En el presente capítulo intentaremos responder a las siguientes preguntas: ¿cuándo debo pensar en una coalición?, ¿dónde se puede presentar el dolor?, ¿qué prueba debo solicitar?
La presentación clínica de la coalición tarsiana es variable. Ya hemos hablado en el capítulo previo de la influencia genética y la transmisión, por lo que ante la sospecha debemos preguntar si progenitores o familiares tienen algún tipo de problema. Una revisión de los familiares de primer grado de pacientes con pie plano sintomático encontró que el 39% tenía coaliciones asintomáticas(1).
Aunque suelen ser una anomalía aislada, debemos buscar posibles síndromes asociados: coalición del carpo, sin falangismo, artrogriposis, hemimelia fibular, síndrome de Apert y el síndrome de Nievergelt-Pearlman(2,3,4,5,6).
Generalmente, son asintomáticas en los primeros años de vida. La presentación clásica es en la segunda década, cuando el paciente se queja de dolor crónico y se observa que tiene un pie plano y rígido en el examen clínico. Los pacientes que no son muy activos suelen presentar la enfermedad más tarde en la vida(7) y algunos individuos afectados pueden no llegar a presentar síntomas nunca. En pacientes en edad universitaria, la presentación más común es el esguince de tobillo repetido.
Con estadísticas variables, la incidencia más citada es del 1-2%(8,9,10), aunque se ha considerado una cifra muy subestimada, pudiendo estar más próxima al 11-13%(2,8,11,12,13). La tasa de coaliciones bilaterales se sitúa por encima del 50% (50-73%)(8,13) y representaría del 2 al 12% del total de nuestras consultas(1,14).
Si bien se sugiere que no hay predominancia entre sexos, la tasa de cirugías en varones es de 1,5 frente a las mujeres (ya sea porque son más demandantes físicamente o por una diferente percepción del dolor ligada al sexo)(15,16).
La coalición tarsiana puede ser difícil de identificar en la evaluación clínica y por radiología simple. Dada la alta prevalencia de la coalición, de hasta un 13%(14,17), los radiólogos deben estar alerta para detectar los hallazgos de imágenes, que suelen ser sutiles, y los traumatólogos para buscar y encontrar los signos que puedan sugerir una coalición. Pero también para descartar otras causas del dolor más allá de la coalición, debido al alto porcentaje asintomático. Si hasta un 13% de la población puede tener alguna coalición, su presencia puede ser un arma de doble filo: explicaría algunos problemas, pero no todos los problemas son por esta causa.
Impresiones en la consulta de un equipo de pie y tobillo
Descartando la etapa infantil (que veremos en profundidad en el siguiente capítulo), la edad del paciente puede ser un indicador de la posible coalición y esta debe ser sospechada en todo paciente joven que refiere una secuela de esguince, esguinces de repetición o un dolor que empeora con la actividad.
Durante la maduración ósea las coaliciones se hacen más rígidas, produciendo cambios cinemáticos en las articulaciones, disminuyendo la capacidad de adaptación y amortiguación(10,18), creando microfracturas, que serían las responsables últimas del dolor, ya que las coaliciones carecen de terminaciones nerviosas, vía las fibras nerviosas periostales(19,20).
La presentación de los síntomas es variable (Tabla 1), desmintiendo el caso clásico de pie plano-valgo rígido con espasmo peroneal. El paciente, en más del 50% de los casos, suele situarlo en el seno del tarso (31,3%), la espasticidad de los peroneos es de solo un 3,13% o bien refiere esguince o dolor en terreno irregular que le sugiere inestabilidad (25 y 9,38%). Ocasionalmente medial con/sin aumento de volumen (12,5%), que sugerirá una posible coalición talocalcánea (TC) medial y posibles síntomas de túnel tarsiano (18,8%) o de tendinitis del flexor hallucis longus (FHL)(21).

Por otro lado, debido al estudio de referencia de Harris(4), se cree que las coaliciones se asocian universalmente con la deformidad del pie plano. De este modo, todo pie plano infantil sintomático se trataría de una coalición. Sin embargo, solo alrededor de la mitad de las coaliciones se asocian con el pie plano(22) e incluso pueden asociarse con una deformidad del pie cavo(7,23,24,25)(Figura 1).

Del mismo modo ocurre con la espasticidad de los peroneos, que algunos consideran patognomónica y que solo estaría presente en el 3,13% de los casos(21).
Como se ha mencionado en el capítulo previo, se producen con mayor frecuencia entre el astrágalo y el calcáneo (coalición subastragalina o TC) y entre el proceso anterior del calcáneo y el escafoides (coalición calcaneonavicular –CN–). Entre ambas superan el 90% de todas las coaliciones, siendo en las series internacionales más frecuente la coalición CN y en la nacional la TC(26). A efectos prácticos debemos considerarlas similares en frecuencia, siendo de entrada los tipos que buscar.
También pueden observarse entre el astrágalo y el escafoides, entre el calcáneo y el cuboides, o entre múltiples huesos del tarso(27)(Figura 2).

En general, la literatura coincide en que los síntomas aparecen según progresa la maduración ósea, que induce la rigidez.
- Por debajo de los 8 años: un pie plano rígido nos hará pensar en una coalición astragaloescafoidea (talonavicular).
- Por debajo de los 12 años: una calcaneoescafoidea (CN).
- Por debajo de los 16 años: una subtalar. TC.
Sin embargo, en nuestra práctica vemos que la presentación en consulta de las coaliciones es posterior y casi trimodal: infancia (menores de 10 años), adolescencia (según la madurez ósea, pero en general de los 14 hasta los 24) y adultos a partir de los 30-40 años (el grupo menos frecuente y más complejo, donde en ausencia de degeneración articular, es necesario descartar otras causas de la coalición como la causa principal de su dolor).
En la infancia, acudirán por dos motivos: niños con síntomas, ya sea fatiga o dolor y pie rígido, y los casos asintomáticos por despistaje de pie plano con o sin rigidez. Al igual que en el adulto, el concepto de rigidez salvo claro bloqueo es de difícil cuantificación y puede verse influenciado por el tipo de unión. Según la naturaleza del tejido, se diferencian: fibrosas (sindesmosis), cartilaginosas (sincondrosis) y óseas (sinostosis)(28). En la práctica, diferenciaremos dos grupos: las óseas de las fibrocartilaginosas. Como decía el Dr. R. Viladot, por factores propios del explorador (entusiasmo por encontrar una rigidez, fuerza/energía en el momento de la consulta…), la exploración de la rigidez puede tener una variabilidad intraexplorador importante, por lo que intentaremos durante la exploración ser lo más completos/exhaustivos posibles.
Para ampliar el conocimiento sobre este grupo, aconsejamos la lectura del siguiente capítulo, enteramente dedicado a las coaliciones tarsianas en la edad pediátrica.
En la adolescencia, se presentan muchas veces como “esguinces” sin traumatismo o torcedura clara previa(21). El dolor es el síntoma más común, seguido de la deformidad en valgo y de la rigidez subtalar.
Creemos que con las diferencias de maduración entre chicos/chicas, entre las propias chicas, diferencias de raza… sin una curva de maduración o edad ósea, somos a priori incapaces de diferenciar entre pacientes jóvenes con coaliciones calcaneoescafoideas (TN) de menos de 12 años y calcaneoastragalinas (TC) menores de 16. Además, todo ello carece de practicidad real para la consulta.
En la adolescencia consideraríamos dos grupos. El primer grupo, más joven (menores de 18), generalmente sin sobrepeso y que realiza actividades deportivas o extraescolares con dolor durante estas y que se alivia al dejarlo. Algunos dejan de realizar la actividad y ocasionalmente junto con unas plantillas realizan sin saberlo un exitoso tratamiento conservador. De este grupo recuperaremos una parte más adelante y otra parte nutrirá ese hasta 13% de coaliciones asintomáticas.
Un segundo grupo, universitario o en la tercera década de la vida, en una población más bien sedentaria y que generalmente presenta un grado de sobrepeso(7), con dolor insidioso lateral o medial del retropié, que empeora con ciertas actividades o en terreno irregular y no siempre está ligado a una historia de esguinces. Es posible que parte de estos casos que han podido llegar a esta tercera década, sea por la restricción de la actividad y dan la cara por un conflicto entre la sobrecarga ponderal, la degeneración de las articulaciones vecinas y el agotamiento de los mecanismos de compensación.
Los adultos, el grupo por encima de los 40, generalmente delgados, suelen acudir por una degeneración en torno a la coalición. Son casos complejos y, de no presentar esta degeneración, debemos descartar otras causas aparte de la coalición, ya que esta puede ser un hallazgo casual y no la causa de su dolor.
Exploración y anamnesis
Debemos ver caminar al paciente, el examen físico puede revelar un retropié rígido en valgo, con rotación externa y abducción del antepié, aunque un retropié neutro o en varo no excluirá el diagnóstico(25). Es importante registrar para el tratamiento posterior la posición relativa del calcáneo.
En la historia registraremos el inicio, que puede no tener antecedentes o asociarse a pequeños traumatismos, de los que tan solo un 25% referirá un esguince previo. El dolor es característicamente mecánico, aliviándose con el reposo. Debemos asimismo registrar posibles antecedentes familiares de patología en los pies (pies planos, cirugías previas o coaliciones). Debemos preguntar por las actividades deportivas, así como su asociación con el dolor.
El dolor puede situarse a la palpación tanto sobre el seno del tarso como en la carilla medial, justo distal al maléolo medial. En todos los tipos de coalición tarsiana se observa comúnmente una reducción de la eversión e inversión pasivas. Aunque es vital comparar los hallazgos con el pie contralateral, debemos tener siempre un alto índice de sospecha de posibles coaliciones bilaterales y la exploración bilateral es obligatoria. El espasmo de los músculos peroneos asociado con dolor a la inversión forzada sugiere una coalición, pero no es diagnóstico(2,29).
Toda rigidez del retropié debe hacernos sospechar de una posible coalición. Las coaliciones TC de la faceta media crean la mayor pérdida de movimiento subastragalina y la deformidad en valgo más obvia(2,3,30).
La pérdida de movimiento subtalar puede determinarse mediante varias pruebas que pasaremos a describir, para poder establecer con objetividad la rigidez.

En la prueba de bloque de Coleman invertido (Figura 3), el pie del paciente se supina elevando medialmente el antepié con un bloque y manteniendo el talón y el borde lateral en contacto con el suelo. Si el talón valgo no se corrige, el retropié será rígido. Se puede observar además una disminución en la rotación externa normal de la tibia, reflejada por la ausencia de rotación hacia afuera de la rótula. Otra forma sencilla de evaluar un movimiento subtalar restringido es pedir al paciente que camine sobre los bordes externos de los pies, lo que le puede resultar difícil o incómodo. En el test de Fonseca o de elevación de un solo talón o de ambos si no es capaz (heel rise) (Figura 4), el talón debe ponerse en varo, debido a la rotación externa de la tibia por efecto del tibial posterior, efecto que cierra “la llave del mediopié”, pasando a un mediopié rígido propulsivo. Si el talón no se coloca en varo, indicaría así su rigidez. El test de Jack (Figura 3) tiene la misma función de demostrar una subastragalina móvil, un pie plano en carga recuperaría el arco a la dorsiflexión del hallux por el efecto de tensión de la fascia plantar (windlass).

La exploración directa de la movilidad de la subastragalina debe ser en dorsiflexión del tobillo para bloquear la articulación tibiotalar, aspecto muy poco comentado en los tratados clásicos(31). Una vez esté el astrágalo bloqueado en su mortaja, con el cuenco de una mano abrazaremos el talón y con la otra cogeremos el antepié, realizando un movimiento en bloque en inversión-ligera flexión/eversión-ligera dorsiflexión(32,33). Sabemos que la articulación de Chopart se vuelve especialmente móvil. Movilizando solo el antepié, valoraremos la movilidad del Chopart.
Valoraremos también la posible retracción del tríceps sural mediante el test de Silfverskiöld.
Respecto a los puntos de dolor, valoraremos:
- Lateralmente: dolor en el seno de tarso, signos de inestabilidad, con el objeto de descartar una inestabilidad de tobillo; dolor retromaleolar por posible contractura de peroneos espástica o no, patología propia de los peroneos, luxaciones, roturas…
- Medialmente: valoraremos el sustentaculum tali, que puede tener una protrusión (Figura 5), descartando una protrusión por un os navicularum (escafoides accesorio) asociado a un pie plano o posible patología en el ligamento deltoideo. Valoraremos igualmente la tendinitis de tibial posterior y otros signos más propios del pie plano que de la coalición, así como signos de síndrome del túnel tarsiano: test de Tinel, test de triple compresión (sensibilidad del 86%, especificidad del 100%)(34,35) y el test de dorsiflexión-eversión (sensibilidad del 97% y especificidad del 100%)(36), junto con una historia de dolor urente progresivo y que empeora con la bipedestación estática, entre otros.

Pruebas complementarias: imaginería de la coalición
El estudio por radiografía simple sigue siendo el estudio de entrada en nuestra consulta. Si bien se considera que hasta un tercio podrían pasar desapercibidas(37,38).
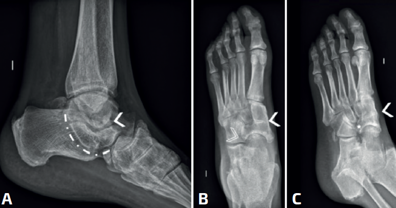
Las radiografías simples deben ser siempre bilaterales. Se deben solicitar: anteroposterior (AP) en carga, lateral en carga y oblicua a 45°. La radiografía a 45° descrita por Sloman en 1921(39) demuestra la presencia de coaliciones CN en el 90-100% de los casos(40,41). Es cierto que la superposición de los huesos del tarso dificulta el diagnóstico de la coalición, pero se han descrito algunos signos distintivos directos e indirectos que ayudan al diagnóstico, siendo los más conocidos el signo del oso hormiguero, el pico del astrágalo (talar beak) y el signo de la C. Estos signos clásicos muestran una buena especificidad, pero una sensibilidad moderada: el hecho de que la coalición sea fibrosa, cartilaginosa u ósea, y el tamaño variable de la coalición influirán en la imagen y en nuestra capacidad de diagnóstico.
El hocico del oso hormiguero es diagnóstico de una coalición CN. Inicialmente descrito en las radiografías oblicuas, también puede ser visible en las proyecciones laterales(37,42,43)(Figura 6A). El proceso anterior del calcáneo normalmente es triangular, pero se alarga en las coaliciones y la punta es cuadrada como el hocico de un oso hormiguero. Un estudio de Crim y Kjeldsberg(22) demostró en radiografías laterales una sensibilidad del 72% y una especificidad del 90% del signo del oso hormiguero, y del 90-100% de los casos en las oblicuas(40,41). Será incompleta en caso de fibrocartilaginosa y completa en las uniones óseas.
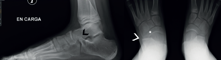
El hocico del oso hormiguero inverso: en la radiografía AP en carga del pie, se verá el proceso lateral del escafoides más alargado (Figura 6F, flecha). Normalmente los márgenes están alineados con la cabeza. En las coaliciones, el borde lateral tiende a estar más alargado (Figura 6B, asterisco), en algunos casos su borde es cuadrado y parece articular con el calcáneo. La sensibilidad original reportada de este signo fue del 50% y la especificidad fue del 100%(22), aunque un informe posterior encontró una sensibilidad de tan solo el 18%(44).

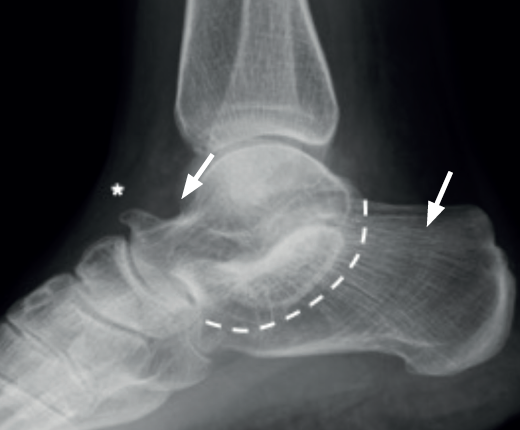
El pico del astrágalo (talar beak) se produce secundariamente por la rigidez del retropié(45). La articulación de Chopart aumenta su movilidad a dorsal, el escafoides sube por encima de la cabeza del astrágalo creando con la tracción capsular un pico (es más común en las TC que en las CN) (Figura 7).

El signo de la C o C-sign es el signo directo más fácil de identificar en la vista lateral. Analizando la faceta medial de la articulación subastragalina en las coaliciones TC, que son las más frecuentes (Figuras 7 y 8). Si es distrófico o la línea articular es irregular, sugiere osteoartritis. Los pacientes suelen ser jóvenes al diagnóstico. Posteriormente, en caso de sinostosis con continuidad entre el calcáneo y el astrágalo, un bloque óseo une la voluminosa faceta medial distrófica al sustentaculum tali. Tiene la forma de un arco convexo posteriormente: de ahí el “signo de la C”(45). En pies planos puede ser positivo sin coalición(46) (sensibilidad del 88% y especificidad del 87%)(22).
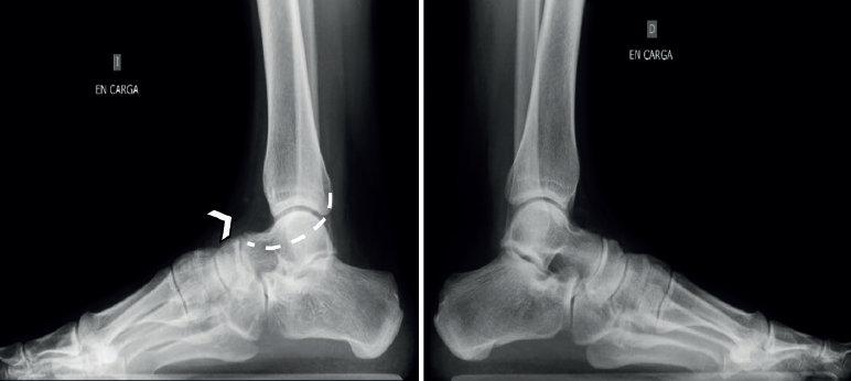
La ausencia de la faceta medial (subastragalina) precisa de una proyección exacta lateral centrada en el retropié(22). Si la articulación subastragalina posterior es visible y bien alineada, la anterior debiera ser igualmente visible; si no, es posible una coalición(22,47) (sensibilidad del 72-100% y especificidad del 42-94%) (Figura 8A).

Ocasionalmente, la radiografía axial del calcáneo o proyección de Harris nos permitirá ver con mayor detalle las coaliciones TC, pero se realiza cada vez menos en detrimento de la tomografía axial computarizada (TAC) o la resonancia magnética (RM).
Drunken waiter sign o signo del “camarero borracho” (Figura 5): si se aprecia en las radiografías axiales del calcáneo de Harris un ángulo superior a 20° entre la superficie del sustentaculum y la posterior, se sospechará una coalición, con una sensibilidad del 72% y una especificidad del 94% que se debe confirmar en cortes coronales de TAC.
Otras proyecciones como la de Saltzman o una long-view también pueden ser de utilidad para la cuantificación del varo/valgo tanto pre- como posquirúrgico. Sin embargo, la TAC en carga parece que va ganando adeptos pese a una disponibilidad aún reducida en nuestro medio (Tabla 2).

Ante la presencia de alguno de los signos previamente descritos, asociado con una clínica sugerente, debemos sospechar la existencia de una coalición tarsiana. Si hay confirmación con las radiografías simples, una TAC puede ser la prueba de elección. Es una herramienta fundamental para confirmar el diagnóstico y permite describir la localización y el tamaño de la coalición, así como planificar el tratamiento. Además, permite obtener una valoración del estado de la articulación objetiva y descartar la presencia de otras coaliciones concomitantes. Sin embargo, la TAC puede tener sus limitaciones en los casos de coaliciones no óseas: en 100 pies disecados, Solomon et al.(49) encontraron 9 fusiones no óseas TC o CN, de las cuales solo el 55% habían sido correctamente detectadas por la TAC. Más aún cuando 4 sospechas de coalición no fueron a posteriori confirmadas por la disección.
En caso de sospecha sin confirmación radiológica, podríamos valorar una RM, que facilita la detección de coaliciones cartilaginofibrosas con una alta sensibilidad sin exponer al paciente a tasas de radiación (sobre todo en pacientes en edad pediátrica). La RM se muestra de gran ayuda en casos de traumatismo asociado a una coalición. Permite evaluar otros lugares como potenciales fuentes del dolor: roturas ligamentosas, lesiones osteocondrales o patología tendinosa, entre otros. Independientemente de la localización de la coalición, en caso de fibrocartilaginosas se apreciará edema de las facetas(50). Sin embargo, en el caso de uniones óseas puede haber falsos negativos, precisando exámenes exhaustivos con suficiente resolución. En la práctica, permite ver signos indirectos de sufrimiento de las articulaciones periféricas por adaptación, sobre todo a nivel de la Chopart. Algunos autores hablan de superioridad diagnóstica de la RM, calificándola de técnica de elección(50,51,52). En un estudio con 19 pacientes con fisis abiertas, determinan que la RM con gadolinio identifica todas las coaliciones, frente a la TAC, que no detecta 4 casos.
La SPECT-TAC o unión en un mismo estudio de la gammagrafía y de la TAC puede ser de gran utilidad, pero puede, al igual que la RM, incurrir en falsos negativos. Por otro lado, en caso de coaliciones cartilaginosas (sincondrosis), muestra una hiperfijación del tecnecio 99m. Si bien hay poca literatura por el momento, es probable que tenga un papel que jugar, tanto pre- como posquirúrgicamente, debido a que correlaciona la topografía del dolor y la anomalía morfológica(53).
Otros tipos de coalición
Los otros tipos de coalición son raros, representando menos del 10%. Algunas se verán fácilmente en las radiografías. Otras se detectarán como consecuencia de un estudio más profundo tras nuestro diagnóstico de sospecha. Se han descrito coaliciones en la faceta subastragalina posterior, entre el cuboides-escafoides(54), entre el astrágalo-escafoides(55,56,57), el escafoides y los cuneiformes(58), el calcáneo-cuboides(59) y entre múltiples huesos que, en general, se ven fácilmente en las radiografías(22,60,61,62)(Figura 2).
La coalición subastragalina posterior no es visible en las radiografías y es difícil de ver incluso en TAC o RM. Esta coalición fue descrita originalmente por Harris(4), quien la detectó en el momento de la exploración quirúrgica. La coalición subastragalina posterior generalmente involucra el margen anteromedial de la articulación subastragalina posterior y la porción posterior, generalmente no articular, del sustentáculo del astrágalo (Figura 9).

Las coaliciones múltiples en el retropié pueden estar asociadas con hemimelia peronea u otros síndromes congénitos. Cuando hay coaliciones de múltiples huesos del tarso, la limitación importante del movimiento puede dar lugar a una configuración en ball and socket que será tratada más adelante en otro capítulo. Esta configuración se refiere a una tróclea del astrágalo, que es convexa superiormente de medial a lateral, a diferencia de la configuración cóncava normal. El ball and socket no es característico de las coaliciones más frecuentes: subastragalina o CN simple.
Conclusiones
- La coalición presenta una clínica variable, sin signos patognomónicos. Debemos sospechar una coalición en:
- Un niño de menos de 10 años con pie plano rígido o “duro”, incluso asintomático.
- Un adolescente que hace deporte con esguinces de repetición, posiblemente plano, sin inestabilidad clara y retropié rígido.
- Un adulto-joven(25-35) generalmente grueso, no muy deportista, con posible antecedente de dolor de pies, pies planos y que comienza con un dolor de retropié, posible esguince, sin inestabilidad clara y retropié rígido.
- Las coaliciones más frecuentes (> 90%) son la subastragalina (TC) y la calcaneoescafoidea (CN), siendo bilaterales en más del 50% de los casos.
- Una serie radiológica convencional permitirá una alta sensibilidad y especificidad. En caso de sospecha sin confirmación, la TAC con reconstrucción 3D, la RM (de elección en casos fibrocartilaginosos) y la SPECT-TAC podrían ser de utilidad en los casos difíciles.
- La unión fibrocartilaginosa se sospecha por la disfunción inducida entre los 2 huesos, mientras que la sinostosis a veces puede detectarse por anomalías periféricas.
- La identificación del tipo de coalición, su localización y el entendimiento biomecánico son fundamentales para establecer una correcta cronología del tratamiento.