Introducción
Las fracturas de metatarsianos representan más de un tercio de las fracturas del pie y hasta un 5% de las del esqueleto(1,2,3,4,5). Se encuentran asociadas a traumatismos directos como aplastamientos, accidentes en motocicleta y heridas por proyectiles de arma de fuego en el 31% de los pacientes; o indirectos por mecanismos torsionales y lesiones deportivas en el 69% de los casos(1,2,3,6,7,8).
Pueden ocurrir en cualquier área del hueso: base, metáfisis, diáfisis, cuello y cabeza(1,4,6,7). Las fracturas del quinto metatarsiano son las más frecuentes(3,4,7,9), seguidas de las fracturas del cuello del segundo y el tercer metatarsianos, las cuales alcanzan hasta el 43% de los casos(4,6,7,9).
Se presentan como fracturas múltiples en el 57% de los pacientes(6,7) y usualmente no están desplazadas(4,10), por lo que la mayoría de las fracturas del cuello y la cabeza pueden ser tratadas de forma conservadora(2,11).
Es importante considerar la localización y el trazo de la fractura del metatarsiano para decidir el tratamiento más apropiado. El plano de la deformidad es fundamental en la toma de decisiones. Las deformidades en el plano sagital son las peor toleradas, pues no aceptan desplazamientos mayores. Estas deben ser tratadas oportunamente para evitar las metatarsalgias, queratosis plantares, neuromas, artrosis precoz (fracturas articulares), disminución del rango articular y alteraciones en la marcha(1,2,7,11).
Opciones terapéuticas
El tratamiento de las fracturas de metatarsianos se encuentra escasamente descrito en la literatura, con relación a su técnica quirúrgica o resultados clínicos. A pesar de su frecuencia, son consideradas de poca importancia y la literatura suele centrarse en aquellas que afectan al primer metatarsiano o a la base del quinto metatarsiano(2,3,7,8,10).
El objetivo del tratamiento es lograr un antepié funcional(1). Se considera exitoso aquel que evite la incapacidad prolongada, dirigida a la preservación de las partes blandas y la alineación ósea(7,10,12).
Puesto que las fracturas de metatarsianos son usualmente no desplazadas(4,10), resultan susceptibles de tratamiento ortopédico, en especial aquellas que afectan al cuello y la cabeza(2,11).
El tratamiento ortopédico consiste en movilización protegida, vendaje elástico, inmovilización con yeso, bota removible, zapatos de suela rígida o pantuflas de Lopresti durante 4 a 6 semanas(3,6,7,11,13,14). El manejo ortopédico ha demostrado resultados satisfactorios y excelentes(2,4,7).
Asimismo, el tratamiento funcional para las fracturas de los metatarsianos propuesto por Úbeda et al. (2011) parte de la idea de que una fractura metatarsiana no debiera comportarse de manera muy diferente a una osteotomía a la hora de ejercer una carga precoz, tal como se propugna en los principios de las técnicas quirúrgicas percutáneas del pie. Razón por la cual se estimula el apoyo de forma inmediata (antes del 3.er día) o precoz (3.º y 21.º días) con el uso de zapato de suela rígida(13,15,16).
El aparato músculo-ligamentoso del metatarso (músculos interóseos plantares y dorsales, lumbricales, ligamento transverso y ligamentos metatarsianos) actúa como sistema de contención capaz de mantener por sí mismo la posición bipodal del individuo y, ante una eventual fractura, trata de evitar un desplazamiento significativo de los fragmentos; el uso del zapato de suela plana y rígida consigue distribuir equitativamente las presiones entre calcáneo y cabezas metatarsianas, y la carga precoz permite pequeños movimientos del foco de fractura que estimulan la formación del callo óseo(15,16).
A pesar de que no existen estudios clínicos que demuestren mejores resultados funcionales(4), las indicaciones del tratamiento quirúrgico de las fracturas de metatarsianos menores en general propuestas por Shereff en 1990 (desplazamiento de más de 3 o 4 mm en el plano frontal, angulación mayor de 10° en el plano sagital y alteración en la parábola de Maestro) siguen siendo el patrón que define la conducta a tomar(6,7,17). Es importante considerar la localización, trazo y edad para decidir el tratamiento más apropiado.
El plano de la deformidad es fundamental en la toma de decisiones. Las deformidades en el plano sagital son las peor toleradas, no aceptando desplazamientos mayores de 3 o 4 mm o angulaciones mayores a 10°. Estas deben ser tratadas agresivamente para evitar las queratosis plantares dolorosas, más aún cuando no es posible obtener y mantener la reducción adecuada(7,11,13,18,19).
El tratamiento quirúrgico en fracturas abiertas y síndrome compartimental ha sido propuesto como indicación absoluta(19).
El tratamiento quirúrgico fue descrito por primera vez por Weber; consistía en el enclavado retrógrado de los metatarsianos(10,20). Es el actual tratamiento de elección, realizándose de forma percutánea a través de la base de la falange proximal(7). Si la reducción abierta es necesaria, la técnica del grupo AO por Heim y Pfeiffer (1987), a través del foco de fractura en sentido anterógrado, con posterior reducción de la fractura y fijación retrógrada, es la técnica de elección(21).
La versatilidad de los alambres de Kirschner para el tratamiento de las fracturas de metatarsianos ha dado origen a múltiples técnicas y constituyen el principal material de osteosíntesis en el arsenal del traumatólogo en este tipo de fracturas(1,10,13).
Las técnicas quirúrgicas descritas para el tratamiento de las fracturas de metatarsianos son numerosas. Podrían clasificarse de acuerdo con el abordaje(1,10) (cerrada, mínimamente invasiva o abierta), con el sitio de iniciación (anterógrada(2,6,10,22), transversa(23), intrafocal(21,24,25) y retrógrada(2,10)), con la invasión de la articulación metatarsofalángica (invasivas y no invasivas) y con el principio de osteosíntesis(1,7,10,11) (enclavado endomedular, compresión interfragmentaria, neutralización con placa y fijación externa).
A pesar de que los resultados reportados en el tratamiento de las fracturas de metatarsianos son buenos, existen complicaciones como: consolidación viciosa, pseudoartrosis, retardos de consolidación e infección(2).
Enclavado endomedular anterógrado y apoyo precoz
Actualmente, el enclavado endomedular anterógrado es ampliamente utilizado en el tratamiento de las fracturas de metacarpianos, pero poco se ha escrito acerca de su uso en metatarsianos(2,4,7,8,10).
En el presente estudio se combinaron los principios del tratamiento quirúrgico con enclavado endomedular anterógrado y el tratamiento funcional preconizado por Úbeda et al. (2011), que consiste en la carga inmediata o precoz del pie (según la tolerancia del paciente al dolor) con zapato de marcha de suela rígida previa infiltración de una mezcla de anestésico y esteroide de depósito.
Material y métodos
Tipo de estudio
Estudio de serie de casos.
Población y muestra
En el periodo comprendido entre enero y agosto de 2017 se atendieron por emergencia y consulta de nuestro servicio especializado en traumatología y ortopedia un total de 21 pacientes con 33 fracturas de metatarsianos.
De los 21 pacientes, 13 fueron excluidos (21 fracturas de metatarsianos) por no cumplir los criterios de inclusión: 5 pacientes (11 metatarsianos) fueron excluidos por presentar lesiones asociadas que comprometían su deambulación, 3 pacientes (5 metatarsianos) por tener fisis abiertas, 2 pacientes (2 metatarsianos) por tener fracturas de base del quinto metatarsiano, 2 pacientes (2 metatarsianos) por tener fracturas del primer metatarsiano y 1 paciente (1 metatarsiano) que se retiró de nuestra institución antes de su tratamiento quirúrgico.
Las características de los pacientes intervenidos quirúrgicamente se puntualizan a continuación:
- Género: 6 masculinos y 2 femeninos.
- Tipo de fractura: 5 pacientes con fracturas cerradas y 3 pacientes con fracturas abiertas (2 de tipo I y 1 de tipo II de acuerdo con Gustilo y Anderson).
- Número de metatarsianos fracturados: 5 pacientes con fracturas aisladas de metatarsianos y 3 pacientes con fractura de múltiples metatarsianos (2 pacientes con fracturas en 2 metatarsianos y 1 con fractura en 3 metatarsianos).
Criterios de inclusión
- Fracturas cerradas y abiertas (I-IIIa según Gustilo y Anderson) de metatarsianos menores.
- Pacientes mayores de 11 años con fisis cerradas.
- Fracturas diafisarias y cervicales aisladas o múltiples de trazo simple.
- Pacientes sin antecedentes ni comorbilidades que comprometan su deambulación.
Criterios de exclusión
- Fracturas del primer metatarsiano.
- Fracturas de la base del quinto metatarsiano.
- Fracturas por estrés de metatarsianos menores.
- Fracturas complejas o conminutas.
- Pacientes con osteoporosis.
- Fracturas abiertas IIIb según Gustilo y Anderson.
Técnica quirúrgica
La técnica quirúrgica utilizada por los autores del presente estudio para el tratamiento de las fracturas diafisarias y cervicales de metatarsianos menores es una modificación de la técnica de Kim et al. (2011 y 2012)(2,26). Se describe a continuación:
- Previa anestesia locorregional, se coloca al paciente en posición supina con la rodilla flexionada en ángulo recto y apoyando el pie sobre el campo quirúrgico. La inversión del pie puede ser muy útil durante varias etapas del procedimiento.
- Se posiciona el fluoroscopio en la posición definitiva para la obtención de las imágenes durante la intervención quirúrgica.
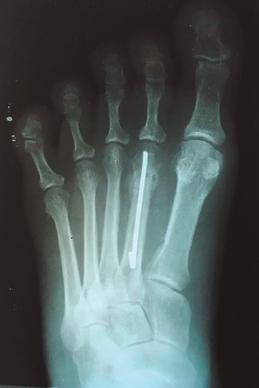
- Se ubica el punto de iniciación en la cara dorsal de la base del metatarsiano menor afectado guiado por fluoroscopia y se practica una incisión de 1 cm sobre la misma en caso de ser necesario, como se muestra en la Figura 1A.
- Con la ayuda de un portabroca se realiza iniciación utilizando el extremo puntiagudo del alambre de Kirschner, del mayor diámetro permitido por el canal medular del metatarsiano a tratar, cuidando tener la orientación adecuada para la siguiente progresión del alambre en los planos coronal y sagital, como se muestra en la Figura 1B.
- Se realiza la reducción del foco de fractura con maniobras indirectas de reducción cerrada a través de la tracción del dedo del metatarsiano fracturado(1), la manipulación directa del extremo distal del metatarsiano operado, la maniobra de Metaizeau(10,26) o directas. En caso de ser fracturas múltiples, se reducirá primeramente el metatarsiano más desplazado(2,26). Siempre se debe estar preparado para la reducción abierta, pero solo se realizarán maniobras de reducción abierta cuando se trate de una fractura abierta o cuando la reducción de la fractura no pueda alcanzarse con las técnicas previamente mencionadas(1).
- Se introduce el extremo obtuso del alambre a través del sitio de iniciación, configurando tanto una curva o gancho en el mismo, como se aprecia en la Figura 1C, como un premoldeado del alambre en arco de violín, y se progresa utilizando un movimiento de pronosupinación hasta alcanzar la cabeza del metatarsiano como en las Figuras 1D y 1E. Progresando el extremo obtuso del alambre se evita la formación de falsas vías y realizando el premoldeado se cumple el principio de triple apoyo, lo que favorece la estabilidad del constructo. Se utilizan alambres de 1,5, 2 y 2,5 mm de acuerdo con el diámetro del canal endomedular, de forma individual o doble, de acuerdo con la estabilidad que amerite el trazo de la fractura, como en el caso de la Figura 1F.
- El extremo restante del alambre es doblado en 90° y se corta dejando al menos un centímetro fuera de la piel para evitar su inclusión en la misma y permitir su fácil retiro a la octava semana, como se visualiza en la Figura 1G.
Figura 1. A: ubicación de la base del segundo metatarsiano e incisión dorsal para iniciación bajo visión directa; B: iniciación en el dorso de la base metatarsiana guiada por fluoroscopio; C: configuración curva del extremo romo de un alambre de Kirschner de 2 mm para evitar la formación de falsas vías y facilitar su progresión en el canal endomedular metatarsiano; D y E: progresión del alambre de Kirschner a lo largo del canal endomedular del metatarsiano guiada por fluoroscopio favorecida por la configuración curva de su extremo romo; F: fijación interna con doble alambre de Kirschner para aumentar la estabilidad del foco de fractura; G: extremo restante del alambre de Kirschner doblado en 90° en el dorso del pie para facilitar su extracción al finalizar el tratamiento.

Control postoperatorio
El tratamiento postoperatorio consistió en:
- Inmovilización durante 10 días con férula de yeso suropédica, crioterapia, elevación y movilización activa de las articulaciones del miembro inferior.
- A los 10 días se sustituyó la férula de yeso suropédica por un zapato postoperatorio de suela rígida y se le indicó al paciente que iniciara el apoyo con carga según la tolerancia y sin restricción. La marcha pudo ser asistida con muletas si así lo requirió durante su evolución.
- Se le practicaron estudios radiológicos en la tercera y la octava semanas.
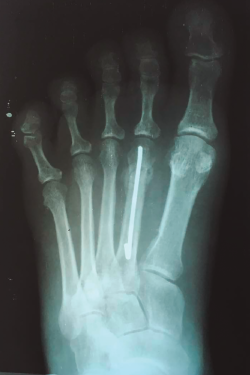
- La retirada del alambre se realizó solo en caso de infección del trayecto del mismo o cuando se constató consolidación ósea radiológicamente (usualmente en la octava semana), como en la Figura 2.
Figura 2. Consolidación radiológica del foco de fractura del cuello del segundo metatarsiano a la sexta semana postoperatoria.
Figura 2. Consolidación radiológica del foco de fractura del cuello del segundo metatarsiano a la sexta semana postoperatoria.

Variables y operacionalización de las variables
Las variables a estudiar en nuestro trabajo se resumen en la Tabla 1. La recolección de estos datos se realizó en la tercera y la octava semanas del postoperatorio en cada paciente a través de un formulario. Este procedimiento fue supervisado por un especialista de pie y tobillo adscrito a nuestro servicio. La operacionalización de las variables se llevó a cabo utilizando el programa estadístico SPSS versión 19.0 y la prueba T de Student para la correlación de variables estudiadas.
Tabla 1. Variables de estudio en el tratamiento de fracturas diafisarias y cervicales de metatarsianos menores con enclavado endomedular anterógrado en nuestro centro entre enero y agosto de 2017

Procedimientos
- Diagnóstico clínico y radiológico de fractura de metatarsiano en pacientes que cumplan con los criterios de inclusión en nuestro estudio.
- Previo consentimiento informado, se registran los datos preoperatorios del paciente.
- Bajo la supervisión de un especialista de pie y tobillo, se procede a realizar enclavado endomedular anterógrado de fractura de metatarsiano con alambre de Kirschner e inmovilización antálgica postoperatoria con férula de yeso suropédico según la técnica descrita.
- Se cita al paciente para su control ambulatorio siguiendo el protocolo postoperatorio descrito y se evalúan, a los 10 días y 3 y 8 semanas para completar el registro postoperatorio, bajo la supervisión de un especialista de pie y tobillo, las variables de estudio (movimiento metatarsofalángico, apoyo y deambulación, dolor y consolidación ósea).
- Vaciamiento de datos y análisis estadístico de la información.
- Discusión de resultados.
Aspectos éticos
El protocolo de investigación fue aprobado por el Comité de Bioética del hospital.
Resultados
Los resultados del movimiento metatarsiano, apoyo y deambulación, dolor al apoyo y deambulación, y consolidación ósea de los 8 pacientes (12 metatarsianos) incluidos en nuestro estudio se presentan en la Tabla 2.
Tabla 2. Resultados del tratamiento de fracturas diafisarias y cervicales de metatarsianos menores con enclavado endomedular anterógrado y apoyo precoz tratados en nuestro centro entre enero y agosto de 2017

De las 12 fracturas de metatarsianos tratadas quirúrgicamente (8 pacientes), el 100% presentó movimiento metatarsofalángico desde el postoperatorio inmediato, constatándose el mismo en los controles de la tercera y la octava semanas.
Con relación al apoyo y la deambulación, de los 8 pacientes (12 metatarsianos), el 100% presentó apoyo y deambulación para el control de la tercera semana, el 50% de ellos asistidos por muletas. La presencia de múltiples fracturas de metatarsianos y apoyo y deambulación asistida para el control de la tercera semana mostró una relación estadísticamente significativa (p < 0,002) al realizar la prueba t de Student. El 100% de ellos logró apoyo y marcha independiente para su control a la octava semana.
En cuanto al dolor cuantificado según la escala análoga del dolor: la media cuantificada para el control de la tercera semana representó 2,37; para la octava semana, 1,25.
De las 12 fracturas de metatarsianos, 11 de ellas (91,66%) presentaron signos de consolidación ósea para el control de la octava semana, como se representa en la Figura 2. Solo en un paciente una de las fracturas de metatarsianos (8,34%) presentó retardo en su consolidación, que alcanzó a la décima semana.
El seguimiento de los pacientes se realizó por un tiempo mínimo de 20 semanas, momento en el cual se contactó con los pacientes por vía telefónica sin reporte de complicaciones o insatisfacción en relación con las variables estudiadas.
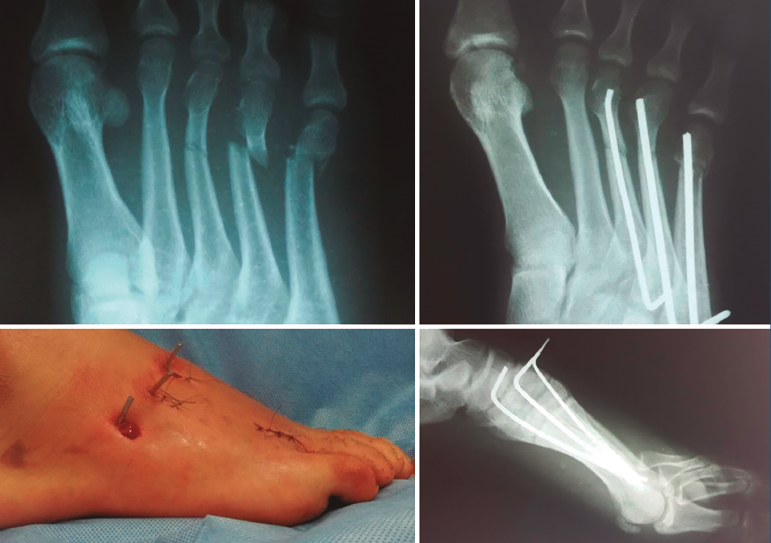
Figura 3. Sexto paciente objeto de nuestro estudio, masculino, de 21 años, que sufre fractura en 3.º, 4.º y 5.º metatarsianos por traumatismo directo en accidente de motocicleta. En sentido horario empezando arriba a la izquierda: radiografía preoperatoria, radiografías postoperatorias a la tercera semana (proyecciones anteroposterior y lateral en apoyo), aspecto del pie al finalizar el procedimiento quirúrgico.

En las Figuras 3 y 4 se presentan los resultados postoperatorios de los pacientes incluidos en nuestro estudio.
Figura 4. Octavo paciente objeto de nuestro estudio, femenino, de 60 años, quien sufre fractura en 5.º metatarsiano por traumatismo indirecto en caída por motocicleta. En sentido horario empezando arriba a la izquierda: imagen fluoroscópica lateral al finalizar el procedimiento quirúrgico, radiografía preoperatoria, fijación interna anterógrada con doble alambre de Kirschner de 1,5 mm y aspecto del pie al finalizar el procedimiento quirúrgico.

Discusión
Los resultados del tratamiento de fracturas de metatarsianos menores están pobremente documentados en la literatura a pesar de su frecuencia(2,4,7,8).
Cakir et al. (2010) y Joplin et al. (1958) reportaron en sus estudios del tratamiento conservador en fracturas de metatarsianos resultados buenos y excelentes en general, de acuerdo con escalas funcionales, en 322 y 34 pacientes, respectivamente(4,27). En contraste, Sánchez Alepuz et al. (1996) reportaron pobres resultados en el 41% de 57 pacientes con fracturas de metatarsianos centrales.
Los pobres resultados del tratamiento conservador se han relacionado con desplazamientos mayores de 2 mm, desplazamientos en el plano sagital y axial, y fracturas de alta energía con compromiso de partes blandas(4,8); y también con índice de masa corporal elevado, diabetes y en pacientes femeninos, como ha sido demostrado de igual forma en fracturas de tobillo(4,28,29,30,31).
Se ha reportado en la literatura la relación entre las fracturas múltiples de metatarsianos y peores resultados funcionales cuando son comparadas con luxofracturas de Lisfranc y Chopart, aunque sigue siendo un tema controvertido(15,31).
Asimismo, el tratamiento funcional propuesto por Úbeda et al. (2011) reportó excelentes resultados según escalas funcionales en fracturas del primer metatarsiano, de metatarsianos centrales, quintos metatarsianos y múltiples metatarsianos en 276 pacientes(15).
La evidencia científica no ha demostrado mejores resultados funcionales con el tratamiento quirúrgico de los metatarsianos menores(4,8). Esto se debe a que no existen estudios sistemáticos que reporten sus resultados funcionales, salvo aquellos referentes a la base del quinto metatarsiano(7).
Spector et al. (1984) trataron 12 pacientes con fracturas aisladas de metatarsianos. Cinco fueron tratados conservadoramente y 7 fueron tratados con reducción abierta y fijación interna, con resultados excelentes y buenos en 8 (67%), y aceptables en 4 (33%)(32).
Solo existen 3 reportes de series de casos en fracturas de metatarsianos menores utilizando la técnica del enclavado endomedular anterógrado publicados en la literatura hasta la fecha.
Su combinación con la técnica de Metaizeau (1993), en la cual se realiza una pequeña curvatura en el extremo distal del alambre de Kirschner, permite una fácil reducción del fragmento distal lejos del lugar de la fractura a través de la rotación del alambre, lo cual disminuye las tasas de no unión e infección sin posterior limitación ni dolor(2,10).
Aguado et al. (2003) reportaron por vez primera el tratamiento de fracturas cervicales múltiples de metatarsianos menores en 3 pacientes con enclavado endomedular anterógrado con técnica de Metaizeau y apoyo progresivo con yeso partir de la segunda semana, con resultados funcionales excelentes y poco riesgo de complicaciones(10).
Baumfeldt et al. (2012) publicaron una serie de 14 casos con fracturas de metatarsianos menores y apoyo a la sexta semana en la que lograron resultados buenos y excelentes en todos los pacientes con un seguimiento de 6 meses, sin complicaciones(6).
Kim et al. (2012) reportaron una serie de 35 casos consecutivos tratados con enclavado endomedular anterógrado con apoyo parcial inmediato y total a partir de la cuarta semana, con resultados excelentes según escalas funcionales con una media de 16 meses de seguimiento, alcanzando la consolidación ósea en un rango entre 6 y 10 semanas(2).
Nuestra serie de 8 pacientes con un total de 12 fracturas de metatarsianos representa la primera en su estilo. Combinando los principios del tratamiento funcional y el enclavado endomedular anterógrado como sugiere Kim et al. (2012), permitiendo la carga completa según la tolerancia a partir del décimo día postoperatorio.
Entre los beneficios de la técnica destacan: su bajo coste, la reintegración precoz a las actividades cotidianas, con apoyo y deambulación según la tolerancia a partir del décimo día postoperatorio, con el uso de una técnica anatómica cerrada que conserva la indemnidad de la articulación metatarsofalángica y los tegumentos plantares, y la posibilidad de realizarlo bajo anestesia locorregional.
Los riesgos no son diferentes a los de las otras técnicas publicadas utilizadas para el manejo de esta patología(2,6,10). Corresponden a aquellos inherentes a todo procedimiento quirúrgico traumatológico (hemorragia, infecciones del sitio operatorio, pérdida de la reducción de la fractura, osteomielitis, retardo de consolidación, pseudoartrosis y metatarsalgia).
Las limitaciones de nuestro estudio corresponden al tamaño de la muestra y al carácter observacional del mismo.
Nuestros resultados son comparables a las series de Baumfeldt et al. (2012) y Kim et al. (2012) en términos de rango de movimiento metatarsofalángico (presencia en el 100% desde la tercera semana), apoyo y marcha a partir de la tercera semana (en el 100%), dolor al apoyo (media de 2,37 y 1,25 según la escala análoga del dolor a la tercera y la octava semanas respectivamente), tasa de consolidación (en más del 90% para la octava semana).
Conclusiones
Según nuestros resultados, podemos concluir que el enclavado endomedular anterógrado con alambres de Kirschner y apoyo precoz es una opción terapéutica para el tratamiento de fracturas diafisarias y cervicales simples de metatarsianos menores, con resultados excelentes en cuanto a rango de movimiento, apoyo y deambulación precoz, dolor postoperatorio y consolidación ósea; resulta útil en el tratamiento de fracturas aisladas por la independencia en la deambulación alcanzada a partir de la tercera semana.