Introducción
El pie y el tobillo constituyen una compleja estructura compuesta por 28 huesos y más de 100 ligamentos. Poseen ciertas particularidades anatómicas, biomecánicas y bioquímicas que les permiten soportar la mayor carga por centímetro cuadrado de superficie de todas las articulaciones del esqueleto. Debido a la interrelación entre los elementos óseos, ligamentos y tendones en un estrecho espacio anatómico, su exploración se torna difícil incluso en manos experimentadas (Figura 1). Por consiguiente, su estructura ha de ser estudiada en 3 dimensiones (3D) para analizar la cinemática normal y patológica, pues una disminución entre las superficies de contacto aumenta exponencialmente las presiones en las áreas sobreexpuestas a la carga cíclica. Debido también a la complejidad intrínseca de las superficies de algunas de estas articulaciones como la subastragalina, compuesta de segmentos de cilindro y cuya orientación espacial dificulta su estudio, se precisan métodos de procesamiento de las imágenes en 3D que permitan una mejor comprensión de la anatomía y la biomecánica articulares. Recientemente, se ha dado una importante eclosión científica en relación con el método de la tomografía computarizada (TC) en bipedestación(1,2,3,4,5,6,7,8,9,10,11). No obstante, esta metodología no está al alcance de la mayoría de las unidades específicas de tobillo y pie. Además, persisten limitaciones, pues no permite un análisis cinemático cuantitativo de las articulaciones. Mucho antes de la irrupción en el mercado de la tecnología de la TC en bipedestación, surgieron proyectos de investigación como el que se va a describir en este capítulo. Ello nos ha permitido una mayor comprensión de la implicación de la articulación subastragalina o tibioperonea distal en síndromes tan prevalentes como la inestabilidad crónica de tobillo, entre otros(12,13).
Figura 1. Región lateral del tobillo y pie. Nótese la estrecha relación entre los ligamentos de las articulaciones tibiotalar y subastragalina (disección anatómica realizada por los autores).

¿Qué es la tomografía computarizada dinámica con carga simulada?
Es una TC con una mesa de examen convencional complementada por un dispositivo original de metacrilato que permite una carga axial en un paciente colocado en decúbito supino. De forma opcional, permite mantener posiciones de estrés mecánico en cualquier posición de los grados de movimiento de las articulaciones del tobillo y el pie.
El procesamiento de las imágenes de TC obtenidas en los diferentes puntos del arco de movimiento del tobillo-pie permite realizar un análisis cinemático cuantitativo que posibilita medir rotaciones y traslaciones. Ello aporta la posibilidad de estudiar el comportamiento biomecánico de las articulaciones alrededor del tobillo tras la aplicación de la carga en diferentes posiciones de forma bilateral para su comparación en el mismo sujeto. Adicionalmente, es posible añadir la dimensión “tiempo” a las imágenes volumétricas 3D, obteniendo un análisis 4D del complejo anatómico y biomecánico del tobillo y el pie.
Figura 2. Diseño del prototipo para el dispositivo de carga axial simulada.

El prototipo de este modelo de carga simulada fue diseñado por autores de este capítulo y fabricado entre enero de 2010 y septiembre de 2011 en colaboración con el Departamento de Ingeniería Mecánica y Fabricación de Materiales de la Universidad de Sevilla. Fue registrado en la Oficina Española de Patentes y Marcas el 21 septiembre del 2011 (P201131522) (Figura 2). Este modelo está constituido por:
- Una superficie de metacrilato regulable a la estatura del paciente colocado en posición de decúbito supino. Cuenta con 2 topes, uno proximal sobre los hombros y otro distal móvil sobre los pies.
- Un sistema de aplicación de presión axial dinamométrica mediante un tornillo sin fin a nivel distal (Figura 3).
- Una plataforma para el apoyo de ambos pies con sujeción mediante correas ajustables y la posibilidad de regular posiciones extremas de forma independiente en flexoextensión de tobillo, rotación interna-externa, así como inversión-eversión del retropié, permitiendo todos los grados de movimiento. En cada posición se puede realizar una serie de cortes de TC con el mismo field of view (FOV) y grosor de corte fino (inferior a 1 mm) que permiten realizar reconstrucciones multiplanares (MPR) y tridimensionales (3D) de calidad óptima para un adecuado análisis de las mediciones.
Figura 3. A: posición mantenida de inversión subtalar máxima y aplicación de la carga; B: apreciación de la carga sobre el metacrilato; C: imagen de la posición supina durante la prueba donde pueden apreciarse los topes sobre los hombros.

El uso de la TC implica el uso de radiaciones ionizantes, efecto que es posible minimizar mediante:
- La inclusión de ambos tobillos del paciente en la misma adquisición de imágenes, en vez de adquirir de forma separada ambos tobillos, lo que implicaría una duplicación de la dosis de radiación empleada.
- Programas de adquisición de imágenes con baja dosis de radiación, muy empleados en los estudios TC de la población pediátrica. Estos programas incluidos en las TC de última generación permiten obtener imágenes de alta calidad con una reducción de la dosis de más del 60%.
- TC con energía dual, consistente en la adquisición de imágenes con distintos espectros de rayos X.
Este dispositivo es compatible con la resonancia magnética (RM), puesto que todas sus piezas son de metacrilato.
Indicaciones
La literatura sobre sistemas de obtención de imágenes de 3D en carga no comienza hasta principios de esta última década. Sin embargo, en los últimos años ha existido gran número de publicaciones relacionadas con las posibilidades diagnósticas de este método(1,2,3,4,5,6,7,8,9,10,11). Los temas actualmente en boga se relacionan con el pie plano, la articulación subastragalina, la articulación tibioperonea distal, la hipermovilidad del primer radio en relación con el hallux rigidus y el hallux valgus, así como su componente rotacional.
Figura 4. Secuencia volumétrica de posiciones del retropié en inversión y carga simulada en paciente diagnosticado de inestabilidad de tobillo. Nótese la descobertura subtalar (flecha azul) y la separación entre la tibia y el peroné (flecha roja).

En relación con el pie plano, se ha documentado que mediante esta metodología se puede categorizar la severidad del colapso progresivo del pie, así como describir algunas variantes respecto a la población normal, como la posición del quinto radio en flexión plantar respecto al primer radio(7,10). Por otro lado, se ha visto que los pacientes con hallux rigidus presentan un metatarsus primus elevatus incrementado correlacionado con la severidad de la patología(5). Así pues, la hipermovilidad de la articulación tarsometatarsiana se ve alterada en estos casos, así como también ocurre en pacientes con hallux valgus(4). Respecto a la articulación del tobillo, en los pacientes con signos degenerativos en varo se ha observado que presentan una rotación interna del astrágalo asociada a un peroné trasladado posteriormente y rotado externamente en comparación con sujetos sanos(3). En nuestra opinión, esto último tiene implicación capital en la planificación quirúrgica para la implantación de una prótesis de tobillo con el objetivo de evitar el pinzamiento posterolateral del componente talar con la fíbula.
Figura 5. Representación gráfica del procesamiento de las imágenes en carga y posiciones extremas (calcáneo en gris representa la posición en inversión; nube de puntos rojos representa la eversión). Nótese la representación del eje helicoidal a través del cual el calcáneo rota y se traslada (flecha roja).

En nuestra experiencia, tras el análisis de una serie de 72 pies y tobillos estudiados mediante la TC dinámica en carga simulada tanto en voluntarios sanos como en pacientes afectos de inestabilidad crónica de tobillo, se observó que existen diferencias significativas en el rango de movilidad rotacional a través de un eje helicoidal trazado en la articulación subastragalina a partir de las posiciones extremas en inversión y eversión subtalar (Figura 4). Manteniendo el astrágalo fijo en la mortaja tibioperonea con una dorsiflexión mantenida de 10°, el calcáneo viró en mayor grado a través de un eje helicoidal en los tobillos sintomáticos cuando se compararon con el tobillo contralateral asintomático (Figura 5). Asimismo, se observó una correlación entre variables de descobertura articular en la articulación subastragalina y calcaneocuboidea en las posiciones de máxima inversión del retropié y rotación interna (Figura 6).
Figura 6. Representación volumétrica de una inversión forzada y carga simulada (A) con la representación de las áreas descubiertas del calcáneo a nivel subtalar posterior y calcaneocuboideo.

Por otro lado, conocemos que existen otras secuelas, como complicaciones de los esguinces de tobillo. En ocasiones, pasa desapercibido el llamado “esguince alto”, cuyos síntomas alrededor de la sindesmosis pueden producir consecuencias degenerativas, al variar el pico de presiones sobre las superficies articulares implicadas en el tobillo. Mediante una carga axial y rotación externa mantenida con el uso de este dispositivo de carga simulada y, tras unos cortes axiales de TC comparados de ambos tobillos, es posible medir las variables de rotación del peroné, así como una traslación posterior en el plano sagital, evidenciando una inestabilidad de la articulación tibioperonea distal. No en pocas ocasiones esta lesión viene asociada a la rotura del ligamento peroneoastragalino anterior (PAA), por lo que su reparación aislada podría estar abocada al fracaso (Figura 7).
Figura 7. A: radiografías en carga de un paciente con inestabilidad crónica del tobillo derecho; B: tomografía computarizada (TC) en descarga bilateral del mismo paciente; C: imagen de la posición durante la TC dinámica en carga simulada, eversión y rotación externa forzada; D: nótese la inestabilidad de la articulación tibioperonea distal durante la carga (flecha azul); E: relación entre peroné y astrágalo en este paciente con inestabilidad de tobillo y afectación de la articulación tibioperonea. Nótese la posición posterior del peroné y la rotación externa (flecha roja).

La tecnología avanza muy rápidamente, ofreciendo a los traumatólogos la oportunidad de exponer a los técnicos e ingenieros nuestras inquietudes para mejorar en el diagnóstico de patologías hasta ahora poco aclaradas. Por consiguiente, es nuestro deber tener un diagnóstico exhaustivo antes de llevar un paciente a quirófano. Recientes estudios en la muñeca han implementado una secuencia de TC para analizar la severidad de la inestabilidad escafolunar, denominada TC dinámica 4D(14,15). Esta secuencia, además de las imágenes en 3D, aporta información sobre el rango completo de movimiento de la articulación en estudio. Gracias a programas de TC de baja radiación y mediante un dispositivo externo que mantenga la posición en diferentes posiciones del arco de movimiento, podría obtenerse un análisis cuantitativo tras el procesamiento de las imágenes. Esta metodología es ideal para un análisis cinemático de articulaciones complejas como la subastragalina, la de Chopart o la tibioperonea distal.
Curva de aprendizaje y limitaciones
Durante la aplicación de esta metodología experimental (aprobada por el Comité de Ética de nuestro hospital CEIC 2012PI/060), hemos anotado algunas limitaciones para la práctica clínica habitual:
- El dispositivo de metacrilato tiene un volumen y un peso considerables, diseñados para soportar a todo tipo de pacientes. Por lo tanto, se precisa de un técnico especialista en radiodiagnóstico (TER) entrenado para su manejo y para la aplicación de la carga dinamométrica en función del peso del paciente. La carga se hace mediante el tornillo sin fin dinamométrico, aplicando al menos un 70% del peso corporal, pudiendo incrementarse hasta la máxima carga tolerable por el paciente durante los minutos que dura la prueba. En ocasiones, aparecieron molestias en los hombros debido a la contrapresión de los soportes, solventándose con el almohadillado de los mismos.
- La dosis de radiación al paciente depende del modelo de TC. En todos los casos se intentó llegar a un equilibrio entre alta calidad de imágenes y menor radiación posible siguiendo el criterio ALARA (as low as reasonably achievable). El uso de programas de baja dosis y la incorporación de nuevas TC en el servicio de radiología del hospital están ayudando a minimizar la dosis empleada en estos estudios de TC de tobillo y pie. En nuestro medio, utilizamos el escáner multidetector LightSpeed®, de General Electrics, de 16 coronas. La tecnología de TC de última generación consigue imágenes cada vez mejores a menor dosis de radiación, por lo que parece que esta no será una limitación a medio plazo.
- Para el análisis cinemático y la cuantificación de la rotación y la traslación a través de un eje helicoidal subastragalino, se precisó de un procedimiento consistente en la segmentación de los elementos óseos mediante el programa 3D Slicer®(16), la generación de modelos 3D mediante las aplicaciones Marching Cubes®(17) y el posprocesamiento de los modelos 3D generados utilizando MeshLab®(18). Seguidamente, se representaron en nubes de puntos sobre un sistema de coordenadas mediante el algoritmo Iterative Closest Point (ICP)(19) y se registró el astrágalo en las posiciones de inversión y eversión. Finalmente, mediante la herramienta KineMat® Toolbox se analizó cuantitativamente el movimiento espacial del calcáneo entre 2 o más posiciones, quedando representado dicho eje helicoidal sobre el que se produce la rotación y traslación durante los movimientos de inversión y eversión del retropié(20,21)(Figura 8). Como puede comprobarse, este proceso, realizado por uno de los investigadores de forma ciega, es complejo y costoso en tiempo. Para su validación y la implementación en la práctica clínica habitual, se está trabajando en la creación de una aplicación automática para el procesamiento y análisis cuantitativo cinemático estandarizado.
Figura 8. Representación del eje helicoidal de la articulación subastragalina tras el procesamiento de las imágenes obtenidas mediante la tomografía computarizada (TC) dinámica en carga simulada (A: frontal; B: lateral; C: posterior). La nube de puntos verdes representa la posición del calcáneo en eversión máxima y la nube de puntos negros la posición del calcáneo en inversión máxima. La rotación a través del eje se expresa objetivamente en grados de rotación y milímetros de traslación.

Costes y ventajas frente a la tomografía computarizada en bipedestación
Cualquiera de los sistemas tecnológicos de TC en bipedestación ronda los 300.000 dólares(11). Ello dista de ser asumible por la mayoría de los servicios de traumatología y ortopedia en la actualidad, habida cuenta de que solo se utiliza para el estudio de la articulación del tobillo y el pie. Los estudios de TC en carga axial simulada pueden ser válidos, sin un sobrecoste añadido. Además, estos dispositivos pueden emplearse para el estudio de otras regiones anatómicas. Dado que está fabricado completamente en metacrilato, ha sido utilizado en nuestro hospital para estudios de RM de la cadera o columna con carga simulada (Figura 9)(22).
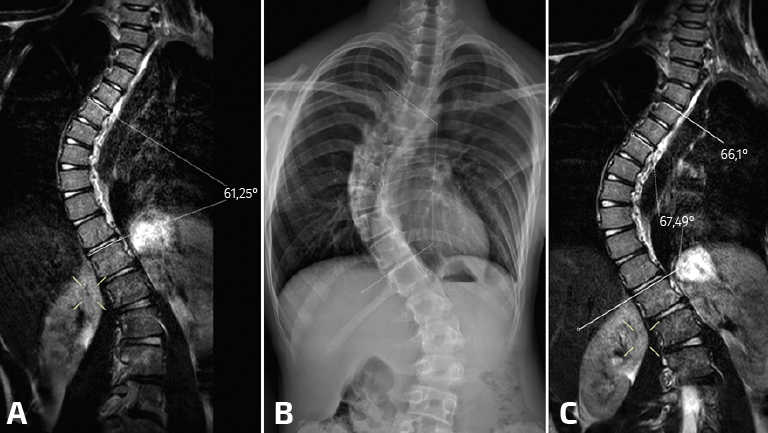
Figura 9. Resonancia magnética (RM) convencional en supino de columna completa en paciente con escoliosis (A); telerradiografía en bipedestación de columna completa (B); y RM en carga simulada del mismo paciente (C). Nótese el aumento del ángulo Cobb evidenciado en RM con carga simulada que se correlacionó con la radiografía en bipedestación.

Por otro lado, aunque aparentemente la posición erguida podría representar más fielmente la carga fisiológica, estudios recientes de carga simulada abogan por esta metodología demostrando su validez y reproducibilidad con cargas axiales de al menos un 70% del peso corporal del paciente(23). Otra de las ventajas que detectamos mediante dispositivos de carga simulada es que el paciente está lo suficientemente relajado para permitir el movimiento del pie y el tobillo en el plano del espacio que precise estudiarse y mantener esta posición durante la prueba(24). Esto último se torna más difícil en la posición erguida.
Futuro y otras aplicaciones
Como se ha comentado en apartados anteriores, la carga axial simulada puede ser válida para obtener una representación de la anatomía y la biomecánica articulares del complejo tobillo y pie sin un sobrecoste añadido. Se trata de un dispositivo externo que está diseñado tanto para la TC como para la RM. Ello podría dar una visión más completa de diferentes grados de severidad de distintas patologías, incluyendo el estudio de las partes blandas implicadas de la deformidad del pie por colapso progresivo y cuya clasificación está actualmente en revisión(25). De cualquier forma, toda herramienta diagnóstica debe someterse a un proceso de validación y un análisis coste-eficiencia previo a su uso generalizado en la práctica clínica.
Conclusiones
- El desarrollo tecnológico está facilitando una mayor comprensión anatómica y biomecánica en patologías de tobillo y pie mediante el procesamiento de imágenes volumétricas en carga.
- La TC en bipedestación es una herramienta en proceso de validación. Ha mostrado importantes avances en el diagnóstico de diferentes patologías del tobillo y pie, pero sigue siendo inaccesible para la mayoría de los servicios de traumatología y ortopedia.
- La TC dinámica en carga simulada es una alternativa válida y potencialmente disponible en cualquier medio hospitalario con una TC o RM convencional. Posee la ventaja de captar diferentes puntos del rango articular en carga y, tras el procesamiento de las imágenes, obtener una simplificación biomecánica tanto del tobillo y el pie como de otras regiones anatómicas.
- Para recomendar el uso de los nuevos métodos de imagen en carga en la práctica clínica habitual se precisa concluir el proceso de validación y un análisis de coste-eficiencia.