Introducción
La enfermedad de Nora o proliferación osteocondromatosa parostal atípica fue descrita por primera vez por Nora et al. en 1983(1). Se trata de una enfermedad benigna poco frecuente, sin transformación maligna, con pocos casos descritos en la literatura. Consiste en una lesión excrecente y exofítica que se origina en la cortical ósea, formada por tejido óseo, cartilaginoso y fibroso, con atipias nucleares(2,3).
La enfermedad normalmente tiene lugar en adultos en la segunda y la tercera décadas de la vida, sin distinción entre sexos(2,4,5,6,7). Esta lesión es muy rara en pacientes menores de 5 años, aunque se ha descrito algún caso(8). Los huesos más frecuentemente afectados son los huesos pequeños de manos y pies, sobre todo las falanges proximales y medias, los metacarpianos y los metatarsianos. Los huesos largos, más frecuentemente los de la extremidad superior, el cráneo y la mandíbula, son otros huesos raramente afectados(6,7). En las manos, esta patología es 4 veces más frecuente que en los pies(3).
Debido a su infrecuencia se presenta un caso clínico de una paciente con afectación del 4.º y 5.º dedos del pie izquierdo.
Caso clínico
Se trata de una mujer de 84 años que acudió a la consulta de cirugía ortopédica y traumatología debido a una tumoración en el 4.º dedo del pie izquierdo, dolorosa al roce con el calzado, de 3 meses de evolución.
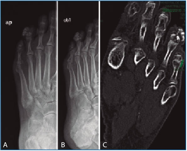
En la exploración física se evidenció una tumoración a nivel lateral de la falange distal del 4.º dedo del pie izquierdo. En la radiografía de pie, se observó una masa con matriz cartilaginosa en el margen lateral del 4.º dedo del pie izquierdo de características benignas (Figuras 1A y 1B). Se completó el estudio con una tomografía computarizada de pie izquierdo donde, además de la lesión descrita anteriormente, se visualizó una tumoración de similares características en el margen lateral del 5.º dedo, junto a la articulación interfalángica proximal, de aproximadamente 7 mm (Figura 1C).
Figura 1. A: radiografía anteroposterior de pie izquierdo, donde se aprecia en el margen lateral del 4.º dedo una masa calcificada; B: radiografía oblicua de pie izquierdo, donde se evidencia en el margen lateral del 4.º dedo una masa con matriz cartilaginosa; C: tomografía computarizada en la que se observa una tumoración con matriz cartilaginosa en el margen lateral del 4.º dedo, junto a la articulación interfalángica distal, de 12 × 11 mm, de aspecto grumoso, que parece depender de la cortical ósea. También se aprecia otra tumoración de similares características en el margen lateral del 5.º dedo, junto a la articulación interfalángica proximal, de aproximadamente 7 mm.

Sin antecedentes traumatológicos a ese nivel y con la sospecha de proliferación osteocondromatosa parostal atípica, se decidió realizar intervención quirúrgica. Se intervino realizando disección de ambas lesiones y exéresis en bloque, con decorticación de la cortical ósea y comprobación de la integridad de las estructuras articulares.
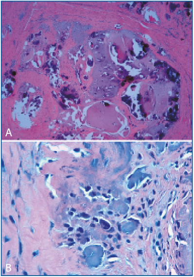
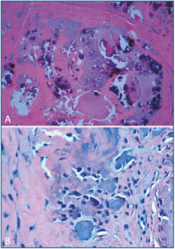
El análisis histopatológico (Figuras 2A y 2B) puso de manifiesto la presencia lesiones fibrocartilaginosas calcificadas, con formación de escasas trabéculas óseas y atipia nuclear, compatibles con una proliferación osteocondromatosa parostal bizarra o lesión de Nora. Después de un año de seguimiento, la paciente está asintomática y sin evidencia de recidiva de la enfermedad.
Figura 2. Imágenes histopatológicas a 20× (A) y 40× (B) (tinción hematoxilina-eosina), donde se aprecia un estroma fibrocartilaginoso, con escasas trabéculas óseas y cartílago maduro. Los focos cartilaginosos muestran zonas de celularidad atípica con núcleos hipercromáticos e irregulares.
Figura 2. Imágenes histopatológicas a 20× (A) y 40× (B) (tinción hematoxilina-eosina), donde se aprecia un estroma fibrocartilaginoso, con escasas trabéculas óseas y cartílago maduro. Los focos cartilaginosos muestran zonas de celularidad atípica con núcleos hipercromáticos e irregulares.

Discusión
Aunque la etiología de la lesión de Nora es desconocida, se ha propuesto el proceso de reparación de lesiones en el periostio tras un traumatismo como posible origen(2,5,9); sin embargo, la mayoría de los pacientes no refieren una historia de antecedente traumático a ese nivel(3,6). Además, se han documentado anomalías cromosómicas asociadas a esta lesión, como son las translocaciones t(1;17) (q32;q21) y t(1;17) (q42;q23)(3,7,10,11).
En el pie, esta patología se produce generalmente a nivel de los metatarsianos y falanges(12,13,14,15,16), aunque también se ha descrito algún caso a nivel de los huesos sesamoideos(17). Clínicamente, se presenta como una masa levemente dolorosa que incrementa su tamaño en unas cuantas semanas o pocos meses(6).
Los hallazgos sugestivos de agresividad en las pruebas de imagen, así como los resultados confusos en el estudio histopatológico, hacen que su diagnóstico sea difícil(6). El hallazgo radiográfico típico de la enfermedad de Nora es una masa osteoblástica bien delimitada e implantada en la superficie cortical del hueso afectado, que suele estar respetado, sin continuidad con la cavidad medular(18). En la radiografía simple, estas lesiones parecen depender de la cortical ósea sin afectarla, mostrando una superficie irregular y espiculada. La tomografía computarizada y la resonancia magnética pueden ayudar a diferenciarla del osteocondroma, ya que no existe continuidad entre la cavidad medular del hueso y la lesión(6,7,19). El diagnóstico de esta lesión es histopatológico, ya que las pruebas de imagen y la clínica no son determinantes. En el análisis histopatológico destaca la proliferación de tejido óseo, cartilaginoso y fibroso, con el componente cartilaginoso formando grupos irregulares de condrocitos agrandados, binucleados y atípicos(6). Es importante que el patólogo sea experimentado pues, en caso contrario, puede informar un diagnóstico erróneo de malignidad debido a la inmadurez y atipia celular, con las consecuencias que ello conlleva(20). En el caso que se presenta, se plantearon dudas diagnósticas, ya que la mineralización de la lesión estaba poco organizada, lo que es propio de este tipo de patología en estadios iniciales.
Se trata de una enfermedad benigna, por lo que debe realizarse el diagnóstico diferencial con lesiones malignas como el osteosarcoma parostal, el osteosarcoma convencional y el condrosarcoma, así como con lesiones benignas como son la periostitis florida reactiva, la miositis osificante, el condroma perióstico y el osteocondroma(3,6,7,8,18).
El tratamiento de elección es la resección en bloque de la lesión(6,7). El problema de esta lesión es la alta tendencia a la recidiva tras su extirpación(2,21), siendo del 20-55%, sobre todo en los 2 años siguientes a la cirugía(4,5,7,9,18). Para evitar la recidiva local, se ha visto que la decorticación ósea subyacente pudiera ser eficaz(3,7).
En conclusión, la enfermedad de Nora o proliferación osteocondromatosa parostal atípica es una enfermedad infrecuente, con muy pocos casos descritos en la literatura. A pesar de ser benigna, debe realizarse un diagnóstico diferencial con patología maligna mediante un adecuado estudio histopatológico. Su tratamiento es quirúrgico, pero tiene un alto porcentaje de recidivas.