Introducción
La sindesmosis es una estructura anatómica compleja muy importante para la estabilidad y la transmisión de cargas a través del tobillo(1). Las lesiones agudas son muy comunes, estando asociadas en un 5-10% a esguinces y en un 23% a fracturas del tobillo(2).
Debemos tener un alto índice de sospecha, ya que la identificación de estas lesiones es de gran importancia para evitar la morbilidad a largo plazo. Son complejas de diagnosticar e, incluso cuando se identifican, un tratamiento incorrecto puede provocar una degeneración articular precoz con malos resultados funcionales(1).
Diagnóstico
Para el diagnóstico de estas lesiones es fundamental un conocimiento de las estructuras anatómicas y la biomecánica articular, una historia clínica detallada (momento y mecanismo lesional, lesiones previas…) que incluya un examen físico minucioso, así como pruebas complementarias específicas.
Debemos tener en cuenta que, a diferencia de los esguinces de tobillo, las lesiones sindesmales se acompañan de escaso o leve edema. Según la European Society of Sports Traumatology, Knee Surgery and Arthroscopy-Ankle and Foot Associates (ESSKA-AFAS), los test clínicos recomendados son:
- Dolor a la palpación sobre los ligamentos tibiofibulares anteroinferior (LTFAI) y posteroinferior (LTFPI). Cuanto más proximal es el dolor, mayor es la extensión de la lesión.
- Test de “traslación peronea”.
- Test de Cotton(3).
Las pruebas complementarias se inician con las radiografías en carga anteroposterior (AP), lateral y de mortaja. En caso de dudas, es recomendable solicitar proyección de mortaja bilateral ya que, si se objetiva una diferencia mayor de 2 mm en el espacio tibiofibular claro, es sugerente de lesión sindesmal(1). Las radiografías en estrés, si bien están indicadas cuando hay alto índice de sospecha con radiografías estáticas normales, son difíciles de realizar debido al dolor que provocan en el paciente(1,4,5,6). Los parámetros radiológicos normales más usados son: 1) el espacio tibiofibular < 6 mm en la proyección AP y de mortaja; y 2) la superposición tibiofibular > 6 mm en la proyección AP y > 1 mm en la de mortaja. Ambos se deben medir 1 cm por encima de la línea articular tibial(7).
La tomografía computarizada (TC) ha demostrado su utilidad en la identificación de lesiones latentes de la articulación tibiofibular distal, dada su capacidad para evaluar la articulación en 3 dimensiones. Se puede detectar el desplazamiento del peroné dentro de la incisura fibularis, aumentando la precisión cuando el estudio compara ambos tobillos(7).
La resonancia magnética (RM) es muy sensible y específica para el diagnóstico, estando limitada su capacidad para detectar inestabilidades al no ser una prueba dinámica.
La artroscopia de tobillo es una herramienta adyuvante útil para comprender la gravedad y la complejidad de la fractura aguda de tobillo, pues la visualización directa asegura la detección y la evaluación de las fracturas intraarticulares, la interrupción de la sindesmosis y las lesiones osteocondrales asociadas(8), así como evaluar el dolor crónico después de la fijación quirúrgica.
Clasificación
Recientemente, Van Dijk et al., en el comité de consenso de la ESSKA-AFAS, revisaron a fondo las clasificaciones más usadas hasta el momento. Dicha clasificación es fundamental para entender el enfoque terapéutico. Dividimos las lesiones dependiendo del tiempo transcurrido en: agudas (menos de 6 semanas), subagudas (6 semanas a 6 meses) y crónicas (más de 6 meses).
Las lesiones agudas se subdividen en (Figura 1):
- Estables: lesión del LTFAI, con o sin ligamento interóseo (LIO), y con un ligamento deltoideo intacto, además de ausencia de inestabilidad subjetiva.
- Inestables: incluyen lesiones del ligamento deltoideo y pueden ser divididas en latentes (existe compromiso del LTFAI con o sin lesión del LIO y lesión del deltoideo) y francas (existe lesión de los 4 ligamentos mayores y del ligamento deltoideo).
Figura 1. Anatomía.

Las lesiones subagudas pueden ser divididas en reparables o no, dependiendo de la presencia o ausencia de remanente adecuado del LTFAI, y las lesiones crónicas pueden ser además subdivididas en función de la asociación o no con cambios osteoartríticos degenerativos del tobillo(9)(Figura 2).
Figura 2. Clasificación y tratamiento de las lesiones agudas de la sindesmosis. * Desde el evento traumático. LIO: ligamento interóseo; LTFAI: ligamento tibiofibular anteroinferior; LTFPI: ligamento tibiofibular posteroinferior; LTI: ligamento transverso inferior.
Figura 2. Clasificación y tratamiento de las lesiones agudas de la sindesmosis. * Desde el evento traumático. LIO: ligamento interóseo; LTFAI: ligamento tibiofibular anteroinferior; LTFPI: ligamento tibiofibular posteroinferior; LTI: ligamento transverso inferior.

Tratamiento no quirúrgico
El tratamiento inicial de las lesiones agudas de la sindesmosis sin inestabilidad es no quirúrgico, ya que generalmente curan sin secuelas.
El protocolo más extendido se basa en 3 fases:
- Primera fase que incluye reposo, hielo, compresión, elevación e inmovilización con férula o uso de bota Walker dependiendo de la gravedad de los síntomas, durante 1 a 3 semanas(6).
- Segunda fase: el paciente puede empezar a caminar con una ortesis funcional de tobillo. La fisioterapia se inicia en este punto y no antes, dada la dificultad y la incapacidad del paciente para participar activamente en la terapia. Consiste en movilización articular, entrenamiento de fuerza y obtención de las funciones básicas del tobillo.
- Tercera fase: destinada a alcanzar la recuperación completa a través del entrenamiento del control neuromuscular y la propiocepción(3,10). Puede incluir ultrasonidos o estimulación eléctrica.
Las lesiones estables tienen muy buen resultado. Amendola et al.(11) declararon que la mayoría de los pacientes volvía a una función buena o excelente una vez que la lesión se había recuperado, aunque estos debían tener un seguimiento de al menos 6 meses para descartar complicaciones como la osificación heterotópica, la calcificación de la sindesmosis o el pinzamiento anterior secundarios a la formación de una cicatriz fibrosa(10). El promedio de tiempo para volver a las actividades normales y a la práctica deportiva es de 4 a 8 semanas(1,12).
Tratamiento quirúrgico
El tratamiento quirúrgico está indicado ante una lesión inestable de la sindesmosis. El fundamento de la cirugía es reducir y estabilizar las estructuras en su correcta posición para lograr una adecuada cicatrización de los ligamentos. Se ha estudiado que una mala reducción de solo 1,5 mm puede ocasionar un mal resultado clínico(13).
La reducción de la sindesmosis se realiza normalmente con una pinza de reducción en posición neutra ya que, si se coloca de forma oblicua, aumenta el número de malreducciones(12).
Se han descrito múltiples métodos de fijación de la sindesmosis que incluyen: fijación con tornillos, fijación dinámica, combinación de ambas “formas híbridas” o reparación directa con arpones.
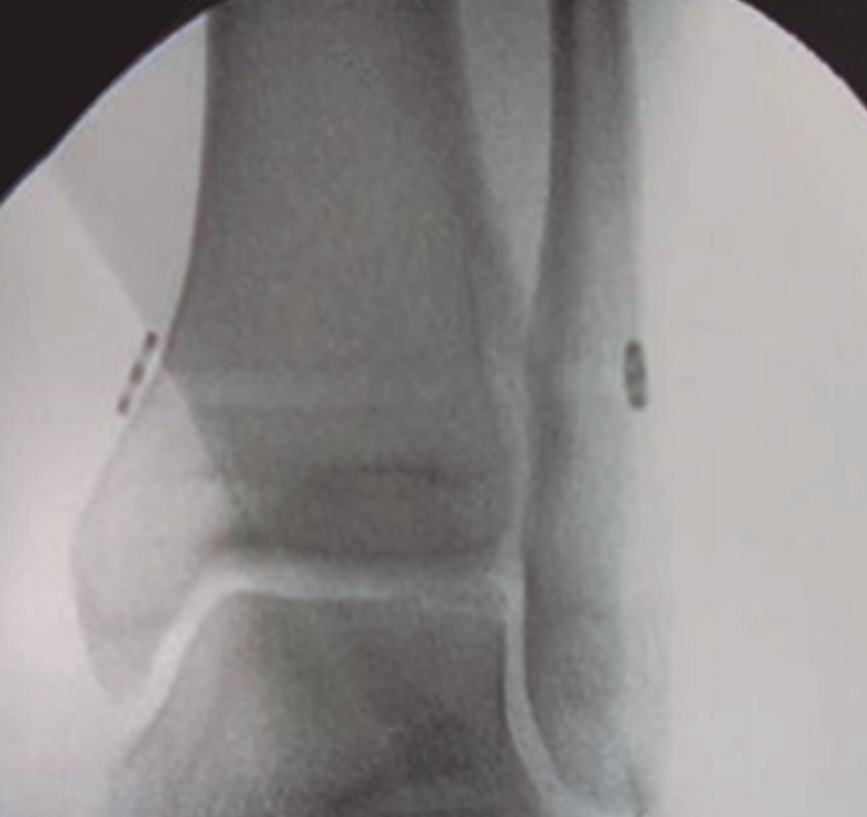
El método de tratamiento convencional suele ser la fijación de la sindesmosis con un tornillo de cortical a través del peroné situado a 2 o 3 cm por encima de la línea articular para evitar lesiones de los ligamentos y angulado de 20 a 30° anterior y medial(14,15). Se ha demostrado que 2 tornillos ofrecen mayor resistencia que un tornillo simple y que los tornillos de 4,5 mm son más resistentes que los de 3,5 mm. Más de 2 tornillos o de mayor diámetro no son aconsejables, ya que pueden provocar una fractura del peroné(2). Según lo publicado hasta ahora, no hay diferencias significativas entre el paso de 3 o 4 corticales. La carga completa no se recomienda hasta al menos 2 meses, una vez retirado el tornillo, para evitar roturas o síntomas dolorosos en la articulación del tobillo. Si bien está en discusión, ya que no parece haber diferencia significativa en el resultado funcional entre los pacientes que se sometieron a la extracción de rutina del tornillo transindesmal y los pacientes en los que el tornillo solo se extrajo en caso de implantes sintomáticos(16)(Figura 3).
Figura 3. Fijación rígida con tornillos.

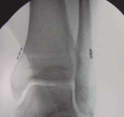
Para evitar problemas asociados con los tornillos, se crean los métodos de fijación elásticos, siendo una buena alternativa desde finales de la década de 1990. Son técnicas más fisiológicas y se adaptan mejor a la dinámica de la sindesmosis. Algunos estudios biomecánicos han descrito que aportan menos reducción que los tornillos y, por tanto, es aconsejable darle tensión al sistema con el tobillo en flexión plantar parcial, permitiendo un mayor ajuste y cierre de la mortaja. La posición del implante es la misma que para los tornillos. Se permite la carga completa a las 2 o 3 semanas. Hasta la fecha, para lesiones aisladas de las sindesmosis inestables, ningún estudio ha demostrado que las técnicas de fijación dinámicas sean inferiores a la fijación rígida con respecto a la estabilidad y la satisfacción del paciente. Los beneficios más notables de esta técnica son evitar un segundo procedimiento quirúrgico para la extracción de los tornillos, la carga más precoz y una menor alteración biomecánica (Figura 4).
Figura 4. Fijación dinámica con botón de sutura.

Otra alternativa de tratamiento son las técnicas híbridas, que nacen de la preocupación de algunos autores con respecto a la inestabilidad a largo plazo de los métodos de fijación dinámica. En esta técnica, inicialmente se utiliza un botón de sutura asegurando la articulación tibiofibular en una posición adecuada, que posteriormente se fija con un tornillo, aportando mayor rigidez. En un segundo procedimiento, se puede retirar el tornillo, manteniendo el botón de sutura intacto, que proporciona una estabilidad a largo plazo. Al igual que con la fijación estándar, esta técnica conlleva la desventaja potencial de requerir una segunda intervención de extracción del tornillo; sin embargo, el botón de sutura permanece en su lugar para continuar brindando estabilidad(16).
Conclusión
Las lesiones sindesmales se incluyen entre las patologías más difíciles y complejas de tratar en el pie y el tobillo. Son lesiones menos comunes que las que afectan a los ligamentos laterales, pero requieren el doble de tiempo de recuperación.
A pesar de las múltiples opciones terapéuticas, el tratamiento óptimo de una lesión sindesmal aislada en ausencia de una fractura sigue siendo un reto. Se requiere una historia clínica completa y un examen físico exhaustivo, así como pruebas de imagen apropiadas para diagnosticar y clasificar esta lesión de manera efectiva. Para las lesiones estables, el tratamiento recomendado es la inmovilización a corto plazo y la rehabilitación funcional. Las lesiones inestables requieren una fijación quirúrgica, con un debate actualmente en curso sobre las técnicas de fijación.