Introducción
El tratamiento de las fracturas del maléolo posterior (MP) en el contexto de las fracturas del tobillo sigue siendo un tema controvertido en la actualidad.
La integridad del MP así como sus inserciones ligamentosas (ligamento tibiofibular posteroinferior –LTFPI–) son fundamentales para evitar la subluxación talar posterior y preservar la estabilidad rotacional del tobillo(1,2,3), desempeñando un papel fundamental en la función de la sindesmosis.
Según la bibliografía reciente(4,5), la reducción anatómica del MP es un predictor de buen resultado tras el tratamiento quirúrgico de la fractura de tobillo.
Tradicionalmente, la decisión de sintetizar el MP ha estado basada exclusivamente en el tamaño y en el desplazamiento (> 1-2 mm) del mismo, recomendándose la fijación únicamente en los casos en los que el fragmento supera el 25-33% de la superficie articular en la proyección lateral (regla de los tercios)(5,6,7).
Esta fijación se ha realizado de forma habitual de forma indirecta mediante tornillos percutáneos anteroposteriores (AP). Sin embargo, estudios recientes con tomografía computarizada (TC) han llevado a modificar estos criterios, existiendo en la actualidad un cambio de tendencia en el manejo y tratamiento de estas fracturas(8,9).
Se ha demostrado, que el tamaño del fragmento no es el único factor predictor del resultado(10,11). Situaciones tales como el hundimiento de la superficie articular, la conminución y la estabilidad de la sindesmosis son también determinantes para conseguir un buen resultado clínico(1,2,3). Por lo tanto, es crucial reconstruir anatómicamente la sindesmosis para evitar secuelas como el dolor crónico, la inestabilidad y el desarrollo de artrosis secundaria.
Publicaciones recientes defienden que sintetizar el MP restaura la superficie articular de la tibia distal, restablece la longitud adecuada del peroné y contribuye de manera importante a la estabilización de la sindesmosis evitando, en la mayoría de los casos, la necesidad de utilizar tornillos transindesmales u otros sistemas de fijación dinámica(8,12).
Valoración y clasificación
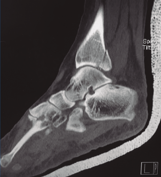
Figura 1. Tomografía computarizada que muestra fractura del maléolo posterior con pequeño fragmento intermedio.

La exploración radiológica comprende las proyecciones AP, de la mortaja y lateral (L). En la proyección AP puede observarse el flake fragment sign o spur sign, que es un doble contorno del maléolo medial, indicativo de fractura del MP con extensión al maléolo interno. La TC es fundamental para reconocer la anatomía del fragmento, su propagación medial, conminución y número de fragmentos intermedios (Figura 1).
Las primeras clasificaciones estaban basadas en la radiología, proporcionando información muy limitada sobre la anatomía de la fractura. Las clasificaciones más recientes se basan en la TC, que ofrece una detallada visión de la fractura.
Tabla 1. Clasificación de Haraguchi (tomografía computarizada bidimensional)

La clasificación de Haraguchi(13)(Tabla 1), publicada en 2006, ha sido la primera clasificación basada en imágenes de TC, diferenciando 3 tipos: la fractura posterolateral oblicua, la fractura con extensión medial y la pequeña fractura cortical del MP. La limitación de esta clasificación es que usa únicamente secciones transversales de TC, sin reconstrucciones bi- o tridimensionales.
Tabla 2. Clasificación de Bartoníček y Rammelt (tomografía computarizada tridimensional)

La clasificación de Bartoníček y Rammelt(14)(Tabla 2), publicada en 2015, está basada en 141 casos consecutivos de fracturas de tipo Weber B o C con fractura de MP analizadas por TC en planos transverso, horizontal y frontal, y reconstrucción 3D. Las fracturas fueron clasificadas en 5 tipos, con especial referencia a la afectación de la incisura fibular de la tibia: el tipo 1, fragmento extraincisural, es una fractura extraarticular; el tipo 2, fragmento posterolateral, es la más frecuente; el 3, fragmento posteromedial en 2 partes (Figura 2); el 4, gran fragmento triangular posterolateral, donde puede apreciarse el signo de doble contorno; y el tipo 5, una fractura irregular osteoporótica, que no puede encuadrarse en ninguno de los tipos anteriores.
Figura 2. Imagen de tomografía computarizada de una fractura de tipo 3 de Bartoníček y de tipo II de Haraguchi.

Los autores(14) determinan la necesidad de una reducción y osteosíntesis específica del MP en todos los tipos, excepto en el tipo 1. Independientemente del tipo de fractura del MP, la elección del tratamiento depende del patrón general de lesión del tobillo, del tipo de fractura del peroné (Weber) y del tipo de lesión de las estructuras mediales (fractura del maléolo interno, del ligamento deltoideo...).
Vías de abordaje
El nuevo enfoque en el tratamiento de las fracturas del MP ha favorecido el desarrollo de nuevas vías de abordaje. La síntesis del mismo puede realizarse de forma directa o indirecta.
Vía indirecta(15,16,17)
Se realiza de manera percutánea, en dirección AP y con el paciente en decúbito supino. La reducción del peroné favorece la reducción del MP a través de la inserción del LTFPI. La maniobra de dorsiflexión del tobillo y el uso de una pinza reductora facilitan la reducción de la fractura, que se sintetiza con 1 o 2 tornillos a compresión, bajo control radioscópico.
Aunque a priori este método de osteosíntesis puede resultar rápido y sencillo, presenta ciertas desventajas:
- Dificultad para la reducción, debido a la interposición de tejidos blandos o pequeños fragmentos incarcerados.
- Síntesis técnicamente complicada en el caso de MP de pequeño tamaño, debido a que el tornillo puede empujar, más que atraer, el fragmento posterior.
- Osteosíntesis inestable, en los casos en los que las roscas del tornillo no sobrepasen completamente la cortical del MP, debido a la ausencia de compresión interfragmentaria.
Para evitar estos problemas, existe una alternativa: pueden utilizarse tornillos canulados cuya aguja guía se introduce de forma percutánea desde anterior a posterior, pero se hace avanzar hasta que atraviesa la piel posterior en la región periaquílea lateral, para así introducir el tornillo desde posterior hacia anterior, lo cual es mecánicamente más favorable, al fijar el MP por verdadera compresión en lugar de tracción por efecto tirafondo.
Vía directa
Puede realizarse a través de una abordaje posterolateral o posteromedial. La elección del mismo dependerá del tipo de fractura. Ambos abordajes presentan múltiples ventajas respecto al abordaje indirecto AP.
Abordaje posterolateral(18,19)
Se realiza con el paciente en decúbito prono. La planificación preoperatoria es fundamental para decidir si se va a realizar una única incisión cutánea para abordar la fractura del peroné y la del MP, lo más frecuente, o si se va a utilizar una doble vía. En este último caso, es prioritario dejar un puente cutáneo de al menos 6 cm entre ambas.
La incisión se realiza entre el tendón de Aquiles y los tendones peroneos. Se debe evitar lesionar la rama del nervio sural, que debe ser identificada y protegida durante el abordaje. En un plano más profundo, se diseca el intervalo entre el tendón del flexor hallucis longus (FHL) y los tendones peroneos.
Esta vía ofrece un acceso directo tanto al MP como al peroné. El FHL se retrae hacia medial, lo que permite visualizar y manipular el MP, que debe ser movilizado siempre desde medial a lateral y desde proximal a distal para preservar en todo momento la inserción del LTFPI. Han de retirarse los pequeños fragmentos óseos que pueda haber interpuestos en el foco de fractura. La fijación se lleva a cabo mediante tornillos a compresión o, lo que es mecánicamente más estable, mediante una placa de soporte. La fijación de la placa en proximal comprime la fractura y ayuda a reducir el desplazamiento superior del fragmento.
Para acceder al peroné, se retraen los tendones peroneos hacia el lado medial. La fractura se sintetiza mediante una placa de tercio de tubo colocada en posición posterior, aunque también puede desarrollarse una ventana lateral sin movilizar los tendones peroneos para posicionar la placa lateralmente.
Existe controversia en cuanto a qué fractura debe ser fijada en primer lugar. Sintetizar primero el peroné permite restaurar su longitud, lo que facilita la reducción del MP, pero presenta el inconveniente de que el material de ostesíntesis interfiere en la correcta visualización de la superficie articular tibial en la visión lateral radioscópica. La dorsiflexión del tobillo ayuda, mediante ligamentotaxis de la cápsula posterior, a la reducción anatómica del fragmento. Por el contrario, sintetizar primero el MP permite controlar con radioscopia la reducción anatómica del mismo sin interferencias en la imagen.
Abordaje posteromedial(20)
Indicado en los casos en los que la fractura de MP se extiende medialmente o presenta 2 fragmentos, uno posterolateral y otro posteromedial (fractura de tipo II de Haraguchi o de tipo 3 de Bartoníček). El paciente se coloca en decúbito prono. La incisión se realiza entre el maléolo interno y el tendón de Aquiles. Se secciona la fascia y se accede al paquete vasculonervioso y a los tendones flexores. Se puede acceder al MP a través de ambos lados del paquete. O bien desde un abordaje entre el tibial posterior y el flexor digitorum longus (FDL) o bien desde un abordaje más posterior, entre el paquete vasculonervioso y el FHL. El fragmento se moviliza y se reduce de forma provisional con agujas de Kirschner y definitivamente mediante tornillos o placa de soporte (Figura 3). La reducción de la fractura se comprueba mediante la visualización directa del ápex de la fractura y mediante control radioscópico. Hay que llevar sumo cuidado para proteger el paquete durante todo el procedimiento.
Figura 3. Imagen intraoperatoria de una fractura de tipo II de Haraguchi y de tipo 3 de Bartoníček a través de abordaje posteromedial.

Este abordaje permite la reducción anatómica de fracturas con fragmentos posteromediales difíciles de controlar desde un abordaje posterolateral (Figura 4) (y que son fundamentales para la estabilidad rotacional del tobillo, al insertarse en estos la porción más profunda del ligamento deltoideo), si bien es cierto que desde la vía posterolateral podría accederse también a estos fragmentos posteromediales (mediante la retracción agresiva del FHL), pero con el único objetivo de evitar una segunda incisión posteromedial.
Figura 4. Tomografía computarizada postoperatoria de una fractura de tipo II de Haraguchi y de tipo 3 de Bartoníček tratada mediante osteosíntesis con placa de soporte por vía posteromedial.

En capítulos anteriores también se han comentado otras modificaciones del abordaje posteromedial, basadas en la ampliación de la incisión medial para osteosíntesis del maléolo interno que desplazan el tendón tibial posterior hacia lateral, protegiendo así el paquete y ganando el acceso al MP, con la ventaja de poder reducir a la vez el maléolo interno y el posterior, en decúbito supino.
Discusión
El tratamiento de las fracturas del MP sigue generando controversias. Existe evidencia científica de que las fracturas trimaleolares conllevan un peor pronóstico que las bimaleolares, incluso cuando se asocian a pequeños fragmentos de MP.
Dado que el LTFPI se inserta tanto en la parte posterior del maléolo peroneo como en el MP, la síntesis de este está íntimamente relacionada con la estabilidad de la sindesmosis, hasta el punto de que algunos autores concluyen en sus publicaciones que la fijación del MP produce una estabilidad de la sindesmosis igual o superior a la que proporcionan los tornillos transindesmales(3,21).
La mayoría de los cirujanos ortopédicos consideran que una fractura del MP mayor del 25-33% es una indicación quirúrgica de osteosíntesis(7,22).
También la Arbeitsgemeinschaft für Osteosynthesefragen (AO) recomienda fijar el MP si es mayor del 25% de la superficie articular tibial o cuando persiste inestabilidad tras la fijación de los maléolos medial y lateral(23). Sin embargo, los estudios existentes en la actualidad son insuficientes para soportar estos porcentajes como dogma(1), no existiendo evidencia científica para un tamaño mínimo de MP a partir del cual debería ser sintetizado(1,24,25). De la misma forma, no se ha encontrado una relación directa entre el tamaño del MP y la aparición de artrosis de tobillo(10,11,24,26,27).
Numerosas publicaciones recientes aconsejan sintetizar todas las fracturas desplazadas del MP, independientemente del tamaño de este, recomendando una reducción anatómica de la misma(1,26,28,29).
Aunque clásicamente se ha utilizado la radiografía lateral de tobillo para la valoración del tamaño del MP, los estudios más recientes recomiendan la utilización de la TC de forma rutinaria tanto para el diagnóstico prequirúrgico de la fractura del tobillo con criterios de inestabilidad como postoperatoriamente, para corroborar la reducción anatómica de la misma(1,8,20,30).
Cuando las fracturas del MP se sintetizan de forma no anatómica conllevan una reducción inadecuada de la sindesmosis(4). Clásicamente, la vía más comúnmente utilizada para la reducción y la síntesis del MP ha sido la indirecta, en la que, de forma percutánea, se fija el fragmento con tornillos desde anterior a posterior guiados bajo control de escopia.
Estudios recientes demuestran que, mediante el abordaje indirecto, la reducción de fragmentos de pequeño tamaño es técnicamente difícil, hallándose un elevado porcentaje de malreducciones. Drifjout et al.(5), en su revisión de 24 pacientes intervenidos mediante síntesis indirecta, obtuvo un 42% de malreducciones (considerando un escalón mayor de 1 mm). En el estudio de Vidovic et al.(16) se obtuvo una clara diferencia en la calidad de la reducción a favor de la síntesis directa (80% de reducciones excelentes) frente a la indirecta (45% de excelentes).
Los autores del presente artículo consideramos que la TC es imprescindible para una correcta planificación de la cirugía de las fracturas del MP, defendiendo la reducción y la síntesis directa a través de un abordaje posterolateral o posteromedial, dependiendo del trazo de fractura.
Conclusiones
- La TC preoperatoria es esencial para la correcta clasificación y el tratamiento de las fracturas de MP.
- Se desconoce cuál es el tamaño mínimo del MP a partir del cual debe indicarse tratamiento quirúrgico.
- La reducción anatómica del MP es esencial para restaurar la superficie articular y la estabilidad del tobillo, reduciendo la necesidad de estabilizar la sindesmosis mediante tornillos transindesmales u otros sistemas de fijación dinámicos.
- La tendencia actual en el tratamiento de las fracturas del MP es la síntesis directa del MP (abordaje posterolateral y/o posteromedial) frente a la síntesis indirecta con tornillos AP.