Introducción
En el siglo XIX, Jules Germain François Maisonneuve definió la fractura que lleva su nombre como una lesión que asocia una fractura espiral proximal de peroné con afectación de la sindesmosis tibioperonea distal y lesiones asociadas como fractura del maléolo medial, maléolo posterior o rotura del ligamento deltoideo. Además, en sus estudios se reflejó por primera vez el papel de la rotación externa en la producción de la fractura de tobillo(1).
La lesión de la sindesmosis no solo se produce en la fractura descrita por Maisonneuve; en un 10% de las fracturas de tobillo tratadas quirúrgicamente, se ve afectada esta estructura.
El conocimiento de la anatomía y la biomecánica de esta articulación es de vital importancia para hacer frente a posibles lesiones, en muchos casos desapercibidas(2).
Recuerdo anatómico
La articulación del tobillo (talocrural) está formada por el astrágalo y las epífisis distales de tibia y peroné que forman una articulación diartrodial troclear, constituida por la carilla articular superior del astrágalo y las carillas inferior y externa de la tibia distal y la medial del peroné. Proximal a esta encontramos la articulación tibioperonea inferior. Esta estructura, englobada en el grupo de las sinartrosis, es una articulación sin revestimiento cartilaginoso y unida por un potente haz fibroso, la sindesmosis. Está formada por la superficie articular tibial cóncava y la congruente superficie convexa de la epífisis distal del peroné. Aunque congruente, el peroné no está centrado en la carilla articular tibial en un 97% de los casos, sino que se encuentra ligeramente anterior con respecto al extremo posterior de la incisura, siendo el espacio articular más ancho en la región más posterior del complejo(2)(3)(4). El eje de la articulación se orienta unos 32° de rotación externa con respecto al eje transmaleolar(5).
Está estabilizada por 3 ligamentos y complementada con los complejos ligamentarios interno y externo del tobillo(6)(7)(8)(9)(10):
• Ligamento tibioperoneo anterior (LTPA): el más débil del complejo. Se extiende desde el tubérculo anterolateral de la tibia, a unos 5 mm sobre la carilla articular, transcurriendo de manera oblicua hasta insertarse en el borde anterior del maléolo lateral. Compuesto por múltiples fascículos (entre 3 y 5), el más distal es conocido como ligamento de Basset, que se extiende sobre la cara anterolateral de la articulación tibiotalar y está implicado en los cuadros de pinzamiento anterior del tobillo.
• Ligamento y membrana interósea (LIO): estructura fibrosa que se extiende entre tibia y peroné. En su porción más distal, la membrana se condensa, dando lugar al ligamento interóseo. Se extiende entre el periostio de ambas carillas articulares; triangular, de base distal y ápex proximal, localizada justo por encima de los ligamentos tibioperoneos anterior y posterior.
• Ligamento tibioperoneo posterior (LTPP): constituido por 2 estructuras diferenciadas que en ocasiones se definen de manera aislada. Superficialmente, fibras que discurren de manera oblicua desde la parte posterolateral del peroné hasta insertarse en el tubérculo posterolateral de la tibia. Es el conocido como ligamento tibioperoneo posterior. En profundidad, una banda fibrosa que actúa como labrum, aumentando la faceta articular posterior de la tibia, conocida como ligamento transverso (LT), más elástico y fuerte que el anterior.
Biomecánica
La sindesmosis tibioperonea permite movimientos de traslación y rotación del peroné con respecto a la tibia de forma limitada.
Durante la flexión dorsal del tobillo, el astrágalo rota unos 2,5° externamente y se produce una apertura de la sindesmosis (traslación lateral del peroné), ascenso y rotación externa del peroné.
Contrariamente, durante la flexión plantar, el peroné se aproxima nuevamente al maléolo interno, desciende y rota ligeramente a externo, a la vez que el astrágalo rota ligeramente a interno (1°)(11).
La integridad de la sindesmosis limita la traslación lateral del peroné con respecto a la tibia durante la carga, soportando este entre el 10 y el 17% de la carga(12). La alteración de las estructuras estabilizadoras provoca una carga articular no fisiológica, concentrándose a nivel tibioastragalino con la secundaria degeneración articular.
Cada una de las estructuras ligamentosas aportan un grado diferente de estabilidad: un 42% corre a cargo del complejo posterior (33% LT y 9% LTPP), un 35% del LTPA y un 22% del LIO(4)(9).
Un 10% de todas las fracturas de tobillo tratadas quirúrgicamente presenta algún tipo de afectación sindesmal(13), pero su lesión no aparece necesariamente tras lesiones óseas, sino también en accidentes deportivos (10-20%) y sobre todo en deportes de contacto como el fútbol o el rugby y aquellos que emplean bota rígida como el esquí y el hockey. Es más frecuente entre los 18 y los 34 años de edad y, en muchas ocasiones, es imprescindible una alta sospecha diagnóstica para identificarla(10)(14).
Diagnóstico
El diagnóstico es sencillo en casos de diástasis tibioperonea completa pero, en los que no se acompaña de lesión ósea, puede pasar desapercibida, desencadenando a largo plazo una degeneración precoz de la articulación con dolor crónico.
El diagnóstico se realiza con una detallada anamnesis, exploración clínica y estudio radiológico, y debe prestarse especial atención al mecanismo lesional. En ocasiones, el paciente no recuerda el movimiento traumático, dificultando el diagnóstico, pues son muchas las maniobras que pueden afectar la integridad de la sindesmosis tibioperonea.
Con una mayor frecuencia, el mecanismo es un movimiento de hiperextensión con rotación externa del tobillo(3)(9)(13):
• En caso de producirse pronación y rotación externa (PRE) se suele asociar a una fractura de peroné suprasindesmal (Weber C).
• Cuando se debe a un movimiento de supinación con rotación externa (SRE) se acompaña de lesión peronea transindesmal (Weber B)(14).
Edema local, dolor en la región anteroexterna del tobillo y limitación funcional, sobre todo para la dorsiflexión, son algunas de las manifestaciones más comunes en una lesión sindesmal, sin olvidar las consultas por sensación de inestabilidad.
Durante la exploración, debemos palpar la región proximal del peroné para descartar una fractura de Maisonneuve. Algunas de las maniobras empleadas para someter a estrés las estructuras sindesmales y desencadenar la clínica son:
• Maniobra de rotación externa.
• Maniobra de compresión (squeeze test).
• Maniobra de rotación externa.
• Traslación peronea (Cotton test) (Figura 1).
Figura 1. A: squeeze test; B: test de rotación externa.

Su interpretación puede ser confusa y nunca debe basarse el diagnóstico en un resultado positivo.
Las maniobras de compresión y rotación externa han demostrado ser las exploraciones con mayor especificidad ante una lesión sindesmal(15). De César comparó los resultados obtenidos tras examen clínico con los hallazgos vistos en resonancia magnética (RM), obteniendo una especificidad del 94 y el 85%, y una sensibilidad del 30 y el 20%, para la rotación externa y el test de compresión, respectivamente, por lo que un resultado negativo en estas exploraciones no nos permite descartar la lesión(9)(16).
Se debe solicitar un estudio radiológico completo, con proyecciones anteroposterior, mortaja del tobillo y lateral, así como radiografías de la porción más proximal de tibia y peroné ante la sospecha de fractura de Maisonneuve.
Una diástasis completa tibioperonea es fácil de identificar y nos pone de manifiesto una afectación de todas las estructuras ligamentosas que estabilizan la articulación. Pero la mayoría de las lesiones sindesmales no muestran una clara manifestación radiológica; por ello, debemos prestar especial atención al espacio libre medial, superposición tibioperonea y espacio libre tibioperoneo, descritos por Harper y Keller en 1989(17). El valor fuera de los límites considerados normales de alguna de estas mediciones debe hacer sospechar una afectación sindesmal, pero la normalidad de los mismos no nos descarta el diagnóstico.
El espacio libre medial es el comprendido entre el borde medial del astrágalo y el borde lateral de maléolo interno, y se considera normal si la distancia entre la cúpula astragalina y la tibia es menor o igual a 4 mm; mediciones superiores manifiestan una traslación externa del astrágalo dentro de la mortaja, posible por una apertura sindesmal y lesión del ligamento deltoideo(18).
El espacio libre tibioperoneo normal, comprendido entre el borde lateral del tubérculo posterior de la tibia y el borde medial del maléolo peroneo, a 1 cm de la carilla articular tibial, es menor a 6 mm.
Por último, un valor mayor de 6 mm en la proyección anteroposterior o mayor de 1 mm en la proyección de mortaja se considera normal respecto a la superposición tibioperonea(3)(9)(10)(13)(14)(17) (Figura 2).
Figura 2. Mediciones radiológicas de la sindesmosis: AB-2: superposición tibioperonea; BC-3: espacio libre tibioperoneo; 4: espacio libre medial.

Realizando maniobras de estrés, como la rotación externa, durante la radiología ponemos de manifiesto inestabilidades dinámicas sindesmales.
El uso de la ecografía para el diagnóstico de lesiones sindesmales nos permite una exploración dinámica, observando cómo se comporta la articulación mientras se somete a maniobras de estrés. Esta prueba es barata y accesible, pero no nos permite valorar estructuras como el ligamento interóseo, lesiones condrales o fracturas que puedan acompañar a la lesión antes descrita(9). Estos estudios tienen una baja sensibilidad, con una alta tasa de falsos negativos.
Para valorar la relación del peroné respecto a la tibia, el estudio radiológico por medio de tomografía computarizada (TC) nos permite analizar en el plano coronal la relación de estas dos estructuras de manera más precisa.
La RM es la prueba radiológica con mayor sensibilidad y especificidad en la valoración de las estructuras sindesmales(3). El inconveniente es que es una prueba estática en descarga que nos impide valorar cómo se comporta la articulación en fase de carga y dinámica.
Por último, la artroscopia es una técnica diagnóstico-terapéutica que permite visualizar directamente las estructuras, diagnosticando inestabilidades y lesiones asociadas.
Clasificación
Numerosos trabajos han propuesto diferentes clasificaciones en busca de consenso para el tratamiento de las lesiones sindesmales. Hasta ahora, dada la dificultad diagnóstica, no hay una clasificación que nos indique qué tratamiento realizar según el grado de lesión.
Una primera y sencilla clasificación nos permite dividir las lesiones sindesmales en agudas, subagudas o crónicas. Consideramos lesiones agudas aquellas diagnosticadas antes de las 6 semanas tras el traumatismo, subagudas entre las 6 semanas y los 6 meses, y crónicas aquellas con más de 6 meses de evolución(9)(10).
Atendiendo al estudio radiológico, diferenciamos lesiones estables, como aquellas en las que no se aprecian alteraciones en la radiología; inestables, las que muestran una franca diástasis tibioperonea en la proyección anteroposterior; y latentes, las lesiones que se diagnostican en proyecciones bajo estrés articular(19). Pero estas clasificaciones no incluyen todos los datos de que disponemos en conjunto, por lo que no tienen un carácter pronóstico.
Algunos autores han propuesto una clasificación valorando los hallazgos obtenidos en la exploración clínica y las imágenes radiológicas, diferenciando la severidad del proceso entre grado I, II o III(10)(14).
El grado I hace referencia a lesiones con estabilidad sindesmal, con estudios radiológicos normales y clínica leve.
Una lesión de grado II indica lesión completa LTPA y LIO; es una lesión sindesmal parcial, con estudios radiológicos normales, que se alteran al someter a la articulación a maniobras de estrés.
Por último, el grado III se caracteriza por una ruptura de todas las estructuras ligamentosas que conforman la sindesmosis, acompañada o no de lesión deltoidea. Los estudios radiológicos muestran una clara alteración de la alineación de tibia y peroné. En este último grupo debemos diferenciar aquellas lesiones sindesmales aisladas de las que se acompañan de alguna lesión ósea y, aunque ambas precisarán de un tratamiento quirúrgico, este variará.
Tratamiento
El planteamiento de una lesión sindesmal diferencia si la lesión es aguda o crónica y si es estable o no. El éxito del tratamiento dependerá de la rapidez con la que se instaure y de la reducción sindesmal obtenida.
Lesión sindesmal estable
Lesiones diagnosticadas en RM con radiología normal y sin diástasis tibioperonea.
El tratamiento es conservador, con un periodo de inmovilización con yeso o dispositivo ortopédico que no debe superar las 4-6 semanas y la descarga el menor tiempo posible, limitándose a la fase más aguda. Durante esa fase, la actuación irá dirigida a disminuir la clínica aguda –reposo, elevación del miembro, hielo, descarga y medicación antiinflamatoria– y, posteriormente, continuar con un intenso programa de rehabilitación(3)(10)(13)(14).
La recuperación de estas lesiones es lenta, siendo necesario un periodo de inactividad tras el evento traumático mayor que en el caso de los esguinces de tobillo(14)(20).
Lesión sindesmal inestable
En este grupo incluimos 2 posibles situaciones:
• Lesiones con inestabilidad latente de la sindesmosis que se pone de manifiesto mediante maniobras de estrés.
• Lesiones sindesmales acompañadas de fracturas. El principio del tratamiento es la reducción anatómica del peroné. Existen numerosos estudios que han demostrado la importancia de este hecho. Ramsey y Hamilton en 1976 fueron los primeros en ver las consecuencias de una mala reducción, concluyendo que un solo milímetro de traslación lateral del astrágalo dentro de la mortaja disminuye en un 42% el área de apoyo articular, incrementándose las presiones en las zonas de contacto; esto conlleva un mayor estrés articular y degeneración(21). Otros autores, como Kimizuka et al., Lloyd et al. y B. Thordarson(22)(23)(24) lo confirmaron.
Existe consenso en cuanto a que los pacientes con lesión sindesmal e inestabilidad franca deben ser manejados quirúrgicamente.
Tradicionalmente, las lesiones sindesmales se han tratado con reducción y fijación con 1 o 2 tornillos de acero o titanio de 3,5 o 4 mm de grosor, colocados 1-4 cm sobre la articulación del tobillo paralelo a esta(3)(10)(13)(14).
El peroné se dispone anatómicamente posterolateral a la tibia en el plano sagital; al realizar la reducción, la pinza debe colocarse en el eje exacto del tobillo que pasa por los 2 maléolos, 20-30° en sentido anteroposterior. Sin embargo, a pesar de ello, en muchas ocasiones no conseguimos una reducción anatómica de la sindesmosis, pues las referencias anatómicas y las radiografías tomadas intraoperatoriamente no nos permiten analizarlo de manera precisa.
Se han publicado tasas superiores al 50% de malreducciones mediante la fijación guiada por fluoroscopia(13). Para evitar esta complicación y sus consecuencias, se propone el uso de TC durante la cirugía o la realización de radiografías del miembro contralateral para comparar, ya que, aunque existentes, las diferencias entre ambas articulaciones tibioperoneas son mínimas.
La reducción abierta mediante un abordaje más anterior que nos permita la visualización de la reducción anterior de la sindesmosis ha demostrado ser una técnica más exacta y la preferida por los autores. Miller describe un 16% de malreducciones con este método(25); Sagi comparó la reducción abierta frente a la cerrada obteniendo unas tasas de reducción no anatómica del 15 y el 44%, respectivamente(26).
Respecto a la colocación de los tornillos, el número de corticales, el material y la retirada o no de los mismos, existe mucha controversia, sin estudios que ofrezcan una respuesta contundente a estas cuestiones.
Tal como se describió previamente, la colocación de los tornillos se realiza entre 1 y 4 cm proximal a la línea articular. Si el tornillo más distal se sitúa a unos 4 cm de la línea articular, la fijación será suprasindesmal.
La colocación a 2 cm permite una reducción con menos ensanchamiento que a 3,5 cm, como describió McByde en su trabajo(27). Según Verim et al., con la colocación de los tornillos de forma suprasindesmal a 40 mm de la línea articular, se obtiene una fijación con menos estrés, recomendando esta construcción(28).
Respecto al tamaño y el número de corticales, tampoco existe consenso. Con el uso de tornillos de 3,5 o 4,5 mm no se han demostrado diferencias significativamente estadísticas respecto a la reducción y al resultado clínico. Realizar una fijación con 4 corticales proporciona diseños más rígidos con mayor riesgo de rotura del tornillo(29). Por el contrario, Stuart et al. en un estudio retrospectivo relacionaron el uso de tornillos de 3,5 mm con una mayor tasa de rotura, sin peores resultados funcionales(30). La elección de los autores son tornillos de 3,5 mm y, en la medida de lo posible, 4 corticales.
La asociación de una placa de tercio de caña en peroné y la fijación a través de ella de la sindesmosis con 1 o 2 tornillos es otra técnica descrita con mayor rigidez y estabilidad a la construcción; se emplea en cirugías de rescate como las atrodesis tibioperoneas(12)(14)(31).
En lesiones ligamentosas acompañadas de fractura, lesiones por PRE (Weber C) o SER (Weber B), se realiza la fijación con un solo tornillo supra- o transindesmal. En lesiones ligamentarias puras con inestabilidad franca de la sindesmosis se añade un segundo tornillo proximal, paralelo al anterior(3)(13)(31)(Figura 3).
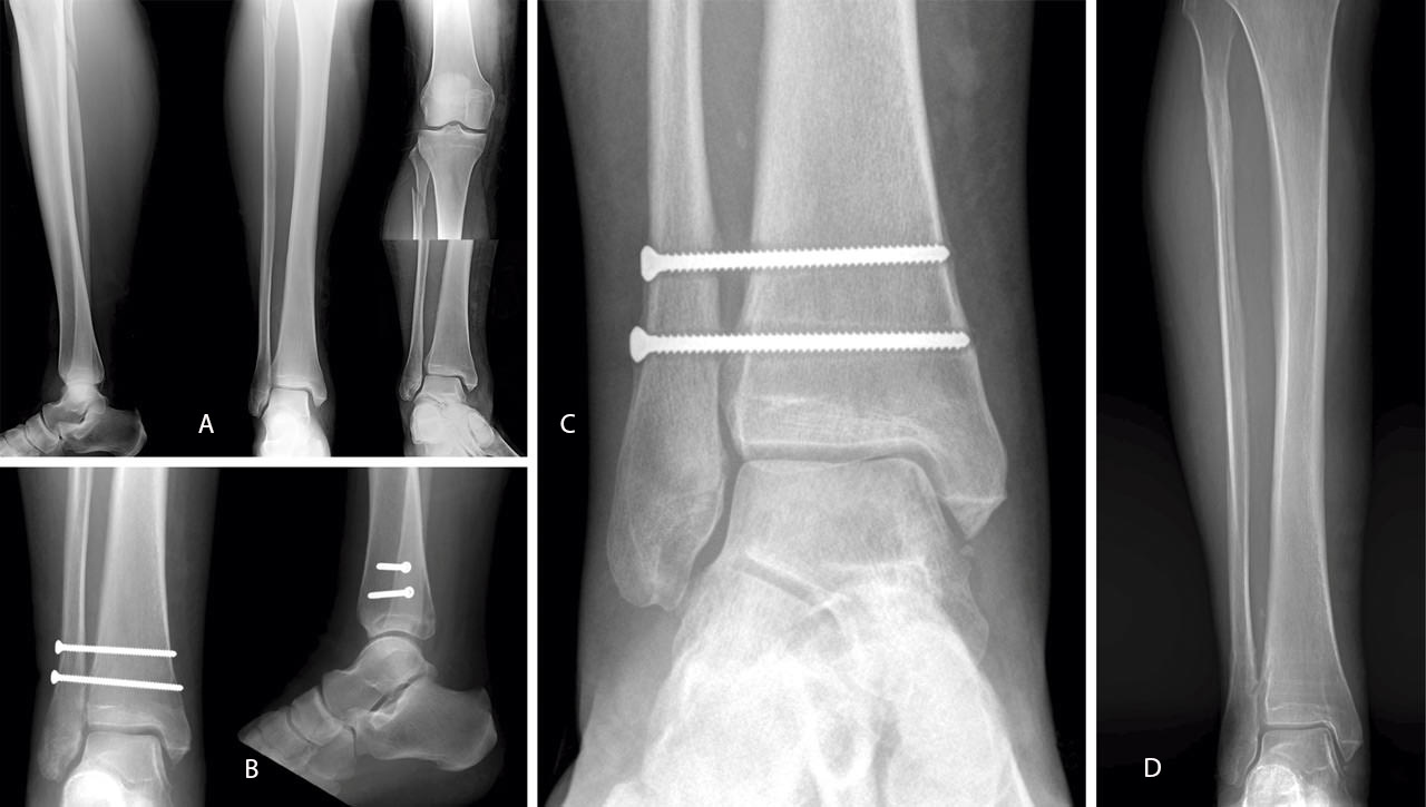
Figura 3. Mujer de 52 años con fractura de Maisonneuve tras caída por escaleras (A); fijación con 2 tornillos tetracorticales de 3,5 mm (B); osteolisis tras inicio de la carga total (C); retirada de tornillos 6 meses tras la intervención quirúrgica (D).

Este punto muestra disparidad de opiniones sobre la necesidad de realizar o no fijación sindesmal en lesiones bimaleolares o trimaleolares. En el caso de fracturas trimaleolares, la inserción tibial del complejo tibioperoneo posterior se encuentra intacta junto al fragmento óseo (Volkmann); por ello, la fijación de este mediante un tornillo anteroposterior o placa posterior ofrece estabilidad suficiente para permitir una correcta restauración de la dinámica articular(3)(14).
Todavía no podemos determinar con exactitud cuál debe ser la actitud a tomar con respecto a las fracturas de tobillo que asocian un fragmento posterior. Se han propuesto numerosas clasificaciones a este respecto, sin haberse establecido ninguna de ellas como referencia, pero es cierto que la precisión en la reducción se cree que tiene relación directa con el desarrollo de artrosis postraumática. Hartford observó que la reducción de la superficie articular un 25, un 33 y un 50% conllevaba una reducción del área de contacto tibiotalar del 4, el 13 y el 22%, respectivamente(32). Por ello, clásicamente se ha considerado la necesidad de fijar el fragmento posterior en aquellos casos que suponen entre un 25 y un 33% de la superficie articular tibial o en fragmentos con más de 2 mm de desplazamiento.
Estas pautas son tomadas en función de los resultados obtenidos en los estudios radiológicos convencionales, pero la importancia del fragmento tibial posterior sigue siendo infravalorada según estas premisas. Bartoniĉek et al. proponen una nueva clasificación de las fracturas del maléolo posterior; en ella, se presta especial atención al tamaño del fragmento y a su implicación en la escotadura peroné, por ello complementan el estudio mediante TC. Esta clasificación, más completa que las previas, nos permite establecer principios terapéuticos más precisos que las anteriores(33). Con la fijación del maléolo posterior restauramos la congruencia de la superficie articular, fijamos los anclajes posteriores de la sindesmosis y permitimos una correcta cicatrización y recuperación de la dinámica tibioperonea. Gardner, en su estudio publicado en 2013, comprobó que la fijación del maléolo posterior permitía a la sindesmosis un 30% más de estabilidad que la fijación transindesmal(34).
Respecto a la actitud ante las fracturas de peroné, podemos afirmar que en las fracturas localizadas proximalmente a 4,5 cm de la articulación, la fijación sindesmal debe realizarse con un tornillo(35)(36).
En las fracturas más distales, con aparente afección sindesmal, que tras ser reducidas recuperan la alineación tibioperonea, debe comprobarse intraoperatoriamente la estabilidad de la misma y lo haremos con ayuda del fluoroscopio mediante maniobras de estrés:
• El test de rotación externa.
• El hook test, que se muestra superior al test de rotación externa. El hook test consiste en traccionar del peroné en sentido posteroexterno con ayuda de un gancho. Se considera positivo en caso de traslación superior a 2 mm. En esta situación está indicada la fijación con un tornillo transindesmal(3)(14)(31)(Figura 4).
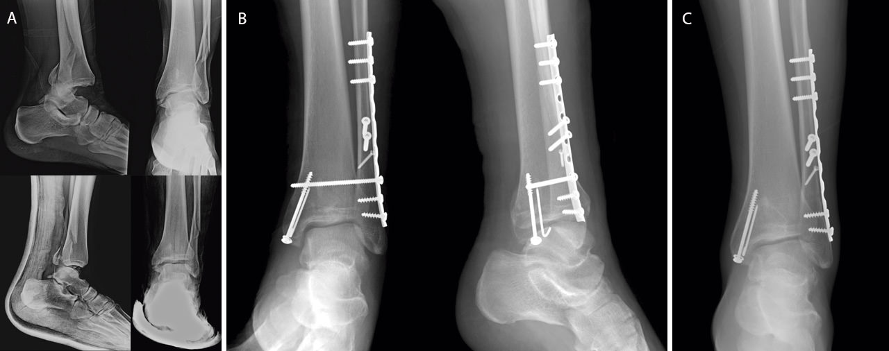
Figura 4. Varón de 26 años con fractura-luxación de tobillo tras sufrir accidente de moto (A); reducción abierta y fijación interna. Se realiza fijación con tornillo transindesmal tras comprobación intraoperatoria de inestabilidad sindesmal (B); retirada de tornillo trasnsindesmal a los 4 meses (C).

El uso de la artroscopia se nos muestra muy útil, permitiendo ver la situación de los ligamentos tibioperoneos anterior y posterior, y la movilidad sindesmal mientras sometemos la articulación a maniobras de estrés. También permite determinar lesiones asociadas como las osteocondrales y/o la existencia de cuerpos libres y, en caso de inestabilidad, una visualización directa de la reducción(14)(37).
Respecto a la retirada del material, la fijación clásica mediante tornillos no permite una movilidad fisiológica del tobillo durante el movimiento, pues debemos recordar que, aunque limitada, la sindesmosis tibioperonea permite cierta movilización durante la flexoextensión, trasladándose el peroné de manera posteroexterna durante la flexión dorsal del tobillo.
Este hecho pone en controversia si se debe o no retirar la fijación y cuándo; la lógica nos dice que debemos encontrar el equilibrio entre el tiempo necesario de fijación para la cicatrización de las estructuras ligamentosas y la retirada precoz de esta para permitir una mecánica fisiológica y reestructuración ad integrum del balance articular.
En este punto, a pesar de publicaciones que presentan hasta un 87% de retiradas de material de manera rutinaria(13)(38), aparecen de nuevo diferentes opiniones. Existe consenso en que debemos mantener la fijación sindesmal 6-8 semanas y, preferiblemente, no retirarla antes de los 3 meses(3)(10)(12)(31). El estrés mecánico al que se someten los tornillos durante la carga termina por provocar osteolisis perimplante, lo cual ocurre en el 7-29% de los casos, relacionado con el grosor del tornillo y más frecuente con tornillos de 3,5 mm(30).
La tasa de infección en la retirada es del 9,2% y la pérdida de reducción del 6,6%, con series como la de Scheper et al. con una tasa de complicaciones del 22,4%(39)(40).
Para minimizar estos riesgos inherentes a la implantación de material de osteosíntesis y con el fin de desarrollar fijaciones más fisiológicas, se han desarrollado nuevas técnicas con materiales reabsorbibles y dispositivos de fijación dinámica.
Los materiales reabsorbibles como el ácido poliláctico (APL) y el ácido poliglicólico permiten obtener una fijación suficiente para mantener la alineación ósea durante el tiempo necesario para una correcta movilidad articular sin riesgo de pérdida de reducción.
La principal ventaja que aporta este dispositivo es que no es necesaria su retirada y la degradación progresiva del tornillo permite una transferencia progresiva de las cargas al hueso(41)(42); como inconveniente, la tasa de degradación (por hidrolisis) varía según el material y justifica la mayor tasa de reacción a cuerpo extraño descrita.
A pesar de las dudas iniciales, estudios publicados muestran resultados comparables a los obtenidos con la fijación tradicional mediante tornillos metálicos, siendo superiores respecto al rango de movilidad final. No obstante, la tasa de complicaciones es superior, cercana al 20%(3)(14)(31)(41)(42).
Estos dispositivos confieren estabilidad suficiente a la reducción para la cicatrización de las estructuras ligamentosas y permiten una movilidad fisiológica de la sindesmosis. El objetivo es la fijación dinámica para una recuperación más fisiológica, permitiendo la traslación lateral del peroné durante la dorsiflexión del tobillo, sin perder la reducción. Esto permite una rehabilitación precoz, acortando los tiempos de inmovilización, descarga y una temprana reincorporación a su actividad previa al trauma sin necesidad de una segunda intervención para su retirada. Aunque el precio es más elevado, quedaría compensado por la no necesidad de una nueva reintervención para la retirada del dispositivo, por lo que estas fijaciones dinámicas son más costo-efectivas. Numerosos estudios demuestran resultados comparables a los obtenidos mediante la fijación tradicional, haciendo de estos métodos técnicas aplicables en lesiones sindesmales(3)(10)(12)(13)(14)(31)(43)(44).
Conclusiones
El primer paso para un correcto tratamiento de las lesiones sindesmales es un gesto sencillo: pensar en ellas. Ante traumatismos banales, entorsis de mayor o menor severidad, fracturas bimaleoloares de tipo B aparentemente poco complejas o de tipo C donde solo valoramos partes óseas, no pensar en la posibilidad de que esté afectada es el primer paso al fracaso.
Una detallada anamnesis en busca del mecanismo lesional y, ante la falta de concreción en la historia, una exploración clínica dirigida nos pondrán fácilmente sobre la pista correcta.
Las pruebas complementarias, entre ellas la radiología de tobillo y mortaja, y la medición de los espacios, nos ayudarán a clasificar las lesiones. La TC nos ofrecerá una amplia visión sobre qué ocurre en la articulación tibioperonea distal, mostrándose altamente efectiva en las fracturas del maléolo posterior que, con las clasificaciones más actuales, han cambiado la perspectiva y el resultado final cuando la sospecha de lesión sindesmal se asocia a estas graves fracturas.
Respecto al tratamiento final en las fracturas con lesión asociada, los autores prefieren la revisión abierta de la sindesmosis en las situaciones de dudas diagnósticas, mediante un abordaje lateral ampliado para revisar completamente la estructura y su correcta reducción. La fijación que elegimos son 2 tornillos suprasindesmales de 3,5 mm y, ante la falta de consenso como hemos descrito previamente, en determinadas situaciones no retiramos el material y autorizamos la carga a las 6-8 semanas tras la cirugía.