestran el colgajo fascio-cutáneo vascularizado y su posterior implantación en la zona receptora con buena coloración tras la finalización de la intervención quirúrgica.

Tras el alta hospitalaria, comenzó la rehabilitación, iniciando ejercicios pasivos de dorsiflexión y flexión plantar.
Durante el primer mes se le permitió la carga parcial en equino y, a los 2 meses, la carga total a 90° de dorsiflexión del tobillo.
A los 5 meses, el paciente deambula con un bastón y es capaz de alzarse de puntillas, con una flexión plantar activa de 30° (Figura 7).
Figura 7. Fotografía tomada en consulta. A los 5 meses de la intervención, el paciente puede ponerse de puntillas. Tiene 30° de flexión plantar activa.

A los 10 meses, el paciente deambula sin ayuda. Presenta una flexión plantar de 35° y dorsal de 25°.
Discusión
Las heridas por armas de fuego constituyen un reto en nuestra especialidad. No hemos encontrado en la literatura ningún caso que muestre la utilización de una plastia tendinosa con aloinjerto de tendón calcáneo para un defecto tan amplio de tendón en una rotura aguda del mismo.
La necesidad de cobertura cutánea añade complejidad al caso e implica un tratamiento multidisciplinar con cirujanos plásticos y rehabilitadores.
Ante la presencia de un defecto de 15 cm, elegimos el aloinjerto frente a otros tipos de plastias o transferencias tendinosas.
Hemos encontrado referencias en la literatura al respecto que apoyan el uso de esta técnica(14,15,16,17).
Por un lado, muchos autores concluyen que la sutura término-terminal aislada es insuficiente, aunque existen casos de aumentación con aloinjerto tras la misma con buenos resultados clínicos(18,19,20).
Por otro lado, se ha visto que las transposiciones tendinosas locales, en lesiones de más de 6 cm, son insuficientes para proporcionar un injerto fuerte(21). Además, hay autores que informan de desequilibrios funcionales tras el uso de tendones locales(22).
El uso de autoinjertos no se considera necesario, pues sacrificamos estructuras funcionales y aumenta la complejidad y el tiempo de intervención(23).
Existen casos descritos de utilización de materiales sintéticos, pero requieren un alto coste y están ligados a una tasa mayor de complicaciones, como la infección y la dehiscencia de las suturas(24).
Usar un aloinjerto es ventajoso, porque no presenta riesgos de morbilidad en el sitio donante y la tensión de la unidad músculo-tendón se puede ajustar con relativa facilidad. Al usar esta técnica no se sacrifica otro músculo que funcione para suplir el defecto. La cicatrización, además, se produce lejos de la zona de compromiso vascular (4-6 cm proximal a la inserción del Aquiles). Sin embargo, no está exento de complicaciones, como el rechazo inmunológico y la propagación de enfermedades transmitidas por la sangre(25). Además, sería importante comentar que el aloinjerto precisa de un proceso ulterior de invasión y proliferación celular, dado que tan solo es un andamiaje, y que su resistencia mecánica se consigue en virtud de dicha proliferación celular y remodelado tisular(20).
Existen casos en la literatura de la utilización combinada de transferencias del flexor hallucis longus asociado a plastias de aloinjerto de Aquiles. Según los autores, esta combinación favorece la reparación general y aumenta la vascularización del implante(26).
A su vez, existen casos de refuerzo de la plastia con material sintético(27).
En nuestro caso, se realizó una sutura término-terminal de la plastia, pues existía muñón distal suficiente. Existen trabajos en los cuales la plastia es fijada mediante un bloque óseo al calcáneo y fijación con tornillos(28,29).
El tratamiento de las roturas del tendón del calcáneo sigue siendo hoy por hoy un desafío para el cirujano.
De todos los trabajos analizados, se deduce la dificultad de comparar resultados debido a la heterogeneidad de los estudios entre sí. No hay homogeneidad ni en la técnica utilizada ni en el seguimiento postoperatorio. Además, las muestras son pequeñas y las escalas de valoración funcional varían según el estudio.
Se necesitan estudios prospectivos más homogéneos y con muestras y periodos de seguimiento mayores para extraer conclusiones válidas que nos ayuden a considerar el tratamiento más oportuno para estas complejas lesiones.