Introducción
El hallux valgus (HV) es uno de los motivos de consulta más frecuentes para los especialistas de pie y tobillo(1). Se trata de la deformidad más frecuente del antepié, estimándose que afecta al 23% de los adultos y al 35,7% de los individuos en edad avanzada(2), siendo típica su aparición en mujeres de entre 40 y 60 años en países industrializados y en vías de desarrollo(3). Su patogenia es multifactorial, asociándose con factores hereditarios, el desequilibrio en la musculatura abductora y aductora y, en particular, con el uso de calzado constrictivo y tacón alto(4).
Existe una gran variedad de procedimientos quirúrgicos descritos en la literatura para corregir esta deformidad, siendo su principal indicación el dolor que no responde al tratamiento conservador. Sin embargo, el tratamiento quirúrgico aún sigue siendo controvertido debido a la falta de estudios comparativos y la variabilidad de técnicas, resultados y complicaciones(5)(6)(7)(8).
El objetivo de nuestro estudio es describir los resultados clínicos, radiológicos y la aparición de complicaciones en el tratamiento del HV leve, moderado y grave con osteotomía distal de tipo Kramer modificada(9)del primer metatarsiano (MTT) y posterior fijación con sistema Endolog® tras un año de seguimiento mínimo.
Material y métodos
Se trata de un estudio analítico, observacional y retrospectivo de pacientes intervenidos entre 2013 y 2014 mediante osteotomía distal de tipo Kramer modificada y fijación con sistema Endolog®.
Los criterios de inclusión utilizados han sido los pacientes intervenidos de HV mediante sistema Endolog® y con un seguimiento mínimo de 12 meses. Se excluyeron los pacientes con discapacidad o enfermedades concomitantes en miembros inferiores que originaran déficit de funcionalidad, enfermedades neuropáticas y reumáticas, pacientes intervenidos previamente de HV y aquellos en los que no se pudo realizar el seguimiento superior al año de la intervención.
Las indicaciones del sistema Endolog® fueron pacientes menores de 80 años con HV leve, moderado o severo que no mejoró tras 6-12 meses de tratamiento conservador.
Se intervinieron 43 pacientes de HV mediante sistema Endolog®, todos ellos operados por el mismo cirujano, el autor principal del estudio. Siete pacientes no realizaron el seguimiento mínimo de 1 año y 1 paciente falleció a causa de un episodio cardiovascular, quedando un tamaño muestral de 35 pacientes. Se realizó un seguimiento medio de 16,7 meses (12-20).
La recogida de datos para el estudio ha sido realizada a partir de los datos de filiación en la plataforma Abucasis, Mizar y Orion Clinic, historias clínicas hospitalarias y registros obtenidos de libros de quirófano. Todos los datos obtenidos se han registrado en una base de datos diseñada para este estudio.
Las variables recogidas para el estudio fueron la edad, el sexo, el hábito tabáquico, la profesión, el tiempo de evolución del dolor por HV, la escala visual analógica (EVA) para el dolor(10), la existencia de otro dolor en pie y tobillo, la existencia de dolor en reposo, problemas al calzarse, la necesidad de ayuda para la deambulación y tratamientos previos.
Las variables radiológicas recogidas fueron(11):
• Ángulo intermetatarsal 1-2° (IMTT 1°-2°), siendo normal < 9°.
• Ángulo distal de la articulación metatarsofalángica (DMAA) o proximal articular set angle (PASA), siendo normal < 10°(11).
Estos ángulos serán los utilizados para definir el grado de deformidad del HV en leve, moderado y severo(11):
• Leve: ángulo IMTT ≤ 11° y ángulo HV < 20°.
• Moderado: ángulo IMTT entre 11 y 16° y ángulo HV entre 20 y 40°.
• Severo: ángulo IMTT ≥ 16 y ángulo HV > 40.
Las radiografías fueron tomadas en bipedestación y las mediciones se realizaron con el programa específico Visor PACS Rx®.
El resto de las variables posquirúrgicas recogidas fueron la duración de la intervención, el tipo de anestesia, el número de días de ingreso hospitalario, la aparición de complicaciones, la consolidación, el rango de movilidad de la articulación metatarsofalángica (MTTF) del primer dedo y la escala de la AOFAS (American Orthopaedic Foot and Ankle Society)(12)(Tabla 1). Además, se preguntó a cada paciente acerca del grado de satisfacción y cumplimiento de expectativas de la cirugía en una escala del 0 al 10 (0 muy descontento y 10 como valoración más alta) y si el paciente volvería a intervenirse quirúrgicamente de nuevo mediante esta técnica.
Tabla 1. Escala de la American Orthopaedic Foot and Ankle Society (AOFAS)

La profilaxis tromboembólica y antibiótica fue la misma en todos los pacientes, así como el protocolo posquirúrgico intrahospitalario y de rehabilitación posterior.
Análisis de datos
El análisis estadístico se realizó mediante el programa informático SPSS®, versión 20.0 (SPSS Inc., Chicago, USA). Para determinar si los datos se ajustaban a la distribución normal, se utilizó la prueba de Kolmogorov-Smirnov. Las variables cuantitativas se presentaron con medias y desviación estándar, y las cualitativas con porcentajes. Las comorbilidades se ajustaron como variables dicotómicas, con presencia o ausencia de la misma. Para la comparación de variables cuantitativas continuas se utilizó la prueba t-Student para datos apareados y para establecer el nivel de correlación utilizamos el coeficiente de Pearson.
El intervalo de confianza establecido fue el 95%. Se consideró significativo un valor de p igual o menor de 0,05.
Características del implante y técnica quirúrgica
El sistema Endolog®, Lark’s Surgical Devices® (Endo: endomedular; Log: Lodola, Giuseppe), es un dispositivo de titanio compuesto por un clavo endomedular curvo, que proporciona estabilidad con 3 puntos y una parte plana en la zona distal, con 4° de inclinación, que permite poner un tornillo de 3,6 mm con estabilidad angular y rotacional a la cabeza del MTT (Figura 1). Esta parte plana presenta 2 orificios para fijación provisional de la osteotomía(13). Existen 3 tallas de clavo, 44, 45 y 46, reservándose la talla 44 para pies pequeños. Todos los clavos poseen el mismo diámetro y varían en el ángulo de curvatura, siendo este de 42, 32 y 40°, respectivamente. El tornillo está disponible en longitudes de 15, 20 y 25 mm(14).
Figura 1. Sistema Endolog®.

Previa a la cirugía, realizamos profilaxis antibiótica con 2 g de cefazolina (1 g de vancomicina en alérgicos a la penicilina). Se utiliza manguito de isquemia preventivo y el tipo anestesia utilizado fue raquídea o bloqueo nervioso regional, según los criterios del Servicio de Anestesiología.
Como primer gesto quirúrgico (Figura 2) se realiza la tenotomía percutánea del tendón aductor del hallux. Una vez realizada, se procede a la incisión medial de 2-2,5 cm a nivel distal del primer MTT y a la apertura de la cápsula articular. Se realiza la exostectomía. Tras ella, insertamos 2 agujas de Kirschner (AK) de 1,6 mm en la cabeza del MTT perpendiculares al eje para ayudarnos posteriormente en la orientación y corrección del PASA. A continuación, realizamos la osteotomía de tipo Kramer a nivel del cuello del primer MTT y perpendicular al eje. Modificando la orientación de la osteotomía podemos alargar, acortar o mantener la longitud del primer MTT(9). Seguidamente, se prueba con el implante de prueba del 46 y comprobamos manualmente la estabilidad del mismo. Si la estabilidad no fuera la correcta, se prueba el implante de la talla 45. Una vez elegido, colocamos el implante definitivo evitando la rotación de este. Corregimos, con la ayuda de las AK de 1,6 mm, el PASA procurando que la cabeza del MTT apoye de manera correcta sobre la placa del dispositivo Endolog®. Se fija provisionalmente la osteotomía con 2 agujas de 0,8 mm y se realiza una comprobación con la escopia. Si todo es correcto, se realiza el brocado y la introducción del tornillo de estabilidad angular y rotacional, no siendo necesario que sea bicortical.
Figura 2. Pasos de la intervención quirúrgica. 1: tenotomía percutánea del aductor; 2: buniectomía; 3: fijación con agujas; 4: osteotomía de Kramer; 5: prueba de las tallas; 6: introducción del sistema; 7: comprobación con escopia; 8: fijación con tornillo y limado.

Por último, se realiza una resección de la parte medial y proximal de la osteotomía a nivel diafisario para evitar roces con el calzado.
Antes de finalizar, se realiza la maniobra de simulación de la carga del antepié y se observa la corrección estética del hallux. Si no es correcta, se puede asociar una osteotomía falángica de tipo Akin(15), fijada con grapa. Se realiza un cierre según la técnica convencional de la cápsula y la piel y vendamos con un “vendaje de tipo Kling”(3) forzando la corrección.
A los pacientes que presentaban otras patologías asociadas en antepié (dedos en garra y metatarsalgia en su mayoría) se les realizó en un solo tiempo quirúrgico la corrección de su patología (artrodesis interfalángicas proximales, tenotomías de tendones extensores o tendones flexores, u osteotomías de Weil)(16).
El protocolo posquirúrgico fue el mismo en todos los pacientes. Se realiza un control radiográfico tras la cirugía, el alta hospitalaria se da antes de las 24 horas postintervención y se comienza con movilidad y carga inmediata con zapato de horma invertida o plana durante 5 semanas. La primera cura se realiza a las 48-72 horas por el personal de enfermería de nuestro servicio, asegurando una colocación correcta del vendaje hipercorrector tras cada cura. Las siguientes curas se van difiriendo en el tiempo según la necesidad y la evolución de la herida hasta la retirada de los puntos en 2,5-3,5 semanas.
Se realiza el primer control en consulta a las 5 semanas con un segundo control radiográfico, retirada de vendajes y cambio a zapato ancho y cómodo. Posteriormente, se realizan los siguientes controles a los 3, 6 y 12 meses poscirugía.
Resultados
Fueron admitidos en el estudio 35 pacientes (35 pies: 20 derechos y 15 izquierdos) al cumplir los criterios de inclusión, con un seguimiento medio de 16,7 meses (12-20).
La mayoría de los pacientes eran mujeres (77,1%, 27 pies) mientras que el 22,9% (8 pies) eran hombres. La edad media fue de 50 años (rango: 23-71) y 22 eran no fumadores (62,8%) (Tabla 2).
El 94% de los pacientes presentaba un HV severo (Tabla 3).
Tabla 2. Descripción de la muestra

Tabla 3. Severidad del hallux valgus (HV)

El 83% de los pacientes sufría dolor en reposo y el 100% tenía problemas para calzarse. Ningún paciente utilizaba ayuda para caminar. El 60% había realizado tratamiento previo con plantillas u ortesis y el 49% tomaba medicación analgésica previa a la cirugía. El 52% (16 pies) presentaba patología asociada en antepié, como dedos en garra o metatarsalgia en radios menores. El valor medio prequirúrgico del dolor en la EVA fue de 7,9 (6-10).
Se obtuvo una disminución media del ángulo IMTT de 18 ± 2,8° (10-23°) prequirúrgico a un ángulo IMTT medio posquirúrgico de 6,7 ± 2,3° (3-11°), con una corrección media de 11,3 ± 2,4° (p < 0,05). El nivel de correlación medido en coeficiente de Pearson fue de 0,56.
En todos los grupos se consiguió un alineamiento del ángulo IMTT por debajo de los 11°. Si analizamos la correlación entre el ángulo IMTT precirugía y la disminución absoluta de dicho ángulo, encontramos una correlación positiva de 0,61 (p < 0,005), lo que indica que existe correlación lineal positiva entre ambas variables, de tal modo que a medida que aumenta el ángulo IMTT, aumenta la disminución absoluta de dicho ángulo tras la cirugía. Si estratificamos la muestra en función de la severidad, encontramos que para las deformidades leves se consiguió una disminución media de 5°. No se pudo calcular el valor de p por insuficiente tamaño muestral en este el grupo. Para el HV severo se consiguió una disminución media de 11,67°, siendo un resultado estadísticamente significativo (Tabla 4). Podemos apreciar gráficamente la disminución del ángulo IMTT en cada caso clínico habiendo seleccionado los casos severos (Figura 3).
Tabla 4. Disminución del ángulo intermetatarsal (IMTT)

Figura 3. Disminución del ángulo intermetatarsal (IMTT) pre- y poscirugía en casos severos.

Al analizar la corrección del PASA, encontramos una reducción absoluta en todos los grupos. Una disminución media del PASA de 26,29 ± 6,68° (14-35°) prequirúrgico a un PASA medio posquirúrgico de 4,71 ± 4,3° (–3-13°) con una corrección media de 21,57 ± 8,7° (p < 0,05). El nivel de correlación medido en coeficiente de Pearson fue de –0,21 sin ser estadísticamente significativo, lo cual indica que no existe correlación lineal entre las variables PASA pre- y poscirugía.
Si analizamos la correlación entre el PASA precirugía y la disminución absoluta del ángulo, encontramos una correlación positiva de 0,876 (p < 0,005), lo que indica que al igual que el ángulo IMTT, el PASA disminuyó más en los casos severos.
Al estratificar la muestra en función de la severidad, encontramos que para las deformidades leves se consiguió una disminución media de 22° aunque, al igual que en el caso anterior, no se pudo calcular el valor de p por insuficiente tamaño muestral en el grupo. Para el HV severo se consiguió una disminución media del PASA de 21,55°, obteniendo significación estadística (Tabla 5). Podemos apreciar gráficamente la disminución del ángulo PASA en cada caso clínico seleccionado para el estudio en la Figura 4.
Tabla 5. Resultados del ángulo articular proximal (PASA)

Figura 4. Disminución del ángulo articular proximal (PASA) pre- y poscirugía en todos los casos.

La duración media de la intervención (desde la incisión hasta el cierre de la piel) en el grupo de pacientes que solo fueron intervenidos de HV mediante sistema Endolog® (n: 14) fue de 34,36 ± 5,8 minutos (24-46).
La movilidad media en grados de la articulación metatarsofalángica fue de 50,43 ± 17,4°, estando el 65% de los pacientes por encima de los 45° de movilidad y el 11,4% de los pacientes (4) por debajo de los 30°.
La consolidación radiográfica se obtuvo en el 82,9% de los pacientes (n: 29) a los 6 meses poscirugía y el 100% había mostrado consolidación a los 12 meses (Figura 5).
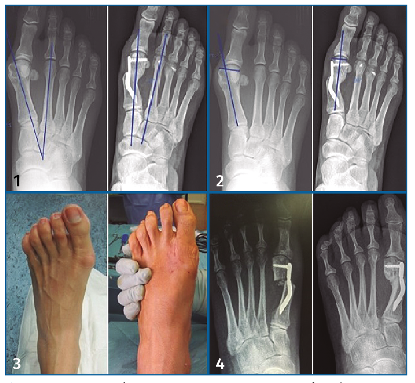
Figura 5. Resultados. 1: ángulo intermetatarsal pre- y poscirugía; 2: ángulo articular proximal pre- y poscirugía; 3: resultado visual de la deformidad pre- y poscirugía; 4: consolidación a los 3 meses.

La valoración clínica postoperatoria medida en la escala de la AOFAS fue de 92,12 puntos de media (77-100).
El 94,2% de los pacientes volvería a intervenirse quirúrgicamente mediante esta técnica y el grado medio de satisfacción y cumplimiento de expectativas de la cirugía en una escala del 0 al 10 (0 muy descontento y 10 como valoración más alta) fue de 8,69 ± 1,25 (1-10).
No se produjeron complicaciones precoces y, tras al menos un año de seguimiento, no hemos obtenido ninguna complicación: no se ha producido ningún caso de necrosis avascular, recidivas ni ha sido necesario retirar el implante.
Discusión
En nuestro estudio la principal indicación quirúrgica fue el dolor que no remite con tratamiento conservador. No utilizamos como criterios de inclusión la severidad ni el tiempo de evolución del HV, interviniendo quirúrgicamente un amplio rango de pacientes en su mayoría de grado severo.
Se trata de una técnica quirúrgica con baja curva de aprendizaje y el tiempo quirúrgico empleado en nuestro estudio siempre fue menor a una hora, aunque en otros estudios el tiempo empleado es todavía menor(14). Al realizarse de forma mínimamente invasiva y con escaso sangrado, el periodo de ingreso no superó las 24 horas en ningún caso en nuestro estudio. Este sistema proporciona la corrección del HV con fijación y estabilidad dinámica de la osteotomía distal, permitiendo una movilización precoz de a articulación MTTF, lo cual produce un menor número de rigideces y una recuperación funcional más rápida. La carga precoz y la rehabilitación temprana, sumadas a las ventajas citadas anteriormente, permiten unos buenos resultados funcionales como demuestra el cuestionario de la AOFAS con una puntuación media de 92,12 tras 1 año de seguimiento.
En cuanto a la satisfacción y las expectativas del paciente, observamos que la mayoría de los mismos (94%) volvería a intervenirse con esta técnica con un cumplimiento de las expectativas de la cirugía de 8,6 sobre 10. Estos datos son difícilmente comparables con la bibliografía existente y su valor es meramente informativo.
La valoración de los resultados radiográficos es excelente, consiguiendo una disminución media de 11° en el ángulo IMTT y de 22° en el PASA. A la vista de los resultados, se puede afirmar que la osteotomía de tipo Kramer es una técnica quirúrgica eficiente a la hora de corregir el PASA, reafirmando lo publicado en la bibliografía acerca de la necesidad de realizar osteotomías distales para corregir dicha angulación(17)(18). En nuestro estudio observamos que, a mayor deformidad inicial, mayor es la corrección angular que puede aplicar el sistema, ya que existe una correlación positiva estadísticamente significativa entre la angulación inicial de HV, tanto en ángulo IMTT como en PASA, y la disminución absoluta de la angulación tras la cirugía.
La movilidad media en grados de la articulación metatarsofalángica fue de 50,43 ± 17,4°, estando el 65% de los pacientes por encima de 45° de movilidad y únicamente el 11,4% de los pacientes (4) por debajo de los 30°. Este parámetro no ha sido recogido en la bibliografía cuando hablamos de otros estudios previos realizados acerca de este dispositivo. El arco de movilidad normal de la primera articulación MTTF es de 110°, con una flexión plantar de 35° y una flexión dorsal de 75°(19).
Cuando utilizamos la escala de la AOFAS obtenemos una valoración de 92 puntos. Esto es equiparable a otros estudios publicados con esta técnica(14).
Vemos que en nuestro estudio existe una disminución de la movilidad de la articulación mencionada respecto a los parámetros normales, habiendo 4 pacientes (11,4%) con movilidad menor a 30°, por lo que creemos que debemos insistir en la movilidad postoperatoria inmediata.
El tiempo quirúrgico medio para el grupo de pacientes que solo fueron intervenidos de HV (n: 14) fue de 34,36 minutos (24-46). Este tiempo ha sido calculado desde la apertura al cierre de la piel. Para el grupo que ha sido intervenido también de metatarsalgia y/o dedos en garra, este tiempo medio aumenta ostensiblemente, así como su varianza, y no lo hemos considerado relevante para el estudio.
El 82,9% de los pacientes mostraba consolidación a los 6 meses y el 100% de los pacientes mostró consolidación a los 12 meses. Debido a nuestro protocolo de seguimiento, no es posible filiar un tiempo medio de consolidación en días.
El coste económico del implante es bajo, rondando los 350 €. Por todo ello, se puede considerar una opción terapéutica válida para HV.
Entre las complicaciones descritas en la cirugía del HV destacan el dolor por elementos de osteosíntesis prominentes (5-10%), la infección superficial, la dehiscencia de la herida y la recidiva (3-5%) y, en menos del 1%, dolor regional complejo, infección profunda, osteonecrosis, trombosis venosa profunda y la no unión sintomática, entre otras(20). Nosotros, por el contrario, no hemos sufrido ninguna complicación salvo la disminución de movilidad de la articulación metatarsofalángica tras un año de seguimiento. No hemos tenido ningún caso de infección, necrosis avascular, recidivas o intolerancia al material de osteosíntesis.
La principal limitación de nuestro estudio es que se trata de un estudio retrospectivo, con los inconvenientes propios de este tipo de estudios. Otra limitación es el escaso tiempo de seguimiento ya que, aunque no hay muchas series descritas en la bibliografía sobre esta técnica quirúrgica y dispositivo, sí que existen estudios publicados con 48 meses de seguimiento. El tamaño muestral es similar al de otras series publicadas(13)(14).
Conclusiones
El tratamiento quirúrgico del HV mediante sistema Endolog® tiene buenos-excelentes resultados clínicos y radiológicos, con escasas complicaciones. El dispositivo consigue una adecuada corrección de los ángulos IMTT y PASA.
En nuestro estudio, a mayor deformidad inicial, mayor es la corrección angular que puede aplicar el sistema.
Podemos concluir que se trata de una opción quirúrgica adecuada en HV severo.