Introducción
Definición
Una coalición tarsiana se define como una unión anómala entre dos o más huesos del tarso que, en un pie sano, deberían estar separados por un espacio o una articulación para llevar a cabo un movimiento entre ellos. Esta unión puede mostrar una mayor o menor relevancia clínica dependiendo de la función que le corresponde tener en condiciones normales: cuanto mayor sea el movimiento fisiológico entre los huesos implicados, mayor será el déficit producido por la coalición, así como el perjuicio para otros segmentos adyacentes.
¿Pie plano peroneo espástico?
El primer texto escrito sobre una coalición tarsiana fue una descripción anatómica de 1769. Pasó más de un siglo hasta el descubrimiento de los rayos X, en 1895, y apenas 3 años después ya habían permitido observar coaliciones en radiografías simples, aunque se tardó un par de décadas en reconocer el valor de la proyección oblicua del pie para visualizar la coalición calcaneoescafoidea (CE).
Coincidiendo también con el inicio de los rayos X se había definido el “pie plano peroneo espástico” por Robert Jones, en 1897, como una entidad primaria causante de pie plano. Se concibió la idea de que un pie plano grave, aun siendo inicialmente flexible, sufre un estrés anormal en las articulaciones tarsianas que producen estímulos dolorosos, por lo que se induce un espasmo protector en los músculos peroneos para reducir la movilidad. Esto lo transformaría en un pie plano rígido.
Pero esta teoría no explicaba todas las características del “pie plano peroneo espástico”. Se pudo mostrar en estudios de electromiografía que en muchos casos no existe tal espasmo, sino que los peroneos reaccionan igual que el resto de la musculatura sana.
La espasticidad podría confundirse realmente con un acortamiento anatómico secundario a una deformidad fija –en valgo– desde el nacimiento o presente, al menos, durante buena parte del desarrollo(1). En esos casos, los músculos peroneos no eran los causantes de la alteración ósea, sino al revés: las coaliciones CE, señaladas en primer lugar(2), y astragalocalcáneas (AC), posteriormente(1), fueron publicadas como responsables de la rigidez en estos pacientes.
Así que algunos han optado por denominarlo pie plano valgo rígido(3), pues esta rigidez no siempre indica espasticidad, ni esta oculta siempre una coalición. Y para rizar aún más el rizo, las coaliciones no siempre se manifiestan como pies planos, también se dan en pies cavos –pero valgos(4)–, así como en casos con retropié en varo(5,6,7) o incluso presentando la misma persona un pie en valgo y otro en varo a la vez, como mostraremos en el siguiente capítulo.
Ahora bien, el término “pie plano peroneo espástico” sigue utilizándose y su causa más frecuente es una coalición tarsiana, pero serán pocas de estas las que presenten dicho espasmo.
La mayoría de las coaliciones van a pasar desapercibidas, no tendrán síntomas o van a mostrarse de forma muy parecida a otras enfermedades de los pies, salvo que las tengamos muy en cuenta y aprendamos a reconocerlas.
Objetivo
El objetivo principal de esta monografía es profundizar en las más frecuentes: la coalición AC y la CE; reservamos un capítulo más adelante para tratar otras más atípicas, por ser menos frecuentes o por implicar a más de 2 huesos a la vez.
Patogénesis (“En el principio existía la barra…”)
¿Por qué se producen?
La razón por la que aparecen las coaliciones en algunas personas no se conoce con seguridad. Igual que en muchas enfermedades, pueden ser:
- Primarias o congénitas: son las más frecuentes y el objeto de esta monografía. El apelativo congénito no es aceptado por todos, pues se argumenta a favor de concebirlo como una malformación del desarrollo(8), aunque tenga influencia genética.
- Adquiridas o secundarias a traumatismos, infecciones, procesos reumáticos, tumores, cirugías, etc.(9).
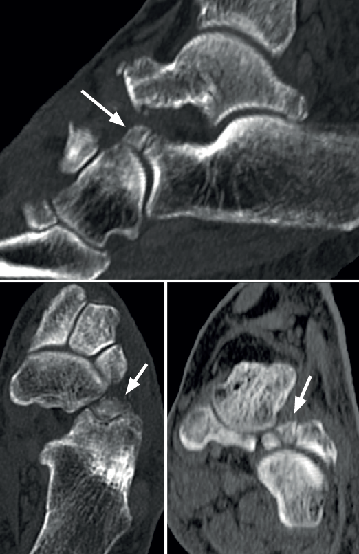
En la última década del siglo XIX nacieron dos teorías. Una de ellas, de Pfitzner en 1896, sugería que las coaliciones eran debidas a la presencia de osículos accesorios situados entre dos huesos del tarso y su posterior incorporación a ellos(10). Se dedujo por la frecuente aparición de esos osículos en las mismas zonas donde suelen presentarse las coaliciones. Muchos autores apoyaron esta teoría, pues encontraban un os sustentaculum proprium en el mismo sitio donde se producían con tanta frecuencia las coaliciones de la faceta media de la articulación subastragalina, así como un os calcaneus secundarium en las coaliciones entre calcáneo y escafoides (Figura 1) y también las de la carilla subastragalina posterior, donde se asienta habitualmente el os trigonum(11). Sin embargo, esa teoría fue refutada cuando en 1955 se demostraron coaliciones tempranas en fetos en los que no habría dado tiempo al desarrollo de los osículos y su incorporación a los huesos vecinos(12).

Tras esto, se dio valor a la teoría que había propuesto Leboucq en 1890: el origen de las coaliciones se debía a un fallo en la diferenciación y separación del mesénquima primitivo. Al final del periodo embrionario, en torno a la 9.ª y 10.ª semanas de gestación, el mesénquima del que se parte debe mostrar condensaciones celulares lineales que se diferencien del resto para formar las futuras articulaciones (fase de “interzona homogénea”). Posteriormente, esas células se irán diferenciando y se dispondrán de manera que formen 3 capas: una de ellas perteneciente a uno de los futuros huesos, otra capa que formará parte del otro y entre medias una capa más clara (fase de “interzona trilineal”), con menor número de células, que deberán sufrir una apoptosis para dejar paso a una cavidad creciente (fase de cavitación) que será la futura articulación (Figura 2). Esta es la teoría más aceptada actualmente(13).

En el embrión, ese mesénquima es un solo tejido –la “masa madre”– que ocupa todo el espacio en el que se formará posteriormente cada estructura anatómica. Después tendrá que dividirse para formar el astrágalo, el calcáneo, el escafoides y el cuboides. Los fallos más habituales se sitúan en la interzona que separará astrágalo y calcáneo, así como en la zona entre este y el futuro escafoides. En ocasiones, la literatura médica utiliza otros términos para referirse a la coalición: puente, cuando la coalición está dentro de una articulación (por ejemplo, AC); barra, cuando se encuentra por fuera de esa articulación o entre dos huesos que normalmente no articulan entre sí (AC extraarticular o la CE).
Dependiendo del momento del proceso en que ocurra el fallo y sobre todo de la información genética presente, diferenciamos 3 tipos de unión según el tejido implicado en la coalición:
- Ósea o sinostosis.
- Cartilaginosa o sincondrosis.
- Fibrosa o sindesmosis.
La genética también influirá en la extensión o superficie de la coalición y el número de huesos implicados, así como la asociación con síndromes malformativos como el síndrome de Apert, la hemimelia de peroné, síndromes de craneosinostosis(14), sinfalangismos, el síndrome de Nievergelt-Pearlman, etc.
En su estudio sobre pacientes y sus familiares, Leonard(12) concluye que es un trastorno con herencia autosómica dominante, lo que ha sido apoyado también por otros autores(15). También sugirió que la afección tenía una penetrancia casi completa, ya que demostró una alta tasa de coaliciones bilaterales en los padres (83%) y los hermanos (85%), similar a la encontrada en el grupo de los pacientes (80%).
De todas formas, la génesis de la enfermedad no acaba aquí, desde un punto de vista anatómico. Al nacer, las coaliciones son fibrosas o cartilaginosas, por lo que existe una mayor flexibilidad entre los huesos implicados –tanto de aquellos que forman la coalición como de los encargados de suplir el movimiento– y eso se traduce en una menor presencia de síntomas. Pero esto puede irse transformando hasta alcanzar la madurez esquelética y producir un cambio en la movilidad y la función del pie, como explicamos más adelante.
¿Es la coalición lo que duele?
Kumai et al.(16) publicaron un trabajo de análisis anatomopatológico de coaliciones operadas mediante resección.
Observaron que no hay nervios dentro del tejido fibrocartilaginoso ni tampoco células inflamatorias, pero sí que hay en el periostio y la cápsula que rodea a la barra. También observan que algunos casos tenían una proporción de cartílago de casi el 100%, con muy poco tejido fibroso, lo cual sugiere que quizás fuera inicialmente una coalición exclusivamente cartilaginosa, pero que va adquiriendo componentes fibrosos a medida que se expone a estrés mecánico repetido y ciclos de microfractura y remodelación.
Sus hallazgos son similares a lo encontrado en los lugares de inserción de tendones y ligamentos (expuestos repetidamente a fuerzas tensiles, como por ejemplo la enfermedad de Osgood-Schlatter), en rótulas bipartitas dolorosas y en el escafoides accesorio.
Concluyen, por tanto, que el dolor no nace de elementos nerviosos dentro de la propia coalición. Se asume que está causado por la alteración mecánica que resulta de una coalición incompleta, donde se producen microfracturas y remodelación en los límites entre el hueso y la coalición. Y esto acaba produciendo dolor a partir de los nervios circundantes en la cápsula y el periostio.
¿Por qué antes no dolía?
Como hemos visto previamente, la mayoría de las coaliciones son asintomáticas, lo que es casi constante en la infancia. La flexibilidad, la recuperación y la remodelación del tejido en la inmadurez esquelética es un gran mecanismo de compensación para evitar el daño o repararlo inmediatamente y sin secuelas. Además, las múltiples articulaciones vecinas se convierten en los llamados centros perianquilóticos del movimiento, concepto acuñado por Breitenfelder que afirma que las posibilidades de compensación son tanto más eficaces cuanto menor es el brazo de palanca y la longitud de los huesos que se articulan(17). Pero en un punto del desarrollo esquelético el tejido cartilaginoso se puede ir osificando y perdiendo flexibilidad, hasta transformarse incluso en una unión ósea. Esta osificación aparece en diferentes edades según la zona implicada:
- La astragaloescafoidea (AE) osifica entre los 3 y los 5 años.
- La CE lo hace entre los 8 y los 12 años.
- La AC termina entre los 12 y los 16 años.
Este proceso puede hacer que el niño o el adolescente empiecen a mostrar síntomas por la pérdida de esa flexibilidad que tenían previamente. Sin embargo, la mayoría seguirán siendo asintomáticas durante mucho tiempo o podrán permanecer así toda la vida, pues no solo ha madurado el tejido de coalición, sino que se han desarrollado y perfeccionado los mecanismos de compensación instaurados tanto en la anatomía como en la función de otros segmentos, articulaciones y tejidos blandos, tanto próximos como lejanos, como veremos a continuación.
Cuando el adulto debuta con síntomas puede deberse al acúmulo de microtraumatismos estresantes que han superado dichos mecanismos, tanto de forma progresiva a lo largo de muchos años como por excesos “nuevos” para el paciente en un corto periodo de tiempo. Muchos comienzan tras una actividad concreta o un evento reconocido como desencadenante. Lemley señala que las coaliciones tarsianas pueden “despertarse” tras un traumatismo y convertirse en sintomáticas(18). Algo que ocurre también en otras enfermedades de los pies, por ejemplo, el hallux limitus funcional o el hallux rigidus.
¿Y por qué ahora sí?
Aunque las coaliciones pueden producir trastornos por su sola presencia, por ejemplo, un síndrome del túnel tarsiano(19) por simple ocupación de espacio, la enfermedad que provocan se debe más a causas mecánicas que explicamos en el siguiente apartado.
Patomecánica
Salvo en casos adquiridos o secundarios a otros procesos –origen reumático, infeccioso, etc.–, el síntoma que trae al paciente a la consulta tiene su origen en alteraciones físicas que ocurren cuando estamos de pie o caminando. No en reposo. La importancia radica en la fisiología del movimiento natural de la articulación subastragalina, que es de suma importancia para la marcha humana. La mayoría de las veces el paciente tendrá una manifestación clínica muy similar a la de un pie plano valgo rígido y doloroso, aunque existen formas de presentación en cavo-valgo e incluso cavo-varo.
¿Víctima o verdugo?
La respuesta es: depende. Por lo general, si una coalición tiene una extensión amplia y es ósea, es raro que sufra la propia coalición porque no permite movilidad. Sin embargo, imprime más estrés a estructuras vecinas, convirtiéndose en su verdugo (Figura 3): fracturas de estrés(20,21), lesiones osteocondrales en el tobillo por ausencia de amortiguación(22), estrés tensil por hiperpronación (tendón tibial posterior, ligamento deltoideo, ligamento en hamaca, fascia plantar, ligamentos plantares de la articulación mediotarsiana y de Lisfranc, hallux valgus, hallux limitus, metatarsalgias de transferencia, etc.), lesiones compresivas dorsales en la mediotarsiana, mediopié y Lisfranc, etc.

Por otro lado, si la coalición ósea tiene poca extensión o cuando es fibrocartilaginosa, puede permitir una pequeña movilidad(16) y estar sometida a fuerzas importantes de fricción o torsión, ya que debe absorber o redirigir las exigencias externas de pronosupinación en cada paso, carrera o salto.
También hay que tener en cuenta que las coaliciones tarsianas que están en varo tendrán las lesiones típicas de esa supinación: sobrecarga del trabajo anticolapso en la calcaneocuboidea, distensión de ligamentos calcaneocuboideos plantares, compresión dorsal interósea en esta o en la tarsometatarsiana, metatarsalgias de los radios laterales, fracturas de estrés, etc.
Todo esto se ve incrementado si el terreno o el calzado son desfavorables. Una superficie irregular o unos zapatos de suela blanda reducen la capacidad del pie e incluso de las ortesis de controlar el movimiento anormal. Por el contrario, un calzado de suela dura e incluso de caña alta reducirán el estrés al que se ven sometidos la coalición o las estructuras vecinas.
Expondremos brevemente la mecánica normal y alterada durante las diferentes fases del ciclo de la marcha que, como se ha expuesto en monografías previas, se denominan rockers por el movimiento de avance que permite la curvatura de un balancín o rodillo.
Primer rocker, del talón
Sin coalición
Durante el primer rocker el pie contacta con el suelo a través del borde lateral del talón como consecuencia de la discreta supinación que adopta el retropié justo antes de ese contacto. Esta situación genera que a las cargas verticales de la tibia se opongan las fuerzas de reacción del suelo desde una situación lateral al eje de la articulación subastragalina y, por tanto, se produzca un movimiento de rotación en valgo o pronación. Esta inclinación, gracias a la oblicuidad de la carilla subastragalina anterior (Figura 4A) y la casi esférica carilla posterior, hace que el astrágalo realice un deslizamiento hacia delante, en rotación interna y en flexión plantar; por su parte, el calcáneo habrá realizado también un pequeño gesto de pronación.

Todo junto permite generar un movimiento de rotación interna de la pierna y, por otro lado, amortiguar parte de las cargas y redirigirlas de forma mayoritaria hacia la columna interna, que presenta mayor cantidad de estructuras anatómicas preparadas para la absorción de energía mientras se mantiene horizontal la interlínea del tobillo.
Con coalición
Si existe una coalición que impida el movimiento correcto de la subastragalina en esta fase, habrá una limitación a la excursión total del movimiento de pronación, por lo que habrá una menor amortiguación y una mayor concentración de cargas a estructuras adyacentes(22)(Figura 3).
Si en este momento el paciente apoya sobre una superficie irregular que le produzca una solicitación en supinación de forma brusca, la subastragalina tendrá bloqueado su movimiento y no podrá responder supinando, así que lo asumirá el tobillo y provocará sensaciones de inestabilidad y, en mayor medida, episodios frecuentes de esguince de tobillo(23).
Si la coalición está estructurada en valgo, no hay tanta pérdida de amortiguación porque la situación tan lateral del calcáneo conlleva una gran capacidad pronadora. Sin embargo, las estructuras encargadas de desacelerar el movimiento de pronación estarían sometidas a un incremento de la tensión que soportan: ligamento deltoideo, tendón tibial posterior, ligamento en hamaca, etc.
Por el contrario, si la posición del retropié no presenta el valgo suficiente y el calcáneo se sitúa bajo la vertical de la tibia, el déficit de amortiguación devolverá un sufrimiento de compresión en el tobillo transmitido a segmentos superiores.
Segundo rocker, del tobillo
Sin coalición
En condiciones normales, una vez que el antepié toca el suelo, la columna calcánea se frena, pero el astrágalo continúa con esa excursión de pronación que se lleva consigo al resto de la columna astragalina, empezando por el escafoides, de forma que sitúa a la articulación mediotarsiana (Chopart) en una posición más horizontal, más pronada. Esta posición hace que la columna calcánea ya no esté debajo de la astragalina y permita una amortiguación añadida por la condición redondeada de sus primeras articulaciones: la mediotarsiana y la escafocuneana. Por su parte, las cargas que asume la columna calcánea son mejor contrarrestadas por la anatomía en “tejadillo” del dorso de la calcaneocuboidea y por los potentes ligamentos plantares calcaneocuboideos(4)(Figura 4C).
Esta posición pronada de la mediotarsiana, además de la función amortiguadora, tiene la ventaja de aportar unos grados más de dorsiflexión –es decir, de avance– cuando el tobillo ya no otorga más por el freno del tríceps sural(24).
En esta fase, las estructuras plantares y mediales de la columna astragalina acogen de una forma elástica las cargas transmitidas desde el astrágalo. Pero deben tener la suficiente salud y elasticidad para devolver la energía durante la segunda mitad del segundo rocker, de forma que ayuden a iniciar una nueva supinación del pie con ayuda de la rotación externa de la tibia, producida por el giro de la pelvis durante el avance de la pierna contraria y por el empuje que imprime al maléolo interno la contracción del tibial posterior. Con esto se permite alinear las estructuras de la columna astragalina y prepararlas para un tercer rocker eficaz. Por su parte, el calcáneo acompaña ese movimiento eliminando su posición en valgo y volviendo a una situación más neutra.
Con coalición
En presencia de coalición, durante los inicios del segundo rocker, esa pronación del retropié no se producirá en la subastragalina, sino que astrágalo y calcáneo lo harán en bloque provocando, como hemos dicho, el exceso de trabajo de las estructuras mediales. Si esta restricción es de gran magnitud y se produce a edades muy tempranas, el desarrollo infantil puede incluso compensarlo con la modificación de la propia anatomía del tobillo y aprovecharse de ello en cualquier fase de la marcha. Pero esto no es la norma habitual, así que lo abordaremos en el último capítulo.
Al igual que en el primer rocker, el inicio del segundo es un momento crítico para la adaptación al terreno, por lo que una eventual supinación inesperada se encontrará con una adaptación inadecuada y provocará una inestabilidad brusca que producirá lesiones ligamentosas, esguinces frecuentes o lesiones osteocondrales en el tobillo(25).
Puesto que en la mayoría de las coaliciones el retropié está estructurado en valgo, el eje de la subastragalina se presentará muy medializado, por lo que las fuerzas de reacción del suelo durante el segundo rocker seguirán laterales, manteniendo solicitaciones en pronación que ya no puede asumir la subastragalina y se trasladarán a la articulación mediotarsiana. La única forma de que esta prone un poco más se produce mediante la equinización del bloque AC, lo que provoca estrés de tensión en estructuras plantares como la fascia plantar (además de las ya mencionadas) y estrés de compresión dorsal de las estructuras óseas(20), de lo que se deriva la localización diversa de la sintomatología del paciente. En las coaliciones CE las solicitaciones en pronación y flexión dorsal imprimen un dolor más directo sobre la barra de unión CE.
En casos de coaliciones estructuradas en escaso valgo, neutro o incluso varo, predominarán las fuerzas de compresión interósea, salvo que el varo sea tan llamativo que produzca un estrés tisular de las partes blandas laterales (ligamento lateral externo, ligamentos calcaneocuboideos plantares, tendones peroneos, etc.).
Durante la segunda mitad de este segundo rocker, las coaliciones no permiten que la energía absorbida se devuelva para eliminar pronación e ir formando una supinación necesaria para el tercer rocker. La restricción de movimiento de la subastragalina limita mucho que esta situación pueda producirse. De esta manera, en esta última parte del segundo rocker, el cuerpo ha avanzado por delante del pie y las fuerzas de reacción del suelo se concentran sobre todo en las cabezas metatarsianas, lo que, al no estar bien alineadas las estructuras de la columna astragalina, favorece el movimiento indeseado de flexión dorsal de articulaciones como la escafocuneana y la cuneometatarsiana, con el consiguiente incremento de estrés a la tensión de estructuras plantares. Será aún más acusado si existe un tríceps sural acortado que mantiene su intento de equinización del retropié(26).
Tercer rocker, del antepié
Sin coalición
Para que, en condiciones normales, se inicie un tercer rocker correcto, debe haberse eliminado suficiente pronación para que facilite la disposición ideal en que la columna astragalina se sitúa sobre la calcánea. Esto viene facilitado por varios motivos: el tendón de Aquiles se hace más supinador porque el calcáneo ha adquirido una posición más varizada; la pelvis ha girado transmitiendo una rotación externa de todo el miembro; el tibial posterior trabaja más cómodo, pues ya no tiene que contrarrestar tanta pronación; y el peroneo largo afianza el primer metatarsiano en flexión plantar para contribuir de forma retrógrada a que se forme un buen arco interno –siempre y cuando exista un buen mecanismo de windlass en la primera metatarsofalángica– para que facilite al astrágalo rotar sobre el calcáneo y todo el pie se mantenga supinado mientras el antepié sigue en contacto con el suelo.
Esta disposición de una columna sobre otra multiplica la resistencia necesaria para que el peso corporal no produzca un colapso del pie mientras el tríceps sural lo eleva desde atrás con fulcro en el antepié (palanca de segundo grado) (Figura 4D)(4). Si queremos hacer palanca para levantar un peso, la estructura que usamos como palanca debe ser suficientemente rígida. Por ejemplo, doblar dos lápices adyacentes es casi tan fácil como doblar uno solo, pero no lo es cuando están superpuestos.
Con coalición
Una coalición ya producía desde el segundo rocker una menor capacidad de resupinación, por lo que se altera la preparación para una buena propulsión. La única opción que queda es supinar a expensas de otras estructuras (como ocurría con la pronación en el primer rocker), pero esto no lo van a poder hacer tan fácilmente por dos motivos: por un lado, va a ser difícil para otras estructuras conseguir tanta supinación, porque el pie con coalición ya se dispone habitualmente en un valgo considerable; por otro lado, quien obligaba a pronar en el primer y el segundo rocker era el suelo y conseguía que lo hiciera alguna articulación compensadora –el suelo siempre gana o al menos empata–, pero en esta fase el pie estará en el aire y el tríceps no tendrá la misma potencia que la que imprime el suelo.
No se superpondrán las dos columnas, por lo que cada una de ellas trabajará aislada frente al colapso. La distancia entre las estructuras plantares y dorsales del tarso será menor (no se suman los grosores de cada columna), por lo que su resistencia a la distracción (en la zona plantar) y a la compresión (en la dorsal) será menor para hacer frente al colapso.
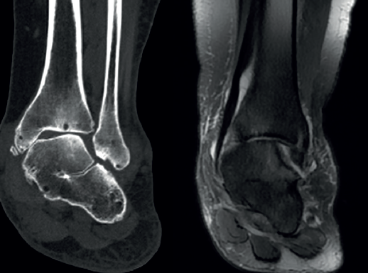
Tal es el estrés anticolapso que puede sufrir la columna calcánea, que se pueden producir fracturas de estrés(21,27). Por su parte, aunque no es exclusivo de las coaliciones sino de pronaciones de larga evolución, la columna astragalina puede crear una adaptación ósea que se asemeje al “tejadillo” que tiene la calcaneocuboidea(4) para hacer frente a las exigencias en flexión dorsal de forma más eficaz. Es el llamado talar beak (pico del astrágalo) (Figuras 4E y 4F) y no se produce por distracción capsular(28) ni debe confundirse con un osteofito.
Las estructuras se mantendrán pronadas y se perpetúa el estrés tensil de las partes blandas mediales y plantares, incluidas las más distales por el avance corporal.
Se dificulta la plantarización del primer metatarsiano por el peroneo largo, pues adquiere una dirección más horizontal, convirtiéndose en pronador. Y un primer metatarsiano tumbado (sin verticalizar) empeora el mecanismo de windlass produciendo un menor deslizamiento de la metatarsofalángica y una mayor compresión dorsal de esta, conllevando una peor dinámica de avance para el sistema aquíleo-calcáneo-plantar.
Incidencia
Antes de que existieran la tomografía computarizada (TC) y la resonancia magnética (RM), la incidencia de coaliciones tarsianas se estimaba en una cifra no mayor del 1-2%, a pesar de existir estudios que ofrecían un porcentaje mayor, como el estudio en cadáveres (520 pies) de Pfitzner en 1896, que ascendía a un 6%(9). Por un lado, muchos trabajos se realizaban sobre pacientes que acudían con problemas de dolor, pie plano, etc., por lo que es de esperar que fuera una incidencia demasiado alta; por otro, muchos son análisis realizados con radiografía simple, además de ser probable que solo consulten aquellos casos más sintomáticos y queden muchos sin detectar.
Con la llegada de pruebas avanzadas de imagen aumentó la estimación respecto a la población general. A partir de estudios con TC y disección en cadáveres se han publicado incidencias del 12-13%(29,30), cifras que son similares al 11% encontrado en un trabajo de coaliciones halladas en RM(31).
Como hemos dicho previamente, muchas coaliciones son asintomáticas. Leonard(11) reunió a 31 pacientes con coaliciones tarsianas confirmadas y estudió a sus 98 familiares de primer grado. Resultó que el 33% de los padres y el 46% de los hermanos tenían evidencia radiográfica de coalición tarsiana, sin que mostraran síntoma alguno. Por tanto, el número de coaliciones asintomáticas suponía el 55% de todas las encontradas.
El mismo trabajo encontró una alta tasa de bilateralidad, pues era elevada en los padres (83%) y los hermanos (85%), similar a la encontrada en el grupo de los pacientes (80%). Y aunque algún trabajo muestra unas cifras similares(32) se estima que la incidencia de bilateralidad está entre el 50 y el 60%(33).
Entre las distintas formas de presentación, la AC y la CE son las coaliciones tarsianas más prevalentes, llegando juntas al 90% de todas ellas. Lo que no está claramente definido es cuál de las dos presenta una frecuencia mayor. Algunos autores publican que la CE es más frecuente(2,12,29,31,34) y otros hacen lo mismo con la AC(1,35,36,37). Stormont y Peterson reunieron la literatura existente en ese momento sobre coaliciones tarsianas y encontraron una proporción del 48,1 y el 43,6% para la AC y la CE, respectivamente; no obstante, publican a la vez un análisis de 60 casos diagnosticados en la Clínica Mayo y encuentran una incidencia del 36,6% para la AC y de un 53,3% para la CE.
Sin un dato claro y con limitaciones sobre sesgos de selección reconocidos en muchos de esos trabajos, la bibliografía se ha decantado más por la predominancia de la CE, aunque quizás se deba a una mayor dificultad para reconocer una AC en las radiografías simples y en la RM(31).
Recientemente, se ha publicado un trabajo sobre incidencia en nuestro medio(38), con un total de 57 pacientes diagnosticados a lo largo de casi 13 años. Se reunieron 85 coaliciones en total, de las cuales un 61% fueron AC y un 37% eran CE. De todas las AC, la mayoría eran óseas (67%), pero en las CE casi todas eran fibrocartilaginosas (97%). Estas coaliciones no óseas formaban el subtipo más frecuente (57,6%) del total de las coaliciones encontradas.
Y respecto al sexo, suele haber una afectación mayor –aproximadamente dos tercios– en varones que en mujeres(38,39,40).
Todas estas cifras respecto a la incidencia general, la bilateralidad, el predominio de una localización sobre otra, el tejido de unión y la distribución por sexo irán creciendo y ajustándose a la realidad gracias a un progresivo conocimiento de la enfermedad y un mayor reconocimiento de esta por el avance tecnológico de las pruebas diagnósticas y la posibilidad –personalmente recomendada– de realizarlas de forma bilateral, como en el caso de las radiografías y la TC(32).
Clasificaciones
Existen muchas maneras de clasificar las coaliciones tarsianas. Las más simples ya las hemos nombrado:
- Congénitas o primarias, y adquiridas o secundarias.
- Según la localización y los huesos implicados: AC, CE, calcaneocuboidea, escafocuneana, escafocuboidea, cuneocuboidea, intercuneanas, cuneometatarsiana, coaliciones múltiples y coaliciones masivas.
- Por el tejido responsable: sinostosis (ósea), sincondrosis (cartilaginosa) y sindesmosis (fibrosa).
Rozansky(41) y Lim(42) propusieron, solo para la coalición AC, una clasificación basada en imágenes 3D de TC. Ambos se basaron en la morfología de inclinación de la interlínea y la naturaleza del tejido (fibrocartilaginoso u óseo), pero Lim añadió la presencia de fractura con edema óseo asociando criterios de RM. Yun(43) también hizo uso de la TC y la RM para describir diferentes tipos de coalición AC según su localización y la presencia o no del os sustentaculi, que se sitúa entre el borde más posterior del sustentaculum tali y la prominencia más posteromedial del astrágalo. Por último, Wang(44) ha propuesto una excelente clasificación para describir la morfología de la coalición, según el hueso protagonista (sobrecrecimiento del astrágalo o del calcáneo, de ambos o con osículo intermedio), en función también de su condición fibrocartilaginosa u ósea, así como de la afectación sea de la subastragalina media, la posterior o de ambas.
Antes de todos ellos, Downey(45) propuso una clasificación que tiene en cuenta varios factores importantes, como la madurez ósea, la relación intra- o extraarticular de los huesos implicados y los cambios artrósicos secundarios en las articulaciones circundantes (Tabla 1).

De todas las clasificaciones mencionadas, solo Downey ofrece distintas alternativas de tratamiento quirúrgico según el tipo y el subtipo del que se trate. Los sujetos que no han llegado a la madurez ósea son más candidatos a una resección de la coalición. En pacientes adultos o con cambios degenerativos asociados, la tendencia es hacia la artrodesis. En el resto de las clasificaciones, o bien no se establecen opciones de tratamiento, o bien se ofrece la resección como única alternativa.
Myerson ha presentado recientemente una propuesta de clasificación(46) que tiene en cuenta 5 variables que influyen en la decisión del tratamiento: alineación normal o con excesivo valgo según la exploración física y pruebas de imagen; flexibilidad o rigidez del retropié con la prueba bilateral de elevación de puntillas (double heel rise test); tejido protagonista de la coalición: óseo o fibrocartilaginoso; edad del paciente; y, por último, la presencia en pruebas de imagen de cambios degenerativos clínicamente relevantes en la articulación subastragalina posterior, calcaneocuboidea y AE.
Lo novedoso de esta clasificación es la insistencia en tener en cuenta la alineación del retropié, además del resto de los factores que pueden influir en la capacidad del pie de funcionar mejor que antes de la intervención. Debido a que los resultados con resección aislada no son muy prometedores, se ha hecho necesario atender a los factores mecánicos que puedan influir en los resultados. De ese modo, considera que:
- Un pie flexible y con normoeje (valgo fisiológico) puede permitir un buen resultado de la resección aislada de la coalición, más probable en pacientes menores de 14 años.
- Cuanto más blanda (fibrocartilaginosa) sea la coalición, más probable es que permitiera un cierto movimiento, lo cual podría hacer innecesaria la resección y que sea suficiente con cambios mecánicos mediante corrección del valgo.
- Si el valgo es excesivo o rígido, hay que añadir una osteotomía varizante de calcáneo o una artrodesis con corrección del talón.
- En presencia de artrosis en articulaciones vecinas, más indicada estaría la artrodesis, salvo en niños cuyos cambios degenerativos sean leves y permitan un mejor pronóstico de dichas articulaciones con intervenciones de realineamiento.
Resumen
Al igual que con otras materias, un mejor conocimiento de esta enfermedad nos va a permitir descubrir que acuden a nuestras consultas muchos más pacientes con coaliciones tarsianas de lo que imaginamos. Saber reconocer una coalición en una prueba de imagen nos ayudará a comprender las razones mecánicas del dolor del paciente. Y al revés, encontrar una mecánica limitada en un pie doloroso nos hará sospechar y mirar con detenimiento las pruebas complementarias de las que hablaremos a continuación.
Sumando la historia personal y familiar del paciente, incluidos aspectos de la infancia, a las características morfológicas y mecánicas de un pie doloroso, podremos apurar el diagnóstico de una posible coalición tarsiana y así orientar mejor las posibilidades de tratamiento.