Introducción
La tendinopatía insercional del tendón de Aquiles supone entre el 20 y el 24% de toda la patología que presenta dicho tendón(1,2). Clínicamente, suele manifestarse por dolor y tumefacción en la zona de inserción tendinosa junto con limitación funcional que puede asociarse con pérdida de fuerza para la flexión plantar del tobillo, llegando en ocasiones a provocar alteraciones en la deambulación con marcha en equino y/o cojera(3).
La etiología de esta patología todavía no está clara, aunque hoy en día parece que su origen es multifactorial(4,5). Existen distintos factores que pueden dar origen al desarrollo de un cuadro de tendinopatía insercional de Aquiles. Por un lado, hay factores extrínsecos tales como la edad, el tipo de calzado, algunas medicaciones (corticoides o quinolonas), la actividad deportiva o la obesidad. Y, por otro, existen factores intrínsecos entre los que se encuentran alteraciones estructurales o biomecánicas que pueden ser responsables de la aparición de esta patología(1). Dentro de este último grupo se encuentra la retracción del complejo gemelo-sóleo(2).
El hecho de presentar una retracción de la musculatura gemelar condiciona una distribución de cargas anómala en el equilibrio fisiológico gemelo-sóleo sobre el tendón, lo que conlleva un daño en las fibras tendinosas que desembocará en un cuadro de tendinopatía insercional o no insercional, según la localización de las fibras afectadas(5,6). En función de este mecanismo etiopatogénico planteamos como opción de tratamiento quirúrgico de la tendinopatía insercional de Aquiles la cirugía de liberación proximal de gemelo medial (GPR), con el objetivo de conseguir una distribución de cargas más fisiológica a lo largo del sistema gemelo-sóleo-Aquiles y con ello mejorar la clínica de nuestros pacientes.
Dentro del protocolo de tratamiento de la tendinopatía insercional de Aquiles, el primer escalón lo siguen constituyendo las medidas no quirúrgicas(7). Dentro de este grupo, juegan un papel fundamental los ejercicios excéntricos sobre la musculatura del tríceps sural. Sin embargo, frente al gran porcentaje de mejoría que obtienen en cuadros de tendinopatía no insercional (89%), solo consiguen alcanzar cifras del 32 al 67% de mejoría clínica significativa en la patología insercional según los estudios publicados(1,2,8). Una vez cumplidos al menos 6 meses de tratamiento conservador, si existe persistencia de la clínica, hay que valorar la opción del tratamiento quirúrgico. Existen múltiples opciones de tratamiento quirúrgico para la tendinopatía insercional de Aquiles. En la literatura existen pocas publicaciones sobre la cirugía del complejo gemelo-sóleo como tratamiento para esta patología. Dichas publicaciones valoran, en su mayoría, técnicas sobre la unión miotendinosa como la técnica de Vulpius o el Strayer. Tras realizar una búsqueda bibliográfica, solo hemos encontrado una publicación sobre el efecto de la liberación proximal del gemelo medial en el tratamiento de la tendinopatía insercional de Aquiles(9). Se trata de un estudio con un número muy reducido de casos en el que solo se analizan los resultados de 4 pacientes. En función de esto, el objetivo del presente estudio es analizar el resultado clínico así como las complicaciones asociadas al tratamiento de la tendinopatía insercional de Aquiles mediante la técnica quirúrgica de GPR.
Material y métodos
Para el presente estudio se recogieron los casos intervenidos en nuestro centro de GPR con diagnóstico de tendinopatía insercional de Aquiles desde diciembre de 2011 hasta noviembre de 2017. Todos los pacientes firmaron un consentimiento informado específico en el que se recogía en qué consistía la intervención, los riesgos y las complicaciones más frecuentes, así como los tratamientos alternativos disponibles. Reunimos un total de 19 intervenciones en 15 pacientes (Tabla 1). La edad media de los casos fue de 49,95 años (rango: 25-70 años). Todos los pacientes presentaban un diagnóstico de tendinopatía insercional de Aquiles con una duración media de los síntomas de 21 meses (rango: 9-36 meses) antes de la realización de la intervención quirúrgica. El diagnóstico de dicha patología en todos los casos se realizó mediante exploración clínica por parte de un especialista de la Unidad de Pie, junto con estudio de radiología simple y resonancia magnética. Asimismo, en todos los casos se habían completado al menos 6 meses de tratamiento conservador sin alcanzar mejoría de la sintomatología. Catorce pacientes habían recibido tratamiento rehabilitador, 13 habían usado plantillas ortopédicas y 2 casos habían recibido infiltración de corticoides antes de la intervención, sin referir con dichos tratamientos una mejoría significativa de su clínica. Todos los pacientes habían sido diagnosticados de retracción gemelar mediante el test de Silfverskiöld. Consideramos que el test es positivo cuando la flexión dorsal del tobillo con la rodilla en extensión no alcanza la posición neutra de 90°, mientras que al realizar la flexión de la rodilla y, por tanto, relajar la musculatura gemelar, se obtiene una flexión dorsal que permite alcanzar los 90° o incluso superarlos. También se considera positivo cuando al realizar flexión de la rodilla se ganan entre 15 y 20° de flexión dorsal del tobillo. Todas estas mediciones las hemos realizado con el retropié en supinación para tratar de eliminar la movilidad de la articulación subastragalina que podría influir en las mediciones de la movilidad del tobillo. Las mediciones tanto prequirúrgicas como posquirúrgicas son realizadas por el mismo especialista usando un goniómetro y tomando como referencias anatómicas el borde externo del quinto metatarsiano y la diáfisis del peroné, dado que son relieves óseos fácilmente identificables en el paciente. Este test tiene una sensibilidad del 89% y una especificidad del 90% para el diagnóstico de retracción gemelar(10). Aquellos pacientes que presentaron un test de Silfverskiöld negativo fueron excluidos del estudio y se les ofreció otra opción quirúrgica para su patología aquílea.
Tabla 1. Datos de los pacientes participantes en el estudio

Durante el periodo de seguimiento se recogieron los valores subjetivos de la escala visual analógica (EVA) tanto preoperatoriamente como al final del seguimiento. Para conocer el grado de satisfacción personal con el procedimiento se realizó una encuesta a los pacientes preguntándoles el grado de satisfacción con el resultado y si recomendarían la cirugía. En los casos en que la cirugía se realizó en un solo miembro, se les preguntó si se intervendrían del miembro contralateral. Finalmente, recogimos las complicaciones tanto mayores como menores (Tabla 2) que surgieron durante todo el seguimiento.
Tabla 2. Complicaciones posquirúrgicas
Tabla 2. Complicaciones posquirúrgicas

Técnica quirúrgica
La técnica quirúrgica que hemos utilizado en todos los casos ha sido la correspondiente a la publicada por nuestro servicio en 2012(11) y que procedemos a detallar.
El paciente es colocado en la mesa de quirófano en decúbito prono y con ambos pies fuera de la misma, comprobando que se puede realizar una flexión dorsal completa del tobillo.
Una vez se prepara el campo quirúrgico, el cirujano, que se coloca en el mismo lado del miembro a intervenir, dibuja la incisión con un rotulador dermográfico marcando la fóvea medial del pliegue de flexión de la rodilla y, a continuación, un centímetro lateral a esta, se dibuja una línea transversa de aproximadamente 2-3 centímetros. Durante el marcaje de la incisión, el ayudante realiza maniobras de flexión de la rodilla para comprobar la situación del pliegue de flexión. A continuación, se realiza anestesia local de la zona usando la mezcla de 5 mL de lidocaína al 2% y 5 mL de levobupivacaína al 0,5%.
Figura 1. Identificación y selección del gemelo medial. A: selección digital; B: selección con disector para exposición del gemelo medial.

Tras realizar la incisión en la piel, siguiendo la línea marcada previamente, se realiza una disección del tejido celular subcutáneo, se abre la fascia superficial y se localiza manualmente la cabeza del gemelo medial con el dedo índice. Mientras se realiza esta maniobra, se realiza flexoextensión del tobillo con el objetivo de comprobar la tensión del músculo y evitar seleccionar alguna estructura distinta al gemelo cuando realicemos su exposición y corte posterior. Una vez confirmada la cabeza del gemelo medial, se pasa un disector entre esta estructura y la tibia (Figura 1). De esta manera, queda expuesta la cabeza del gemelo medial. Se procede entonces al corte de las fibras blancas (fibras aponeuróticas) (Figura 2) y comprobamos el aumento de la flexión dorsal del tobillo con la rodilla en extensión. Retiramos el disector y, tras el lavado de la herida, se procede a su cierre.
Figura 2. A: gemelo medial expuesto (flecha negra: fibras blancas aponeuróticas); B: corte de fibras blancas (flecha blanca: borde de fibras blancas cortadas, apreciándose fibras musculares rojas más profundas íntegras).

En los casos bilaterales se repite el mismo proceso sobre el miembro contralateral en el mismo acto quirúrgico.
Esta cirugía es un proceso ambulante que no requiere el ingreso del paciente. Se permite la deambulación con apoyo completo desde el principio y se le entrega al paciente una hoja con ejercicios de estiramiento de la musculatura gemelar que debe comenzar a las 48 horas de la cirugía. La realización de actividad deportiva se permite a partir del mes de la intervención, salvo complicaciones. Dado que se trata de una intervención sobre el miembro inferior y la movilidad del paciente suele estar limitada durante el primer mes, pautamos heparina de bajo peso molecular para reducir el riesgo de desarrollar trombosis venosa profunda.
Análisis estadístico
El análisis estadístico fue realizado con el programa SPSS versión 20.0. Los valores de las variables cualitativas son expresados en porcentajes y las cuantitativas mediante la media y el rango. El análisis se realizó usando el test de Wilcoxon considerando diferencias estadísticamente significativas valores de p inferiores a 0,05.
Resultados
El seguimiento medio posquirúrgico de los pacientes fue de 19,63 meses (rango: 12-36 meses). Un total de 9 pacientes (60%) se encontraban satisfechos o muy satisfechos con los resultados clínicos obtenidos (4 de ellos eran casos en los que la intervención se realizó de manera bilateral). El 40% restante refería encontrase poco o nada satisfechos.
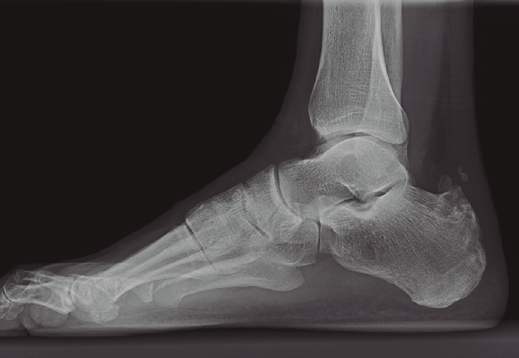
Solo 2 pacientes (13%) requirieron una segunda intervención dada la persistencia de los síntomas al año de la cirugía de GPR. Estos 2 pacientes presentaban casos de Haglund con calcificación extensa en el área insercional (Figura 3) que fueron tratados mediante calcaneoplastia: en un caso abierta y en otro caso artroscópica, obteniendo mejoría clínica significativa únicamente en el segundo caso.
Figura 3. Caso con deformidad de Haglund avanzada y calcificaciones en la zona insercional.

Los resultados de la EVA pasaron de un valor medio preoperatorio de 8,6 a un valor postoperatorio de 3,1, lo cual resultó ser una mejoría estadísticamente significativa (p < 0,05). Un total de 11 pacientes (73,33%) recomendarían la intervención o se intervendrían del miembro contralateral.
En cuanto a las complicaciones posquirúrgicas, ninguno de los pacientes presentó complicaciones mayores y tan solo 2 casos (10,5%) presentaron un hematoma superficial en el área del gemelo medial que se resolvió con medidas locales sin requerir nuevas intervenciones quirúrgicas.
A los 6 meses de la intervención de GPR el 93% de nuestros pacientes (14/15) retornaron a su actividad laboral y deportiva previa.
Discusión
La tendinopatía insercional de Aquiles, como la mayoría de las patologías tendinosas, presenta la posibilidad de recibir tratamiento quirúrgico una vez se haya agotado el tratamiento conservador sin haber obtenido una mejoría clínica significativa. Según algunos estudios, entre el 25 y el 50% de los pacientes que presentan tendinopatía de Aquiles requerirán algún tratamiento quirúrgico a lo largo de todo el seguimiento(12).
Actualmente, existen múltiples opciones de tratamiento quirúrgico para la tendinopatía insercional de Aquiles. En general, podríamos dividirlas en técnicas que realizan tratamientos locales sobre la zona insercional, ya sean procedimientos abiertos o artroscópicos, y técnicas quirúrgicas que tratan de mejorar el cuadro actuando fuera de la zona insercional, como los procedimientos de alargamiento del complejo gemelo-sóleo, entre los que se encuentra la cirugía de GPR.
Esta intervención quirúrgica fue descrita en 1924 por SilfversKiöld(13), posteriormente modificada por Barouk en 2005(14) y por De Los Santos en 2012(11,12). Inicialmente, este procedimiento fue descrito para el tratamiento de deformidades espásticas en equino en pacientes con parálisis cerebral(15), pero con los años se ha comenzado a utilizar en un gran número de patologías del pie tales como la metatarsalgia, la fascitis plantar, el pie plano, la enfermedad de Charcot-Marie-Tooth, las úlceras del pie diabético, las deformidades de dedos menores o en patologías del tendón de Aquiles tales como las tendinopatías insercionales(12,16,17,18,19).
En la revisión de la literatura que realizó Cychosz(20) en 2015 sobre la evidencia científica que existía en el uso de la cirugía del complejo gemelo-sóleo como tratamiento de las distintas patologías del pie y el tobillo, solo se encontraron 5 publicaciones que estudiasen la relación entre dicha cirugía y la tendinopatía del Aquiles. De estos estudios, solo 4 correspondían a estudios de nivel 4 (series retrospectivas de casos) y de todos ellos solo 1 analizaba la técnica de GPR. Este estudio publicado en 2013 por Gurdezi(9) además es el único que analizaba los resultados en pacientes con tendinopatía insercional, ya que el resto de los estudios han sido realizados en cuadros de tendinopatía no insercional. Se trata de una serie de 4 pacientes diagnosticados de patología insercional de Aquiles (uno de ellos con un cuadro bilateral) y 5 pacientes de patología no insercional sin respuesta a tratamiento conservador durante al menos 6 meses. La mejoría en las escalas usadas (EVA, American Orthopaedic Foot and Ankle Society –AOFAS– y Victorian Institute Sports Assessment-Achilles –VISA-A–) fue estadísticamente significativa en el grupo de los pacientes con tendinopatía no insercional, mientras que los resultados no alcanzaron significación estadística en los casos de patología insercional y requirieron de una segunda intervención. Esta mejoría del primer grupo (pacientes con patología no insercional) también se aprecia en el resto de los estudios de la revisión de Cychosz(20). Nuestra serie de casos es bastante más larga, con 19 intervenciones en 15 pacientes diagnosticados de tendinopatía insercional, y los resultados son más favorables, obteniendo un valor medio de la EVA posperatorio de 3,1 en comparación con los 5,9 puntos medios postoperatorios de los 4 pacientes que se presentan en el estudio de Gurdezi.
Estos resultados, junto con las conclusiones de la revisión de Cychosz(20) que establecen un grado de recomendación de la técnica de GPR en la tendinopatía insercional de Aquiles de “I” (insuficiente), ponen de manifiesto la necesidad de estudios que analicen los resultados de las técnicas de alargamiento del complejo gemelo-sóleo en el tratamiento de la patología insercional del Aquiles, estudiando un mayor número de pacientes.
Si analizamos las complicaciones en el estudio de Gurdezi(9), se produjeron en 2 casos: un caso de trombosis venosa profunda y otro de herida hipertrófica. Esto representa el 50% de su serie pero, dado el bajo número de pacientes que analizan, estos resultados no resultan significativos. En nuestro análisis solo tuvimos 2 casos de hematomas locales (10%) y ningún paciente presentó complicaciones mayores. Estos resultados son similares a los de otros estudios sobre la misma técnica quirúrgica con un número mayor de casos pero sobre distinta patología. En otra publicación de nuestro grupo(19) en que se analizaban 78 intervenciones quirúrgicas de GPR sobre pacientes con cuadro clínico de metatarsalgia no hubo ninguna complicación mayor. Solo hubo algunos casos de hematoma posquirúrgico (21 casos) o edemas (4 casos) que se resolvieron espontáneamente sin necesidad de tratamiento específico y sin dejar secuelas en los pacientes. Asimismo, en el estudio publicado por Monteagudo(21) en pacientes con fascitis plantar, de los 30 casos analizados solo uno de ellos presentó una complicación menor: un hematoma local en la zona de la pierna que se resolvió sin necesidad de medidas adicionales. Esto hace pensar que la técnica de GPR presenta un índice de complicaciones bastante bajo. Además, si comparamos la técnica de GPR con otras técnicas para el alargamiento del complejo gemelo-sóleo en una zona más distal, tales como la técnicas de Vulpius, Baumann o el Strayer, la liberación proximal es capaz de reducir las complicaciones más frecuentes relacionadas con estas técnicas, tales como las cicatrices poco estéticas o la lesión de estructuras como el nervio sural, el nervio safeno o la vena safena mayor(22,23,24,25) dado que la zona de intervención se encuentra alejada del área anatómica por la que discurren habitualmente.
En cuanto a las otras técnicas quirúrgicas que existen para el tratamiento de la tendinopatía insercional de Aquiles, en la literatura existen pocas revisiones que lleven a cabo estudios comparativos, lo cual hace difícil recomendar el uso de una u otra intervención(26). Chimenti(27), en una de las últimas revisiones publicadas, llega a la conclusión de que la única técnica quirúrgica que presenta un grado B de recomendación es la cirugía abierta de desbridamiento y descompresión tendinosa. El resto de las opciones quirúrgicas (cirugía percutánea, GPR, cirugía endoscópica o mínimamente invasiva y la transposición del flexor hallucis longus) tienen un grado I (insuficiente) de recomendación fundamentalmente debido a las pocos estudios publicados sobre las mismas.
Wiegerinck et al.(28) realizaron una revisión sistemática de la literatura para analizar los resultados de los distintos tratamientos quirúrgicos de la tendinopatia insercional de Aquiles manifestada clínicamente en forma de bursitis retrocalcánea. Llevaron a cabo el análisis de 15 estudios, 12 de los cuales evaluaban el tratamiento quirúrgico abierto convencional mediante resección del proceso posterosuperior del calcáneo junto con la bursa retrocalcánea y los otros 3 analizaban la realización de esta misma resección pero usando la vía artroscópica. Dentro de los resultados que obtuvieron, el porcentaje de excelentes o buenos resultados fue del 91% (83-96%) cuando la intervención se realizaba mediante artroscopia y del 73% (30-95%) en los estudios que valoraban las técnicas de cirugía abierta. Esta diferencia de porcentaje se atribuyó fundamentalmente a la recuperación más rápida postoperatoria que ofrecen las técnicas artroscópicas, así como a la menor cicatriz que estas presentan. En nuestro estudio, el 60% de los pacientes presentaron excelentes o buenos resultados, subiendo este porcentaje hasta el 70% si eliminamos los casos que presentaban deformidades importantes a nivel de la inserción del Aquiles tales como calcificaciones de gran tamaño o cuadros de Haglund, donde no estaría indicada la GPR de forma aislada. Es decir, resultados de satisfacción muy similares a los estudios que analizaban las técnicas de cirugía abierta.
Además, en nuestra serie, al igual que los resultados encontrados con las técnicas artroscópicas de esta revisión, el índice de reintervenciones fue muy bajo, siendo incluso inexistentes en los 13 pacientes que no presentaban anomalías morfológicas en la zona insercional. Este hecho, junto con los resultados globales de nuestra serie, nos ha llevado a plantear que la indicación de cirugía de GPR en pacientes con cuadros de calcificaciones extensas en la inserción tendinosa o Haglund severos sería dudosa.
Si analizamos el índice de complicaciones de la revisión de Wiegerinck, tanto menores como mayores, el porcentaje en ambos casos fue superior en el grupo de pacientes tratados mediante cirugía abierta convencional, presentando un 4% de complicaciones mayores frente al 0,7% de la muestra de pacientes sometidos a tratamiento artroscópico y un 13% de complicaciones menores frente al 1,3%. Estos resultados tan favorables de complicaciones de las técnicas artroscópicas son similares a los de otros estudios publicados en la literatura: en el estudio de Jerosch(29), uno de los que mayor número de pacientes analiza, se lleva a cabo el tratamiento artroscópico en 81 pacientes diagnosticados de tendinopatía insercional y en solo 3 casos (3,7%) se presentan complicaciones menores relacionadas con dolor en la herida quirúrgica, presentando buenos o excelentes resultados en el 92% de los casos. Maquirriain(30) realiza uno de los estudios con mayor seguimiento (5 años) y analiza 27 procedimientos artroscópicos en la misma patología, presentando un porcentaje de complicaciones menor del 7% relacionadas todas ellas con los portales de artroscopia. En ninguno de estos 2 estudios aparecieron complicaciones mayores.
En nuestro estudio el índice de complicaciones también es bastante favorable. De hecho, gracias a la zona anatómica en la que se realiza la intervención de GPR, las complicaciones de las técnicas quirúrgicas sobre la zona insercional como la rotura tendinosa, la necrosis o dehiscencia de la herida quirúrgica, fístulas/dolor crónico en la cicatriz(29,30) o las lesiones neurológicas(31,32) son excepcionales.
En cuanto a la recuperación posquirúrgica, la cirugía de GPR presenta una recuperación rápida con apoyo inmediato y una baja laboral media en nuestros pacientes de 4 semanas, presentando en todos los casos resultados estéticos de la cicatriz quirúrgica, lo cual atribuimos a que coincide con el pliegue de flexión de la rodilla y a una extensión muy pequeña de la misma. Estas características de recuperación y de aspecto de la cicatriz son muy similares a los resultados que se encuentran en los estudios que analizan el tratamiento por vía artroscópica(1,2,29) y representan una ventaja respecto a las técnicas abiertas, que requieren, en muchas ocasiones, algún tiempo de descarga que conlleva una recuperación más lenta de cara a retomar la actividad laboral y/o deportiva.
Nuestro estudio es uno de los primeros estudios que analizan la cirugía de GPR en el tratamiento de cuadros de tendinopatía insercional de Aquiles. Asimismo, presentamos una serie de 19 intervenciones quirúrgicas, que hasta la fecha es la más larga que hemos encontrado en la literatura.
Si analizamos los puntos débiles del presente estudio, uno de ellos es que hemos seleccionado todos los pacientes diagnosticados de tendinopatía insercional y, basándonos en los resultados que hemos presentado, quizá habría que plantear estratificar a dichos pacientes por el tipo de patología insercional que presentan, así como por el grado de deformidad local al nivel de la inserción. Es posible que en una muestra más homogénea de pacientes seleccionados los resultados de la técnica analizada fueran mejores.
Otra de las debilidades es el bajo número de pacientes analizados. Este hecho se repite en otras publicaciones similares y, junto con la escasa existencia de artículos que comparen las distintas técnicas disponibles en el tratamiento de la patología insercional de Aquiles, hace necesario el desarrollo de nuevos estudios comparativos con mayor número de pacientes que nos permitan establecer un grado de recomendación científica más alto de cara a mejorar el tratamiento de esta patología.
Conclusiones
La cirugía de GPR es una opción de tratamiento en pacientes diagnosticados de tendinopatía insercional de Aquiles que no han respondido al tratamiento conservador con resultados de satisfacción aceptables, tasa de complicaciones baja y recuperación funcional muy rápida que, en pacientes seleccionados, podría ser una alternativa a las clásicas técnicas artroscópicas o abiertas.