Introducción
Anatomía y biomecánica
El complejo ligamentoso de la sindesmosis tibioperonea distal consta de: ligamento tibioperoneo anteroinferior (LTPAI), ligamento interóseo (LIO), membrana interósea, ligamento tibioperoneo posteroinferior (LTPPI) y ligamento inferior transverso (LIT).
Este complejo ligamentoso tiene como función mantener la integridad de la pinza o mortaja que la tibia y el peroné proporcionan al astrágalo, compensando las fuerzas rotacionales, de traslación y compresiones axiales que tienden a separar ambos huesos. Ogilvie et al. demostraron que el LTPAI proporciona un 35% de estabilidad articular, el LTPPI contribuye en un 40% y el LIO en un 21%(1).
Clasificación de las fracturas de tobillo
La clasificación de Danis-Weber es un sistema simple para catalogar las fracturas de tobillo con afectación del maléolo peroneo, tomando como referencia principal el nivel de la fractura del peroné en relación con la articulación del tobillo. Con este sencillo sistema se puede predecir la existencia de lesión ligamentosa e inestabilidad articular, con lo que tiene un papel a la hora de determinar el tipo de tratamiento(2,3,4).
Divide las fracturas en 3 tipos: tipo A o infrasindesmales, tipo B o transindesmales y tipo C o suprasindesmales.
La siguiente clasificación de fracturas de tobillo en orden de importancia fue descrita por Nils Lauge-Hansen. Su clasificación se basa en la posición del pie y en la dirección de la fuerza lesiva, quedando así 4 tipos que se dividen en subtipos(5,6,7,8,9,10,11,12,13): supinación-aducción (SAD), supinación-rotación externa (SER), pronación-abducción (PABD), pronación-rotación externa (PER).
Diagnóstico de la lesión sindesmal
Es de gran importancia reconocer las lesiones de la sindesmosis para establecer el tratamiento adecuado. Sin embargo, la lesión de la misma puede no ser aparente radiológicamente, de ahí que existan multitud de índices y pruebas clínicas para ponerla de manifiesto(14,15). Hay 4 medidas radiológicas de obligada realización: el espacio claro tibiofibular (ECTF, que se considera normal si es menor de 5 mm o 6 según Zalavras y Thordarson(16) y es poco dependiente de la calidad de la radiografía), el solapamiento tibiofibular, el espacio claro medial y el ángulo talocrural.
El tratamiento de las fracturas de tobillo puede cambiar considerablemente según el estado de la sindesmosis. Sin embargo, la capacidad de determinar con certeza la presencia de dicha lesión es limitada y, por eso, los datos objetivos que puedan ayudar a predecir o identificar daño sindesmótico en el preoperatorio son muy apreciados(14,15,16,17,18).
Numerosos estudios recientes demuestran la dificultad para realizar el diagnóstico de lesión sindesmal sin la utilización de estudios como la resonancia magnética (RM)(19).
En los últimos años se le está otorgando una importancia cada vez mayor al papel del maléolo posterior en la estabilización de la sindesmosis, por lo que ha aumentado la indicación de estudios con tomografía axial computarizada (TAC) preoperatoria en un esfuerzo por predecir y mejorar los resultados en el tratamiento de las fracturas trimaleolares con lesión sindesmal(20).
Dada la dificultad del diagnóstico por los medios clásicos, es clave la evaluación intraoperatoria mediante pruebas de estrés de rutina, TAC intraoperatoria en centros donde está disponible y artroscopia para descubrir lesiones latentes encubiertas(21,22,23,24,25,26).
Hipótesis y objetivos
Como objetivo principal, este estudio trata de encontrar un modelo predictivo de lesión sindesmal, basado en la descripción de un ángulo formado por el trazo principal de la fractura del maléolo interno con una perpendicular a la línea de la superficie de carga del pilón tibial, a partir del cual se debe sospechar lesión de la sindesmosis.
Como objetivos secundarios, se encuentra el de evaluar la utilidad de la clasificación de Lauge-Hansen.
La hipótesis principal que se pretende demostrar sería, por tanto, que los trazos de fractura de maléolo interno con mayor verticalidad tienen menor probabilidad de asociar lesión de la sindesmosis.
Material y métodos
Se han localizado todos los números de historia de pacientes atendidos por el Servicio de Traumatología entre el 1-1-2011 y el 31-3-2014, obteniendo 651 fracturas, de las cuales 138 presentaban fractura del maléolo interno.
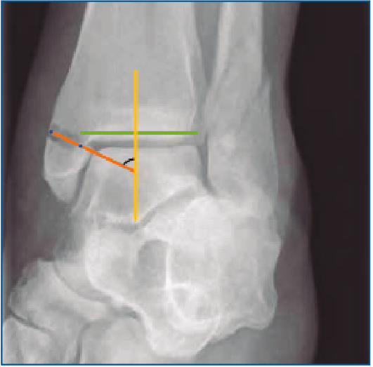
De cada uno, se han obtenido las siguientes mediciones radiológicas: tipo de lesión según Lauge-Hansen, número de maléolos afectados, medida del ángulo talocrural, ratio tibiofibular anteroposterior (AP), presencia o ausencia de superposición de colículos del maléolo interno con el peroneo, ECTF, solapamiento tibiofibular, ángulo de inclinación astragalina, línea de Shenton continua o discontinua, espacio claro medial y ángulo principal a estudio, el ángulo crurofocal medial (ACFM). Para analizar el ángulo principal, se debe obtener una línea perpendicular a la superficie articular tibial (del mismo modo que para el primer paso de la medición del ángulo talocrural); una vez hecho esto, se traza una línea entre el punto más medial y más lateral del trazo de fractura del maléolo interno en el origen tibial. El ACFM es el formado por esta línea y la perpendicular a la superficie articular tibial, y estará comprendido en un arco de valores posibles entre 0 y 180° (Figuras 1 y 2).
Figura 1. Representación esquemática de la medición del ángulo principal a estudio.

Figura 2. A: obtención de una perpendicular a la superficie articular; B: superposición de un brazo del ángulo a la perpendicular; C: situación del otro brazo en la línea formada entre los orígenes tibiales; D: medición completada.

Se ha considerado lesión sindesmótica presente en todos los registros con prueba de estrés intraoperatoria positiva o con material quirúrgico para reparar dicha lesión y, también, independientemente de lo anterior, en aquellos con medida del ECTF mayor de 6 mm.
Para eliminar la posibilidad de falsos positivos por variaciones anatómicas interpersonales, en la segunda fase del estudio se solicitó nueva radiografía a los enfermos con lesión sindesmal, de forma que se pudiera comparar el tobillo sano con el afectado. Se consiguió la colaboración de 35 de los 40 casos con presencia de lesión sindesmal. En cada radiografía AP bilateral en carga, se obtuvo la medida del ECTF del tobillo afectado y del tobillo sano.
Con objeto de obtener la fiabilidad inter- e intraobservador y la reproducibilidad de la medición, cada investigador vuelve a medir el ACFM en los sujetos con lesión sindesmótica en las mismas radiografías en que hizo la medición inicial (fiabilidad intraobservador) y las de los otros investigadores (fiabilidad interobservador); estos datos fueron procesados para su análisis con la herramienta informática ReCal OIR, que calcula el coeficiente alpha de Krippendorff para 2 o más codificadores(27).
Los métodos estadísticos utilizados son: regresión logística, análisis discriminante y una regla clínica ad hoc que han sido probados mediante validación cruzada(28,29).
Resultados
Análisis descriptivo
Los valores del ACFM oscilaron entre 0 y 136°, con una media de 84,7. El ECTF lo hizo entre 1,6 y 15,6 mm, con media y mediana próximas a 4 mm. Se observa una variación en la media del espacio claro medial de 1 mm, desde 4,8 preoperatorio a 3,8 postoperatorio, mientras que el ángulo de inclinación astragalina cambió su media desde 1,8 en el preoperatorio a 0,7 después del seguimiento. El tiempo medio de seguimiento fue de 950,5 días (2,6 años), con un mínimo de 379 (1 año y 14 días).
Se recogieron un total de 23 fracturas clasificadas como PABD, que suponen un 16,7% del total de 138 fracturas, 16 fracturas de tipo PER (11,6%), 9 SAD (6,5%) y 90 SER (65,2%). Se encontró relación estadísticamente significativa entre la medida del ACFM y el tipo de fractura según la clasificación Lauge-Hansen (Tabla 1).
Tabla 1. Valores del ángulo crurofocal medial (ACFM) según la clasificación de Lauge-Hansen; valor de p por test de Kruskal-Wallis.

Se clasificaron 98 fracturas de tobillo sin lesión sindesmal asociada (71%) y 40 (29%) con lesión sindesmal documentada por los métodos descritos en el apartado previo.
El ACFM arrojó unas medidas de 88° de mediana y 83,1° de media en el grupo de 98 pacientes sin lesión sindesmal, mientras que en el grupo de 40 pacientes con lesión sindesmal la mediana fue de 86,5° y la media de 88,5°. Estas diferencias no se consideran estadísticamente significativas (p = 0,75), aunque se observan valores mínimos de 0° (máxima verticalidad del ángulo) en el grupo sin lesión sindesmal y de 60° en el grupo con lesión sindesmal.
Para el ECTF, la mediana y media del grupo sin lesión sindesmal coinciden en 3,7 mm, siendo estas para el grupo con lesión de 5,5 y 5,8 mm, respectivamente. La medida mínima para ambos grupos es similar (1,6 frente a 1,7), pero los valores máximos están muy distanciados: 6 mm de ECTF máximo en el grupo sin lesión sindesmal, que fue el punto de corte establecido por encima del cual se establecía el diagnóstico de la lesión, frente a 15,6 mm para el grupo lesionado. Estas diferencias se muestran como estadísticamente significativas (p < 0,01).
Otras variables con significación estadística de la diferencia entre los grupos fueron el espacio claro medial y el ángulo de inclinación astragalina preoperatorios. Mientras que la mediana de la medida del espacio claro medial se situó en el límite alto de la consideración patológica (4 mm) en el grupo sin lesión sindesmal, entre los pacientes con lesión fue de 5,8 mm. La mediana de la inclinación talar fue de 1° en el grupo sin lesión y de 2° en los no lesionados (límite alto de la consideración patológica).
Análisis predictivo
Tras una selección de variables se llega al mejor modelo predictivo posible, resultando significativas las variables ACFM, ECTF y tipo de lesión según Lauge-Hansen; se prueba con validación cruzada, obteniendo que la media del porcentaje de pacientes correctamente clasificados es de 0,88 (88%) con una desviación estándar de 0,044 (Figura 3).
Figura 3. Curva ROC asociada al modelo predictivo. AUC: área bajo la curva.

Se buscó otro modelo alternativo más sencillo e intuitivo, basado exclusivamente en la influencia del ángulo y el ECTF. También con validación cruzada, se obtuvo que la media del porcentaje de pacientes correctamente clasificados mediante este modelo fue de 0,86 (86%; desviación estándar: 0,044) (Figura 4 y Tabla 2) y con análisis discriminante es de 0,84 (84%) con desviación estándar de 0,046.
Figura 4. Gráfico del ángulo crurofocal medial (ACFM) frente al espacio claro tibiofibular (TF), en relación con la lesión sindesmal.

Tabla 2. Variación de la capacidad predictiva según el espacio claro tibiofibular (ECTF) y el ángulo principal a estudio, ángulo crurofocal medial (ACFM) en el modelo 2.

En cuanto a la fiabilidad inter- e intraobservador y la reproducibilidad de la medición del ángulo principal a estudio, se calcula el coeficiente alfa de Krippendorff para 2 o más codificadores: fiabilidad interobservador, alfa de Krippendorff (ratio): 0,886, que el desarrollador del software cataloga como fuerte; fiabilidad intraobservador 1: 0,909 o casi perfecta; fiabilidad intraobservador 2: 0,96; fiabilidad intraobservador 3: 0,99; fiabilidad intraobservador 4: 0,91.
Discusión
Las lesiones de la sindesmosis tibiofibular distal pueden aparecer aisladas o en el contexto de una fractura de tobillo. Cuando todos sus componentes anatómicos, descritos en el apartado de introducción, se encuentran dañados y son incompetentes, nos encontramos ante una lesión franca que se traduce en una diástasis visible en las radiografías simples de tobillo en proyecciones AP o de mortaja y que no plantea dudas diagnósticas. Sin embargo, las variaciones sutiles en la anchura o posición sindesmótica no son fácilmente detectables, pero indican una lesión latente.
Existen multitud de parámetros descritos como indicadores de integridad y estabilidad sindesmótica en las radiografías simples, ampliamente explicados previamente en este texto, pero la mayoría de los autores coinciden en señalar que su utilidad es limitada debido a la baja reproducibilidad de la técnica radiológica, las variaciones anatómicas interpersonales y la variabilidad del registro intra- e interobservador.
Dada la importancia del problema, se piensa que sería posible y de utilidad científica tratar de relacionar el tipo de trazo fracturario del maléolo interno con la lesión sindesmal y se plantea el objetivo de encontrar un modelo basado en ello que facilite el diagnóstico de sospecha de la lesión sutil o latente.
En otras palabras, el objetivo se cumple si se puede demostrar que los trazos de fractura del maléolo interno con mayor horizontalidad facilitan la existencia de lesión sindesmal o, lo que es lo mismo, que los trazos más verticales son factor protector sobre la aparición de dicha lesión; y así aparece la hipótesis principal.
El principal hallazgo que se desprende de esta investigación es el de la obtención de un modelo que puede predecir la lesión sindesmótica utilizando parámetros obtenidos de la radiografía simple preoperatoria con una media de porcentaje de pacientes correctamente clasificados del 88% con una desviación estándar menor de 0,05 (0,044), como se expone en el apartado de resultados y se busca como objetivo principal.
Un segundo modelo conduce también a un 86% de clasificaciones correctas con una desviación estándar de 0,044 y un tercero a un 84% con desviación estándar de 0,046.
Estos modelos se basan en el ángulo principal a estudio descrito para este estudio, cuya denominación propuesta es la de ángulo crurofocal medial, puesto que relaciona la inclinación del foco medial con el eje crural, de forma similar a como el ángulo talocrural relaciona dicho eje crural con la inclinación del compartimento talar.
La validación de los modelos y la ausencia de valores menores de 60° del ACFM en los casos con lesión presente conducen a confirmar la hipótesis y ver cumplido el objetivo principal. También se plantearon como objetivos secundarios encontrar la prevalencia de las categorías de fractura maleolar medial y evaluar la utilidad de la clasificación de Lauge-Hansen, puesta en entredicho en los últimos años. El hecho de estar incluida dicha clasificación en uno de los modelos desarrollados que muestran validez y capacidad predictiva respalda el valor que sigue manteniendo aún en la práctica diaria. Además, se ha encontrado relación estadísticamente significativa entre la medida del ACFM y el tipo de fractura según la clasificación Lauge-Hansen, lo cual es de gran valor para este trabajo.
Esta investigación puede compararse en términos metodológicos con multitud de estudios previos, si bien solo existe una referencia que busca asociar la morfología de la fractura del maléolo interno al daño de la sindesmosis(30).
Como línea de investigación futura, se propone el diseño de estudios para obtener en el preoperatorio el valor de las mediciones del ACFM, el ECTF y la clasificación de Lauge-Hansen. Tras aplicar los modelos predictivos de lesión, se clasificará a los pacientes en las categorías lesión sindesmal presente o ausente y durante la cirugía, que será llevada a cabo por un cirujano miembro del equipo investigador pero no será conocedor del grupo en que ha sido clasificado el enfermo, se comprobará mediante visión directa o aplicación de pruebas de estrés la existencia de lesión sindesmal real.
Recapitulando, se otorga relevancia a los resultados obtenidos pues pueden tener utilidad para la práctica clínica y la investigación futura sobre este tema, la sindesmosis tibioperonea, que se encuentra en auge, genera gran controversia y multitud de publicaciones mensuales y preocupa de forma creciente a la comunidad ortopédica.
El estudio que se presenta tiene como debilidades la limitación del tamaño muestral y su carácter retrospectivo, pero sus fortalezas estriban en un trabajo estadístico de calidad que suple las limitaciones con sistemas de validación contrastados, para aportar una nueva herramienta, el ACFM, cuya reproducibilidad intra- e interobservador se demuestran, que puede incluirse en modelos predictivos útiles en el diagnóstico de sospecha de la lesión sindesmal latente.
Conclusiones
1. Se ofrece un modelo que puede predecir la lesión sindesmótica utilizando parámetros obtenidos de la radiografía simple preoperatoria con un porcentaje de pacientes correctamente clasificados del 88% con desviación estándar menor de 0,05. Un segundo modelo propuesto conduce también a un 86% de clasificaciones correctas con una desviación estándar de 0,044.
2. La medición del ACFM se incluye en estos modelos y demuestra ser una técnica válida y reproducible.
3. La validación de los modelos y la ausencia de valores menores de 60° del ACFM en los casos con lesión sindesmal presente conducen a confirmar la hipótesis y ver cumplido el objetivo principal.
4. Se ha encontrado correlación estadísticamente significativa entre la medida del ACFM y el tipo de fractura según la clasificación Lauge-Hansen. El hecho de estar incluida dicha clasificación en uno de los modelos desarrollados que muestran validez y capacidad predictiva respalda el valor que sigue manteniendo aún en la práctica diaria.