Introducción
Dos aspectos clave en la mejora global de los resultados de las patologías de pie y tobillo son el perfeccionamiento de las técnicas de diagnóstico y la mejora de las técnicas quirúrgicas.
La tomografía axial computarizada (TAC) en carga del pie y el tobillo es una técnica diagnóstica que ha emergido en los últimos años y que se impondrá como una futura herramienta diagnóstica para entender y diagnosticar mejor los problemas y patologías que afectan al pie y al tobillo(1,2).
¿Qué es la tomografía axial computarizada en carga?
La TAC es una tecnología diagnóstica que permite una mejora en la capacidad diagnóstica en relación con la placa simple.
La TAC en carga usa la misma tecnología que la TAC convencional; de hecho, se trata de una TAC en haz (cone beam computed tomography), en la que los rayos X son divergentes y forman un cono donde se realiza una captación de la imagen determinada. La ventaja es que la irradiación es mucho menor que en una TAC convencional.
Esta tecnología se usa de forma rutinaria en problemas orofaciales (dentistas, maxilofaciales y otorrinolaringólogos)(3,4).
La misma tecnología se ha desarrollado para el diagnóstico de los problemas del pie y el tobillo, adaptando en una plataforma la posibilidad de realizar carga, flexión plantar, dorsal, etc.
¿Cómo se realiza un estudio de tomografía axial computarizada en carga?
La TAC en carga es una TAC de pequeñas dimensiones que permite un estudio de los 2 pies y tobillos en 360°, con la posibilidad de realizar carga en diferentes posiciones como flexión dorsal forzada, flexión plantar, etc. (Figura 1).
Figura 1. Tomografía axial computarizada en carga de Curve Beam®.

La plataforma de estudio tiene una superficie suficiente para poner los 2 pies en carga con el paciente en bipedestación o incluso de puntillas. También existe la posibilidad de usar diferentes tipos de zapatos o plantillas en el estudio para estudiar las correcciones.
La irradiación es mucho menor que la de una TAC convencional, un aspecto similar a lo que vemos en los miniarcos en C de quirófano si los comparamos con un arco normal. El tiempo de estudio es muy rápido.
¿Qué información obtenemos con la tomografía axial computarizada en carga?
Cuando se realiza una prueba de TAC en carga se genera y obtiene un volumen de información sobre la estructura ósea de los 2 pies y tobillos. Todos estos datos se centralizan a través de un programa específico de gestión de las imágenes. Este programa permite obtener los diferentes tipos de visión: coronal, sagital y axial. También existe la posibilidad de obtener volúmenes de la parte ósea. Otra de las posibilidades es el cálculo de los ángulos para valorar las deformidades.
¿Qué utilidad tiene y qué nos puede aportar la tomografía axial computarizada en carga?
Como sabemos, la radiología convencional en carga del pie y el tobillo es el gold standard para el diagnóstico en las patologías del pie y el tobillo, por la gran facilidad y el bajo coste asociado. Sin embargo, la variabilidad inter- e intraobservador en las mediciones realizadas en ciertas patologías o deformidades del pie y el tobillo puede ser elevada(5).
Ciertos diagnósticos pueden mejorarse con la visión en 3D que nos ofrece la TAC y, además, existe la posibilidad de realizar el estudio en carga. Esta es una de las conclusiones que la International Weight-Bearing CT Society especifica.
La radiografía simple no puede medir o mostrar completamente las dimensiones reales de un objeto 3D complejo como el pie y el tobillo. Se objetivan hasta un 20% de errores de medición en los sistemas tradicionales.
La sobreimpresión de imágenes en 2D necesita en muchas ocasiones la realización de pruebas complementarias como la TAC para completar el estudio(6).
¿Qué indicaciones tiene la tomografía axial computarizada en carga para el estudio de las patologías del pie y el tobillo?
La literatura y la evidencia sobre la utilidad de la TAC en carga del pie y el tobillo son inexistentes hasta 2008. En los últimos 10 años, gracias a la perseverancia de ciertos grupos y al consenso internacional, se ha realizado una mejora en la evidencia científica de la TAC en carga.
Las áreas de más interés en el estudio diagnóstico con TAC en carga son:
- Pie plano valgo del adulto.
- Articulación subtalar.
- Pinzamiento subfibular.
- Hipermovilidad de la primera columna.
- Hallux valgus.
- Patología sesamoidea.
- Lesiones de la sindesmosis.
Pie plano valgo del adulto
El pie plano valgo del adulto comporta una serie importante de alteraciones morfológicas en el pie y el tobillo: colapso del arco medial, valgo del retropié y abducción del mediopié, entre otras.
Diversos estudios han demostrado una buena variabilidad inter- e intraobservador en deformidades de pie plano valgo del adulto de grado II-IV(7).
Articulación subtalar
La medición de las caras articulares anterior, media y posterior de la articulación subtalar se complica en un estudio simple radiográfico. La inclinación-orientación de las mismas en relación con la configuración del retropié y su implicación en el medio y antepié han sido estudiadas con la TAC en carga(8).
Pinzamiento subfibular
En el contexto de valgo del retropié y pie plano valgo se puede producir un impingement subfibular con una alteración subtalar lateral.
La TAC en carga permite una mejor cuantificación del impingement subfibular(8).
Hipermovilidad de la primera columna
La estabilidad de la primera columna es un aspecto destacado e importante en la alineación global del pie.
La estabilidad articular entre las articulaciones astragaloescafoidea, escafocuneana, cuneometatarsiana e intercuneana permitirán el correcto comportamiento de la columna astragalina, hecho destacable en la marcha.
La valoración de la hipermovilidad o inestabilidad de la columna medial requiere de una valoración en carga comparativa, como se puede obtener con la TAC en carga(9).
Hallux valgus
La valoración de la deformidad del primer radio en la patología del hallux valgus es compleja.
Se produce una deformidad rotacional con pronación del metatarsiano y una abducción o varización del mismo.
La alteración a nivel cuneometatarsiano y su estabilidad también alteran el aspecto mecánico del primer radio.
La cuantificación de la pronación o rotación del primer metatarsiano tiene una importancia en la valoración postoperatoria de los pacientes a los que se realizan técnicas correctivas(10,11).
Patología sesamoidea
Uno de los aspectos importantes en la patología metatarsofalángica del primer radio y de los resultados postoperatorios de la cirugía del hallux valgus es la valoración del complejo sesamoideo en relación con el primer metatarsiano.
La deformidad estática y dinámica que comporta la desviación lateral de los sesamoideos es un aspecto destacable en toda la valoración de la deformidad del hallux valgus.
La cuantificación de la deformidad y la desviación del complejo, así como la comparativa contralateral, se pueden realizar con la TAC en carga(12).
Lesiones de la sindesmosis
En la articulación tibioastragalina, la estabilidad de la articulación de la sindesmosis es un aspecto importante para evitar la aparición de lesiones articulares o artropatía progresiva.
En un contexto postraumático, la valoración de la afectación o la inestabilidad de la misma tiene su importancia para los resultados finales y los posibles tratamientos.
En la cuantificación del desplazamiento y de la inestabilidad de la sindesmosis es importante poder explorar la extremidad contralateral y la valoración en carga de los 2 tobillos.
Los estudios fisiológicos con TAC en carga muestran que el peroné presenta una rotación externa y un desplazamiento posterior con la carga(13).
La valoración inter- e intraobservador en lesiones traumáticas de la sindesmosis es mejor con la TAC en carga que con otros métodos diagnósticos(14,15).
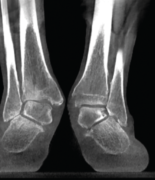
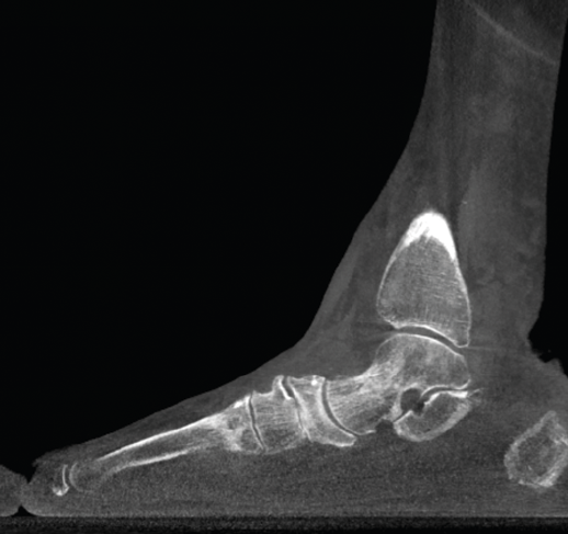
Figura 2. Severo pie plano valgo bilateral con pinzamiento fibular.

Conclusiones
Figura 3. Inestabilidad franca de la columna medial en pie plano.

La mejora y la innovación tecnológica en imagen han hecho posible un avance en el diagnóstico de los problemas en el pie y el tobillo, gracias a la herramienta de la TAC en carga.
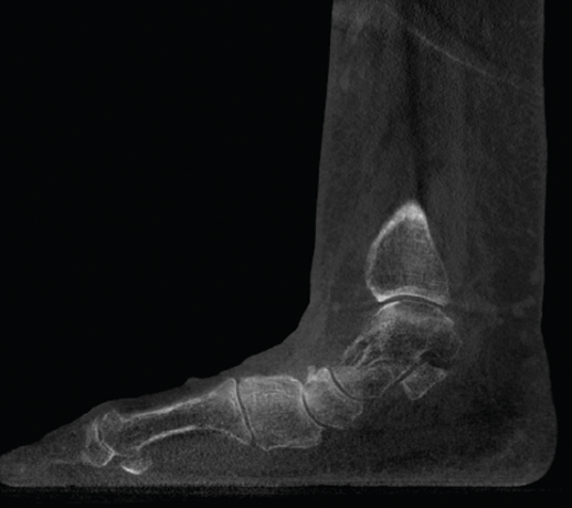
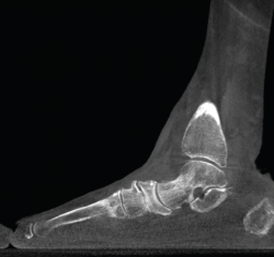
Figura 4. Estudio de la articulación subtalar bilateral.

Esta prueba nos aporta varias ventajas, como el estudio de los 2 pies y tobillos en carga, permitiendo un estudio comparativo y menor radiación que una TAC convencional.
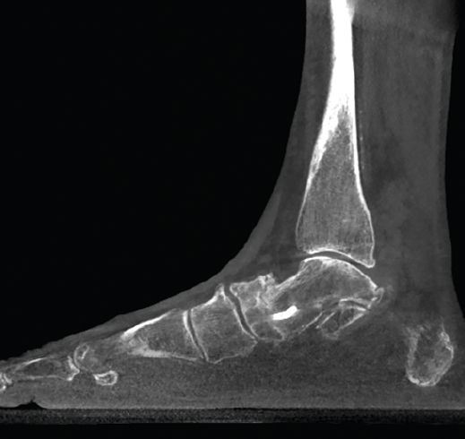
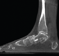
Figura 5. Artropatía de la columna medial en paciente operada de artrodesis astragaloescafoidea.

El estudio y la cuantificación de los problemas tridimensionales en el pie y el tobillo mediante la TAC en carga nos abre una ventana para mejora en el diagnóstico y en las posibilidades terapéuticas.
Figura 6. Artropatía de la columna medial.

Actualmente, la TAC en carga para el pie y el tobillo ofrece una mejor valoración y cuantificación de ciertas deformidades y problemas si se compara con la radiografía simple en carga.
Figura 7. Inestabilidad postraumática de la sindesmosis.

La TAC en carga aporta un gran valor diagnóstico en ciertos problemas, como:
Figura 8. Estudio de paciente con persistencia de dolor tras fractura del peroné. No se evidencia alteración de la sindesmosis.

- Pie plano valgo del adulto. Permite la valoración de la articulación subtalar, el valgo del retropié y la inestabilidad de la columna medial (Figuras 2 y 3).
- Patología y deformidad subtalares. Estudio de la configuración subtalar y artropatía de la misma (Figura 4).
- Inestabilidad de la columna medial o inestabilidad tarsometatarsiana. Valoración y estudio de la columna medial en carga (Figuras 5 y 6).
- Alteración-inestabilidad de la sindesmosis. Permite el estudio comparativo de la estabilidad de la sindesmosis (Figuras 7 y 8).
- Valoración rotacional del primer radio y desplazamiento de los sesamoideos. Valoración de la deformidad y rotación del primer radio, así como el desplazamiento lateral de los sesamoideos (Figura 9).
Figura 9. Se aprecia un desplazamiento lateral de los sesamoideos en deformidad del hallux valgus.
