Introducción
En fracturas de tobillo Weber de tipo C se produce acortamiento y rotación externa del peroné distal, lo que produce un desplazamiento lateral del astrágalo y diástasis del tobillo con incongruencia de la articulación tibioastragalina.
El fallo en la restauración de la alineación articular y la estabilidad tras una fractura de tobillo son causantes de la pseudoartrosis y esto por lo general se debe a rotación externa y acortamiento del peroné.
A menudo se dice que “el astrágalo sigue al peroné” y un tobillo mal reducido se caracteriza por un espacio claro medial aumentado debido a la rotación externa y la traslación externa del astrágalo.
El acortamiento del peroné, asociado a la traslación externa del astrágalo y la irregularidad articular, son los causantes de la pseudoartrosis, en particular cuando la fractura del peroné es oblicua o espiroidea. Se ha demostrado que 1 mm de desplazamiento del astrágalo producirá una disminución de la superficie de contacto de la tibia y el astrágalo de aproximadamente un 40%(1).
La relación entre la fuerza y la superficie de contacto es inversamente proporcional. Si se produce una disminución en la superficie de contacto de la articulación tibioastragalina, ocurrirá un aumento de presión en las áreas que permanecen en contacto entre la tibia y el astrágalo. Inevitablemente, esto aumenta la posibilidad de cambios degenerativos en la articulación, sobre la superficie articular externa (con pseudoartrosis o malunión del peroné). La reconstrucción de una fractura de peroné que presenta pseudoartrosis se indica para preservar la articulación, a pesar de observar cambios erosivos en el pilón externo.
Sabemos hoy en día que los modelos biomecánicos han demostrado la importancia del ligamento deltoideo para mantener la estabilidad del tobillo, pero si bien reconocemos la importancia del mismo, es muy importante también contar con un peroné normalmente alineado que mantenga la alineación del astrágalo dentro de la mortaja del tobillo. Estimamos que, con estos cambios más avanzados, vale la pena intentar la restauración de la alineación el tobillo.
La mayoría de los casos presentan pseudoartrosis o consolidación viciosa del peroné, o ambas, pero el error más frecuente que observamos en el tratamiento es ignorar estos cambios en la alineación del pilón. A menudo, se produce una leve impactación del pilón externo que se traduce en una deformidad en valgo y el tratamiento del peroné solo no es suficiente, dado que también se requiere una osteotomía de la tibia para realinear la articulación.
Diagnóstico
El acortamiento sutil y la rotación externa del peroné con o sin ensanchamiento de la sindesmosis es muy difícil de medir mediante radiografías normales. Lui y col. compararon imágenes radiográficas con estrés versus artroscopia de tobillo y consideraron que la artroscopia es el método más efectivo de diagnóstico(2).
La tomografía computarizada (TC) es un método muy útil de diagnóstico porque las imágenes se pueden utilizar para diagnosticar el ensanchamiento de la sindesmosis cuando los marcadores radiográficos son normales(3).
La TC es sumamente útil para evaluar la severidad del estado articular, la rotación del peroné y también la mala reducción de la sindesmosis. Las imágenes de TC axial deben obtenerse tanto del tobillo lesionado como del tobillo normal para comparar la mortaja y la sindesmosis, y detectar grados sutiles de mala reducción.
Esto se observa en un importante estudio en el que se evaluó el ensanchamiento de la sindesmosis mediante radiografía y TC de ambos tobillos, y se comprobó un 52% de prevalencia de mala reducción de la sindesmosis tras una reducción abierta y fijación interna de fracturas inestables de tobillo controlada con TC en comparación con el 24% cuando se emplearon mediciones radiográficas estándar(4).
A fin de planificar la reconstrucción, son muy importantes las radiografías con cargas del tobillo y la TC. Esta última, previa, es esencial para determinar el grado de rotación el peroné.
Siempre es importante intentar una reconstrucción de la fractura de tobillo pseudoartrósica. Consideramos que la reconstrucción de la articulación debe realizarse aun en la ausencia relativa de síntomas, ya que la alteración de la biomecánica de la articulación y la artritis del tobillo son inevitables ante la presencia de una pseudoartrosis de peroné. Los resultados con la osteotomía de peroné o tibia, o ambos, muestran que son excelentes opciones incluso en tobillos con deformidad y artrosis considerables. Si existe un fracaso en la reconstrucción, todavía se puede intentar una prótesis o una artrodesis de tobillo.
Planificación del tratamiento
Inevitablemente, la cirugía servirá para demorar la degeneración articular secundaria a la pseudoartrosis, pero el resultado final dependerá también del grado de lesión articular. Los pacientes con buen rango de movimiento de tobillo (algo de dorsiflexión y > 15° de la flexión plantar) tendrán una mejor evolución tras la reconstrucción de la pseudoartrosis, mientras que los pacientes con un tobillo rígido se beneficiarán más con una artroplastia total de tobillo o artrodesis. Weber y Simpson determinaron en su estudio que el alcance de los cambios degenerativos constituye el factor primario que determina el resultado de la cirugía; asimismo, observaron que la osteotomía de alargamiento correctora merece realizarse independientemente del tiempo transcurrido desde la lesión si la artritis fue menor(5). Hemos observado que, cuando no se puede lograr una articulación con perfecta alineación anatómica mediante la reconstrucción, la alineación lograda produce indefectiblemente un resultado funcional satisfactorio.
Desbridamiento de la articulación
Durante la reconstrucción de la pseudoartrosis, es esencial realizar una artrotomía anterolateral para visualizar la reducción anatómica del peroné (Figura 1); sin embargo, el desbridamiento artroscópico de la articulación debe realizarse en forma simultánea no tanto para determinar el grado de artritis del tobillo, sino para tratar alguna lesión osteocondral no visible con la artrotomía anterolateral.
Figura 1. Cuando es necesaria una elongación significativa, se debe desbridar toda la sindesmosis anterior y dejar libre el peroné. Es indispensable para este paso un separador de láminas.

El tejido hipertrófico entre el maléolo interno y el astrágalo debe resecarse desde el receso interno para el correcto reposicionamiento del astrágalo. Esto se puede lograr por vía artroscópica o mediante una artrotomía anteromedial. Esto es importante tenerlo en cuenta, ya que una pequeña cantidad de tejido en la gotera interna puede bloquear el correcto desplazamiento medial del astrágalo dentro de la mortaja. La pseudoartrosis del peroné por lo general se asocia con un desplazamiento lateral del astrágalo, con un aumento del espacio claro medial, motivo por el cual se debe limpiar toda la gotera interna (Figura 2).
Figura 2. Aquí mostramos la técnica de elongación. Después del desbridamiento de la sindesmosis, se coloca la placa sobre el peroné y de colocan 2 o 3 tornillos distales (A, B). Se coloca un tornillo de 3,5 en el peroné proximal a la placa y el separador de láminas entre el tornillo y el borde proximal de la placa (C, D). En este caso, para corregir la consolidación viciosa del maléolo medial, se realizó una osteotomía (E) y el control de radioscopia intraoperatorio muestra una buena reducción de la sindesmosis (F).

La artrotomía interna se realiza mediante una incisión de 2 cm medial al tendón tibial anterior directamente sobre la gotera interna. La incisión se profundiza hasta llegar a la articulación, para luego resecarse el tejido sinovítico hipertrófico, la cápsula y el tejido fibrótico que se encuentra en la gotera interna.
Resulta de gran utilidad la utilización de una gubia, que se debe girar 180° para garantizar que el receso interno quede totalmente libre y que el astrágalo esté móvil. Posterior a esto, se intenta llevar el astrágalo a medial, para corroborar que la gotera se encuentre limpia por completo y poder trabajar posteriormente con tranquilidad en la corrección de la pseudoartrosis del peroné.
Osteotomía peronea
Speed y Boyd fueron los primeros en reconocer que las osteotomías del peroné se podían utilizar para corregir consolidaciones viciosas en fracturas en donde el peroné se encontraba acortado y rotado a externo(6). Otros estudios posteriores coincidieron en que una osteotomía que pudiera permitir la elongación y la rotación interna del peroné distal restauraría la función de la mortaja del tobillo(7,8,9). Hoy sabemos que el método de tratamiento inicial, el tiempo hasta la revisión y la edad del paciente no se correlacionan con el resultado de la cirugía. Esto es importante, ya que un paciente que se presenta con consolidación viciosa del peroné de más de un año de evolución sigue siendo un buen candidato para la reconstrucción.
La selección de la osteotomía y el tipo de injerto para la reconstrucción va a depender de la posición de la mala consolidación; recuerden que el peroné puede estar acortado o rotado a externo, o bien acortado y rotado a interno. Idealmente, no sería necesario desprender la sindesmosis en su totalidad para elongar el peroné (Figura 3). Si el peroné está rotado hacia afuera y no está acortado, entonces se puede realizar una osteotomía rotacional sin elongación y, de esta manera, se preserva la sindesmosis, aunque esto no es una condición frecuente. El objetivo del tratamiento de la consolidación viciosa del peroné consiste en restaurar la correcta longitud y la rotación, para obtener una alineación anatómica del astrágalo dentro de la mortaja del tobillo. Sin embargo, también es importante reconocer otros aspectos del patrón original de la fractura.
Figura 3. En este paciente, además de la pseudoartrosis del peroné, se asocia un gran defecto osteocondral del astrágalo (A, B, C). Para acceder a la lesión, se realizó una osteotomía en la región lateral de la tibia (D, E, F). Después de la colocación de los injertos tomados de la rodilla, se realizó la osteosíntesis de la osteotomía de la tibia y posteriormente se trató la pseudoartrosis del peroné (G, H).

Cuando el ligamento deltoideo se encuentra elongado o lesionado, este debe ser reparado junto con la osteotomía correctiva del peroné, ya que solo el desbridamiento de la gotera interna no será suficiente para una buena corrección si el ligamento deltoideo está desgarrado. De igual modo, al reconstruir una fractura Weber de tipo C, la mala consolidación del peroné involucrará a la sindesmosis, que también debe ser movilizada, reducida y estabilizada para lograr la correcta reducción de la mortaja.
Se ha de tener en cuenta que las consolidaciones viciosas proximales son muy difíciles de tratar, ya que la mala rotación es mas significativa y resulta más complejo restaurar la longitud.
Osteotomías distales
Las deformidades leves se pueden tratar con osteotomías distales, especialmente para corregir acortamientos con mínima rotación externa. Si la consolidación viciosa es distal, es decir, en una fractura Weber de tipo B, se realiza una osteotomía transversa u oblicua del peroné a 1-2 cm proximal a la articulación del tobillo y por debajo de la sindesmosis tibioperonea. En raras ocasiones se produce rotación externa sin acortamiento. La ventaja que tiene la osteotomía transversa es que es mucho más sencilla para lograr la elongación y la rotación adecuada del peroné. Este es el caso particular si el peroné es corto y requiere elongación con un separador laminar. Si se realiza una osteotomía transversa del peroné, se debería utilizar injerto óseo estructural intercalado, siempre que, por supuesto, el acortamiento esté presente. Ocasionalmente, la rotación externa del peroné puede estar presente sin acortamiento y, en este caso, se puede realizar una osteotomía para rotar hacia interno sin elongación del peroné, aunque esto no es frecuente encontrarlo en los casos clínicos cotidianos.
El fragmento distal debe ser disecado completamente para liberar todo el tejido cicatrizal. Luego, se coloca un separador laminar o separador de Hintermann en la osteotomía y se le da la longitud adecuada, tal como se detalla más adelante para la osteotomía oblicua. El fragmento distal se rota internamente al mismo tiempo para corregir la deformidad en rotación externa. Se aumenta la distracción y la rotación hasta que la inclinación del astrágalo y la subluxación se reducen correctamente en la gotera anterolateral del tobillo. No es necesario utilizar un tornillo en la sindesmosis, dado que la sindesmosis tibioperonea no está afectada a este nivel.
Osteotomías oblicuas
Es posible realizar una osteotomía oblicua a través del trazo de la fractura original (Weber B) y luego deslizar el peroné hacia distal. La técnica de la osteotomía es la siguiente:
- Se realiza una incisión en el peroné distal y se profundiza hasta el hueso.
- Si se prefiere una osteotomía oblicua, el abordaje para la misma debe realizarse en una longitud aproximadamente de 1,5-2 cm, comenzando el corte proximal y externo sobre el peroné hacia distal a interno y finalizando proximal a la articulación.
- La osteotomía se planifica en forma oblicua empezando desde proximal y externo, y finalizando distal e interno, justo proximal al nivel de la articulación.
- Luego se debe profundizar la osteotomía de manera que el fragmento quede flojo en la zona anterior y la articulación quede visible.
- Se retiran los tejidos blandos del peroné y se rota hacia posterior, pero no es necesario cortar los ligamentos talofibular anterior y calcáneo fibular.
- Se debe limpiar todo el tejido fibroso de la gotera medial del tobillo y reducir el astrágalo en la cara interna del maléolo medial de la tibia.
- Se puede utilizar una aguja de Kirschner (AK) de 2,5 mm para posicionar y fijar el astrágalo, pero esta debe entrar primero por el maléolo interno para no interferir con la reducción del peroné.
- Se utiliza una placa anatómica de peroné para la osteosíntesis. Se fija la placa solo al peroné distal. Uno de los orificios proximales de la placa se deja libre para la inserción de un distractor de AK o se coloca un tornillo más largo de lo necesario, de modo que 5 mm del tornillo protruyan por el lado externo.
- Se inserta un tornillo roscado de 4,5 mm (o una AK de 2,5 mm) en la tibia anterior al peroné y paralelo a la articulación. Se emplea un separador laminar entre los 2 tornillos para elongar el peroné. Si se emplea un distractor de AK, entonces se inserta la aguja distal en el orificio libre de la placa y una segunda aguja proximal al peroné (técnica de push-pull).
- Ahora se elonga el peroné hasta que se ubica en posición anatómica correcta, visible desde la región anterolateral del tobillo. Si se emplea un distractor de AK, es más sencillo rotar levemente el peroné internamente que si se emplea un separador laminar; el peroné distal podría cogerse con una pinza y rotarse internamente si se precisa. Luego se verifica la posición del peroné con fluoroscopia. Es más sencillo lograr la elongación axial sin rotación interna, pero si se requiere cierta rotación entonces se puede resecar levemente el hueso anterior del peroné para facilitar la rotación interna. Para el control de la longitud y la rotación, se puede aplicar un clamp de reducción ósea en el peroné distal al tiempo que se elonga con el separador laminar. Luego se rota internamente el clamp para facilitar la inserción de las AK guías en el peroné para mantenerlo en posición.
- El peroné se desliza distalmente por el eje de la osteotomía. Una vez rotado a interno el peroné distal, la aposición del sitio de la osteotomía no es perfecta y se requiere alguna forma de injerto esponjoso. Obviamente, si existe una rotación externa moderada, este tipo de osteotomía no puede utilizarse puesto que el plano de la osteotomía bloqueará la rotación. Un mejor contacto óseo significa que no es necesario aplicar un injerto óseo estructural.
Osteotomías proximales
Las osteotomías transversas permiten lograr una mayor elongación que las osteotomías oblicuas. A su vez, permiten obtener mayores grados de rotación interna cuando las consolidaciones viciosas presentan grandes deformidades en rotación externa.
Las osteotomías transversas siempre se realizan proximales a la sindesmosis y por eso están indicadas especialmente en consolidaciones viciosas de fracturas Weber de tipo C. En este tipo de osteotomías, el desbridamiento del tejido cicatrizal de la sindesmosis es esencial para poder elongar el peroné. Sin este paso previo, el peroné no puede desplazarse distalmente hacia la articulación tibioperonea.
Figura 4. Cuando se realiza la elongación del peroné, este se mueve hacia proximal, evitando la elongación distal. Para evitar esto, se colocan 2 pines proximales a la osteotomía (A). Tras el desbridamiento de la sindesmosis, se elonga el peroné (B) y para mantener la elongación se colocan 2 pines distales a la osteotomía (C) y luego se colocan el injerto y la placa (D).

Una vez más, se desbrida el tejido fibrótico de la cara interna del peroné, pero se deja intacto el ligamento talofibular anterior y el ligamento calcáneo fibular. Para este tipo de osteotomías transversas es importante comprender que, en el proceso de elongación del peroné, al insertar el separador laminar o utilizar el distractor de agujas, se empujará simultáneamente el peroné hacia proximal(10). Por lo tanto, resulta útil insertar 1 o 2 agujas de 1,6 mm en el peroné en la zona proximal a la osteotomía pasando por la tibia para evitar el movimiento del peroné hacia proximal y que solamente se produzca la elongación distal (Figura 4). Una reconstrucción exitosa requiere el posicionamiento anatómico del maléolo externo en la escotadura peronea de la tibia que solo puede detectarse con visualización directa.
- Se realiza una incisión extensa directamente sobre el peroné, que a menudo corresponde a la incisión original, y se retira el instrumental, si lo hubiera. El objetivo de esta cirugía es obtener la longitud y la rotación correctas del peroné distal. Los parámetros son sencillos de evaluar con el eje intermaleolar, que debe medirse y planificarse previamente a la cirugía, en comparación con el tobillo contralateral normal. La corrección de la rotación externa, que a menudo se observa, no es sencilla. Si la consolidación del peroné es completa, entonces se debe realizar la osteotomía. No es necesario realizar la osteotomía a nivel de la fractura y, de hecho, es contraproducente, dada la remoción excesiva y el desbridamiento de la sindesmosis. Esta osteotomía transversa puede realizarse distal a la zona de consolidación viciosa y generalmente se ubica 5 cm proximal a la articulación, lo que permite la posibilidad de lograr una buena fijación distal de la placa.
- Una vez restaurada la alineación y estabilizado el peroné, debe ser reducido en la incisura tibial. Esto se realiza bajo visualización directa y en general con presión manual. Se pueden utilizar diversos métodos para la estabilización del peroné.
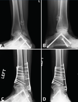
La distracción estable es importante durante el procedimiento de elongación del peroné, dado que permite una colocación más sencilla del material de osteosíntesis. Se han descrito varios métodos para poder fijar el astrágalo a la cara interna de la tibia: se pueden utilizar clavos Steinmann desde el peroné distal hasta el astrágalo, o bien se puede insertar una aguja para fijar al astrágalo contra la cara interna de la tibia, cerrando así el espacio de la gotera medial. Otra alternativa sería la utilización de una pinza de reducción de puntas que se coloca en el extremo distal del maléolo externo y el extremo distal del maléolo interno para restablecer el ángulo intermaleolar. Tras una correcta elongación y rotación, se restablece el espacio claro medial, el paralelismo entre las superficies articulares de la tibia y el astrágalo en la mortaja, y una correcta relación entre ambos maléolos (Figura 5).
Figura 5. En este caso, se observa ensanchamiento de la sindesmosis más consolidaciones viciosas del peroné y el maléolo medial (A). Se debe comenzar por la gotera medial para limpiar todo el tejido cicatrizal remanente. La incisión fue más larga de lo habitual, ya que se planificó una osteotomía del maléolo medial. Tras la reducción y la elongación del peroné, se coloca una pinza de reducción en el eje axial entre la tibia y el peroné (C, D). Al continuar con inestabilidad posterior a la colocación de 2 tornillos (E), se decidió realizar una artrodesis de la sindesmosis

Pseudoartrosis del peroné
El peroné puede acortarse y deformarse no solo como resultado de un traumatismo, sino también por una fractura de estrés. Esto se debe generalmente a un pinzamiento subperoneo externo que produce una sobrecarga como resultado de una deformidad en valgo del retropié. Al ser una deformidad rígida, el retropié no logra compensar, por lo que el peroné absorbe la carga y se fractura. Con cargas continuas, el peroné se acortará y el peroné distal comenzará a inclinarse hacia el valgo en relación con el retropié. Al corregir la deformidad, se debe chequear la posición del retropié y el mediopié. En grados de valgo avanzado de tobillo, a menudo es necesario realizar una osteotomía adicional de la tibia para su corrección.
Osteotomía del peroné y la tibia
Se puede recurrir a la osteotomía de la tibia para corregir la deformidad en valgo del pilón. Esto se puede realizar mediante una cuña de sustracción interna o una cuña de adición externa de la tibia (Figura 6). En este caso, la consolidación viciosa oblicua del peroné facilitará la osteotomía oblicua del mismo para lograr una buena elongación y en este caso no se utilizaría injerto óseo(11).
Figura 6. En un caso donde el plafón tibial se encuentra en valgo, solo elongar el peroné no será suficiente. Observen el pie plano como resultado del tobillo y el retropié en valgo (A, B). Se realizaron conjuntamente una elongación del peroné, una osteotomía en cuña de cierre con base medial de la tibia y una osteotomía medializadora del calcáneo. Observen una mejoría en la alineación, pero la persistencia de un leve valgo de tobillo (C, D).

Debido a la deformidad en valgo del tobillo y la artritis precoz, se debe realizar una osteotomía simultánea de la tibia para alinear las fuerzas de carga sobre el tobillo, ya que solo con la elongación del peroné no es suficiente. Los tejidos que rodean el peroné podrían necesitar desbridarse elevando el periostio por completo y luego se moviliza el peroné sobre su pedículo distal (Figura 7).
Figura 7. En este caso, además de una deformidad en valgo del plafón, se agrega una pseudoartrosis del peroné con acortamiento del mismo y un ensanchamiento de la sindesmosis. Solo se ve la mitad lateral del plafón impactada en valgo, por lo que una osteotomía en cuña de cierre con base medial de la tibia no es necesaria (A, B). Se desbrida la sindesmosis y se retrae el peroné hacia lateral (C), se elonga y se realiza una osteotomía intraarticular (plafonplastia) del borde lateral de la tibia (descrita por Myerson) (D). La tibia lateral se distrae gradualmente hasta observar la posición neutra del pilón (E); se coloca injerto óseo y se estabiliza la sindesmosis (F).

Si se realiza una osteotomía transversa, se inserta un separador laminar en el sitio de la osteotomía, se distrae el peroné y se intenta una fijación provisional del peroné sobre el astrágalo y la tibia distal para fijar el peroné en la longitud correcta. En caso de una consolidación viciosa oblicua larga, a menudo no se requiere injerto óseo y, si se logra la fijación estable del peroné y la sindesmosis, la alineación del tobillo mejora notablemente.
Figura 8. Generalmente, las deformidades en valgo del plafón tibial se acompañan con deformidades severas del peroné; sin embargo, a veces pueden ser consecuencia de una fractura de Weber B (A, B). En este caso, la gotera interna se limpió por artroscopia, se elongó el peroné, pero todavía hacía falta una osteotomía de cierre de base medial (C).

Otra variante de una consolidación viciosa del peroné se asocia con la compresión del pilón externo y la inclinación en valgo de la mortaja del tobillo. Como se describió más arriba, estos casos deben tratarse mediante osteotomía del peroné, además de una osteotomía en cuña de sustracción de la cara interna de la tibia para la realineación del tobillo (Figuras 8 y 9).
Figura 9. Las consolidaciones viciosas o pseudoartrosis del peroné pueden producirse en el contexto de una fractura de estrés. En este paciente, una fractura por estrés tras una triple artrodesis indica una deformidad en valgo (A, B). A pesar de elongar 1 cm el peroné, se debe realizar una osteotomía de cierre lateral de la tibia distal (C, D).

Otra opción consiste en realizar una osteotomía en cuña de adición de la cara externa de la tibia distal (plafonplastia) para lograr una posición plantígrada del tobillo. Por lo general, esta deformidad es el resultado de una lesión por aplastamiento del tobillo y el pilón externo, e independientemente de la realineación y fijación del peroné, si el pilón externo permanece con hundimiento, recurrirá la deformidad en valgo y la artrosis (Figura 7)(12,13).
A través de una incisión externa, se expone el peroné y se realiza la osteotomía de ser necesario. Resulta más sencillo exponer la cara lateral de la tibia si se baja la sindesmosis por completo y se rota el peroné a externo sobre su remanente de tejidos blandos distales.
Una vez completa la osteotomía del peroné, bajo intensificador de imágenes, se realiza la osteotomía de la tibia aproximadamente a 1 cm proximal a la línea articular pero sin completar la cortical interna. El corte de la osteotomía debe finalizar aproximadamente a dos tercios del ancho de la tibia y luego se debe abrir gradualmente mediante deformación plástica de la región externa de la tibia distal(14).
Luego se rellena el defecto con injerto de hueso esponjoso. Dependiendo de la magnitud del defecto, el injerto puede ser esponjoso o estructural, en cuyo caso se utiliza un injerto triangular. La deformidad en valgo del tobillo como resultado de una consolidación viciosa del peroné se asocia generalmente con una compresión no reconocida del pilón tibial externo al momento de la lesión o que gradualmente se manifiesta como resultado de la consolidación crónica en valgo, con el desarrollo de artrosis en valgo.
Esta deformidad a menudo se asocia con cambios adicionales en el pie, como hundimiento del arco, y a veces resulta difícil diferenciar el pie plano secundario de una deformidad primaria preexistente asociada con la consolidación viciosa en valgo del tobillo.
Artrodesis de la sindesmosis
Como se mencionó, la TC debe incluir ambos tobillos para determinar si el problema que presenta el peroné es la rotación o el acortamiento. En ocasiones, el peroné se encuentra alineado y el dolor se origina en la sindesmosis. Este dolor puede localizarse con una inyección selectiva en la articulación y la sindesmosis.
Dependiendo de la magnitud de la deformidad asociada, así como también de la calidad ósea, es necesario incluir la sindesmosis en la fijación y ocasionalmente intentar una artrodesis en la sindesmosis.
Si no se realiza una artrodesis, entonces al menos se utilizarán múltiples tornillos desde el peroné a través de la tibia para lograr una fijación estable y mucho mas rígida. Una vez que ha fallado la fijación de la sindesmosis, resulta útil utilizar tornillos más grandes y distribuir la carga en el peroné con una placa que funciona como arandela. Se ha informado, asimismo, que la artrodesis de la sindesmosis funciona como técnica de rescate. Katznelson et al. informaron sobre una pequeña serie de pacientes tratados con artrodesis por roturas crónicas de la sindesmosis utilizando un tapón óseo rotado y un tornillo de tracción.
Peña y Coetzee(15) proponen realizar artrodesis en pacientes con lesiones de más de 6 meses de evolución. Van Dijk describió el uso del bloque óseo para artrodesis para prevenir la sobrecompresión de la sindesmosis en 9 pacientes con síntomas de más de 6 meses de evolución con buenos/excelentes resultados y la mayoría de los pacientes lograron retornar a la práctica deportiva(16). Existe una cierta preocupación sobre el hecho de que la artrodesis de la sindesmosis puede alterar la biomecánica normal de la articulación. La reducción anatómica de la sindesmosis es incluso más difícil en los casos más crónicos una vez que se han preparado las superficies opuestas para la artrodesis.
Existen pocos casos descritos de artrodesis para reconstrucción tardía de la sindesmosis en la literatura médica. Generalmente, todos informan buenos resultados. La artrodesis aislada de la sindesmosis es una opción viable para la reconstrucción tardía en presencia de cambios artríticos en la sindesmosis y en casos en los que no es posible realizar otro tipo de reconstrucción debido a la deformidad postraumática de la zona.